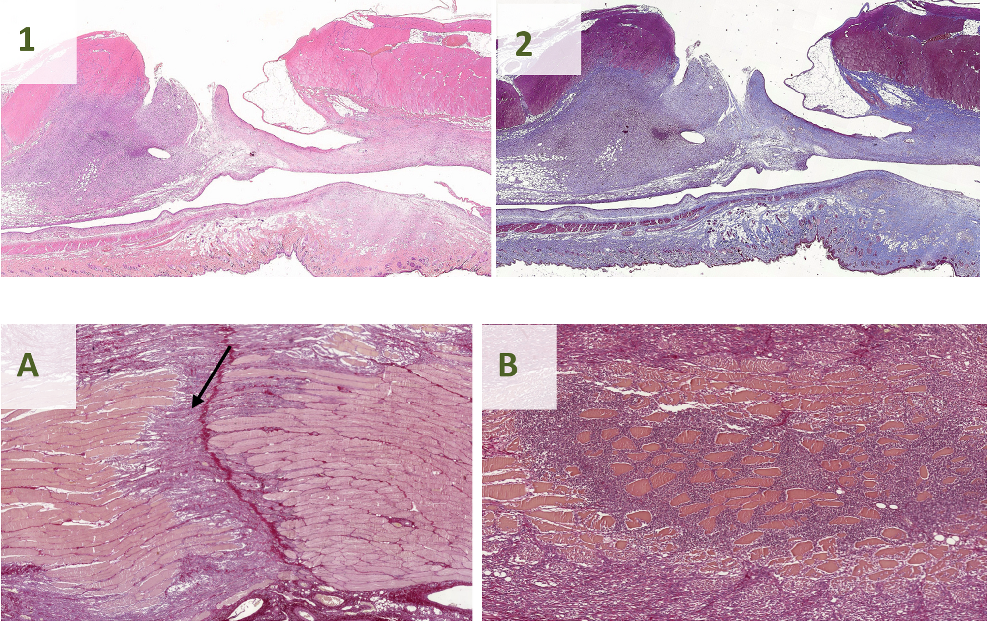
Fig. 2

Photomicrographs depicting collagen-rich fibrous tissue formation in the abdominal muscle tissue of rats. Top: (1) Staining with Hematoxylin and Eosin (H&E) shows the general histological architecture, including areas of fibrosis. (2) Masson’s Trichrome staining highlights collagen fibers in blue, demonstrating the extent of fibrosis within the muscle tissue. Bottom: Photomicrographs of H&E-stained sections. (A) Area of muscle fibrosis characterized by discontinuity in muscle bundles replaced by fibrous tissue (indicated by arrow). (B) The presence of inflammatory cells surrounding muscle bundles suggests a potential area for rhabdomyolysis.