Fig. 1
From: Organ-protective effects of fullerenol and desflurane in a rat model of ischemia–reperfusion injury

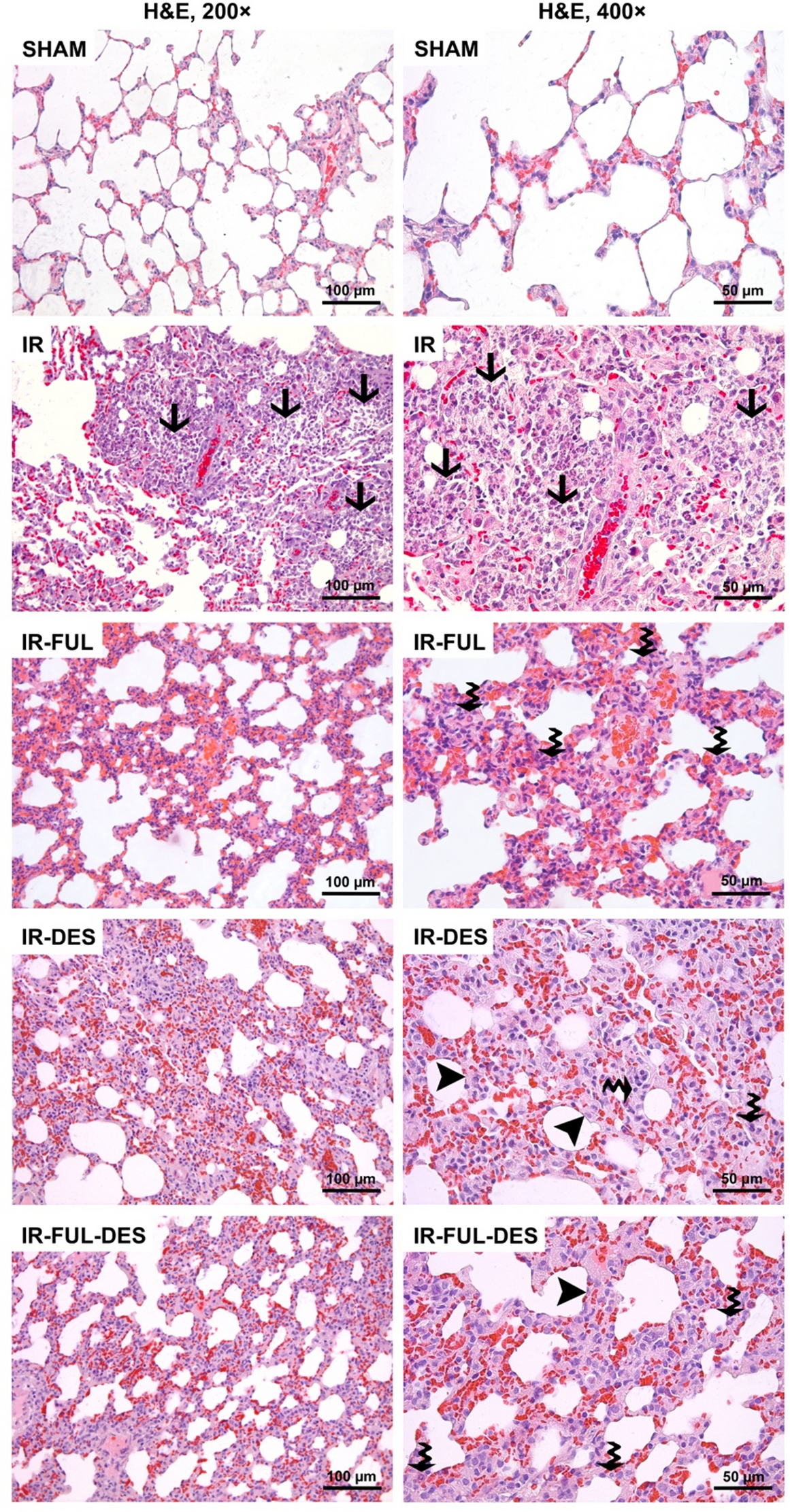
Micrographs representing the H&E stained lung sections. Alveolar spaces were infiltrated by neutrophils in the IR groups, whereas neutrophil infiltration in the interstitial area was noted in the treatment groups. Arrows: neutrophils infiltrating the alveolar spaces; waved arrows: neutrophils infiltrating the interstitial space; arrowhead: alveolar septal thickening. H&E; hematoxylin and eosin stain. 200× and 400× magnifications.