Abstract
This study investigated astaxanthin’s cardioprotective effects in rat autologous orthotopic liver transplantation. Male Wistar rats received astaxanthin (500 mg/kg) for two weeks before transplantation, with controls including sham, transplant-only, and astaxanthin plus all-trans retinoic acid groups. Astaxanthin pre-conditioning significantly reduced myocardial injury markers: IL-6 decreased 2.3-fold, cTnI decreased 1.8-fold, and TNF-α decreased 2.1-fold versus transplant controls. SOD activity increased 1.6-fold while MDA levels decreased 2.4-fold. The Bcl-2/Bax ratio improved 2.2-fold. All-trans retinoic acid negated these protective effects. Astaxanthin pre-conditioning alleviated myocardial injury via the Nrf2/HO-1 pathway, demonstrating therapeutic potential for cardiac protection during liver transplantation.
Introduction
A liver transplant is the only curative treatment for advanced liver failure. However, the inevitable cold ischemia–reperfusion (IR) phase causes hepatic injury and myocardial damage, a leading cause of post-surgical death. Myocardial injury results from oxidative stress, inflammation, and microbial translocation during the perioperative period. Ischemia–reperfusion increases free radicals that damage cardiomyocytes1. Surgery-activated inflammation releases cytokines like TNF-α and IL-6, injuring the myocardium2. Surgery-induced gut barrier disruption causes microbial translocation affecting cardiac function3. Studies show significant increases in myocardial injury markers postoperatively compared to preoperative status, with myocardial damage affecting 40% of liver transplant patients. While liver transplantation treats liver failure, associated complications involve complex mechanisms including oxidative stress, inflammatory responses, and gut bacterial migration.
Astaxanthin (ASX), which is characterized by its red pigment, has a variety of biological activities, including antioxidant, anti-inflammatory, antitumor, and immune-modulating activities2. ASX has been shown to protect the heart in mice exposed to lung injury and sepsis triggered by lipopolysaccharide. ASX also shows promise in reducing stress and cell death in the hearts of rats experiencing microembolization3. Qu et al.4 reported that 3’S ASC alleviates stress-related harm in H9c2 heart cells following H2O2 exposure by decreasing ROS levels via the NKA/Src/Erk1/2 pathways4. In addition, Zaafan et al.5 showed that ASX effectively decreases responses induced by LPS and lowers apoptosis in heart cells by targeting the MAPK with PI3K/AKT pathways5. Cui et al.6 concluded that ASX provides protection against OTA-induced heart damage in mice by regulating the Keap1-Nrf2 pathway with inhibition of mitochondria-associated apoptosis. Based on existing literature, ASX demonstrates hepatoprotective effects. Li et al. demonstrated that ASX can attenuate hepatic ischemia–reperfusion injury through activation of the Nrf2/ARE pathway, reducing liver enzyme levels and improving hepatic function7. Li et al. showed that ASX pretreatment significantly decreased hepatic MDA content, enhanced SOD activity, and reduced hepatocyte apoptosis8. Ma et al. further confirmed that ASX protects the liver from drug-induced injury by activating the Nrf2/HO-1 pathway. Conversely, ML385, as an Nrf2 inhibitor, may exacerbate oxidative stress injury9. Taufani et al. demonstrated that ML385 can induce mitochondrial ROS accumulation and disrupt mitochondrial function, potentially aggravating hepatic ischemia–reperfusion injury10.
Nrf2 is a key transcription factor that amplifies antioxidant gene expression to protect against oxidative stress11. Nrf2-mediated activation of antioxidant genes like HO-1 enhances cellular antioxidant and anti-inflammatory activities12,13,14,15,16. Gai et al. demonstrated that ASX protects cardiomyocytes from H/R injury through miR-138/HIF-1α axis regulation17,18. Xie et al. showed ASX’s protective mechanism involves inhibiting MAPK and PI3K/AKT signaling pathways against sepsis-induced myocardial injury19,20,21. Jiang et al. found electroacupuncture improves acute myocardial ischemia by activating the Nrf2/HO-1 pathway and inhibiting ferroptosis22. Wang et al. reported that FOXC2 overexpression reduces myocardial ischemia–reperfusion damage by facilitating the Nrf2/HO-1 pathway in rats23.
This study aimed to elucidate the protective mechanism of ASX against myocardial injury induced by hepatic ischemia–reperfusion in a rat autologous liver transplantation model, focusing on the involvement of the Nrf2/HO-1 signaling pathway.
Materials and methods
Experimental animals and grouping
The experimental procedure for animal treatment in this research work was sanctioned through the IACUC of Nankai University (Approval No. 2010-0113A), and was in accordance with the national regulations on the management of experimental animals and reported in accordance with ARRIVE guidelines. Thirty-two male Wistar rats (8–10 weeks old and weighing 250–300 g) were used in the current study. All the rats were SPF-grade and purchased from Beijing Huafukang Biotechnology Company Ltd. (Animal License No.: SCXK [Beijing] 2019-000; Beijing, China). The temperature in the animal house was 23–25 °C with a 12-h light/dark cycle. The rats had unrestricted access to nutrients and hydration. The experimental procedure for animal treatment in this study was sanctioned through the IACUC of Nankai University (Approval No. 2010-0113A) and was in accordance with the national regulations on the management of experimental animals. The rats were grouped as based on a random number table with each group containing eight rats: sham operation (S group); autologous orthotopic liver transplantation (T group); ASX (500 mg/bag) pre-conditioning (A group); and Nrf2 inhibitor all-trans retinoic acid plus ASX pre-conditioning (B group). Groups A and B were pretreated with ASX; group A received 500 mg/kg of ASX, and group B received 10 mg/kg of all-trans retinoic acid plus 500 mg/kg of ASX. Both compounds were administered in the same volume of 0.9% saline to ensure consistency in dosing, and were given via gavage at 0.5 ml per dose twice daily for 2 weeks. Groups S and T were given the same volume of 0.9% saline solution.
Materials
ELISA Kit: Boster Biological Technology, Catalog Number EK0411.
PCR Kit: Biosharp (Baishaye), Catalog Number BS350A.
ASX 500 mg/bag: Peak plasma concentration is reached at 3.67 h after a single gavage administration. Antioxidant studies often require continuous treatment for 2–4 weeks.
Pharmacokinetics: Primarily metabolized in the liver; shows higher concentrations in the intestine, liver, and spleen. The half-life is approximately 16–21 h, and metabolites are excreted through bile and urine.
All-trans Retinoic Acid 10 g/bag: Peak plasma concentration is reached within 1–2 h after a single dose. Therapeutic effects typically last for 7–14 days. Widely distributed in the liver, lung, and spleen; capable of crossing the blood–brain barrier.
Pharmacokinetics: Metabolized by the liver with a short half-life of approximately 0.7–1.2 h. Metabolites are primarily excreted via bile and urine.
Animal adaptation
All rats were housed in a temperature-controlled environment at 23–25 °C with a 12-h light/dark cycle and had free access to food and water. Food was withheld for 12 h before surgery (water was not restricted). Rats were weighed, their mental state and health condition observed, and any abnormal individuals (e.g., with ruffled fur or slow movement) were excluded. The exclusion criteria are as follows:
Animals showing intolerance to anesthesia (e.g., apnea lasting more than 30 s during induction), hypoglycemic symptoms after preoperative fasting (e.g., tremors, coma), intraoperative surgical accidents (e.g., massive hemorrhage, accidental injury to vital organs), or anesthetic overdose (no spontaneous activity within 2 h post-surgery), as well as postoperative complications such as wound infection (redness, purulence, ineffective antibiotic treatment), continuous weight loss (more than 15% of initial body weight within 72 h post-surgery), or suture detachment/wound dehiscence requiring secondary surgery.
Surgical instruments were sterilized under high pressure; the operating table, gauze, cotton balls, etc., were processed aseptically. The surgical area was disinfected using iodophor or 75% alcohol before surgery. Inhalation anesthesia with sevoflurane (induction at 3–5%, maintenance at 1–2%) was used.
Surgical Operation: Animals were fixed in supine or prone positions on a temperature-controlled operating table (with a 37 °C pad), with limbs gently secured using tape. Eye ointment was applied to prevent corneal dryness. Hair around the incision site (more than 2 cm) was removed using an electric shaver. The area was disinfected using a three-step process of iodophor-alcohol-iodophor (for contaminated surgeries, the disinfection area should be expanded). Surgeons wore sterile gloves, masks, surgical gowns, and laid down sterile drapes. Sterilized instruments were used to avoid cross-contamination. Surgery was performed according to experimental design (such as vascular catheterization, organ resection, etc.). Key points included precise incision length, thorough hemostasis (using electrocoagulation or compression), and layered suturing (absorbable suture for muscle layer, nylon suture for skin).
Intraoperative Monitoring: Respiratory rate, toe color, and corneal reflex were monitored to assess the depth of anesthesia. Anesthetic supplements were administered as needed. Postoperative Care: Recovery and warming were ensured by placing animals on a 37 °C warming pad until fully awake to prevent suffocation in prone position. Animals were individually housed to prevent wound biting by peers.
Pain Management: Nonsteroidal anti-inflammatory drugs (e.g., meloxicam, 1–2 mg/kg subcutaneously) or local anesthetics (e.g., lidocaine gel) were used. For severe pain, opioids (e.g., buprenorphine, 0.05 mg/kg) could be chosen. Wound Care: Incisions were checked daily and disinfected with iodophor 1–2 times a day. Immediate treatment (antibiotics or suture removal and drainage) was required if redness or discharge was observed. Diet and Nutrition: Soft foods (like sugar water, nutrient gel) were provided 4–6 h after surgery. Long-term fasting required supplementation with normal saline (1–2 mL/100 g subcutaneously). Observation and Recording: Weight, activity, food intake, and wound healing were monitored for three consecutive days. Any abnormal symptoms (such as refusal to eat, curling up, aggressive behavior) were recorded. Complication Management: Antibiotics (e.g., enrofloxacin, 5 mg/kg) were given for infections. If sutures came loose, re-suturing was done, and collars were worn. Weight loss exceeding 20% might lead to humane euthanasia. Postoperative Recovery Period: Stitches were typically removed 7–10 days after routine surgery, based on experimental requirements. Ethics and Regulations: The “3Rs principle” (reduction, replacement, refinement) was followed, and surgeries required approval from the animal ethics committee. Humane euthanasia was conducted using an overdose of anesthetic or CO2 inhalation.
Construction of an autologous liver transplantation model
The rats in all groups were fasted for approximately 12 h and anesthetized with 2–3% sevoflurane inhalation prior to surgery. After prepping and disinfecting the skin, a midline abdominal incision was made. The S group involved a laparotomy to free the liver and surrounding blood vessels without vascular occlusion or liver perfusion. The T, A, and B groups established a rat model of autologous orthotopic liver transplantation according to the literature24. The hepatic ligaments were freed and the suprahepatic vena cava (SHVC), intrahepatic vena cava (IHVC), portal vein (PV), and proper hepatic artery were fully exposed. The hepatic vessels were sequentially clamped with non-injury vascular clamps, beginning in the anhepatic phase. A 1–2 mm incision was made on the anterior wall of the IHVC above the clamp to create an outflow tract and the liver was perfused via the PV with 4 °C lactated Ringer’s solution at a dosage of 6–8 ml/min for 30 min. The liver changed shifting from crimson to a clay-yellow color and became cold, indicating successful perfusion. The IHVC outflow tract was sutured with 8–0 non-injury sutures after perfusion. The vascular clamps were removed to restore hepatic blood flow and the liver regained its red color upon reperfusion. The abdominal cavity was rinsed with warm saline post-reperfusion before closure. The rats had access to food and water ad libitum after surgery.
Experimental parameter detection
All rats in each group were fasted for approximately 12 h before surgery and 2–3% sevoflurane was inhaled and anesthetized. When the rats were unconscious, the skin was prepared and disinfected, and injections were administered into the abdomen through the median abdominal incision and samples were obtained. Euthanasia was performed by air embolization with 20 ml of air injected intravenously.
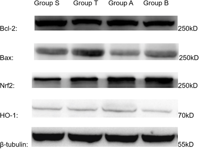
Following cold ischemia–reperfusion of the liver 8 h post-surgery (group S 8 h post-surgery), a 5-ml blood sample was collected via the inferior vena cava below the liver, centrifuged, and the supernatant was kept at − 80 °C. Rat myocardial tissue weighing 0.1 g was minced and homogenized in physiologic saline at 4 °C with the supernatant preserved in a refrigerator at 4 °C. An enzyme-linked immunosorbent assay (ELISA) was used to determine the serum TNF-α and IL-6 levels, and the concentrations of myocardial injury markers (CK-MB and cTnI). The ELISA kits (Boster Biological Technology, Catalog Number EK0411) were purchased from R&D Systems (city, state, USA). The histopathologic changes in the myocardium were examined under a light microscope and the content of malondialdehyde (MDA) in myocardial tissue was measured using the thiobarbituric acid (TBA) assay. The level of superoxide dismutase (SOD) activity was determined using the xanthine oxidase technique. The reagent kits were sourced from Gayman Chemical (city, state, USA). Total RNA from myocardial tissue was isolated using the Trizol method and real-time quantitative PCR kits (Biosharp [Baishaye], Catalog Number BS350A) were used for reverse transcription. PCR reactions were performed to assess the levels of Bax, Bcl-2, Nrf2, and HO-1 mRNA expression within the myocardial tissue. The following primers were used for amplification of the target genes: Bcl-2, F (5′-GTTCGGTGGGGTCATGTG-3′) and R (5′-TCTTCAGAGACAGCCAGGAG-3′); Bax, F (5′-GCTACAGGGTTTCATCCAGG-3) and R (5′-CTCCATGTTGTTGTCCAGTTC-3′); Nrf2, F (5′-TGAAGCTCAGCTCGCATTGA-3′) R (5′-TGCTCCAGCTCGACAATGTT-3′); HO-1, F (5′-AAGCTTTTGGGGTCCCTAGC-3′) and R (5′-GGCTGGATGTGCTTTTGGTG-3′); and β-tubulin, F (5′-TATGTCGTGGAGTCTACTGGT-3′) and R (5′-GAGTTGTCATATTTCTCGTGG-3′).
Universal Biotechnology (Shanghai, China) was responsible for the synthesis of the primers used in this study. The reaction system had a total volume of 20 µl. The PCR protocol involved an initial denaturation step at 95 °C for 30 s, then 40 cycles consisting of denaturation at 95 °C for 5 s, annealing at 58 °C for 30 s, and extension at 72 °C for 1 min. The Quant Studio™5 system (4,472,908; Life Technologies, USA) was used for the amplification with β-tubulin as the internal control for normalizing expression. Western blotting was conducted to evaluate the levels of Bcl-2, Bax, Nrf2, and HO-1 protein expression in the myocardial tissue.
The experiment was conducted with three technical replicates and three biological replicates. Double-blind randomization was used. The parameters measured in serum and tissue homogenates were as follows: TNF-α and IL-6 concentrations were measured using ELISA to assess systemic inflammation, while cardiac injury markers including CK-MB and cTnI levels were also evaluated via ELISA to determine the extent of myocardial damage. For tissue homogenates (heart), malondialdehyde (MDA) content was determined using the thiobarbituric acid method to evaluate lipid peroxidation, and superoxide dismutase (SOD) activity was measured using the xanthine oxidase method to assess antioxidant capacity. This approach ensured a comprehensive evaluation of both systemic inflammatory markers and local cardiac oxidative stress and injury.
Statistical processing details
Statistical analysis was performed using SPSS version 22.0. Quantitative data were displayed as the mean ± standard deviation (± SD). Shapiro-Wilktest was used to confirm the normal distribution. One-way ANOVA was applied to assess group differences, Bonferroni correction was used for specific group comparisons. A statistical P < 0.05 was considered as significance.
Results
Myocardial tissue examined under a light microscope showed that group S rats had normal myocardial fibers without any significant pathologic changes. Groups T, A, and B exhibited pathologic myocardial damage, including contraction of cardiomyocytes, scattered pyknotic cells, extensive vacuolar degeneration, reduced lysed nuclei, and neutrophil infiltration. Group A exhibited significantly less pathologic damage compared to group T, while the group B pathologic changes were similar to the changes observed in group T (Fig. 1).
Compared to group S, groups T, A, and B had increased serum TNF-α and IL-6 concentrations and myocardial MDA content 8 h post-reperfusion with a decrease in myocardial SOD activity (P < 0.05). Group A showed a reduction in serum TNF-α and IL-6 concentrations and myocardial MDA content with increased SOD activity in contrast to Group T (P < 0.05). Group B had increased serum TNF-α and IL-6 concentrations and myocardial MDA content and exhibited reduced SOD activity in contrast to group A (P < 0.05; Table 1).
Statistically significant increases in serum CK-MB and cTnI levels were noted in groups T, A, and B compared to group S (P < 0.05). Group A had a significant decrease in these biomarkers compared to group T (P < 0.05), whereas group B exhibited a significant increase compared to group A (P < 0.05; Table 2).
Groups T, A, and B had significant upregulation in Bax, Nrf2, and HO-1 mRNA and protein expression compared to group S (P < 0.05) and marked downregulation in Bcl-2 expression and protein expression (P < 0.05). Group A had significantly elevated Bcl-2, Nrf2, and HO-1 mRNA and protein levels compared to group T (P < 0.05) and significantly decreased Bax mRNA and protein levels (P < 0.05). Group B exhibited significantly elevated Bax mRNA and protein levels compared to group A (P < 0.05) and significantly reduced Bcl-2 and HO-1 mRNA and protein levels (P < 0.05; Table 3 and Fig. 2).
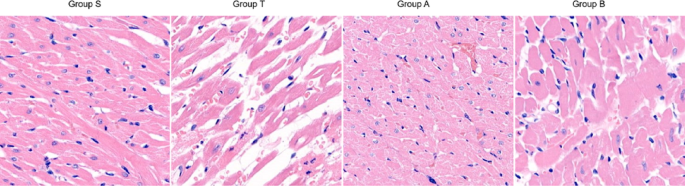
HE results showed no myocardial interstitial abnormalities in group S and myocardial interstitial edema and inflammatory cell infiltration in group T. Group A was better than group T with local mild inflammatory cell infiltration. The inflammatory cell infiltration and myocardial interstitial edema were increased in group B compared to group A (Fig. 3).
HE results comparisons between the groups (400×). (A) Group S: (HE, 400×): The myocardial cells are arranged neatly, with intact morphology, abundant cytoplasm, full nuclei, and clear nucleoli, as indicated by the arrows. No abnormalities in the myocardial interstitium are observed. HE: hematoxylin and eosin staining. (B) Group T: (HE, 400×): As indicated by the arrows, the myocardial cells show increased cell size, blurred cell margins, disorganized myofibrillar arrangement, nuclear content leakage, nuclear condensation and fragmentation, along with interstitial edema and inflammatory cell infiltration. (C) Group A: (HE, 400×): Myocardial cell swelling and myofiber disruption are observed; compared to Group T, the changes indicated by the arrows show some improvement, and focal areas of mild inflammatory cell infiltration can be seen. HE refers to hematoxylin and eosin staining. (D) Group B: (HE, 400×): Compared with Group A, there is increased myocardial cell swelling, myofiber disruption, nuclear condensation and fragmentation, as well as more severe interstitial edema and increased inflammatory cell infiltration. HE refers to hematoxylin and eosin staining. Each injury feature was graded on a scale of 0 to 4 based on severity or extent: 0: No damage. 1: Mild/focal (< 25% of the field). 2: Moderate (25–50% of the field). 3: Severe (50–75% of the field). 4: Very severe/diffuse (> 75% of the field). Contraction band necrosis: 0 = none, 1 = occasional scattered cells, 2 = small focal areas, 3 = large confluent regions, 4 = diffuse and widespread. Myocardial cell edema: 0 = none, 1 = mild, with swelling in a few cells, 2 = moderate, with swelling in many cells, 3 = severe, with diffuse swelling and loss of intercellular space. Hemorrhage: 0 = none, 1 = focal, with a small number of red blood cells, 2 = moderate, multifocal, 3 = extensive confluent hemorrhage. Inflammatory cell infiltration (e.g., neutrophils): 0 = none/very rare, 1 = mild, scattered distribution, 2 = moderate, focal aggregation, 3 = severe, diffuse infiltration or microabscess formation.
Discussion
The primary objective of this study was to evaluate the effectiveness of ASX in protecting against myocardial damage in rats that underwent autologous liver transplantation, focusing on ASX action through the Nrf2/HO-1 pathway. Unlike previous studies that examined ASX’s cardioprotective effects in isolated cardiac injury models19,20,21, our research uniquely demonstrates ASX’s protective mechanism against secondary myocardial injury induced by hepatic ischemia–reperfusion during liver transplantation. The results demonstrated that ASX pretreatment effectively reduced myocardial injury resulting from hepatic ischemia–reperfusion with a possible correlation to stimulation of the Nrf2/HO-1 signaling pathway.
Model validation and injury mechanisms
Utilizing an improved version of the hepatic cold ischemia–reperfusion model as reported by Nozato et al. we established a clinically relevant model for myocardial harm within rats undergoing autologous liver transplantation24. In contrast to the sham operation group, the autologous liver transplantation, ASX pretreatment, and Nrf2 inhibitor all-trans retinoic acid combined with ASX pretreatment groups showed significant increases in myocardial injury markers, including elevated serum IL-6, CK-MB, TNF-α, and cTnI levels, enhanced myocardial MDA content, and reduced SOD activity. These results confirmed myocardial injury mediated through ischemia–reperfusion in autologous liver transplantation. The disparity in CK-MB and cTnI levels between group A and group B may be attributed to several factors: group A exhibited less myocardial damage, reduced inflammatory responses, lower oxidative stress levels, enhanced antioxidant and anti-inflammatory capabilities, and decreased apoptosis, indicating superior myocardial protection and reduced cardiac injury biomarker release.
Novel findings and mechanistic differentiation
While previous ASX research has focused on direct cardiac injury models such as lipopolysaccharide-induced sepsis5, H2O2-induced oxidative stress4, and coronary artery occlusion models19,20,21,22, our study addresses a clinically significant gap by investigating ASX’s protective effects against organ cross-talk injury during liver transplantation. This represents a novel application distinct from the isolated cardiac injury paradigms previously studied. ASX is a powerful antioxidant carotenoid that has demonstrated protective efficacy in many models of myocardial injury25. ASX prevents exercise-, ethanol-, and lipid accumulation-induced myocardial damage and also improves myocardial ischemia due to coronary artery stenosis. Three-month pre-administration of ASX has been reported to improve cardiac functional status in heart failure patients due to left ventricular systolic dysfunction26. Studies have suggested that ASX can reduce cardiac dysfunction and myocardial fibrosis in mice with excessive cardiac stress, and continuous ASX intake can markedly decrease the extent of myocardial infarction and enhance myocardial survival in rats with myocardial ischemia-reperfusion27. ASX can also enhance Nrf2 expression and increase serum glutathione peroxidase and superoxide dismutase levels in rats, thereby strengthening antioxidant capacity and decreasing the synthesis of oxidative byproducts, which protects cardiomyocytes28.
Clinical significance and therapeutic potential
Our findings have significant clinical implications for liver transplantation perioperative care. Unlike previous studies examining ASX in isolated systems, our model mimics the complex pathophysiology of liver transplantation where hepatic ischemia–reperfusion triggers systemic inflammatory cascades affecting distant organs, particularly the heart. This organ cross-talk phenomenon affects up to 40% of liver transplant patients and represents a major clinical challenge. In the current study, ASX pre-treatment significantly decreased myocardial injury markers compared to the autologous liver transplantation group, with reduced serum TNF-α, IL-6, CK-MB, and cTnI levels, decreased MDA content, and increased SOD activity, indicating the effectiveness of ASX in alleviating myocardial injury. Additionally, ASX pretreatment upregulated Bcl-2 and downregulated Bax expression, suggesting that ASX may exert protective effects by modulating the levels of proteins associated with myocardial cell apoptosis.
Mechanistic insights and pathway analysis
The antioxidant potency of ASX is intertwined with its modulation of various molecular and signaling pathways, including the PI3K/AKT and JAK/STAT-3 pathways, the Nrf2 transcription factor, the NF-κB family, MAPKs, and PPARγ29. These modulations allow ASX to display anti-inflammatory, anti-apoptotic, and anti-proliferative actions, which are beneficial in mitigating organ damage30. Nrf2, present in high-oxygen-consuming organs such as muscle, heart, blood vessels, liver, kidneys, and brain, is an essential modulator of oxidative stress and has a pivotal role in antioxidant protection31. Stimulation of the NRF2 signaling pathway engages in the expression of a multitude of downstream antioxidant proteins with a significant rise in HO-1 protein expression32. The cardioprotective effects of ASX, which are mediated by Nrf2, are linked to the pathogenesis of myocardial cell membrane damage due to lipid oxidation, and dysregulation of antioxidant modulation is a primary cause of heart disease, leading to myocardial injury33. More importantly, studies have shown that murine myocardial injury resulting in programmed cell death through the caspase family cascade can be protected by ASX via the Nrf2/HO-1 signaling pathway6.
Our research indicated that compared to group T, group A had enhanced Nrf2 and HO-1 mRNA expression with higher protein content. In group B, however, HO-1 was expressed with lower mRNA levels and reduced protein content compared to group A. Pre-feeding with ASX elevated the protein expression of HO-1 and Nrf2 in myocardial tissue. Thus, ASX may reduce oxidative stress caused by hepatic ischemia–reperfusion injury via Nrf2/HO-1 pathway activation and enhance antioxidant capability.
Apoptotic pathway modulation
Given that the apoptosis of myocardial cells is mitochondrial, Bax and Bcl-2 are important pro-apoptotic and anti-apoptotic proteins, respectively34,35. Moreover, myocardial injury caused by caspase family activation is also an important factor promoting cell apoptosis in rats36,37,38. In the current study, the autologous liver transplantation process downregulated Bcl-2 protein and upregulated Bax protein, confirming our hypothesis that hepatic ischemia–reperfusion injury could promote mitochondrial apoptosis in myocardial cells. Pretreatment with ASX changed the transcription of some apoptosis-related proteins, including Bax and Bcl-2 in myocardial cells, which improved anti-apoptotic capability of the myocardium and decreased apoptosis of mouse myocardial cells caused by hepatic ischemia–reperfusion injury. Therefore, ASX offers protection against myocardial mitochondrial apoptosis triggered by hepatic ischemia–reperfusion injury.
Clinical translation potential and comparative analysis
This study provides a strong theoretical foundation for clinical translation of ASX therapy in liver transplantation. Compared to conventional antioxidants such as N-acetylcysteine (NAC) and Vitamin E, ASX demonstrates superior bioavailability and multi-target therapeutic effects. While NAC primarily acts through glutathione replenishment and Vitamin E functions as a lipid-soluble antioxidant, ASX uniquely combines antioxidant, anti-inflammatory, and anti-apoptotic properties through multiple pathway modulations including Nrf2/HO-1, PI3K/AKT, and NF-κB. Furthermore, ASX’s favorable safety profile in human studies, with doses up to 40 mg daily showing no adverse effects, supports its potential for perioperative administration in liver transplant patients. The 500 mg/kg dose used in our rat model translates to approximately 80 mg daily in humans using standard allometric scaling, which is within the established safety range.
Our findings showed that pretreatment with ASX markedly elevated the levels of Nrf2 and HO-1 mRNA and protein expression. In contrast, all-trans retinoic acid, an inhibitor of Nrf2, coupled with ASX pretreatment, resulted in blunted positive changes. This finding suggests that ASX exerts its cardioprotective function by involving the Nrf2/HO-1 axis, which is crucial for cellular antioxidant defenses and anti-inflammatory activities. Via this pathway, ASX enhanced cardiomyocyte antioxidant properties, reduced oxidative stress and inflammatory responses, and protected the myocardium against injury, representing a promising approach for clinical practice.
Limitations
The current study had several limitations. First, the study was carried out using a rat model so the reactions in human subjects could differ. Second, while we did not simultaneously monitor hepatic function indicators, our findings demonstrate consistent cardioprotective effects that align with direct myocardial Nrf2/HO-1 pathway activation, suggesting the observed benefits are primarily attributable to cardiac-specific mechanisms. Third, the research focused primarily on the Nrf2/HO-1 pathway, though this represents a well-established mechanism for cardioprotection. The experimental sample size was appropriate for this preliminary investigation, and the study design provided meaningful mechanistic insights. Fourth, further studies are needed to optimize dosage and timing for clinical translation. Future investigations will include Nrf2 gene manipulation studies, cardiomyocyte models in vitro, myocardial-specific Nrf2 knockout mice construction, and clinically relevant isolated heart perfusion models (Langendorff system) to further validate our findings.
Conclusion
In conclusion, ASX may be considered a promising candidate treatment for myocardial injury in autologous liver transplantation surgery. This study demonstrated that ASX pretreatment markedly enhanced Nrf2 and HO-1 mRNA and protein expression compared to controls, with this cardioprotective effect being abrogated when combined with the Nrf2 inhibitor all-trans retinoic acid. The observed benefits appear to involve both direct cardiomyocyte protection through Nrf2/HO-1 pathway activation and potentially indirect effects through improved organ function. ASX enhanced myocardial antioxidant capacity while reducing oxidative stress and inflammatory responses. These findings support further investigation of ASX for clinical application in liver transplant patients and other scenarios involving organ transplantation or ischemia–reperfusion injury.
Data availability
The datasets used and/or analysed during the current study are available from the corresponding author on reasonable request.
References
Weng, Y. Q. et al. Preliminary exploration of the myocardial protective mechanisms of ulinastatin during the perioperative period of liver transplantation. Chin. J. Hepatobiliary Surg. 21, 849–851 (2015).
Gao, F. et al. Astaxanthin provides neuroprotection in an experimental model of traumatic brain injury via the Nrf2/HO-1 pathway. Am. J. Transl. Res. 13, 1483–1493 (2021).
Ren, J. et al. Astaxanthin alleviates PM(2.5)-induced cardiomyocyte injury via inhibiting ferroptosis. Cell Mol. Biol. Lett. 28, 95 (2023).
Qu, X. et al. Attenuation of the Na/K-ATPase/Src/ROS amplification signaling pathway by astaxanthin ameliorates myocardial cell oxidative stress injury. Mol. Med. Rep. 22, 5125–5134 (2020).
Zaafan, M. A. & Abdelhamid, A. M. The cardioprotective effect of astaxanthin against isoprenaline-induced myocardial injury in rats: involvement of TLR4/NF-κB signaling pathway. Eur. Rev. Med. Pharmacol. Sci. 25, 4099–4105 (2021).
Cui, G. et al. Astaxanthin protects ochratoxin A-Induced oxidative stress and apoptosis in the heart via the Nrf2 pathway. Oxid. Med. Cell Longev. 2020, 7639109 (2020).
Li, S. et al. Astaxanthin prevents ischemia-reperfusion injury of the steatotic liver in mice. PLoS ONE 12(11), e0187810 (2017).
Li, J. et al. Astaxanthin pretreatment attenuates hepatic ischemia reperfusion-induced apoptosis and autophagy via the ROS/MAPK pathway in mice. Mar Drugs. 13(6), 3368–3387 (2015).
Ma, H. et al. Astaxanthin activated the Nrf2/HO-1 pathway to enhance autophagy and inhibit ferroptosis, ameliorating acetaminophen-induced liver injury. ACS Appl. Mater. Interfaces. 14(35), 39842–39851 (2022).
Taufani, I. P. et al. Mitochondrial ROS induced by ML385, an Nrf2 inhibitor aggravates the ferroptosis induced by RSL3 in human lung epithelial BEAS-2B cells. Exp. Biol. Med. Maywood 248(6), 487–497 (2023).
Li, L. et al. Protective effect of astaxanthin on ochratoxin A-induced kidney injury to mice by regulating oxidative stress-related NRF2/KEAP1 pathway. Molecules 25, (2020).
Kohandel, Z., Farkhondeh, T., Aschner, M. & Samarghandian, S. Nrf2 a molecular therapeutic target for Astaxanthin. Biomed. Pharmacother 137, 111374 (2021).
Cai, X. et al. Astaxanthin activated the Nrf2/HO-1 pathway to enhance autophagy and inhibit ferroptosis, ameliorating acetaminophen-induced liver injury. ACS Appl. Mater. Interfaces 14, 42887–42903 (2022).
Ma, H. et al. Astaxanthin from Haematococcus pluvialis ameliorates the chemotherapeutic drug (doxorubicin) induced liver injury through the Keap1/Nrf2/HO-1 pathway in mice. Food Funct. 11, 4659–4671 (2020).
Azadian, R., Mohammadalipour, A., Memarzadeh, M. R., Hashemnia, M. & Aarabi, M. H. Examining hepatoprotective effects of astaxanthin against methotrexate-induced hepatotoxicity in rats through modulation of Nrf2/HO-1 pathway genes. Naunyn. Schmiedebergs Arch. Pharmacol. 397, 371–380 (2024).
Chen, Y. et al. Astaxanthin alleviates gestational diabetes mellitus in mice through suppression of oxidative stress. Naunyn Schmiedebergs Arch. Pharmacol. 393, 2517–2527 (2020).
Gao, F. et al. Mitochondrial targeted astaxanthin liposomes for myocardial ischemia-reperfusion injury based on oxidative stress. J. Biomater. Appl. 37, 303–314 (2022).
Gai, Y. S., Ren, Y. H., Gao, Y. & Liu, H. N. Astaxanthin protecting myocardial cells from hypoxia/reoxygenation injury by regulating miR-138/HIF-1α axis. Eur. Rev. Med. Pharmacol. Sci. 24, 7722–7731 (2020).
Xie, W. J., Hou, G., Wang, L., Wang, S. S. & Xiong, X. X. Astaxanthin suppresses lipopolysaccharide-induced myocardial injury by regulating MAPK and PI3K/AKT/mTOR/GSK3β signaling. Mol. Med. Rep. 22, 3338–3346 (2020).
Zhang, X. et al. Effects of astaxanthin on microRNA expression in a rat cardiomyocyte anoxia-reoxygenation model. Front. Pharmacol. 14, 1103971 (2023).
Abdulaal, W. H. et al. Modulation of the crosstalk between Keap1/Nrf2/HO-1 and NF-κB signaling pathways by Tomatidine protects against inflammation/oxidative stress-driven fulminant hepatic failure in mice. Int. Immunopharmacol. 130, 111732 (2024).
Jiang, Z. M. et al. Electroacupuncture improves ischemic myocardial injury by activating Nrf2/HO-1 signaling pathway to inhibit ferroptosis in rats. Zhen Ci Yan Jiu 48, 461–467 (2023).
Wang, R., Wu, Y. & Jiang, S. FOXC2 alleviates myocardial ischemia-reperfusion injury in rats through regulating Nrf2/HO-1 signaling pathway. Dis. Markers 2021, 9628521 (2021).
Nozato, E. et al. In situ perfusion of the liver under portosystemic shunt in rats: A stable model of cold ischemia for orthotopic liver transplantation. Transplant. Proc. 30, 3718–3720 (1998).
Kohandel, Z., Farkhondeh, T., Aschner, M., Pourbagher-Shahri, A. M. & Samarghandian, S. Anti-inflammatory action of astaxanthin and its use in the treatment of various diseases. Biomed. Pharmacother 145, 112179 (2022).
Kato, T. et al. Effects of 3-month astaxanthin supplementation on cardiac function in heart failure patients with left ventricular systolic dysfunction-A pilot study. Nutrients 12, (2020).
Zhang, J. et al. Astaxanthin attenuated pressure overload-induced cardiac dysfunction and myocardial fibrosis: Partially by activating SIRT1. Biochim. Biophys. Acta Gen. Subj. 1861, 1715–1728 (2017).
Deng, Z. Y. Protective effect of astaxanthin on experimental myocardial infarct in Beagle dogs and its mechanism on lowering oxidative stress. Chin. J. Clin. Pharmacol. Ther. 21, 509–513 (2016).
Zolnourian, A., Galea, I. & Bulters, D. Neuroprotective role of the Nrf2 pathway in subarachnoid haemorrhage and its therapeutic potential. Oxid. Med. Cell Longev 2019, 6218239 (2019).
Faraone, I. et al. Astaxanthin anticancer effects are mediated through multiple molecular mechanisms: A systematic review. Pharmacol. Res. 155, 104689 (2020).
Turpaev, K. T. Keap1-Nrf2 signaling pathway: Mechanisms of regulation and role in protection of cells against toxicity caused by xenobiotics and electrophiles. Biochemistry (Mosc) 78, 111–126 (2013).
Ashrafizadeh, M. et al. MicroRNA-mediated regulation of Nrf2 signaling pathway: Implications in disease therapy and protection against oxidative stress. Life Sci. 244, 117329 (2020).
Samarghandian, S., Azimi-Nezhad, M. & Farkhondeh, T. Catechin treatment ameliorates diabetes and its complications in streptozotocin-induced diabetic rats. Dose Response 15, 1559325817691158 (2017).
Zhang, J., Liu, D., Zhang, M. & Zhang, Y. Programmed necrosis in cardiomyocytes: Mitochondria, death receptors and beyond. Br. J. Pharmacol. 176, 4319–4339 (2019).
Zhao, Y. et al. Effects of miRNAs on myocardial apoptosis by modulating mitochondria related proteins. Clin. Exp. Pharmacol. Physiol. 44, 431–440 (2017).
Huang, C. H., Wang, F. T. & Chan, W. H. Prevention of ochratoxin A-induced oxidative stress-mediated apoptotic processes and impairment of embryonic development in mouse blastocysts by liquiritigenin. Environ. Toxicol. 34, 573–584 (2019).
Wang, M. et al. Protective effects of Myrica rubra flavonoids against hypoxia/reoxygenation-induced cardiomyocyte injury via the regulation of the PI3K/Akt/GSK3β pathway. Int. J. Mol. Med. 43, 2133–2143 (2019).
Wang, Q. et al. PM(2.5) exposure induces more serious apoptosis of cardiomyocytes mediated by Caspase3 through JNK/P53 pathway in hyperlipidemic rats. Int. J. Biol. Sci. 15, 24–33 (2019).
Acknowledgements
None.
Author information
Authors and Affiliations
Contributions
Shujun Lu: Guarantor of integrity of the entire study; Study concepts; Study design; Statistical analysis Yajing Zhang: Definition of intellectual content; Literature research; Manuscript editing Yiqi Weng: Data acquisition; Manuscript preparation All authors approve the final version of the manuscript.
Corresponding author
Ethics declarations
Competing interests
The authors declare no competing interests.
Ethics approval and consent to participate
The experimental procedure for animal treatment in this research work was sanctioned through the IACUC of Nankai University (Approval No. 2010-0113A), and was in accordance with the national regulations on the management of experimental animals and reported in accordance with ARRIVE guidelines.
Additional information
Publisher’s note
Springer Nature remains neutral with regard to jurisdictional claims in published maps and institutional affiliations.
Supplementary Information
Below is the link to the electronic supplementary material.
Rights and permissions
Open Access This article is licensed under a Creative Commons Attribution-NonCommercial-NoDerivatives 4.0 International License, which permits any non-commercial use, sharing, distribution and reproduction in any medium or format, as long as you give appropriate credit to the original author(s) and the source, provide a link to the Creative Commons licence, and indicate if you modified the licensed material. You do not have permission under this licence to share adapted material derived from this article or parts of it. The images or other third party material in this article are included in the article’s Creative Commons licence, unless indicated otherwise in a credit line to the material. If material is not included in the article’s Creative Commons licence and your intended use is not permitted by statutory regulation or exceeds the permitted use, you will need to obtain permission directly from the copyright holder. To view a copy of this licence, visit http://creativecommons.org/licenses/by-nc-nd/4.0/.
About this article
Cite this article
Lu, S., Zhang, Y. & Weng, Y. Protective effect of astaxanthin on myocardial injury induced by autologous liver transplantation in rats in conjunction with the Nrf2/HO-1 pathway. Sci Rep 15, 37033 (2025). https://doi.org/10.1038/s41598-025-20732-0
Received:
Accepted:
Published:
Version of record:
DOI: https://doi.org/10.1038/s41598-025-20732-0


