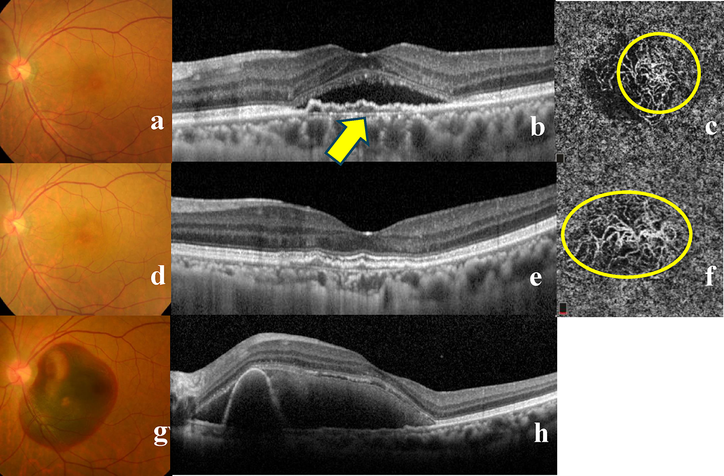
Fig. 1

56 year-old female patient who underwent two-third PDT. (a) baseline color fundus photograph, b: baseline OCT; yellow arrow showed “ double layer sign ” (c) baseline OCT angiography showed MNV in choriocapillaris slab (yellow circle) (d) color fundus photograph; one year after two-third PDT. (E) OCT; one year after PDT, (F) OCT angiography; one year after PDT; yellow circle showed increased MNV, no additional treatment was needed. (g, h) 19 months after two- third PDT. Massive subretinal hemorrhage appeared. Orange-red elevated lesion and OCT shows dome-like elevations of RPE.