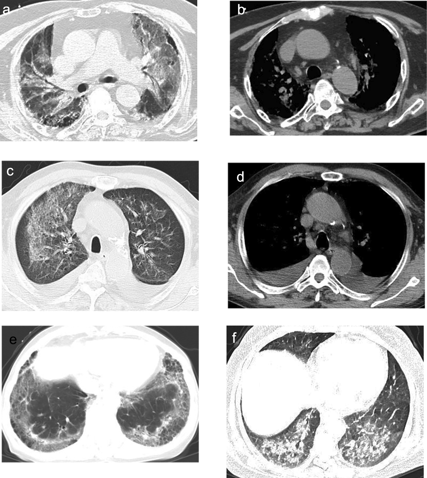
Fig. 3
From: Clinical-imaging diversity of exudative pulmonary cryptococcosis with different immune states

CT findings of immunocompromised exudative PC. Axial CT images showed bilateral diffuse ground-glass opacities and consolidations (a) with mediastinal lymphadenopathy (b). Bilateral ground-glass reticular opacities (c), pleural effusions, and mediastinal lymphadenopathy (d) were displayed on axial CT. Axial CT image showed bilateral ground-glass reticular opacities with pleural-based involvement (e). Bilateral ground-glass opacities and consolidations were displayed on axial CT (f).