Fig. 6
From: Green PEGylated-Sily@ZnFe2O4 nanocomposites for amelioration of ROS and DNA damage in rat liver

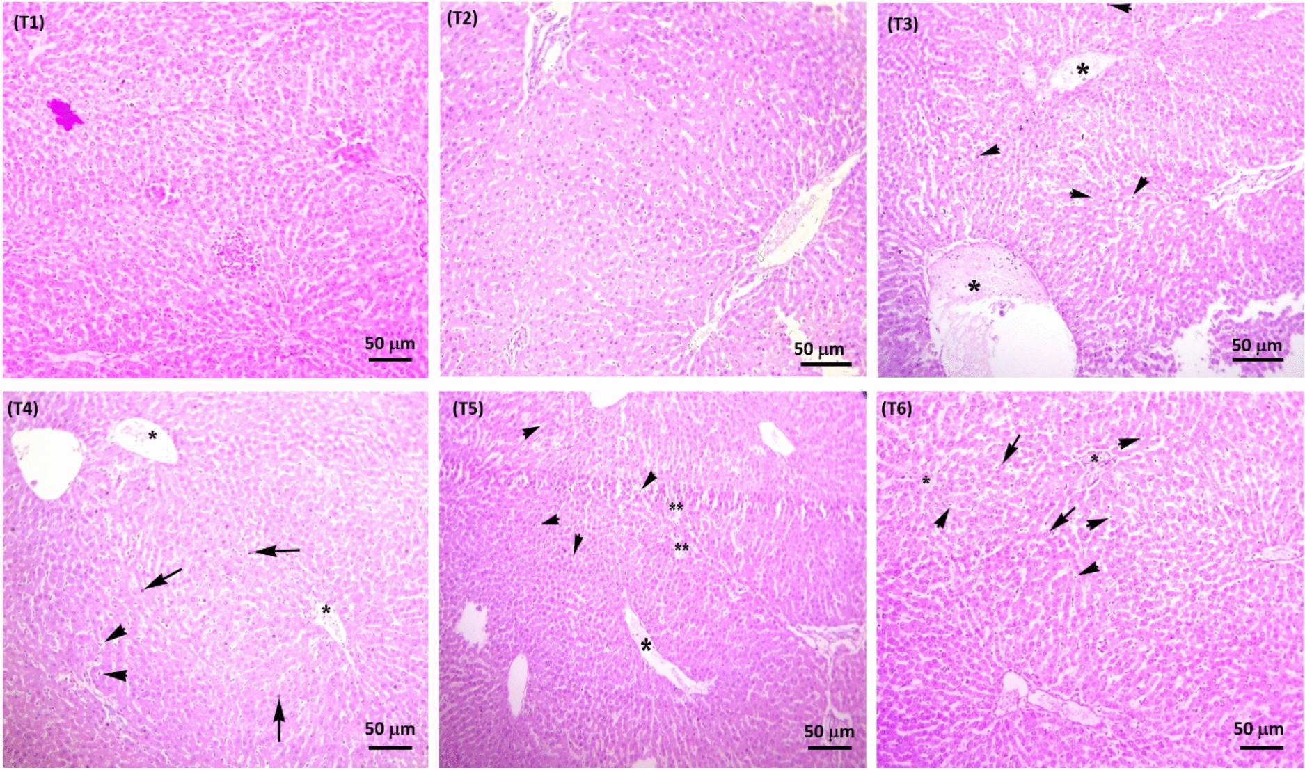
Photomicrograph showing different histopathological alterations in the liver of NCs treated and untreated rats. (T1-T2) Liver with normal histoarchitecture of hepatocytes (T3) severe inflammatory exudate (asterisk), atrophy of nuclei and hepatocytes and hypertrophy of cytoplasm (arrowhead) (T4) severe inflammatory exudate (asterisk), atrophy of nuclei and hepatocytes and hypertrophy of cytoplasm (arrowhead) necrosis of hepatocytes (arrow) (T5) severe inflammatory exudate (asterisk), atrophy of nuclei and hepatocytes and hypertrophy of cytoplasm (arrowhead) increased sinusoidal spaces (double asterisk) (T6) increased severe inflammatory exudate (asterisk), fatty degenerations (arrow), atrophy of nuclei and hepatocytes and hypertrophy of cytoplasm (arrowhead). 400X.