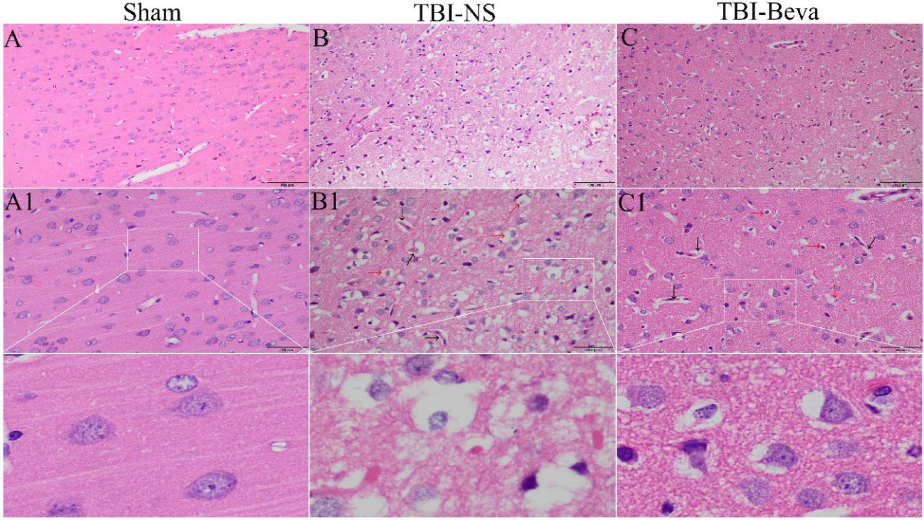
Fig. 2

HE staining (×100 and ×400) reveals the pathological changes in brain edema. A-A1: the brain tissue structure in sham groups remained intact. B-B1: brain edema significantly worsened after TBI (black→: vasogenic edema; red→: intracellular edema). C-C1: bevacizumab treatment reduced cerebral edema.