Fig. 3
From: A multicenter study of CT findings in medication-related osteonecrosis of the jaw

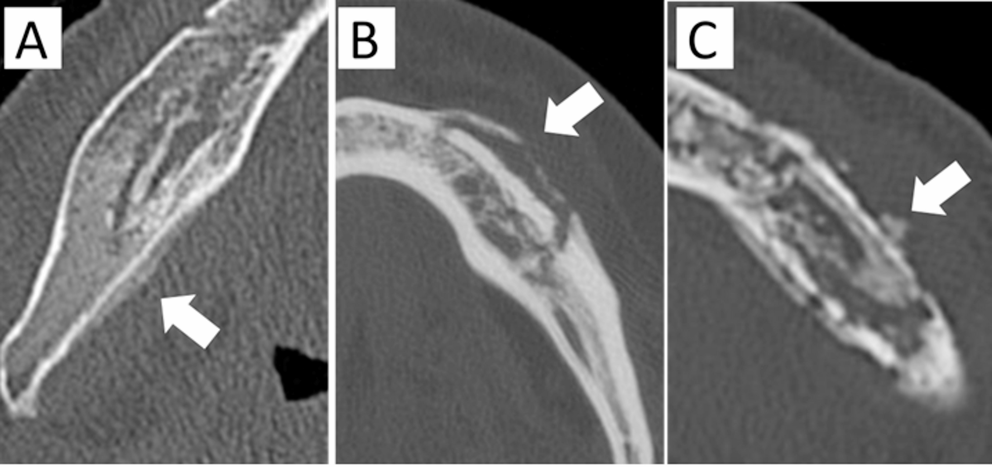
Periosteal reaction.(A) Attached type—new bone is formed parallel to the mandible, without a gap(arrow). (B) Gap type—new bone is formed parallel to the mandible, separated by agap (arrow). (C) Irregular type—new bone is formed with an irregular shape(arrow).