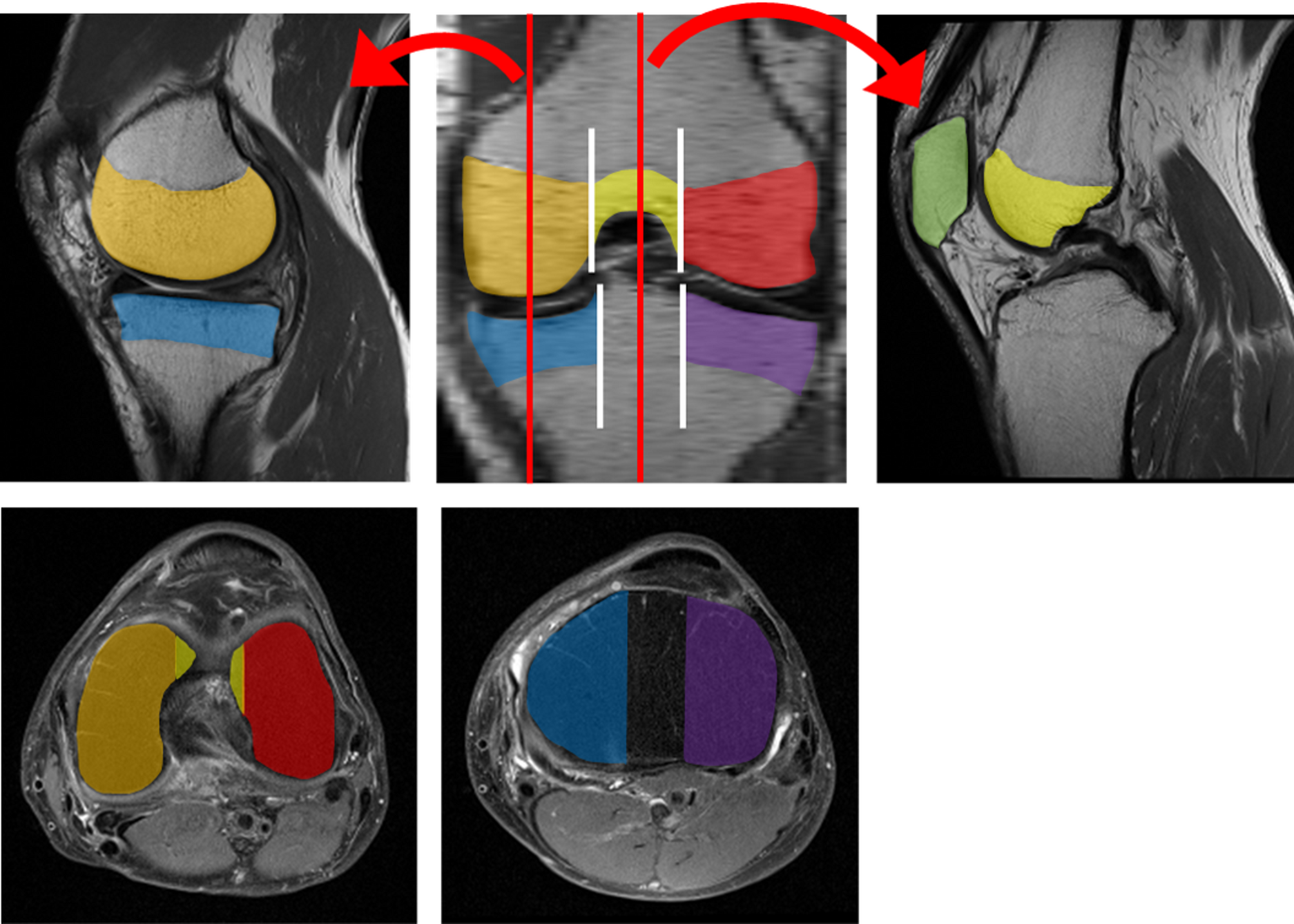
Fig. 3

A visual schematic of the segmentation methodology. The areas of the distal femur, proximal tibia epiphysis, and patella are manually delineated for each slice. The delineated areas of the distal femur and proximal tibia are subsequently divided into three regions by the plane along the edge of the facet: medial, lateral and the articulation between patella and femoral trochlea. The areas of red, yellow, orange, blue, purple and light green correspond to lateral, trochlea and medial femur epiphysis, lateral and medial tibia epiphysis, and patella.