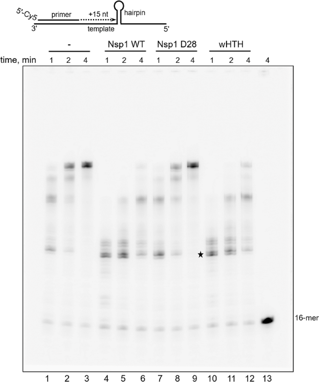
Fig. 3

Nsp1 inhibits DNA synthesis across a 9-bp hairpin by the RPA/Polα complex. The DNA synthesis activity of Polα in extension of a 16-mer DNA primer with a Cy5-fluorophore attached to the 5′-end was tested in a 10 μl reaction containing 0.25 μM template:primer, 20 nM Polα, 0.7 µM RPA, and 25 μM dNTPs; 8 µM Nsp1 or 40 µM wHTH were added as indicated on the figure. Lane 13 is a control incubation in the absence of proteins. The star denotes the pause site at the beginning of a hairpin located 15 nucleotides from the 3’-end of the primer. Reactions were incubated at 35 °C, and the products were resolved by 20% Urea-PAGE and visualized by imaging on Typhoon FLA 9500. The substrate schematic is shown at the top.