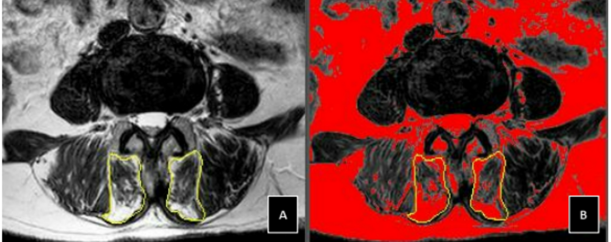
Fig. 3

Measurement of LCSA/GCSA on axial T2-weighted MRI using ImageJ software. Note (A) Total multifidus gross cross-sectional area (GCSA) outlined in yellow at L4/5 level in a 60-year-old female; (B) Calculation of lean multifidus cross-sectional area (LCSA) after threshold adjustment.