Thank you for visiting nature.com. You are using a browser version with limited support for CSS. To obtain
the best experience, we recommend you use a more up to date browser (or turn off compatibility mode in
Internet Explorer). In the meantime, to ensure continued support, we are displaying the site without styles
and JavaScript.
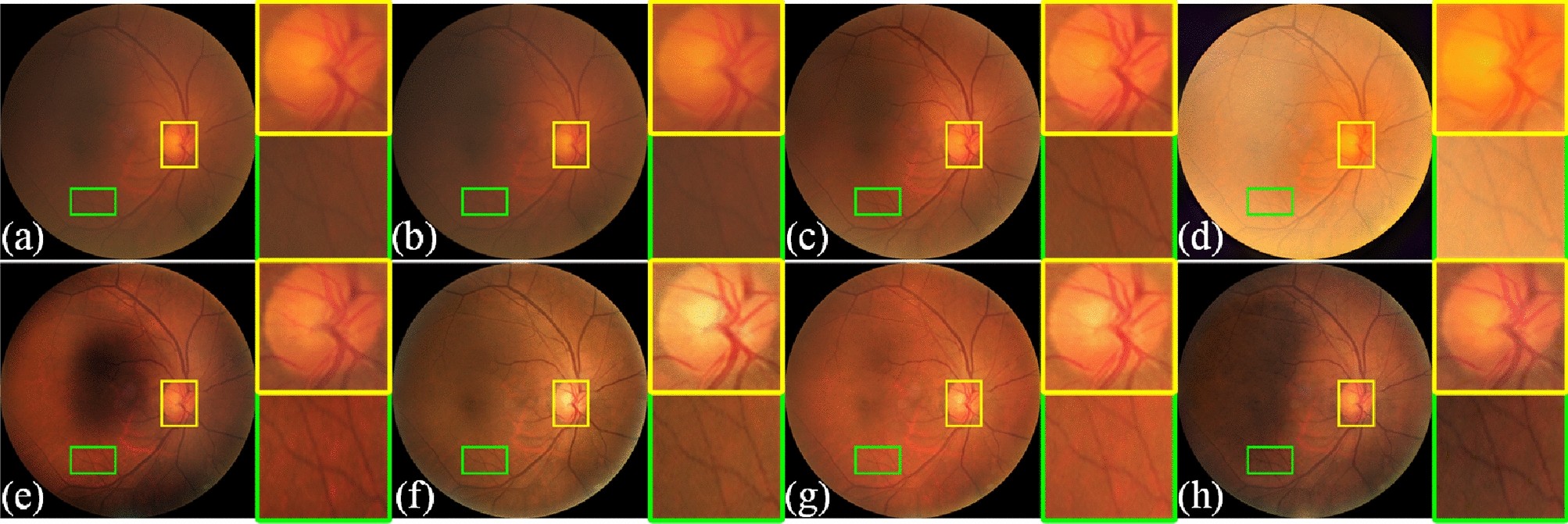
Visual comparsion with state-of-the-art methods on Kaggle, and areas of contrast are marked with green and yellow boxes on the original image. (a) Cataract image. (b) CycleGAN32. (c) CofeNet27. (d) EnlightenGAN24. (e) ArcNet9. (f) PCENet12. (g) GFENet10. (h) TSMSA-Net(ours).