Fig. 2
From: Mass production of IgY-containing tablets for COVID-19 transmission control

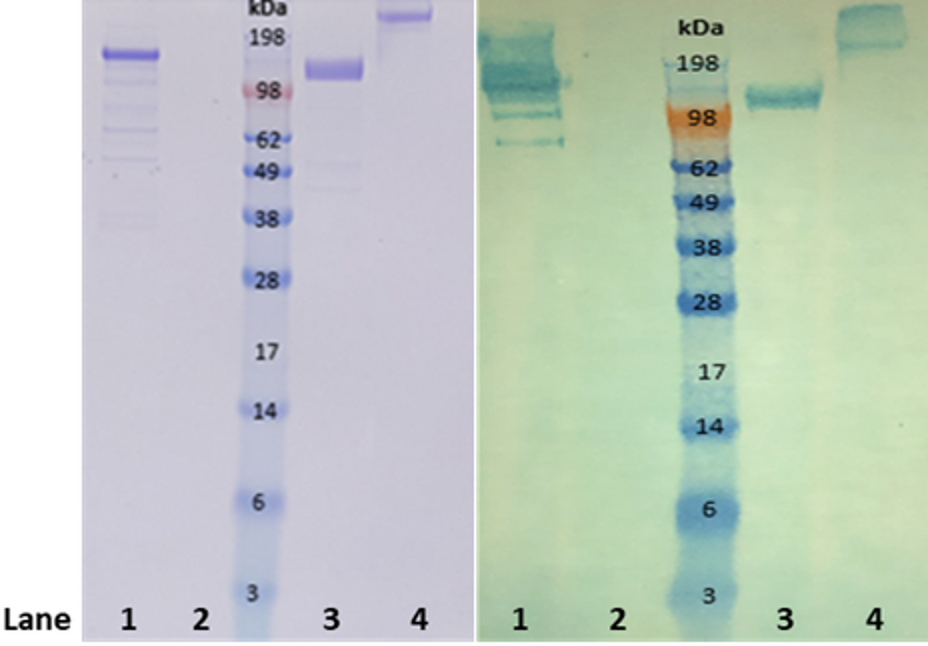
Protein analysis of antigen specificity. Left: SDS-PAGE analysis of Wuhan variant α- SARS-CoV-2 S1 IgY and ACROBiosystems SARS-CoV-2 S1 Recombinants – reduced and non-reduced. Right: Western Blot Analysis of Wuhan variant α- SARS-CoV-2 S1 IgY and ACROBiosystems SARS-CoV-2 S1 Recombinants – reduced and non-reduced. Lanes are identified as follows: (1) α- SARS-CoV-2 S1 IgY (Lot#061820BR) positive control; (2) 1X LDS sample buffer negative control (Lot#2165459) (3) ACROBiosystems SARS-CoV-2 S1 recombinant (Lot#3594b-203ZF1-RC), reduced; (4) ACROBiosystems SARS-CoV-2 S1 recombinant (Lot#3594b-203ZF1-RC), non-reduced. Each lane is loaded with 2 ug targeted amount. The loaded antigen is detected by chicken anti-S1 IgY. The secondary detection antibody used is KPL goat anti-chicken IgY IgG HRP. Original full-length images can be seen in Figure S1.