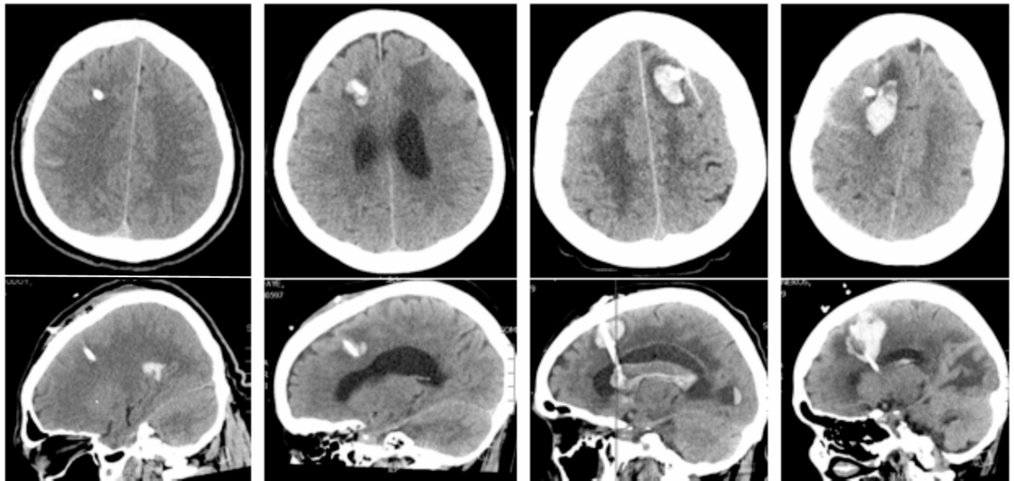
Fig. 1

Axial (top) and sagittal (bottom) computed tomography images of the brain showing (A) grade 0 no hemorrhage, (B) grade 1 hemorrhage, (C) grade 2 hemorrhage, and (D) grade 3 hemorrhage.

Axial (top) and sagittal (bottom) computed tomography images of the brain showing (A) grade 0 no hemorrhage, (B) grade 1 hemorrhage, (C) grade 2 hemorrhage, and (D) grade 3 hemorrhage.