Fig. 1
From: Structural flexibility of a recombinant intrinsically disordered LEA protein from Ramonda serbica

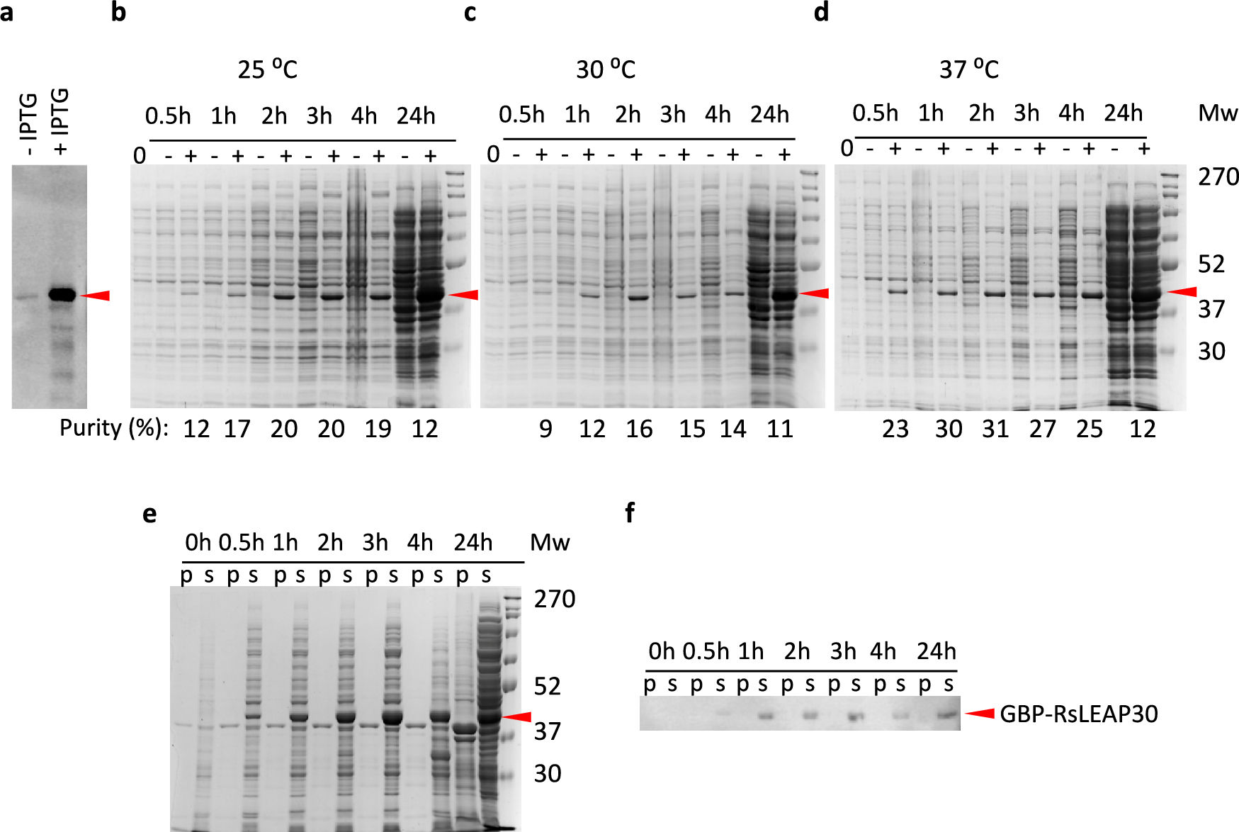
Production of GBP-RsLEAP30 in E. coli BL21(DE3) in the presence or absence of IPTG inducer. (a) Western blot of GBP-RsLEAP30 using anti-His antibody, after 3 h induction at 37 °C. Optimisation of GBP-RsLEAP30 production over a 24 h period at 25 °C (b), 30 °C (c), and 37 °C (d). Equal volumes of total protein extracts were loaded onto gels, which were subsequently stained and scanned according to a standardised procedure. The amounts of GBP-RsLEAP30 and total E. coli proteins were quantified using ImageJ. The purity of GBP-RsLEAP30 is expressed as a ratio of the GBP-RsLEAP30 amount to the total E. coli protein amount. (e) Solubility analysis of GBP-RsLEAP30 over 24 h of incubation at 37 °C (p, pellet; s, supernatant). (f) Western blot analysis of pellet (p) and supernatant (s) fractions of GBP-RsLEAP30 using an anti-His antibody. The molecular weight (Mw) of the markers was specified in kDa (MWP06, NIPPON Genetics, Düren, Germany). "0", samples before induction;"−"conditions without IPTG addition;"+"induction with 1 mM IPTG. The red arrowhead indicates the band corresponding to GBP-RsLEAP30.