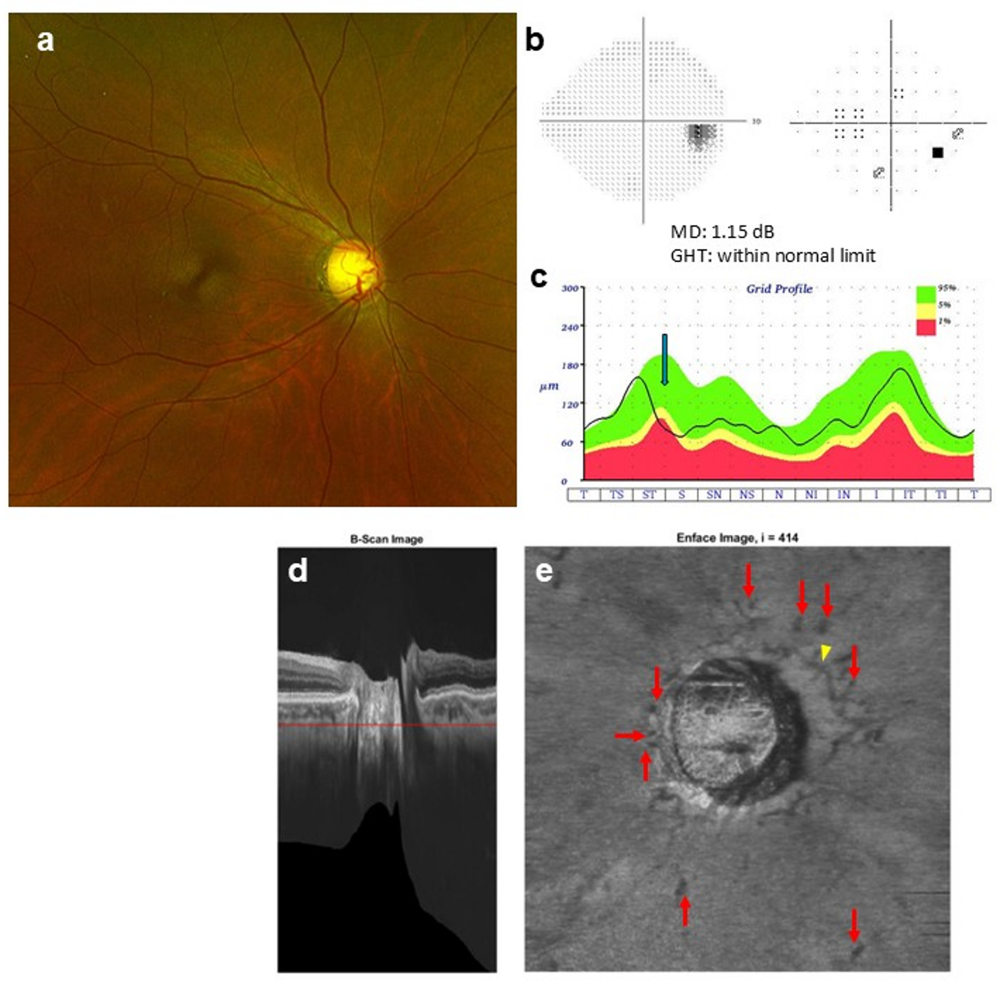
Fig. 3

Representative case of preperimetric glaucoma. (a) Fundus photograph showing increased disc cupping without RNFL defects. (b) Visual field defects are not observed; (c) OCT shows superotemporal RNFL thinning (blue arrow); (d) OCT-B scan with deep-learning enhancement. The red line in (d) indicates the level of the en-face OCT created in (e); and (e) en-face OCT image generated from the enhanced OCT-B scan. The peripapillary perforating scleral vessels (red arrows) and vascular circle of Haller and Zinn (yellow arrowhead) can be seen. RNFL, retinal nerve fiber layer; OCT, optical coherence tomography; MD, mean deviation; GHT, glaucoma hemifield test.