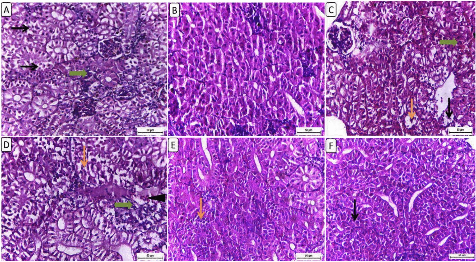
Fig. 2

Representative photomicrograph of kidney from different treatment groups. (A) NF6% showing moderate tubular necrosis (thin arrows) and desquamation (thin arrows) with glomerular shrunken (thick arrow). (B) NF + Low clenbuterol showing normal histological appearance of renal tubules. (C) NF + High clenbuterol showing focal tubular vacuolation (thin arrows) with few tubular necrosis and minimal interstitial hemorrhage (thick arrow). (D) HF group showing diffuse tubular damage represented by severe tubular vacuolation and necrosis (thin arrows), interstitial fibrosis (thick arrow) admixed with lymphocytes and numerous RBCs (arrowhead). (E) HF + Low clenbuterol group showing normal histological appearnce of most tubules except, few, occasional individualized tubular epithelial cells (thin arrow). (F) HF + High clenbuterol showing normal histological appearance of most renal tubules with few, occasional necrotic cells (thin arrow). Scale bar = 50 μm. (Figure A and D for the control group after Rashwan et al., 2024).