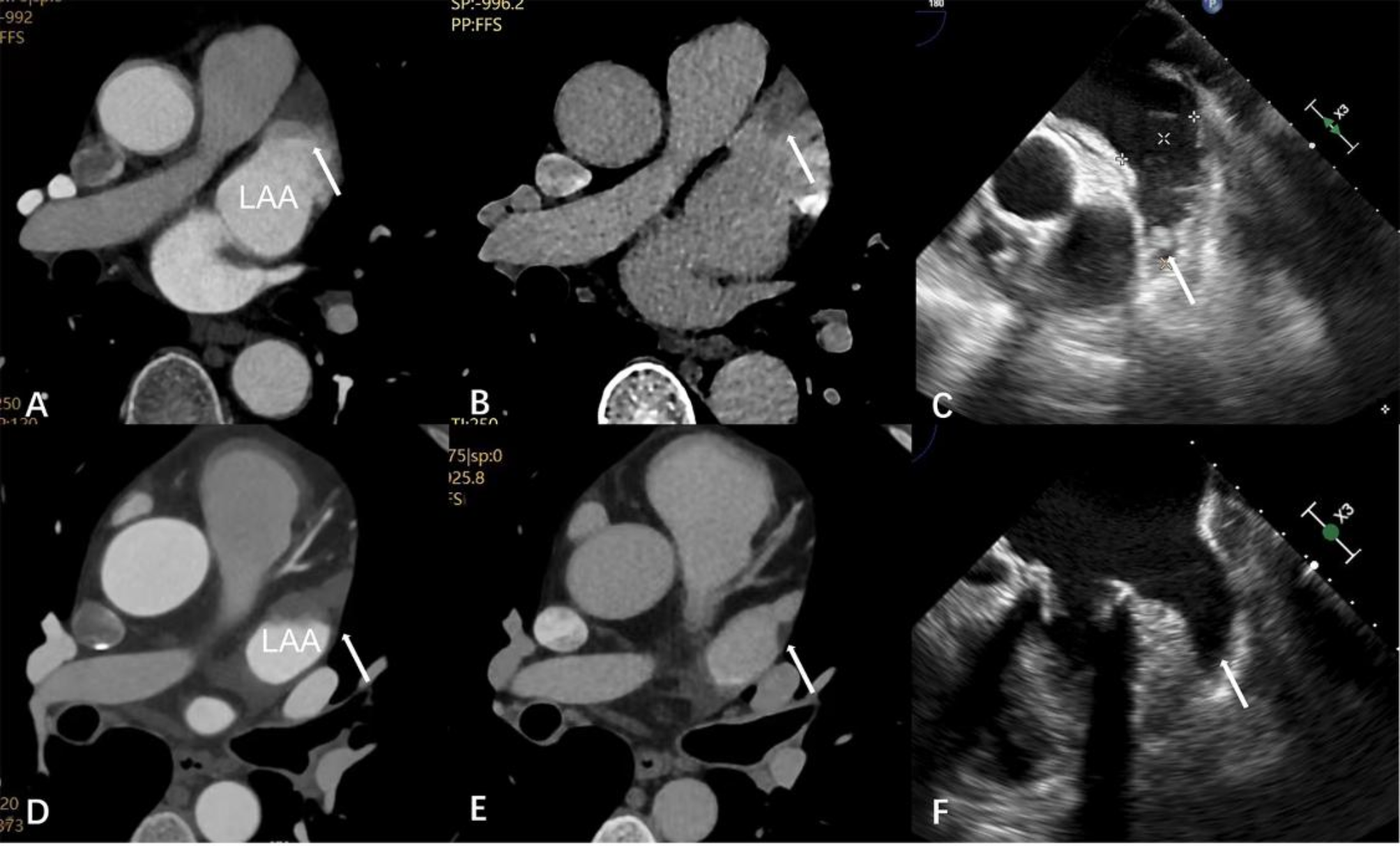
Fig. 3

Left atrial appendage thrombus and pseudo-thrombus. There was a filling defect in the LAA (arrow) in the early phase (A) which persisted in the delayed scan (B) and was confirmed on the TEE (C) (arrow). There was a filling defect in the LAA (arrow) in the early phase (D) which persisted in the delayed scan (E) and was not detected on the TEE (F) (arrow). LAA Left atrial appendage. TEE transesophageal echocardiogram.