Fig. 13
From: LLTH induces white adipose tissue browning via NF κB inhibition in ATM

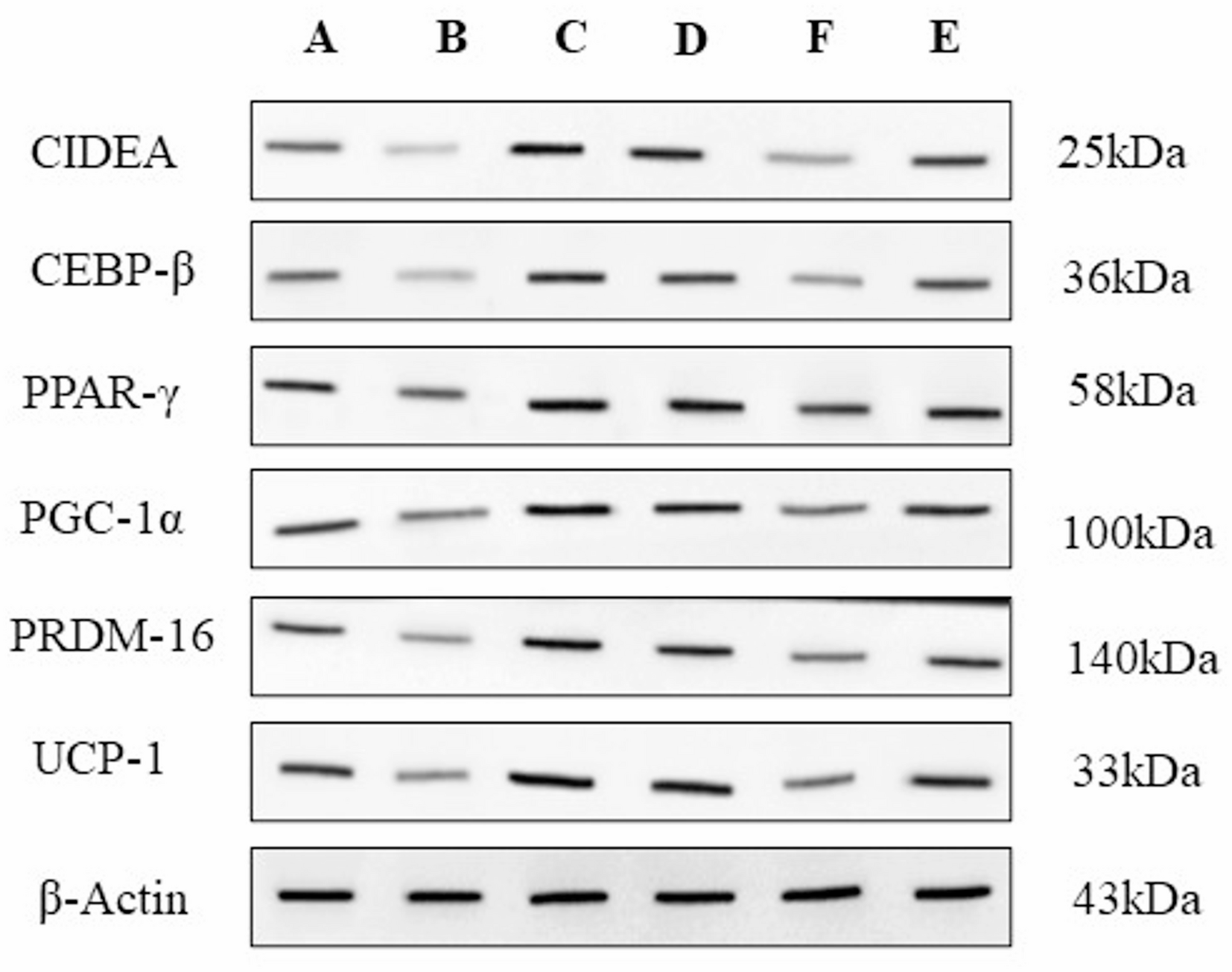
The effect of NF-κB activator on gene expression of browning-related in co-cultured adipocytes protein bands.
From: LLTH induces white adipose tissue browning via NF κB inhibition in ATM

The effect of NF-κB activator on gene expression of browning-related in co-cultured adipocytes protein bands.