Fig. 3
From: Efficient callus induction and regeneration of tea plant (Camellia sinensis)

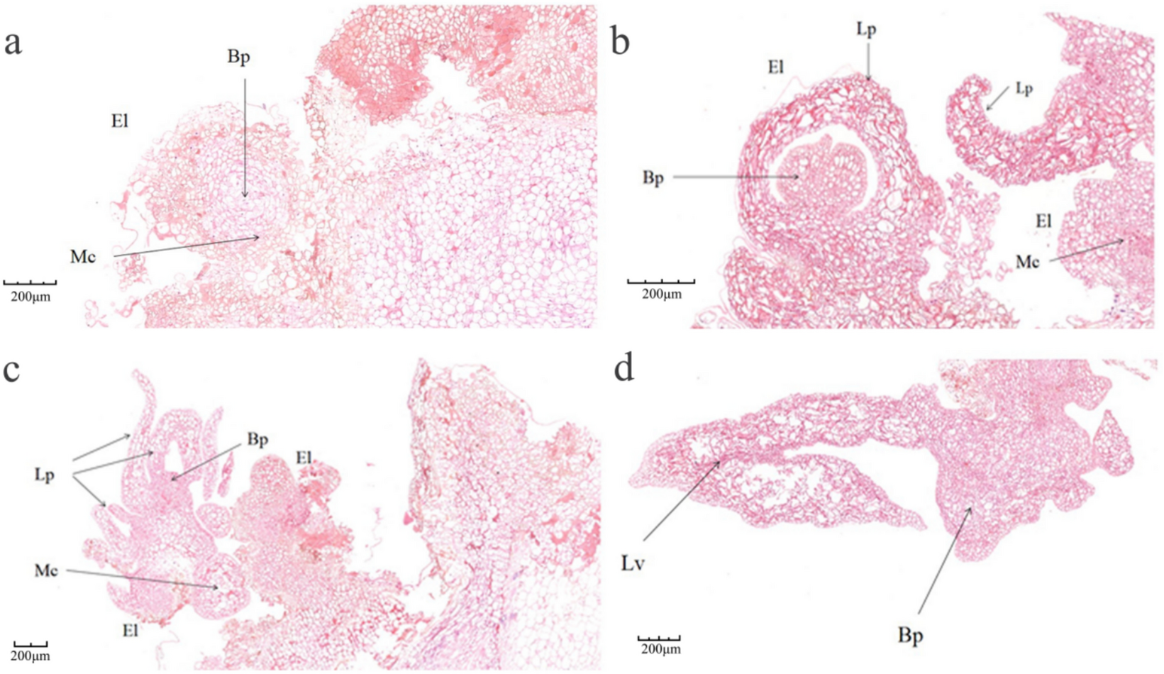
Transverse sections observation on callus of the ‘Yunkang 10’ tea plant. (a) Meristermatic center and Bud primordium. (b,c) Bud primordium and Leaf primordium. (d) Leaf vascular. Mc meristermatic center, El embryo-like structure, Bp bud primordium, Lp leaf primordium, Lv leaf vascular.