Fig. 2
From: A novel method for optic disc localization using fast circlet transform and Chan-Vese segmentation

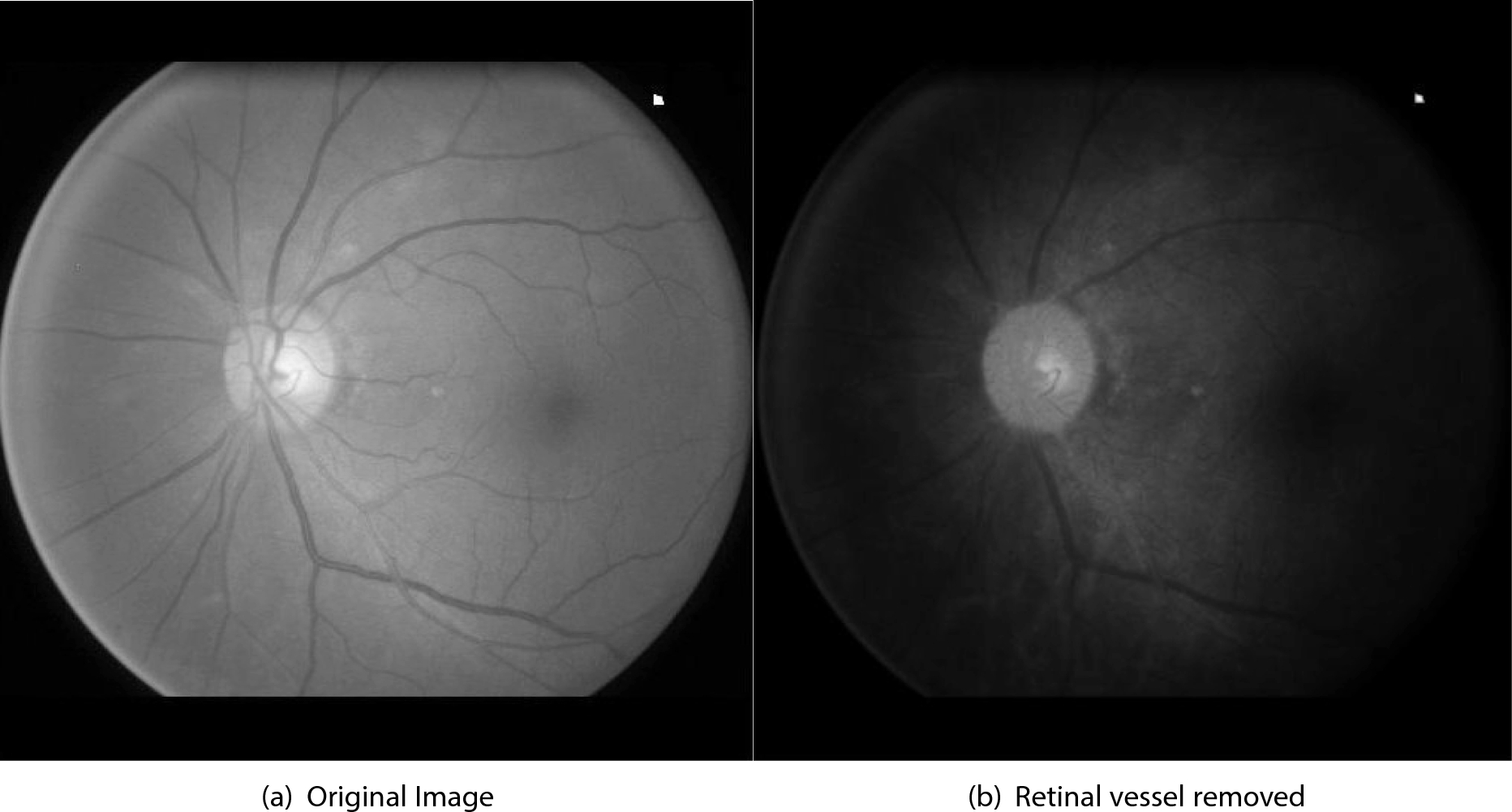
Vessel free fundus image.
From: A novel method for optic disc localization using fast circlet transform and Chan-Vese segmentation

Vessel free fundus image.