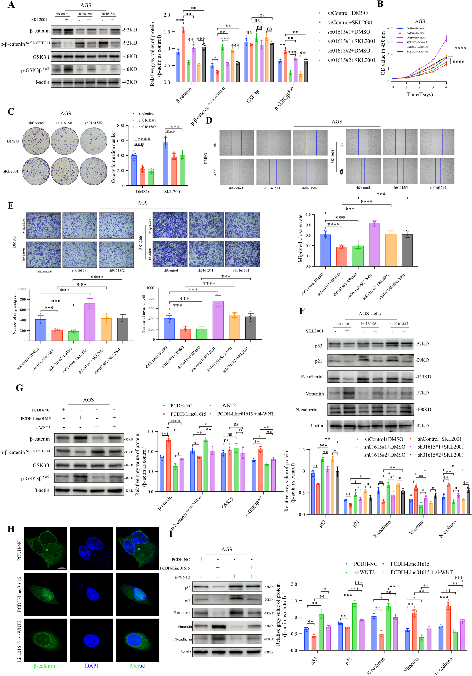
Fig. 5

LINC01615 promotes malignant behaviors of GC through the WNT2/β-catenin signaling pathway. (A) Western blot of key WNT/β-catenin pathway proteins (β-catenin, p-β-catenin [Ser33/37/Thr41], GSK3β, p-GSK3β [Ser9]) in AGS cells with LINC01615 knockdown (sh01615#1, sh01615#2) or control (shControl), treated with SKL2001 (+) or vehicle (DMSO, –). β-actin served as the loading control. (B–C) CCK-8 assay (B) and colony formation assay (C) assessing proliferation and colony-forming ability of AGS cells. (D–E) Wound healing (D) and Transwell assays (E) evaluating migration and invasion. (F) Western blot of p53, p21, E-cadherin, Vimentin, N-cadherin in AGS cells. β-actin served as the loading control. (G) Western blot of WNT/β-catenin pathway proteins in AGS cells overexpressing LINC01615, with or without WNT2 knockdown. β-actin served as the loading control. (H) Immunofluorescence showing β-catenin localization in AGS cells. β-catenin (green); nuclei counterstained with DAPI (blue). (I) Western blot of p53, p21, E-cadherin, Vimentin, N-cadherin in AGS cells. β-actin served as the loading control. ns = not significant; *P < 0.05; **P < 0.01; ***P < 0.001; ****P < 0.0001.