Abstract
The double-flap technique is an anti-reflux valvuloplasty used for esophagogastrostomy after proximal gastrectomy. This technique involves creating two muscular flaps on the remnant stomach using an electrosurgical knife, requiring precise dissection between the muscular and submucosal layers. Inaccurate dissection may cause thermal damage to the muscular flaps and the submucosal layer. To address this issue, we developed the “Saline Fluid Cushion” (SFC) method, which induces submucosal swelling via saline injection, to facilitate safer and easier flap creation. This study evaluates the impact of the SFC method on thermal damage during flap creation using a porcine stomach model. Three surgeons participated in the study, creating flaps (1.25 × 3.5 cm) with SFC and without SFC on porcine stomachs by electrosurgical knife. The stomach samples were fixed, sectioned, and stained with hematoxylin and eosin. Thermal damage was measured using a microscope and image analysis software. The SFC group required more time for flap creation (median: 86 s vs. 48 s, p < 0.001). However, histological analysis revealed less thermal damage in the SFC group on both the flap side (median: 0.76 mm vs. 2.82 mm, p < 0.001) and the mucosal side (median: 0.7 mm vs. 3.79 mm, p < 0.001). The use of SFC during flap creation reduced electrosurgical knife-induced thermal damage on both the flap and mucosal sides in porcine stomach model.
Similar content being viewed by others
Introduction
Gastric cancer is one of the most prevalent malignancies globally, ranking fifth in incidence and fourth in cancer-related mortality1. While the overall incidence of non-cardia gastric cancer has been declining worldwide due to reduced Helicobacter pylori infections, the incidence of cardia or proximal gastric cancer has been increasing, particularly in developed countries2.
Proximal gastrectomy, a function-preserving surgery for such lesions, has gained wide acceptance because it offers comparable oncological outcomes, better preservation of body weight, and improved quality of life compared to total gastrectomy3,4,5. However, simple esophagogastric anastomosis after proximal gastrectomy often leads to gastroesophageal reflux disease (GERD) due to the loss of the natural anti-reflux mechanism6. To address this issue, the double-flap technique (DFT), a technique for valvuloplastic esophagogastrostomy, was developed to prevent GERD7. This technique constructs a mechanical valve using two muscular flaps created on the residual stomach, effectively preventing acid reflux into the esophagus8,9,10,11. The flaps are created by dissecting between the submucosal and muscular layers using an electrosurgical knife. This procedure requires precise and meticulous dissection, as inaccurate dissection may cause thermal damage to the muscular flaps and the submucosal layer.
To improve the safety and efficiency of flap creation, we developed the Saline Fluid Cushion (SFC) method, in which saline solution is injected into the submucosal layer prior to dissection. In clinical practice, this method has been observed to facilitate quicker flap formation and reduce tissue injury (Supplementary Video 1). However, evaluating the effectiveness of the SFC method in real-world clinical settings is challenging. Therefore, the aim of this study is to assess the impact of the SFC method on thermal damage during flap creation using an electrosurgical knife on porcine stomachs. Histological thermal damage to the dissected tissues will be quantified, and statistical analysis will be conducted to determine whether the SFC method effectively reduces thermal injury.
Materials and methods
Flap creation technique
A porcine stomach was obtained from an animal organ supplier (EBM Corporation, Tokyo, Japan). According to the supplier, the stomach had been resected from a six-month-old Sangen-ton pig (a three-way crossbreed) immediately after sacrifice and rapidly frozen within a few hours. It was then thawed at room temperature, opened along the greater curvature, and fixed onto dispersive plates with the mucosal side facing downward (Fig. 1). The electrosurgical generator used was the VIO 100 C (Erbe, Tübingen, Germany), set to Forced Coagulation mode with an output of 30 W. The operating surgeon held the electrosurgical knife and forceps to create a U-shaped flap (1.25 × 3.5 cm) from the greater curvature to the lesser curvature on the serosal side. The flap size was determined based on the original DFT techniques used in clinical practice7. The operating surgeon and the assistant surgeon work collaboratively to provide adequate traction along the dissection line using forceps, in order to minimize the activation time of the electrosurgical knife during dissection, regardless of whether the SFC method is used. Three surgeons participated in this study, and each surgeon created three flaps using the SFC method (SFC group) on one side of the stomach (Fig. 2) (Supplementary Video 2) and three flaps without the SFC method (control group) on the opposite side (Supplementary Video 3). In total, three surgeons created nine flaps in the SFC group and nine flaps in the control group, using three different stomachs. Surgeon A had 32 years of experience, Surgeon B had 30 years of experience, and both surgeons were highly experienced with the DFT and SFC methods in clinical practice. Surgeon C, with 13 years of experience, had no prior experience with either method. Therefore, several weeks before the main experiment, Surgeons A and B trained Surgeon C in creating muscular flaps with and without the SFC method using porcine stomachs under the same conditions as the main experiment. The training continued until he was able to perform the procedure independently, both with and without the SFC method.
Saline fluid cushion (SFC) method
The SFC method involved using a 5 cc syringe with a 23G needle filled with normal saline. Prior to flap creation, approximately 1 mL of saline was injected locally into the submucosal layer. If sufficient submucosal swelling was not observed during flap creation, an additional 1 mL of saline was injected, and dissection was continued (Fig. 2a).
Formalin fixation and staining
The stomach walls with the created flaps were fixed in formalin, and three full-thickness tissue blocks (center, oral side, and anal side) were excised from each flap. After paraffin embedding, thin sections were prepared, mounted on glass slides, and stained with hematoxylin and eosin. Each group had nine flaps, resulting in a total of 27 sections per group.
Definitions and statistical analysis
Flap creation time was measured from the moment the electrosurgical knife was first used for dissection until flap creation was complete. In the SFC group, the time for saline injection was included in the flap creation time. Thermal damage was assessed by examining histological sections of the dissected tissues under a microscope, with Surgeon A assisted by a pathologist. The length of tissue exhibiting histological changes due to thermal damage was measured using image analysis software, Olympus cellSens Standard (Olympus Corporation, Tokyo, Japan). Measurements were made separately for the flap side and the mucosal side, and the total length of thermal damage per section was calculated. Statistical analysis was performed using JMP 17 statistical software (SAS Institute, Inc., Cary, NC, USA). The Wilcoxon rank-sum test was used for continuous data, and a significance level of p < 0.05 was set for all analyses.
All methods in this study were carried out in accordance with relevant guidelines and regulations. All experimental protocols were approved by the NHO Okayama Medical Center Institutional Committee. Informed consent was obtained from the three surgeons for their participation in this study.
Results
Flap creation time
Three surgeons created nine flaps with the SFC method and nine flaps without the SFC method, using three different stomachs (Fig. 2; Supplementary Videos 2 and 3). Flap creation time was significantly longer in the SFC group (median: 86 s) compared to the control group (median: 48 s; p < 0.001) (Table 1).
Microscopic dissection line
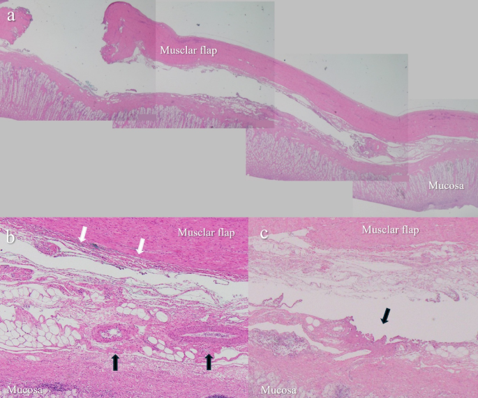
After formalin fixation of the stomachs, 27 HE-stained sections excised from 9 flaps in each group were examined microscopically (Fig. 3a). In both groups, muscular flaps were dissected not between the submucosal layer and the muscular layer but within the submucosal layer (Fig. 3b). Dense connective tissue, including blood and lymphatic vessels, was preserved on the mucosal side. The dissection line was observed in the outer layer of this dense connective tissues and did not differ between the two groups.
Microscopic images of porcine stomach wall after dissection. (a) The muscular flap was dissected from the submucosal layer using the SFC method. The flap length is approximately 12.5 mm. (b) A small amount of submucosal tissue remained on the muscular layer after dissection with the SFC method (white arrows), while blood and lymphatic vessels in the submucosal layer were preserved on the mucosal side (black arrows). (c) Thermal damage on the mucosal side surface after dissection without the SFC method (black arrow).
Thermal damage
The total length of thermal damage on the flap side was significantly shorter in the SFC group (median: 0.76 mm) compared to the control group (median: 2.82 mm; p < 0.001). Similarly, thermal damage on the mucosal side was significantly reduced in the SFC group (median: 0.7 mm) compared to the control group (median: 3.79 mm; p < 0.001) (Table 2; Fig. 3c).
Discussion
To the best of our knowledge, this study is the first to demonstrate that the SFC method reduced electrosurgical knife-induced thermal damage to the dissection surface. While flap creation time was about twice as long in the SFC group, likely due to the time required for saline injection, the SFC method seems to reduce flap creation time in clinical practice. This discrepancy is likely due to the absence of bleeding risk in the porcine stomach model, which differs from the clinical environment.
The use of electrosurgical knife is essential for both dissection and controlling bleeding during clinical flap creation. Creating muscular flaps by the electrosurgical knife is a crucial and indispensable procedure in the clinical DFT, as the valvuloplasty formed by the two flaps prevents reflux at the esophagogastric anastomosis8,9,12. Therefore, minimizing thermal damage to the flaps is essential for the successful DFT.
The SFC method is inspired by the submucosal injection technique used in endoscopic submucosal dissection (ESD)13. This technique lifts the target lesion from the muscular layer, improving visibility of the dissection plane and reducing the risks of bleeding and perforation. In ESD, saline, as well as other fluids like glycerin, hyaluronic acid, and dextran, are used to keep the submucosal layer expanded for a longer period13,14,15. However, since DFT flap creation is a brief procedure and does not require prolonged swelling, using saline is considered the safest and most cost-effective option.
The SFC method has two main advantages when applied in clinical practice. First, the saline solution causes the submucosal layer to swell, performing the initial dissection of the correct layer, which facilitates electrosurgical knife dissection and minimizes bleeding. Second, the submucosal swelling acts as an insulator, protecting the mucosal side from heat generated by the electrosurgical knife16,17. In this study, the more effective prevention of thermal damage on the mucosal side compared to the flap side may be attributed to the second advantage. However, a potential disadvantage is that if the saline solution over-swells the tissue, electrical energy could escape elsewhere, weakening the thermal effect at the target tissue and reducing the effectiveness of the electrosurgical knife.
In this study, dissection was performed within the submucosal layer, rather than between the muscular and submucosal layers, in both groups. The submucosa comprises connective tissue, blood vessels, nerves, and glands18. Dense connective tissue, including blood and lymphatic vessels, was preserved on the mucosal side, while dissection was performed in the loose connective tissue which is the outer layer of this dense connective tissue. A small amount of submucosal tissue remained on the muscular side, likely because the deepest portion of the submucosal layer is firmly attached to the muscular layer, making dissection difficult.
A limitation of this study is that we used a porcine stomach that does not bleed, which may result in different outcomes compared to clinical settings. For instance, flap creation time and dissection layers may differ in experiments using living gastric tissue. Additionally, the differences in thermal damage observed in this study may not be directly related to postoperative complications in clinical practice. To address these limitations, future studies should include experiments using live pigs or randomized controlled trials in clinical settings to compare postoperative complications with and without the SFC method.
In conclusion, the SFC method for DFT flap creation effectively reduced thermal damage to the dissection surface on both the flap and mucosal sides.
Data availability
All data generated or analyzed during this study are included in this published article and its supplementary information files.
References
Sung, H. et al. Global cancer statistics 2020: GLOBOCAN estimates of incidence and mortality worldwide for 36 cancers in 185 countries. CA Cancer J. Clin. 71, 209–249 (2021).
Rawla, P. & Barsouk, A. Epidemiology of gastric cancer: global trends, risk factors and prevention. Prz Gastroenterol. 14, 26–38 (2019).
Nozaki, I. et al. Long-term outcome after proximal gastrectomy with jejunal interposition for gastric cancer compared with total gastrectomy. World J. Surg. 37, 558–564 (2013).
Takiguchi, N. et al. Long-term quality-of-life comparison of total gastrectomy and proximal gastrectomy by postgastrectomy syndrome assessment scale (PGSAS-45): a nationwide multi-institutional study. Gastric Cancer. 18, 407–416 (2015).
Ichikawa, D. et al. Long-term outcomes of patients who underwent limited proximal gastrectomy. Gastric Cancer. 17, 141–145 (2014).
Hojo, Y. et al. Marked improvement of severe reflux esophagitis following proximal gastrectomy with esophagogastrostomy by the right gastroepiploic vessels-preserving antrectomy and Roux-en-Y biliary diversion. Gastric Cancer. 25, 1117–1122 (2022).
Kamikawa, Y., Kobayashi, T., Ueyama, S. & Satomoto, K. A new antireflux procedure in esophagogastrostomy after proximal gastrectomy. Gastroenterol. Surg. 24, 1053–1060 (2001).
Kuroda, S. et al. Double-Flap technique as an antireflux procedure in esophagogastrostomy after proximal gastrectomy. J. Am. Coll. Surg. 223, e7–e13 (2016).
Hayami, M. et al. Clinical outcomes and evaluation of laparoscopic proximal gastrectomy with Double-Flap technique for early gastric cancer in the upper third of the stomach. Ann. Surg. Oncol. 24, 1635–1642 (2017).
Huang, Q. Z., Wang, P. C., Chen, Y. X., Lin, S. & Ye, K. Comparison of proximal gastrectomy with double-flap technique and double-tract reconstruction for proximal early gastric cancer: a meta-analysis. Updates Surg. 75, 2117–2126 (2023).
Saze, Z. et al. Functional benefits of the double flap technique after proximal gastrectomy for gastric cancer. BMC Surg. 21, 392 (2021).
Kuroda, S. et al. Multicenter retrospective study to evaluate the efficacy and safety of the double-flap technique as antireflux esophagogastrostomy after proximal gastrectomy (rD-FLAP Study). Ann. Gastroenterol. Surg. 3, 96–103 (2019).
Uraoka, T., Saito, Y., Yamamoto, K. & Fujii, T. Submucosal injection solution for Gastrointestinal tract endoscopic mucosal resection and endoscopic submucosal dissection. Drug Des. Devel Ther. 2, 131–138 (2009).
Mehta, N. et al. Optimal injection solution for endoscopic submucosal dissection: A randomized controlled trial of Western solutions in a Porcine model. Dig. Endosc. 30, 347–353 (2018).
Castro, R., Libanio, D., Pita, I. & Dinis-Ribeiro, M. Solutions for submucosal injection: what to choose and how to do it. World J. Gastroenterol. 25, 777–788 (2019).
Fujishiro, M. et al. Submucosal injection of normal saline can prevent unexpected deep thermal injury of argon plasma coagulation in the in vivo Porcine stomach. Gut Liver. 2, 95–98 (2008).
Maselli, R. et al. Fluid cushion protects against thermal damage during argon plasma coagulation. Ann. Gastroenterol. 34, 845–851 (2021).
Clayburgh, D. & Turner, J. Stomach Anatomy. In Encyclopedia of Gastroenterology (ed. Johnson, L.) (Elsevier, 2003). https://doi.org/10.1016/B978-0-12-812460-4.00699-6.
Ethics declarations
Competing interests
The authors declare no competing interests.
Additional information
Publisher’s note
Springer Nature remains neutral with regard to jurisdictional claims in published maps and institutional affiliations.
Supplementary Information
Below is the link to the electronic supplementary material.
Supplementary Material 1 Supplementary Video 1
Supplementary Material 2 Supplementaty Video 2
Supplementary Material 3 Supplementary Video 3
Rights and permissions
Open Access This article is licensed under a Creative Commons Attribution-NonCommercial-NoDerivatives 4.0 International License, which permits any non-commercial use, sharing, distribution and reproduction in any medium or format, as long as you give appropriate credit to the original author(s) and the source, provide a link to the Creative Commons licence, and indicate if you modified the licensed material. You do not have permission under this licence to share adapted material derived from this article or parts of it. The images or other third party material in this article are included in the article’s Creative Commons licence, unless indicated otherwise in a credit line to the material. If material is not included in the article’s Creative Commons licence and your intended use is not permitted by statutory regulation or exceeds the permitted use, you will need to obtain permission directly from the copyright holder. To view a copy of this licence, visit http://creativecommons.org/licenses/by-nc-nd/4.0/.
About this article
Cite this article
Nozaki, I., Date, K., Shinno, Y. et al. Impact of saline fluid cushion on thermal damage during the double-flap technique after proximal gastrectomy using porcine stomach. Sci Rep 15, 41044 (2025). https://doi.org/10.1038/s41598-025-25021-4
Received:
Accepted:
Published:
Version of record:
DOI: https://doi.org/10.1038/s41598-025-25021-4





