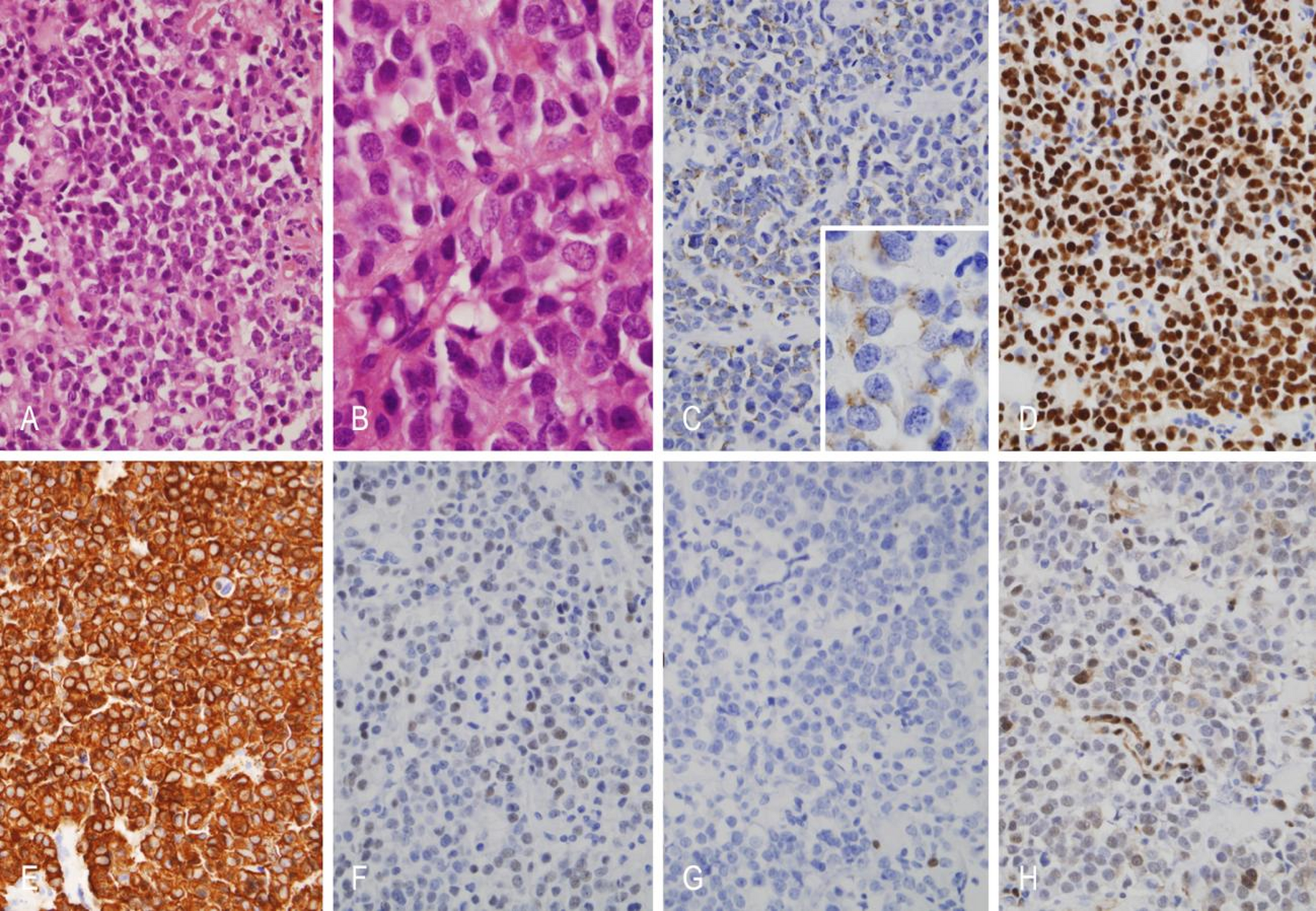
Fig. 3

Microscopic features of case 1. (A and B) Lactotroph PitNET/adenoma with mostly chromophobic tumor cells, in this case arranged in sheets (hematoxilin and eosin stain). (C) Weak granular cytoplasmic immunoreactivity pattern for prolactin. (D) Diffuse nuclear immunoreactivity for PIT1. (E) Extensive cytoplasmic immunoreactivity pattern for keratins 8/18. (F) Nuclear reactivity for estrogen receptor alpha. (G) Ki67 proliferation index low (< 0.5%) (H) Conserved immunohistochemical expression for p27. Original magnification: A, 200X; B, 400X; C, 200X, inset, 400X; D-H, 200X.