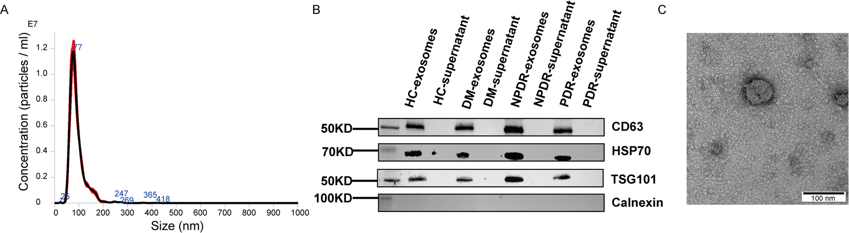
Fig. 1

The characterization of EVs. (A) Nanoparticle tracking analysis. (B) Western blotting of EV markers CD63, HSP70, TSG101, and Calnexin. The full blots are shown in Supplementary Figures. (C) Transmission electron micrographs of EVs. HC, healthy control; DM, diabetes mellitus; NPDR, non-proliferative diabetic retinopathy; PDR, proliferative diabetic retinopathy.