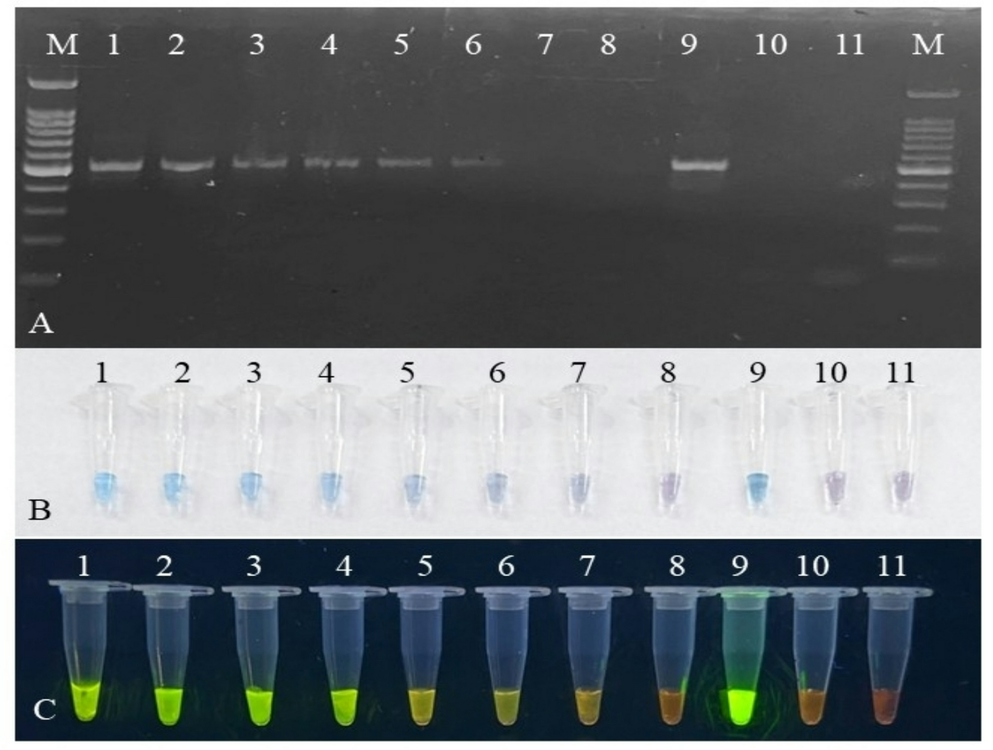
Fig. 5

Sensitivity assay for detection of Spodoptera frugiperda using different concentrations of template DNA. (A) PCR sensitivity assay with agarose gel electrophoresis, (B) LAMP sensitivity assay with HNB dye, (C) RPA sensitivity assay with SYBR Green I dye. M- 100 bp marker, Lane 1: 100 ng, Lane 2: 10 ng, Lane 3: 1 ng, Lane 4: 100 pg, Lane 5: 10 pg, Lane 6: 1 pg, Lane 7: 100 fg, Lane 8: 10 fg, Lane 9: positive control (Spodoptera frugiperda), Lane 10: negative control (Sesamia inferens); Lane 11: non-template control (NTC). Original blots/gels are presented in Supplementary Fig. 2.