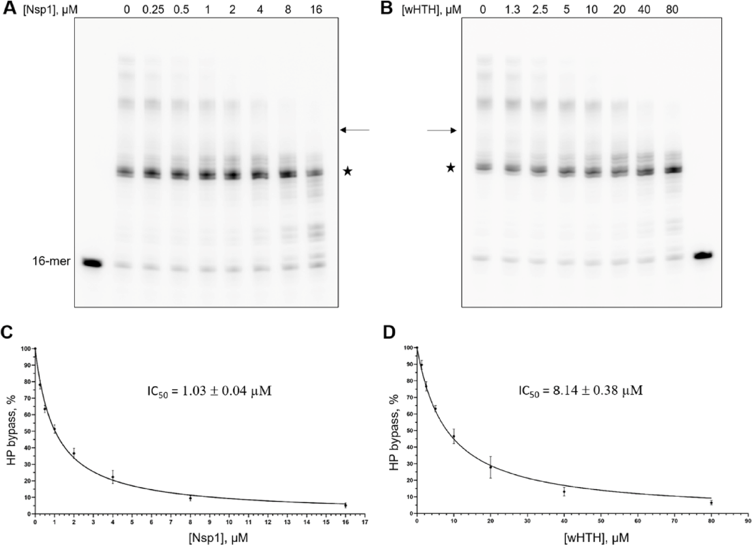
Fig. 4

Comparison of the inhibitory effect of Nsp1 and wHTH on hairpin bypass by RPA/Polα. (A) and (B), representative gels showing titration of DNA-synthetic activity by Nsp1 and wHTH, respectively. The star denotes the pause site at the beginning of a hairpin. The bands above the arrow were counted as products of hairpin bypass. Reactions were incubated for 1 min at 35 °C, and the products were resolved by 20% Urea-PAGE and visualized by imaging on Typhoon FLA 9500. Original images of the gels are presented in Supplementary Fig. S4. (C) and (D), the mean value of the percent of hairpin bypass is plotted against Nsp1 and wHTH concentrations, respectively. Error bars denote the standard deviation. The IC50 values were calculated from three independent experiments using GraphPad Prism.