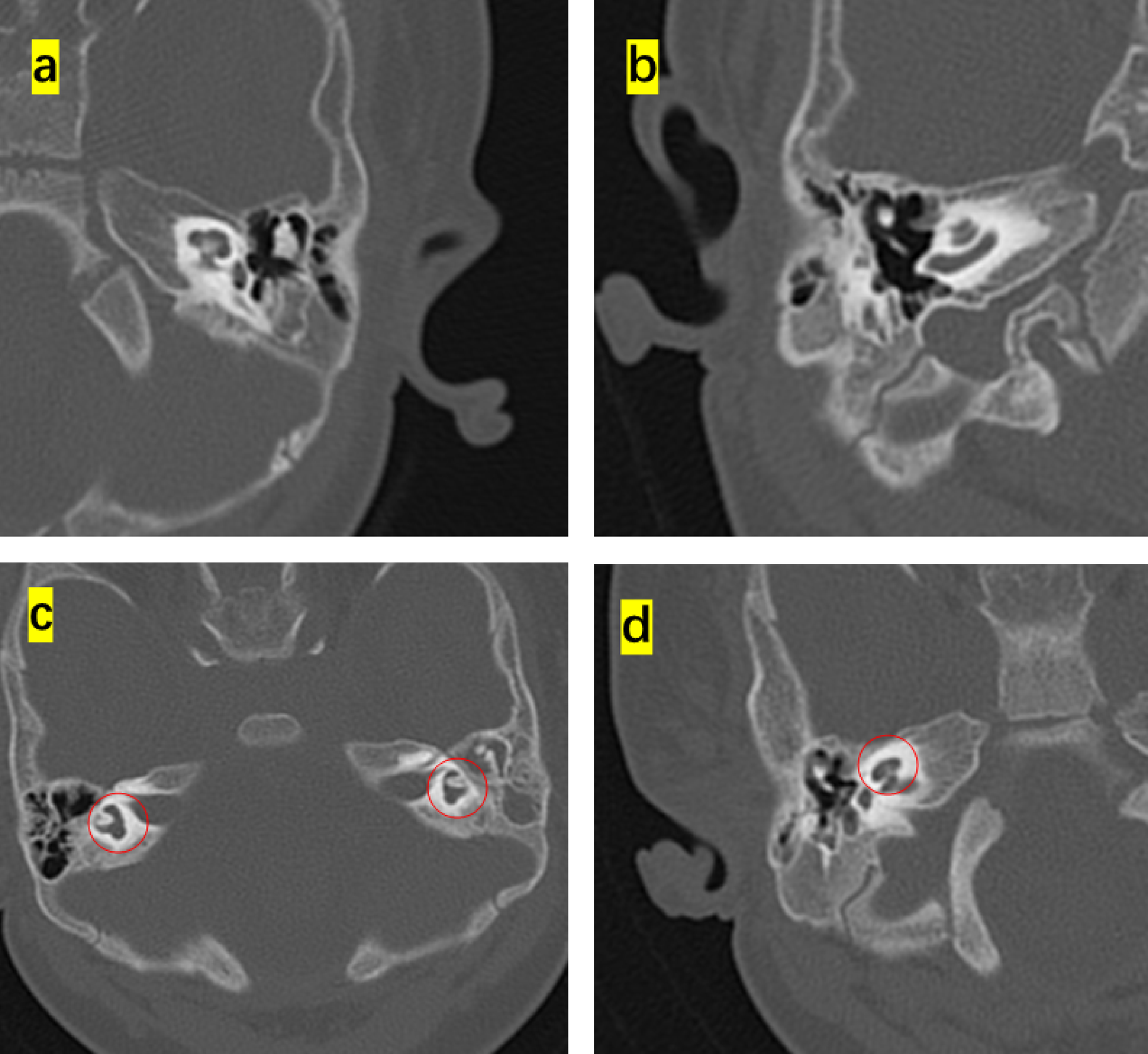
Fig. 1

Ear Computed tomography(CT)scans in Waardenburg syndrome(WS)cases. (a, b) No obvious abnormalities in the middle ear. (c) Vestibular semicircular canal malformation. (d) cochlear apex–middle turn fusion, no obvious cochlear aperture narrowing.