Abstract
Dermatophytosis is a common superficial fungal infection that affects many people worldwide. Although various species of dermatophytes respond to common antifungal drugs, the recently identified Trichophyton indotineae isolates have exhibited significant terbinafine resistance due to mutations in the Squalene Epoxidase (SQLE) gene. Piperlongumine (PL), a natural alkaloid that stimulates ROS production and inhibits some crucial enzymes, has a good capacity to treat these fungal infections. As part of nanotechnology, niosomes can increase the success of the drug by targeting the affected areas. This study investigates the effectiveness of PL niosomal gel 1% in an infected animal model with T. indotineae, providing important insights for infection treatment. Thirty guinea pigs empirically infected with T. indotineae were divided into five groups (e.g., untreated control, treated groups with terbinafine 1%, niosome, PL gel 1%, and PL niosomal gel 1%) and subsequently scored both clinically and mycologically until the 38th day of inoculation. On the 38th day of the study, histological evaluation was performed. In contrast to the terbinafine group, which demonstrated no efficacy (P < 0.05), the 1% PL niosomal gel significantly decreased mycological and clinical lesion scores, leading to complete mycological cure (negative fungal cultures) by day 28. Moreover, histopathological analysis confirmed that this compound reduced epidermal thickness, fungal burden, and inflammation. However, it should be noted that the difference in recovery rate of pigs with PL gel 1% and PL niosomal gel 1% was not statistically significant (p = 0.6). Treatment of T. indotineae dermatophytosis using PL niosomal gel is a safer and more effective alternative to conventional topical and oral antifungal therapies. However, further studies are warranted to correlate these findings with clinical outcomes.
Similar content being viewed by others
Introduction
Fungi are now recognized as major threats to global public health, causing various diseases ranging from mild superficial infections to invasive fatal diseases1. Dermatophytosis, with an incidence rate of 25% globally due to dermatophyte fungi (e.g., Arthroderma, Nannizzia, Trichophyton, Paraphyton, Lophophyton, Epidermophyton, and Microsporum), is considered the most significant superficial fungal infection2. Trichophyton indotineae, morphologically similar to T. mentagrophytes, is an anthropophilic species known to possess contagious properties and is resistant to antifungal drugs, and is responsible for various kinds of dermatophytosis like tinea corporis, tinea cruris, tinea genitalis, and tinea faciei, accompanied by inflammation and severely itching symptoms3,4. Azoles, allylamines, and griseofulvin, administered orally and topically, are among the most effective antifungal drugs, demonstrating a high success rate. However, relapses and treatment failures are common drawbacks of these medications, highlighting the emergence of drug resistance5. According to the whole genome average nucleotide identity (FastANI) values of over 95%, T. indotineae is classified as a distinct species; it is closely related to T. mentagrophytes and T. interdigitale4. Due to its consistent clinical effectiveness and low recurrence rate, terbinafine is considered the first-line treatment for dermatophytosis. However, T. indotineae displays considerable terbinafine resistance due to mutations in the SQLE gene6. Antifungal resistance is a more significant challenge due to the limited number of available drugs5. Developing new antifungal derivatives is a suitable strategy for addressing fungal infections. However, fungi have shown a notable ability to adapt and survive in the presence of these agents, which can lead to drug resistance. Additionally, the lengthy and costly process of designing, testing, and producing new medications has led to the pharmaceutical industry’s reluctance to invest in their development7,8,9. Therefore, drug repurposing represents a viable, cost-effective, and promising strategy that utilizes the antifungal properties of the drug by avoiding the initial stages of production and testing10. Previously identified agents can be tested to determine their antifungal efficacy. If proven effective, these compounds may be used to treat fungal infections; one of these agents is piperlongumine11,12. Piperlongumine, a type of natural compound found in long pepper seeds, has been shown to have a variety of medicinal benefits, including anti-cancer, anti-diabetic, and anti-depressant properties, as well as an anti-angiogenic agent. It is particularly effective in targeting cancer cells while sparing normal cells13,14. The antifungal efficacy of piperlongumine is due to the strong binding affinity to squalene epoxidase and sterol 14-α demethylase, and inhibition of these enzymes15. Nanotechnology significantly enhances treatment effectiveness by enabling the development of targeted drug delivery systems and controlled, delayed drug release mechanisms, which improve therapeutic efficiency while minimizing side effects16. Among these nanocarriers, niosomes have shown great promise as one of the most effective methods for delivering drugs to damaged skin areas and treating cutaneous fungal infections17. Their nanoscale size and bilayer structure allow for deep skin penetration, targeted delivery, and sustained drug release at the site of infection, leading to improved treatment outcomes. Additionally, niosomes comprise non-ionic surfactants and cholesterol, which are generally biocompatible and non-toxic, contributing to a favorable safety profile. From a cost perspective, niosomes offer economic advantages due to their relatively simple preparation methods, stability, and ability to reduce dosing frequency, which can lower overall treatment costs and enhance patient compliance. This combination of efficacy, safety, and affordability makes niosomes a desirable nanotechnology-based platform for topical drug delivery18. The present study aimed to investigate the antifungal efficacy of topical PL niosomal gel in a guinea pig model with dermatophytosis due to T. indotineae. Consequently, it offers important insights into this field of research.
Materials and methods
Fungal strain
T. indotineae (OQ214848), terbinafine-resistant, was sourced from the Invasive Fungi Research Center (IFRC) culture collection. This strain has point mutations in the SQLE gene that lead to two amino acid substitutions in the SQLE protein (e.g., Phe397Leu and Ala448Thr), as previously reported19.
Preparation of piperlongumine-loaded niosomes
Piperlongumine-incorporated niosomes were prepared using an ultrasonic probe method. Briefly, 20 mg of PL, 50 mg of Chol (Sigma-Aldrich, Germany), 100 mg of Tween 80 (Sharlab S.L., Spain), and 100 mg of Span 80 (Samchun Pure Chemical Co., Ltd, Korea) were accurately weighed and transferred into a beaker. The mixture was heated to 70 °C and stirred at 100 rpm for 10 min to ensure complete dissolution of the components. Simultaneously, the aqueous phase, which involves deionized water (10 ml), was heated to the same temperature and added to the lipidic phase. The resulting biphasic system was homogenized using a magnetic stirrer at 700 rpm to form a coarse niosomal dispersion. This dispersion was then subjected to probe sonication at 40% amplitude for 5 min to reduce particle size and promote vesicle formation. Immediately after sonication, the sample was cooled in an ice bath for 15 min to stabilize the niosomal structure and prevent aggregation20. The resulting formulation, designated as PL niosomal gel, was characterized and is summarized in Table 1.
Characterization of Piperlongumine-loaded niosomes
Piperlongumine-niosome assessment
To characterize the physicochemical properties of the PL niosomal gel, average radius, PDI, and surface charge were measured utilizing dynamic light scattering (DLS) with a Zetasizer Nano-ZS analyzer (Malvern Instruments Ltd., UK). To assess potential chemical interactions between product constituents, Fourier-transform infrared spectroscopy (FTIR) was conducted via a Cary 630 spectrometer (Agilent Technologies Inc., CA, USA) equipped with a diamond attenuated total reflectance (ATR) accessory. Spectral data were acquired in the 4000–400 cm⁻¹ range at a 2 cm⁻¹ resolution. Differential scanning calorimetry (DSC) was carried out on a Pyris-6 instrument (PerkinElmer, Norwalk, USA) to investigate the thermal behavior of the nanoparticles in the range of 25–300 °C. Their morphological features and surface construction were visualized using a field emission scanning electron microscope (FESEM; MIRA 3, TESCAN).
Encapsulation efficiency (EE% ) measurement
To evaluate EE%, the PL-loaded niosome was subjected to ultracentrifugation at 21,000 rpm for 45 min using a Sigma 3–30 KS cooled centrifuge (Germany). The collected supernatant was filtered through a 0.22 μm pore-size syringe filter to ensure clarity. Subsequently, the absorbance of the filtrate was recorded at 282 nm using a UV–Vis spectrophotometer (JASCO V-630, Japan) to quantify the free PL content.
In vitro drug release experiment
To assess drug release under laboratory conditions, cellulose acetate membranes (MWCO 12 kDa) were used in diffusion cells. 5 mL aliquot of the optimized PL niosomal gel formulation (equivalent to 10 mg of PL) was added to the donor compartment. The membrane was secured over the cell and sealed tightly. The cells were placed into the vessels of a USP type II dissolution apparatus containing 500 mL of PBS solution and PEG 200 (5% V/V, pH = 5.5) at 37 °C with paddle rotation at 100 rpm. At predetermined intervals (1, 2, 4, 6, 8, 10, and 24 h), 5 mL of the release medium was withdrawn and filtered, and the concentration of PL was determined using UV–Vis spectrophotometry at 282 nm. Each withdrawn aliquot was replaced with a fresh medium to maintain constant volume.
Preparation of inoculation suspension
The isolate of T. indotineae was cultured on potato dextrose agar (PDA, Difco) and incubated at 30 °C for two weeks. To induce sporulation, we subjected the culture to an 8-hour heat shock. Afterwards, a sterile swab moistened with distilled water was used to scrape the cultured colony and collect the spores. Following 5 s of vortexing, the hyphae were allowed to settle at the bottom of the tube for 5 to 10 min. The supernatant was then collected and adjusted to a concentration of 1 × 108 using a hemocytometer21.
Cytotoxicity assay
Human foreskin fibroblast (HFFF2) cells were obtained from the National Cell Bank of Iran, Pasteur Institute of Iran, and cultured in DMEM supplemented with 10% FBS and 1% penicillin/streptomycin (37 °C, 5% CO₂). Cells (1 × 10⁴/well) were seeded in 96-well plates, incubated for 24 h, and treated with PL (in DMSO solution, 0.625–10 µg/mL) or PL niosomal (0.625–10 µg/mL) directly in serum-free medium for 48 h. Solubility was confirmed via vortexing/sonication. Post-treatment, cell viability was assessed using the MTT assay. Formazan crystals dissolved in the DMSO, and absorbance was measured at 570 nm22. Data (triplicate experiments) were analyzed by one-way ANOVA (p < 0.05). Controls included untreated cells and PBS-treated groups. The final DMSO concentration in all treatments was maintained at ≤ 0.1% (v/v), well below the 0.5% threshold, to exclude solvent-related effects23,24.
Formulation of 1% PL Niosomal gel
PL niosomes were incorporated into a 1% w/v Carbopol 941 gel base containing sodium benzoate 1% w/v as a preservative. The concentration of PL in the prepared gel was chosen to be 1% to allow for direct comparison with the commercially available terbinafine cream 1% (terbinafine hydrochloride cream 1%, Tehran Shimi, Iran), which is the standard treatment for dermatophytosis. The Carbopol gel was allowed to hydrate for 24 h in deionized water. The resulting mixture was then stirred and neutralized with triethanolamine (approximately 10 drops) to achieve an appropriate semi-solid carbopol gel matrix25,26.
Animal study
Ethics statement for animal study
All animal experiments were developed according to the Animal Research Recommendations: Reporting of in vivo Experiments (ARRIVE) guidelines and approved by the Ethics Committee of Mazandaran University of Medical Sciences, established under the regulations of the Ministry of Health and Medical Education of Iran (Ethics Committee decision number: IR.MAZUMS.AEC.1402.026).
Dermatophytosis in the guinea pigs
In this study, we purchased 30 albino male guinea pigs from the Pasteur Institute in Tehran, Iran. To eliminate any potential allocation bias, we used an online random number generator (https://www.calculator.net) to divide the guinea pigs into five groups, with each group containing six individuals. Each animal was housed in a separate cage under conditions simulating the natural cycle of sunlight, consisting of 12 h of light and 12 h of darkness, with a balanced airflow circulation and temperature control. Furthermore, they received daily treatment for feeding and changing the bedding. Animals were anesthetized with a combination of ketamine (80 mg/kg body weight) and xylazine (8 to 10 mg/kg body weight). To destroy the epidermal layer of the skin, the back of the guinea pig, measuring 2.5 × 2.5 cm (6.25 cm2), was shaved using an electric razor and then scraped with a sterile needle. Following this procedure, the area was inoculated with 100 µl of PBS containing 1 × 108 cells/ml of T. indotineae spores (OQ214848)19,25. Ten days after inoculation, when symptoms of dermatophytosis appeared, samples were taken from the inoculation site of all piglets and subjected to microscopic examination utilizing 10% KOH, and observation of septate, branched hyphae and arthroconidia. After confirming the infection in all animals, their treatment was started25. Group 1 consisted of untreated controls, and Group 2 consisted of the treated control pigs whose infection site was treated with 1 gram of niosomal gel. Group 3 was treated with 1 gram of 1% PL gel, and group 4 was treated with 1 gram of PL niosomal gel 1%. Finally, Group 5 was treated with 1 gram of terbinafine. All treated groups received their drugs topically twice a day (every 12 h) for 28 days25.
Clinical, mycological, and histopathological observations
To verify the presence and treatment of dermatophytosis in the specified area, three different methods were utilized during the treatment period. Skin histopathological examinations were performed twice, at the beginning and end of the period. Clinical assessments, including imaging and mycological examinations of the lesion site, were conducted weekly until the end of the treatment. During the treatment period, no adverse skin reactions (such as redness, edema, or allergy symptoms) due to gel use were observed in any of the treatment groups. For mycological evaluation, skin scrapings were collected from the site of infection using a scalpel on days 7, 14, 21, and 28 following treatment. Half of the samples were used for microscopic examination with 10% KOH, and the other half were used for a 14-day culture examination in SCC medium (SDA with chloramphenicol and cycloheximide, DIFCO) at 30 °C. For histopathological examination, the skin of the scratched area was biopsied from one animal in each group, both before and after treatment. A sterile biopsy punch with a diameter of 5 mm was used to collect skin samples from anesthetized animals. The collected tissues were preserved in 10% formalin. After processing and paraffin embedding, the samples were cut into slices of 5 μm thickness, stained with H&E dye, and examined for hyphae, inflammation, and tissue destruction. The wound observations were recorded and compared to those of the negative control group for clinical evaluation. This grading system had five points: 0 = no lesions; 1 = only hair loss; 2 = redness with mild scaling; 3 = noticeable redness with significant scaling and hair loss; 4 = ulceration and scarring with signs; and 5 = severe skin lesions, redness, extensive scaling, ulcers, and no hair regrowth. The scores were used to evaluate the effectiveness of treatment. The effectiveness percentage was calculated as follows: Percent efficacy = 100 – (T × 100/C) %, where T is the total score of the treated group, and C is the total score of the untreated control. The total score for each group indicates the average clinical score of six different animals in the same group25. After the study, all infected animals were euthanized using carbon dioxide gas. All methods were carried out according to relevant guidelines and regulations.
Statistical analysis
The experimental data were evaluated using GraphPad Prism software, version 9.1.1. Comparisons among groups were made using Kruskal–Wallis’s and Dunn’s posthoc tests.
Results
Characterization of piperlongumine-loaded niosomes
In this study, stable niosomal vesicles encapsulating PL were successfully manufactured through an ultrasonic-assisted method (as a green method), utilizing an optimized ratio of CHOL and a dual surfactant arrangement composed of Tween 80 and Span 80. Table 1 presents the formulation components and corresponding physicochemical characteristics of the developed niosomal systems. DLS characterized the PL niosomal to quantify average radius, PDI, and zeta potential, as reported in Table 1. These niosomes exhibited a narrow PDI within the nanometric range and adequate surface charge, affirming their colloidal stability. Furthermore, an EE% of 77% was achieved, indicating effective drug incorporation in the niosome.
Morphological study
Figure 1 presents FESEM images showing that the PL niosomal predominantly possess a spherical and homogeneous morphology, corroborating the size distribution observed through DLS (Table 1). Variations between FESEM and DLS-derived sizes can be attributed to methodological differences—DLS measures hydrodynamic diameter, including the solvation layer, whereas FESEM offers a direct assessment of particle dimensions. Additional discrepancies may arise from sample preparation procedures, instrumentation constraints, and inherent heterogeneity in the nanosystem27.
DSC thermogram and ATR-FTIR spectra analysis
The DSC thermograms (Fig. 2a; Table 2) of pure PL, CHOL, and PL-loaded niosomes demonstrate the absence of the melting point of PL in the nanoparticle formulation, suggesting its amorphous state and successful molecular incorporation of PL into the niosomal layer. Though with reduced intensity, the observed CHOL melting transition supports its integration and potential dissolution with surfactants within the vesicular system. ATR-FTIR spectroscopy (Fig. 2b; Table 2) assessed potential molecular interactions between PL and other niosome constituents. The spectra revealed no notable shifts or the formation of new peaks, indicating the absence of chemical bonding between PL and the other ingredients. These findings, corroborated by DSC analysis, suggest that PL is physically entrapped within the niosome without undergoing structural alteration.
In vitro drug release
Figure 3 analysis reveals PL’s comparative drug release profile in a simple solution versus PL encapsulated in niosomes over 24 h. The PL-simple solution exhibits a rapid and significantly higher drug release than the PL niosome, reaching over 70% by 24 h (p < 0.05). In contrast, the PL niosomal formulation demonstrates a slower, more controlled release, reaching just under 50% simultaneously. This sustained release pattern of PL niosomal indicates that the niosomal encapsulation effectively prolongs the release of the drug, which is beneficial for maintaining therapeutic levels over an extended period.
Cell cytotoxicity assay
Free piperlongumine and PL niosomal caused cytotoxicity in HFF2 cells, but with significantly reduced cytotoxicity exhibited by the niosomal formulation (p < 0.05). While 61.25% of cell death was induced by free 10 µg/mL PL, that caused by PL niosomal was 32.18%. The pattern was followed in all the lower concentrations as well: 46.11% vs. 12.28% (5 µg/mL), 18.34% vs. 5.19% (2.5 µg/mL), 1.25 µg/mL (6.55% vs. 1.75%), and 0.625 µg/mL (2.03% vs. 0.33%) by free PL and PL niosomal, respectively. The results are shown in Fig. 4.
Clinical assessment of the therapeutic effectiveness of PL niosomal gel 1%, PL 1% simple gel, and terbinafine 1% in the guinea pig model
Clinical signs of infection appeared ten days after inoculation. On this day, the clinical symptoms were consistent across all groups. Treatment began simultaneously in all groups, except for the infection control group. Photographs of the lesions were taken every 7 days, and clinical symptoms were scored. The photos were assigned anonymous numbers and reviewed by three independent mycologists and histologists. Each of these researchers rated and scored the photos. This procedure was adopted to mitigate bias in the project managers’ interpretation and scoring of the treatment process. Finally, an average of the given scores was considered for each group. On the seventh day after starting treatment, the infection control group scored 5. In contrast, the groups treated with terbinafine 1% and Niosome received a score of 4, and the groups administered Niosome PL 1% showed a score of 3. The infection control group exhibited an increasing infection trend during the 28-day treatment period. The group receiving terbinafine showed an almost constant but severe trend with alternating scores of 4 and 5. The group treated with Niosome showed a decreasing trend of infection, which finally ended in a score of 2. The group treated with 1% PL simple gel showed a decreasing trend of infection, which led to a score of 1 and partial healing of the lesion. The group administered PL niosomal gel 1% showed a decreasing trend of infection, which ended with a zero score and complete healing. In this group, at the end of the procedure, normal hair growth was observed without any signs of infection. Therefore, based on visual assessment, 1% PL niosomal gel showed the best effect, followed by 1% PL simple gel, Niosome, and terbinafine 1%. The obtained scores were also statistically analyzed, showing the efficacy of PL niosomal gel 1% and PL simple gel 1% compared to terbinafine and Niosome (P < 0.05). Although clinically, the lesion treated with PL niosomal gel 1% looked better than PL simple gel 1%, there was no significant difference between the data of these two groups (P = 0.6) (Fig. 5).
Mycological examination
On the 10th day after inoculation, skin scratches were examined microscopically with 10% KOH. The results revealed septate hyphae in all samples, indicating an infection. Consequently, the treatment of the animal groups was initiated. All groups were examined over 7-day periods (7, 14, 21, and 28 days after treatment). Samples were collected from the lesions by scratching. each sample was divided into two portions. Half of the samples were microscopically examined with 10% KOH, while the other half was cultured in the SCC. Microscopic and culture analyses confirmed a high fungal burden in the terbinafine and untreated control groups. In contrast, the groups treated with PL gel 1% and PL niosomal gel 1% demonstrated a reduction in fungal burden, as indicated by the microscopic tests and a decrease in growth observed in the culture tests. Notably, the PL niosomal gel 1% group achieved 0 out of 6 positive cultures by day 28. Similarly, the PL simple gel 1% group also showed a reduction in the number of culture-positive animals, with only 1 out of 6 positive cultures by the end of the study (see Tables 3 and 4).
Histopathological findings
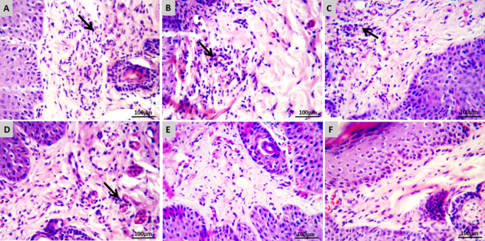
Hematoxylin and Eosin (H&E) staining was used to examine changes in the skin’s epidermis and dermis and assess the levels of skin inflammation. To provide an objective assessment, skin sections were analyzed using a semiquantitative scoring system for the thickness and inflammatory infiltration of the epidermis. The results are summarized in Table 5. Skin samples from the infection control group showed epidermal hyperkeratosis, which was also observed in the stratum corneum of skin infected by fungi. This finding was considered an indicator for comparative analysis among other experimental groups. The skin samples treated with terbinafine exhibited epidermal hyperkeratosis, leading to thickening of the stratum corneum, noticeable inflammation, and high scores for epidermal hyperkeratosis and dense inflammatory cell infiltrates. The skin samples from the group treated with niosome showed a spongy epidermis featuring a parakeratotic stratum corneum, visible inflammatory cells, and neutrophil infiltration into the dermal papillary layer (black arrow, Fig. 6). The skin samples treated with 1% PL simple gel and PL niosomal gel 1% showed a thinner epidermis and less severe inflammation than the infection control group and the PL niosomal gel 1% group achieved the lowest scores. All groups’ histological alterations were consistent with mycological and clinical observations.
Histologic features of the guinea pig model of dermatophytosis following treatment with PL gel 1%, PL niosomal gel 1%, niosome 1%, untreated controls, and terbinafine 1%. (A) Intact and untreated group. (B) Infected group after niosome treatment. (C) Infected guinea pigs were treated with terbinafine. (D) Infected guinea pigs were treated with PL gel 1%. (E,F) Infected guinea pigs were treated with PL niosomal gel 1%. (H&E staining, original magnification ×100, scale bar: 100 μm).
Discussion
Trichophyton mentagrophytes VIII, also known as Trichophyton indotineae, has been reported since 2016 as a causative agent of chronic and resistant infections. Although it was formally introduced in 2020, genetic data indicate that the first sample was obtained from a patient in India in 2004 4. In Iran, epidemiological studies revealed that Trichophyton indotineae has been present since 2008–2010, and data have confirmed it as a native element28.
The high prevalence of this fungus has been documented in Iraq and other Middle Eastern countries, and its dissemination has been observed in Europe, North America, and Asia, particularly among immigrants and travellers from the Indian subcontinent4. Some animals, such as cattle and canines, have become infected with this fungus and may act as a reservoir. However, although direct transmission from animals to humans is not yet confirmed, human transfer is considered the most important concern. According to available data, the native area of the fungus is probably widespread from the Middle East to Southeast Asia4,29.
In this specific strain, the substitutions Phe397Leu, Leu393Ser, and the double mutant Leu393Ser/Ala448Thr in the SQLE gene result in high resistance to terbinafine19. Additionally, the upregulation of ABC transporters or mutations in the ERG11/CYP51 gene confer high resistance to azole drugs. Furthermore, the double mutation Phe397Leu/Ala448Thr confers resistance to terbinafine and azole drugs30. Conventional treatments with oral and topical antifungal agents are associated with some side effects31. Consequently, utilizing novel agents for managing this resistant dermatophytosis is warranted32. Over the past few years, herbal remedies have attracted much attention. Some medicinal plants can inhibit the growth of fungi by affecting metabolic pathways. For instance, compounds such as terpenoids, flavonoids, and alkaloids effectively suppress fungal proliferation. Piperlongumine, as an amide alkaloid, may be effective against resistant fungal infections by inhibiting specific enzymes and inducing oxidative conditions within fungal cells15. Herbs have long been recognized as natural alternatives to pharmaceutical drugs. In addition to their low-cost production, they offer a promising, intelligent, and eco-friendly strategy with fewer side effects. However, herbs do face challenges such as oxidation and epimerization. This is where the developed nanogels come into play, allowing for controlled and targeted release into the deeper layers of the skin to combat fungal infections effectively. Furthermore, nanogels are non-toxic and stable, enabling more efficient antifungal treatments and enhancing immunity32,33,34. This study investigated the efficacy of PL Niosomal gel compared to terbinafine against T. indotineae. Piperlongumine is an electrophilic molecule extracted from the Piperaceae family. This compound has a 5,6-dihydropyridine-2 (1 H)-one unit scaffolding and has received the attention of scientific researchers due to its variety of therapeutic properties, including anti-cancer, anti-angiogenic, anti-fungal, anti-inflammatory, anti-bacterial, and anti-parasitic properties, as well as synergy with modern chemotherapy drugs15,35.
Piperlongumine prevents the proliferation of cancer cells by stimulating the production of reactive oxygen species (ROS) and DNA damage, causing mitochondrial dysfunction, upregulating, and inhibiting the export of proteins from the nucleus in a dose/time-dependent manner. It also causes the selective death of cells, destroying cancer cells while healthy cells continue to live36,37,38. It also induces biochemical changes in the parasites through the induction of oxidative stress, mitochondrial damage, and the destruction of cellular structures, which may ultimately result in cellular death via the activation of the autophagic process34,39,40. Such an effect is also found against fungal cells because PL induces the production of active ROS and leads to the dysfunction of key enzymes such as SQLE, serving as an effective therapeutic compound against fungal infections. Therefore, it can be concluded that PL, using the exact anti-cancer/parasite mechanisms, also affects fungal infections. In addition, PL, through the production of ROS, can help overcome pharmaceutical resistance in fungal infections41. However, PL has limited clinical potential due to poor aqueous solubility and rapid metabolic degradation, which lead to low physicochemical stability and reduced in vivo bioavailability. These limitations hinder the absorption and systemic exposure of certain drugs, necessitating the use of advanced delivery systems to improve their pharmacokinetic profiles42. Niosomes have emerged as one of the most promising carriers for antifungal drug delivery due to their ability to enhance drug solubility, stability, and targeted delivery. Employing a dual mixture of surfactants with contrasting HLB values and CHOL contributes significantly to the improved stabilization of niosomal products. The vesicular structure of the niosome enables sustained release, reduces the frequency of dosing, and targets drug delivery. It also minimizes systemic side effects. The selective orientation of surfactants within hydrophilic and lipophilic domains promotes a robust and cohesive film at the water-oil interface43. Due to their nanoscale size (especially less than 200 nm) and amphiphilic properties, Niosomes facilitate efficient cellular absorption and penetration by enabling enhanced interaction with cell membranes and uptake via endocytic pathways44. Niosomal formulations in the nanoscale range are particularly suitable for topical drug delivery, especially for antifungal drugs, due to their ability to improve skin penetration at the site of infection26. The manufactured niosome exhibited a diameter within the nanometer scale, approximately 90 nm. The PL-loaded niosomes demonstrated the most uniform size distribution and enhanced stability, likely attributed to incorporating a binary mixture of non-ionic surfactants, which functioned as emulsifiers and carriers for the formulation44. Also, the particle size observed through SEM imaging corresponded well with the values obtained from DLS analysis. Consistent with previous research, the SEM micrographs confirmed the spherical morphology of the niosomal structures.
Furthermore, ATR-FTIR spectroscopy revealed no significant shifts or new peaks, indicating the absence of chemical bonding between PL and other niosome constituents, and together with DSC analysis, confirmed that PL (amorphous state) is physically entrapped within the niosome without structural alteration. Piperlongumine niosomal formulation shows a slower, more controlled release of just under 50%, indicating that niosomal encapsulation effectively prolongs drug release and helps maintain therapeutic levels over time. The mechanism of sustained drug release from niosomes is primarily governed by the structural properties of their bilayer membrane, which is composed of non-ionic surfactants and cholesterol45. This bilayer acts as a diffusion barrier, slowing the release of encapsulated drugs by limiting their movement through the vesicle membrane. Cholesterol plays a key role in stabilizing the bilayer and reducing membrane permeability, thereby enhancing the retention of the drug within the vesicle over time. Drug release occurs mainly through diffusion, but in some cases, vesicle erosion or degradation may also contribute, especially under physiological conditions46. The rate and extent of release can be further modulated by factors such as surfactant type, the ratio of cholesterol to surfactant, vesicle size, and the physicochemical properties of the drug. This controlled release mechanism allows niosomes to maintain therapeutic drug levels for extended periods, reducing dosing frequency and improving treatment efficacy47. Haghani et al. reported that against terbinafine-resistant Trichophyton species, the MIC of PL ranges from 0.016 to 4 µg/ml and exhibits good activity. This report corroborates our results in confirming the activity of PL against T. indotineae in vivo15. In a study conducted by Navickiene et al. (2000), the inhibitory potential of amides extracted from Piper hispidum and Piper tuberculatum against the fungus Cladosporium sphaerospermum was documented48. Marques et al. showed that compounds and derivatives extracted from leaves of P. scutifolium and P. hoffmannseggianum exhibited antifungal effects against C. sphaerospermum and C. cladosporioides, which likely interact directly with fungal cell structure49. Piperlongumine has shown potential in improving the effectiveness of chemotherapy by working synergistically with existing drugs. This enhanced effect may result from several mechanisms, such as inducing apoptosis (programmed cell death), inhibiting specific signaling pathways, and increasing the sensitivity of cancer cells to traditional chemotherapeutic agents. 36. Such work has been reported in its interaction with antibiotics and anti-parasitic drugs51. Piperlongumine can increase the antifungal effects of some other drugs. However, the synergy effect has not been observed with antifungal drugs in some cases. In the study by Mgbeahurueike et al. (2019), it was observed that, despite the synergistic effect between PL and Rifampin as well as Tetracycline against Staphylococcus aureus and Pseudomonas aeruginosa, there was no synergistic interaction between this compound and itraconazole against Candida albicans. Furthermore, PL demonstrated an inhibitory zone measuring 18.2 mm against C. albicans, while itraconazole created a 15.2 mm inhibitory area. This suggests that PL may, in some cases, exhibit greater efficacy than conventional antifungal drugs52. Piperlongumine demonstrates antifungal properties and can inhibit aflatoxin production against A. flavus. It can inhibit the biosynthesis of aflatoxin B1 by up to 96% at a concentration of 0.5% (w/v). The dual effect of PL in inhibiting fungal growth and suppressing toxins is of considerable value in the agricultural and community health industries53,54. Bezerra et al. (2008) reported that a nontoxic concentration of PL (10–100 µg/ml) resulting in DNA damage halted the cell cycle, subsequently inducing apoptosis in Saccharomyces cerevisiae and V79 cells55. Mgbeahuruike et al. (2019) stated that PL, with a minimum inhibitory concentration (MIC) of 39–78 µg/ml against C. albicans, possesses significant potential for antifungal activity56. Piperlongumine is a natural NLRP3 inhibitor and shows significant anti-inflammatory effects by reducing inflammatory cytokines such as TNF-α, IL-6, and IL-1β 57. Therefore, this analgesic and disinfectant compound can contribute to managing parasitic and fungal infections and diminish their clinical symptoms15,57. Recent studies show that PL and terbinafine effectively treat dermatophytosis. In a guinea pig study, terbinafine could eliminate the Trichophyton infection from infected hair and showed more significant clinical improvement than lanoconazole and luliconazole58. In another study, PL in a nano-emulsion form, with a 20–50% reduction in minimum inhibitory concentration (MIC90), exhibited significant antifungal properties59. Piperlongumine has also shown more substantial antifungal effects against Trichophyton spp and A. fumigatus and has been introduced as an effective treatment for terbinafine-resistant dermatophytosis15. The mechanism of action of these two drugs is different; terbinafine inhibits the squalene epoxidase enzyme, whereas PL targets squalene epoxidase and 14-alpha demethylase15. These characteristics show that PL is a viable option for treating drug-resistant fungal infections, can be a potential alternative treatment, and warrant further investigation to assess clinical outcomes.
The observed therapeutic effects of drug-free (blank) niosomal gels can be scientifically attributed to the keratolytic and skin-modulating properties of common excipients such as surfactants and cholesterol present in the formulation. Surfactants, particularly nonionic types used in niosomes, interact with the stratum corneum by disrupting the cohesion between corneocytes, facilitating mild exfoliation and promoting desquamation. This keratolytic action enhances skin renewal and helps remove dead cells and debris, which creates a favorable environment for wound healing and epidermal regeneration (Shirsand et al., 2012)26. Moreover, surfactants increase hydration of the stratum corneum by altering lipid organization and enhancing water retention, further supporting skin barrier recovery and improved microenvironment conditions for tissue repair. Regular application combined with gentle mechanical cleansing during gel use can reduce microbial load on the skin surface, limiting pathogen colonization and biofilm formation by impairing adhesion to the skin, which correlates with decreased inflammation and accelerated healing even without direct antimicrobial agents (Mayu et al., 2023)60. The niosomal carrier system itself contributes by forming a semi-occlusive, biocompatible film that maintains moisture and protects the wound, promoting re-epithelialization and physiological remodeling (Uchegbu & Vyas, 1998)61. Such physicochemical and biological effects of excipients and the niosomal structure explain the clinical improvements seen with blank gels, as supported by published in vivo and ex vivo studies showing enhanced skin retention and therapeutic efficacy compared to conventional formulations (Gupta et al., 2010). (Fig. 5)62. The decreased cytotoxicity of PL niosomal is central to its possible application in treating drug-resistant T. indotineae infection. Niosomal encapsulation likely reduces direct contact between PL and host cells, enabling greater therapeutic concentrations without compromising fibroblast cell viability—a significant advantage in dermatophytosis models. The sustained release of PL from niosomes may prolong the antifungal effect with less acute cytotoxicity, increasing the therapeutic window. This aligns with nanocarrier strategies that boost drug safety profiles in resistant infections. The significant disparity in toxicity at high doses (e.g., 10 µg/mL) illustrates the niosome’s protective function toward host tissues, an obligatory requirement for successful in vivo translation in guinea pig models. Further work is needed to correlate these findings with antifungal action and biodistribution to establish the PL niosomal two-in-one benefit: antifungal effectiveness against resistant fungi and reduced host toxicity. Our study achieved a complete fungal cure in an in vivo dermatophytosis model. Although clinical improvement is presented as the primary criterion, the report of negative cultures confirms the eradication of live fungi, indicating the success of antifungal treatment, as it is directly related to preventing disease recurrence. Our findings show that the PL niosomal formulation achieved this goal, while terbinafine, the standard treatment drug, was completely ineffective against this resistant T. indotineae strain. This suggests that our formulation was successful not only in controlling clinical symptoms but also in completely clearing the infection. The properties of the PL molecule, including its antifungal effects (inhibiting the enzymes SQLE and CYP51, as well as inducing the production of reactive oxygen species (ROS)) and anti-inflammatory effects (inhibiting the NLRP3 inflammasome), along with the pharmacokinetic and physical benefits of the niosomal carrier (penetrating deeper into the stratum corneum and hair follicles, providing slow and sustained release of PL, and forming a protective, semi-occlusive film on the skin that creates a moist environment conducive to tissue repair), underlie the reduction in dermatophytosis and skin lesions after PL niosomal gel treatment15,57,63,64.
Although the PL niosomal formulation led to complete eradication of fungi and showed a better safety profile, its clinical score was not statistically different from that of the PL gel. However, this finding does not diminish the value of the Niosome carrier because vital benefits, including low cytotoxicity, are a major advantage that ensures better tolerability for topical use, especially in chronic or widespread infections. In addition, increased skin permeability and sustained drug release in the niosome model provide better possibilities that were not considered in the present study. It seems that the niosome formulation can achieve the same therapeutic effect with a lower concentration of PL or in a shorter treatment period. A lower dose improves the safety margin while reducing costs and treatment duration. Therefore, although our 1% formulation demonstrated its efficacy over 28 days, future studies should focus on optimizing the dose and duration of treatment to fully elucidate the practical benefits of this novel Newsome delivery system.
Conclusion
This study successfully demonstrated the superiority of PL niosomal gel 1% for the treatment of dermatophytosis caused by terbinafine-resistant T. indotineae strain in a guinea pig model. Our formulation not only led to complete mycological and histopathological recovery but also outperformed terbinafine as the standard treatment. Additionally, lower cytotoxicity compared to simple PL significantly improved the safety profile. These findings introduce PL niosomal gel as a promising, safe, and effective topical treatment, offering a suitable alternative to address the growing challenge of drug-resistant dermatophyte infections. However, further studies are warranted to correlate these findings with clinical outcomes.
Data availability
All relevant data is included in the manuscript, and the corresponding author can provide additional information upon reasonable request.
Abbreviations
- SQLE:
-
Squalene epoxidase
- PL:
-
Piperlongumine
- CHOL:
-
Cholesterol
- FTIR:
-
Fourier-transform infrared spectroscopy
- ATR:
-
Attenuated total reflectance
- DSC:
-
Differential scanning calorimetry
- FESEM:
-
Field emission scanning electron microscope
- EE:
-
Encapsulation efficiency
- PDA:
-
Potato dextrose agar
- HFF2:
-
Human foreskin fibroblast
- SCC:
-
SDA with chloramphenicol and cycloheximide
- H&E staining:
-
Hematoxylin and eosin staining
References
Martinez-Rossi, N. M. et al. Dermatophyte resistance to antifungal drugs: mechanisms and prospectus. Front. Microbiol. 9, 1108 (2018).
De Hoog, G. S. et al. Toward a novel multilocus phylogenetic taxonomy for the dermatophytes. Mycopathologia 182, 5–31 (2017).
Khurana, A. et al. A prospective study on patterns of topical steroids self-use in dermatophytoses and determinants predictive of cutaneous side effects. Dermatol. Ther. 33, e13633 (2020).
Jabet, A. et al. Trichophyton indotineae, from epidemiology to therapeutic. J. Med. Mycol. 33, 101383 (2023).
Begum, J. & Das, P. Antifungal resistance in dermatophytosis: A global health concern: antifungal resistance in dermatophytes. Lett. Anim. Biology. 2, 41–45 (2022).
Haghani, I. et al. Potential inhibitory effect of miltefosine against terbinafine-resistant trichophyton Indotineae. Pathogens 12, 606 (2023).
Peyclit, L., Yousfi, H., Rolain, J. M. & Bittar, F. Drug repurposing in medical mycology: identification of compounds as potential antifungals to overcome the emergence of multidrug-resistant fungi. Pharmaceuticals 14, 488 (2021).
Berman, J. & Krysan, D. J. Drug resistance and tolerance in fungi. Nat. Rev. Microbiol. 18, 319–331 (2020).
DiMasi, J. A., Feldman, L., Seckler, A. & Wilson, A. Trends in risks associated with new drug development: success rates for investigational drugs. Clin. Pharmacol. Ther. 87, 272–277 (2010).
Xiong, J., Lu, H. & Jiang, Y. Mechanisms of azole potentiation: Insights from drug repurposing approaches. ACS Infect. Dis. (2025).
Peyclit, L., Baron, S. A. & Rolain, J. M. Drug repurposing to fight colistin and carbapenem-resistant bacteria. Front. Cell. Infect. Microbiol. 9, 193.https://doi.org/10.2147/IDR.S466336 (2019).
Gómez-Gaviria, M., Contreras-López, L. M., Aguilera-Domínguez, J. I. & Mora-Montes, H. M. Strategies of pharmacological repositioning for the treatment of medically relevant mycoses. Infect. Drug Resist. 17, 2641–2658 (2024).
Adams, D. J. et al. Synthesis, cellular evaluation, and mechanism of action of piperlongumine analogs. Proc. Natl. Acad. Sci. 109, 15115–15120 (2012).
Siswina, T., Rustama, M. M., Sumiarsa, D. & Kurnia, D. Phytochemical profiling of Piper crocatum and its antifungal mechanism action as Lanosterol 14 alpha demethylase CYP51 inhibitor: A review. F1000Research 11, 1115 (2023).
Haghani, I. et al. In vitro and silico activity of Piperlongumine against azole-susceptible/resistant Aspergillus fumigatus and terbinafine-susceptible/resistant trichophyton species. Diagn. Microbiol. Infect. Dis. 111, 116578 (2025).
Saeedi, M. et al. Passive targeted drug delivery of Venlafaxine Hcl to the brain by modified Chitosan nanoparticles: Characterization, cellular safety assessment, and in vivo evaluation. J. Pharm. Innov. 18, 1441–1453 (2023).
Morteza-Semnani, K. et al. Green formulation, characterization, antifungal and biological safety evaluation of terbinafine HCl niosomes and Niosomal gels manufactured by eco-friendly green method. J. Biomater. Sci. Polym. Ed. 33, 2325–2352 (2022).
Rahimnia, S. M. et al. Green preparation, characterization, wound healing assessment, and histopathological evaluation of vitamin A encapsulated in niosome and solid lipid nanoparticle. Pharm. Sci. 30, 70–84 (2023).
Haghani, I. et al. High prevalence of terbinafine resistance among trichophyton mentagrophytes/T. interdigitale species complex, a cross-sectional study from 2021 to 2022 in northern parts of Iran. Mycopathologia 189, 52 (2024).
Saeedi, M. et al. Eco-friendly Preparation, characterization, evaluation of anti-melanogenesis/antioxidant effect and in vitro/in vivo safety profile of Kojic acid loaded niosome as skin lightener Preparation. J. Biomater. Sci. Polym. Ed. 34, 1952–1980 (2023).
Song, X., Wei, Y. X., Lai, K. M., He, Z. D. & Zhang, H. J. In vivo antifungal activity of dipyrithione against trichophyton rubrum on guinea pig dermatophytosis models. Biomed. Pharmacother. 108, 558–564 (2018).
Faridnia, R., Kalani, H., Fakhar, M. & Akhtari, J. Investigating in vitro anti-leishmanial effects of Silibinin and Silymarin on leishmania major. Ann. Parasitol. 64 (2018).
Da Violante, G. et al. Evaluation of the cytotoxicity effect of dimethyl sulfoxide (DMSO) on Caco2/TC7 colon tumor cell cultures. Biol. Pharm. Bull. 25, 1600–1603 (2002).
Timm, M., Saaby, L., Moesby, L. & Hansen, E. W. Considerations regarding use of solvents in in vitro cell based assays. Cytotechnology 65, 887–894 (2013).
Haghani, I. et al. A novel niosomal gel for topical delivery of miltefosine against trichophyton Indotineae dermatophytosis in animal model. Mycoses 68, e70045 (2025).
Shirsand, S., Para, M., Nagendrakumar, D., Kanani, K. & Keerthy, D. Formulation and evaluation of ketoconazole niosomal gel drug delivery system. Int. J. Pharm. Invest. 2, 201 (2012).
Rahimnia, S. M. et al. Development, optimization, and in vitro evaluation of Silybin-loaded PLGA nanoparticles and decoration with 5TR1 aptamer for targeted delivery to colorectal cancer cells. AAPS PharmSciTech. 25, 141 (2024).
Mirhendi, H. et al. Increasing and alarming prevalence of trichophyton Indotineae as the primary causal agent of skin dermatophytosis in Iran. Mycoses 68, e70013 (2025).
Oladzad, V. et al. Asymptomatic colonization of stray dogs and domestic cats with trichophyton mentagrophytes II in Northern Iran. J. Med. Mycol. 34, 101496 (2024).
Sonego, B. et al. Trichophyton indotineae, an emerging drug-resistant dermatophyte: a review of the treatment options. J. Clin. Med. 13, 3558 (2024).
Nosratabadi, M. et al. In vitro activity of nanoliposomal amphotericin B against terbinafine-resistant trichophyton Indotineae isolates. Int. Microbiol. 1–7 (2024).
Thawabteh, A. M. et al. Antibacterial activity and antifungal activity of monomeric alkaloids. Toxins 16, 489 (2024).
Kaur, N. et al. A review on antifungal efficiency of plant extracts entrenched polysaccharide-based nanohydrogels. Nutrients 13, 2055 (2021).
Khan, T. A. et al. Evaluation of the antiparasitic and antifungal activities of synthetic piperlongumine-type cinnamide derivatives: booster effect by halogen substituents. ChemMedChem 18, e202300132 (2023).
Mu, W. W., Li, P. X., Liu, Y., Yang, J. & Liu, G. Y. The potential role of the 5, 6-dihydropyridin-2 (1 H)-one unit of piperlongumine on the anticancer activity. RSC Adv. 10, 42128–42136 (2020).
Rawat, L., Hegde, H., Hoti, S. L. & Nayak, V. Piperlongumine induces ROS mediated cell death and synergizes Paclitaxel in human intestinal cancer cells. Biomed. Pharmacother. 128, 110243 (2020).
Roh, J. L. et al. Piperlongumine selectively kills cancer cells and increases cisplatin antitumor activity in head and neck cancer. Oncotarget 5, 9227 (2014).
Niu, M. et al. Piperlongumine is a novel nuclear export inhibitor with potent anticancer activity. Chemico-Biol. Interact. 237, 66–72 (2015).
Veiga-Santos, P. et al. The natural compounds piperovatine and piperlonguminine induce autophagic cell death on Trypanosoma cruzi. Acta Trop. 125, 349–356 (2013).
de Moraes, J., Nascimento, C., Yamaguchi, L. F., Kato, M. J. & Nakano, E. Schistosoma mansoni: in vitro schistosomicidal activity and tegumental alterations induced by piplartine on schistosomula. Exp. Parasitol. 132, 222–227 (2012).
Bezerra, D. P. et al. Overview of the therapeutic potential of piplartine (piperlongumine). Eur. J. Pharm. Sci. 48, 453–463 (2013).
Alamri, A., Huang, Y. & Zhang, H. Liposomal nanoformulation of piperlongumine for improved aqueous solubility and enhanced anti-tumour activity in-vitro. Int. J. Pharm. Pharmacol. 2, 133. 10.31531/25813080 (2018).
Saeedi, M. et al. Green formulation of menadione-loaded niosome as a skin-lightening preparation: In vitro/In vivo safety evaluation on Wistar rat. Adv. Pharm. Bull. 14, (4) 858–869.https://doi.org/10.34172/apb.42731 (2024).
Park, J. H. et al. Polymeric nanomedicine for cancer therapy. Prog. Polym. Sci. 33, 113–137 (2008).
Morteza-Semnani, K. et al. Preparation and in-vitro evaluation of ketoconazole-loaded niosome (ketosome) for drug delivery to cutaneous candidiasis. Pharm. Sci. 29, 208–218 (2022).
Enayatifard, R. et al. A comparative study between two manufacturing processes for venlafaxine-loaded niosome (Nioven) production: Optimization, characterization, pharmacokinetic investigations, depression management, and gene assessment. J. Dispers. Sci. Technol. 1–17 (2025).
Akbari, J. et al. Evaluation of an innovative, green, and eco-friendly baclofenloaded niosome (Baclosome) formulation for pain management by transdermal delivery. Nanomed. J. 12 (2025).
Navickiene, H. M. D. et al. Antifungal amides from Piper hispidum and Piper tuberculatum. Phytochemistry 55, 621–626 (2000).
Marques, J. V. et al. Antifungal amides from Piper scutifolium and Piper hoffmanseggianum. J. Nat. Prod. 70, 2036–2039 (2007).
Chen, W., Lian, W., Yuan, Y. & Li, M. The synergistic effects of oxaliplatin and piperlongumine on colorectal cancer are mediated by oxidative stress. Cell Death Dis. 10, 600 (2019).
Chen, D. et al. Piperlongumine induces apoptosis and synergizes with doxorubicin by inhibiting the JAK2-STAT3 pathway in triple-negative breast cancer. Molecules 24, 2338 (2019).
Mgbeahuruike, E. E., Stålnacke, M., Vuorela, H. & Holm, Y. Antimicrobial and synergistic effects of commercial piperine and piperlongumine in combination with conventional antimicrobials. Antibiotics 8, 55 (2019).
Moon YoungSun, M. Y. et al. Antifungal and antiaflatoxigenic methylenedioxy-containing compounds and piperine-like synthetic compounds. (2016).
Lee, S. E. & Campbell, B. C. Inhibition of aflatoxin B1 biosynthesis by Piperlongumine isolated from Piper longum L. J. Microbiol. Biotechnol. 12, 679–682 (2002).
Bezerra, D. P. et al. Evaluation of the genotoxicity of piplartine, an alkamide of Piper tuberculatum, in yeast and mammalian V79 cells. Mutat. Research/Genetic Toxicol. Environ. Mutagen. 652, 164–174 (2008).
Mgbeahuruike, E. E., Holm, Y., Vuorela, H., Amandikwa, C. & Fyhrquist, P. An ethnobotanical survey and antifungal activity of Piper guineense used for the treatment of fungal infections in West-African traditional medicine. J. Ethnopharmacol. 229, 157–166 (2019).
Shi, J. et al. Piperlongumine is an NLRP3 inhibitor with anti-inflammatory activity. Front. Pharmacol. 12, 818326 (2022).
Ghannoum, M. et al. Efficacy of terbinafine compared to Lanoconazole and Luliconazole in the topical treatment of dermatophytosis in a guinea pig model. Med. Mycol. 48, 491–497 (2010).
Adisuri, D. S., Madhavan, P., Chong, P. P. & Nathan, S. Antifungal activity of Piperine-based nanoemulsion against Candida spp. via in vitro broth microdilution assay. J. Pharm. Sci. 113, 2843–2850 (2024).
Tanaka, M. et al. Structure–activity relationship on selective antibacterial activity of nonionic surfactants. J. Surfactants Deterg. 26, 789–795 (2023).
Uchegbu, I. F. & Vyas, S. P. Non-ionic surfactant based vesicles (niosomes) in drug delivery. Int. J. Pharm. 172, 33–70 (1998).
Gupta, M. et al. Development and characterization of effective topical liposomal system for localized treatment of cutaneous candidiasis. J. Liposome Res. 20, 341–350 (2010).
Vikram, B. V. et al. Niosomal gel: A promising approach for enhanced topical drug delivery. Asian J. Pharm. Res. Dev. 13, 78–87 (2025).
Karki, K., Hedrick, E., Kasiappan, R., Jin, U. H. & Safe, S. Piperlongumine induces reactive oxygen species (ROS)-dependent downregulation of specificity protein transcription factors. Cancer Prev. Res. 10, 467–477 (2017).
Acknowledgements
The sincerest appreciation and thanks go to the authors for their support and contribution.
Funding
This research was funded by Mazandaran University of Medical Sciences (grant number 15210).
Author information
Authors and Affiliations
Contributions
Conceptualization: I.H., S.M.R., and M.A.; methodology: A.A., A.R., Z.Y., J.A., F. TA, and A. B; software: Y.HN; validation: I.H., S.M.R.; formal analysis and revision: S.M.H.H; investigation: I.H., L.D.; resources: I.H.; data curation: Y.HN., A.B., and A.R.; writing—original draft preparation: A.R., I.H., A.B., J.A., S.M.H.H., H.B.; writing—review and editing: H.B., I.H., and M.T.H.; visualization: A.SKH; supervision: I.H., M.A.; funding acquisition: I.H. All authors have read and agreed to the published version of the manuscript.
Corresponding authors
Ethics declarations
Competing interests
The authors declare no competing interests.
Additional information
Publisher’s note
Springer Nature remains neutral with regard to jurisdictional claims in published maps and institutional affiliations.
Rights and permissions
Open Access This article is licensed under a Creative Commons Attribution-NonCommercial-NoDerivatives 4.0 International License, which permits any non-commercial use, sharing, distribution and reproduction in any medium or format, as long as you give appropriate credit to the original author(s) and the source, provide a link to the Creative Commons licence, and indicate if you modified the licensed material. You do not have permission under this licence to share adapted material derived from this article or parts of it. The images or other third party material in this article are included in the article’s Creative Commons licence, unless indicated otherwise in a credit line to the material. If material is not included in the article’s Creative Commons licence and your intended use is not permitted by statutory regulation or exceeds the permitted use, you will need to obtain permission directly from the copyright holder. To view a copy of this licence, visit http://creativecommons.org/licenses/by-nc-nd/4.0/.
About this article
Cite this article
Haghani, I., Raeisabadi, A., Akhtari, J. et al. Innovative green niosomal piperlongumine as a novel topical treatment for dermatophytosis in guinea pigs model. Sci Rep 15, 37829 (2025). https://doi.org/10.1038/s41598-025-21729-5
Received:
Accepted:
Published:
Version of record:
DOI: https://doi.org/10.1038/s41598-025-21729-5








