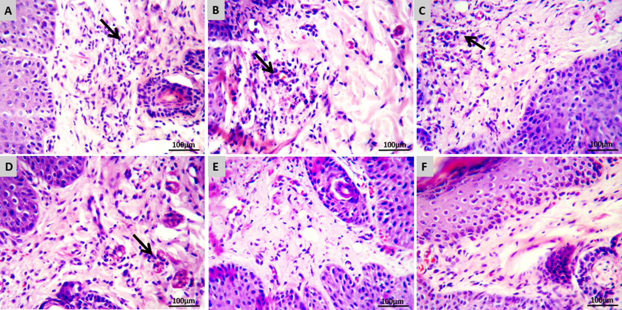
Fig. 6

Histologic features of the guinea pig model of dermatophytosis following treatment with PL gel 1%, PL niosomal gel 1%, niosome 1%, untreated controls, and terbinafine 1%. (A) Intact and untreated group. (B) Infected group after niosome treatment. (C) Infected guinea pigs were treated with terbinafine. (D) Infected guinea pigs were treated with PL gel 1%. (E,F) Infected guinea pigs were treated with PL niosomal gel 1%. (H&E staining, original magnification Ć100, scale bar: 100 μm).