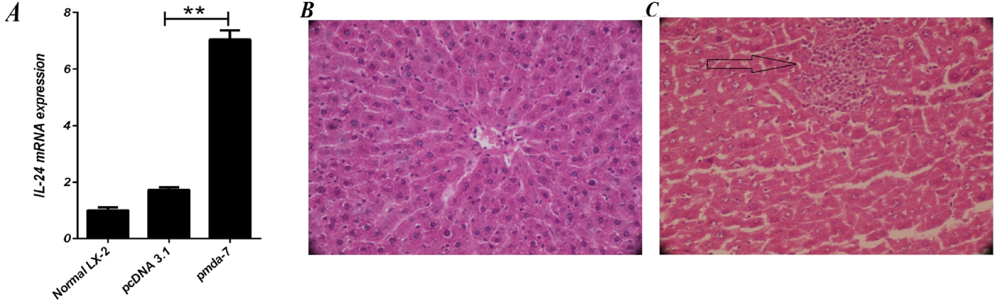
Fig. 1

(A) IL-24 gene expression in the liver of hydrodynamics transfection by quantitative real-time PCR. Expression data relative to those of the reference gene from at least three independent assays are given as mean ± SEM. Statistical significance was tested using one-way ANOVA. * P value < 0.05; **, P value < 0.01. (B) and (C) Hematoxylin and eosin (H&E) staining of mouse liver (magnification, × 20) tissue sections from mice transfected with pcDNA 3.1 and PMDA-7, respectively. Histopathological changes that indicate inflammation were observed in animal tissues transfected with pada-7, and this finding was absent from all examined sections transfected with pcDNA 3.1. For each experimental condition (transfected or not non-transfected groups), six tissue sections from five biological replicates (five animals) were examined. Livers were transfected with pada-7; massive inflammatory cell aggregation was detected in this group (yellow arrow). Scale bars (100 µm) are indicated for each picture.