Abstract
Widespread emergence of multidrug-resistant and highly Virulence uro- pathogenic Escherichia coli (UPEC) strains pose a significant crisis for both human and animal populations worldwide. Aim of the present study was to characterize Escherichia coli (E. coli) strains isolated from urinary tract infected (UTI) bovines and to understand the distribution of antimicrobial resistance (AMR) in northern part of India. A cross-sectional study was carried out with sampling 17 randomly selected husbandry setups in 6 districts of Haryana, India. Out of 254 suspected animals from UTI, 105 animals found to be affected with UTI based on clinical examination, routine urine, culture testing and ultrasonography. Among the 105 affected animals, E. coli was isolated from 47 animals turning out to be 44.76% positivity rate. A total of 13 distinct Escherichia coli serotypes were identified from isolates obtained from dairy animals, with serotype O156 being the most prevalent (23.40%). Among these, five serotypes (O5, O128, O83, O11, and O159) are recognized for their zoonotic significance and pose notable public health concerns. Antimicrobial resistance gene profiling revealed the universal presence (100%) of tet(A) and gyrA genes among all E. coli isolates, indicating widespread resistance to tetracyclines and fluoroquinolones. Meropenem demonstrated the highest antimicrobial efficacy, with 89.6% of isolates showing sensitivity. Unfortunately, 85.10% of the tested isolates displayed multidrug resistance, and all of which harbored the Fim H (100%) gene, while hlyA gene was detected in two isolates. Our findings highlight the genetic diversity and widespread dissemination of zoonotically significant, multidrug-resistant, and Virulence uropathogenic E. coli strains in dairy animals.
Similar content being viewed by others
Introduction
In ruminants, Urinary tract infection (UTI) commonly manifest as cystitis, ureteritis and pyelonephritis, typically resulting from ascending infections caused by Corynebacterium renale or Escherichia coli1, leading to economic losses due to decreased reproductive performance and productivity on farms2. Uropathogenic Escherichia coli (UPEC) strains are a major cause of extra-intestinal E. coli infections, particularly urinary tract infections, and possess distinct virulence factors encoded on specialized genetic elements. These strains have shown certain virulence properties, including iron uptake systems, adhesins, specific O: K: H serotypes and synthesis of cytotoxins that contribute to colonization and invasion of the bacterium3.
Successful colonization of UPEC in the urinary tract relies on the expression of fimbrial adhesion proteins that enable the bacteria to adhere to the urothelium, along with specific bacterial genes that encode key virulence factors4. The role of E. coli and its various serotypes in the pathogenesis of bovine UTIs remains poorly understood and insufficiently documented. While the urinary tract of healthy individuals was traditionally considered sterile, recent studies on bovine urinary microbiota have identified E. coli as a resident organism within this niche5, indicating that urinary tract infections may result from microbial dysbiosis rather than external contamination6.
According to the National Institutes of Health (NIH), antimicrobial resistance (AMR) in bovine urinary tract infections (UTIs) poses a growing challenge in the dairy industry, largely due to the overuse and misuse of antibiotics, and is recognized as a significant threat to both human and animal health Studying AMR in E. coli is particularly important, as this bacterium not only survives for long periods in the environment but also plays a key role in environmental transmission of resistance, surpassing many other microbiota members in this capacity7. Moreover, a significant proportion of resistance genes in E. coli are carried on mobile genetic elements, facilitating their transfer between bacteria via horizontal gene transfer and thereby accelerating the spread of resistance across different species8. Consequently, AMR in E. coli is regarded as a major public health concern.
Despite the clinical importance of UTIs in bovine, research on UPEC and other associated microbes remain scarce. The scarcity of data on zoonotic potential, antimicrobial resistance, and virulence factors of these pathogens in bovine populations warrants further investigation. Therefore, this study aimed to determine the occurrence of UPEC in bovines with UTIs, characterize their antimicrobial resistance genes, and assess their zoonotic relevance.
Material and methods
Study area
A stratified random sampling approach was employed to select various animal husbandry setups across six districts of Haryana, encompassing two distinct agro-climatic zones (North-Eastern and South-Western) as illustrated in figure 1. Additionally, bovines presenting with urinary tract infections (UTIs) were sampled at the Veterinary Teaching Hospital, Hisar, to ensure comprehensive representation of the target population. Ethical approval for the present study was taken from the IAEC (Ref. No. VCC/IAEC/2022/1624+51).
Animal selection
Samples were randomly collected from suspected UTI cases, based on case history and a slightly modified version of the Acute Cystitis Symptom Score (ACSS) Index9 (Table 1). Each parameter was scored from 0 to 2 and sum of scores yielded a total cumulative score. Patient with cumulative score 6 and above were selected for sample collection.
Isolation and identification E. coli
Two hundred and fifty-four urine samples were collected aseptically using urinary catheter and were inoculated on MacConkey agar at 37° C for 24 h. After overnight incubation at 37° C typical pink colonies on MacConkey agar were Gram-stained and then single pure colony was transferred to eosin-methylene-blue (EMB) agar for incubation at 37° C overnight. Colonies with typical metallic sheen on EMB agar were considered as E. coli-positive and transferred to nutrient agar for additional confirmatory biochemical tests (iMViC tests), molecular tests and serotyping.
Quantification of extracted DNA
The concentration and purity of the DNA extracted from bacterial colonies was measured spectrophotometrically by measuring the wavelength at A260 and A280. Purity was assessed by taking the 260/280 ratio at Nanodrop Spectrophotometer (Desjardins and Conklin, 2010). The concentration of DNA was calculated using the following formula i.e., DNA concentration (µg DNA/ml) = OD 260 x 50 x dilution factor.
DNA extraction and E. coli confirmation
Presumptive E. coli isolates were molecularly confirmed by PCR amplification of universal stress protein (usp A gene). The PCR was performed using primer pair as depicted in Table 2. The DNA extracted from ATCC 25922 was used as positive control for E. coli. PCR were carried out in 12.5µl total volume consisted of 7µl of master mix, 0.5 µl of 10 µM solution of each primer (forward and reverse primer), 1μl of DNA sample and remaining nuclease free water to make 12.5 µl. PCR amplifications started with initial denaturation at95 ºC for 2min, 30 cycles of denaturation at 94 ºC for 2 min, annealing at 58 ºC for 1min, extension at 72 ºC for 1min, and final extension at 72 ºC for 5min.
Serotyping
After confirmation of isolates as E. coli, isolates were sent to National Reference Centre i.e. National Escherichia and Salmonella Centre (NSEC), Kasauli (H.P) for final serotyping. Two individually similar colonies from each of the purified cultures of identified isolates were inoculated in semisolid media and incubated at 37ºC overnight. One tube of each culture was sent to the NSEC for serotyping, other tube was kept at 4ºC till further use. Serotyping was performed according to the Kauffmann-White scheme, and the isolates were assigned to specific E. coli serotypes.
Detection of virulence and antimicrobial resistance genes
Virulence genes, including papGII, hlyA, fimH, and usp, as well as antimicrobial resistance genes such as bla<sub>SHV</sub>, aac(3)-IV, tetA, tetB, gyrA, and floR, were detected through polymerase chain reaction (PCR) amplification. The PCR was performed using gene-specific primers (Table 3) under the following conditions: 30 amplification cycles, with each cycle consisting of denaturation, annealing, and extension steps optimized for each primer set.
The thermal cycling conditions included initial DNA denaturation at 94 °C for 1 minute, followed by 30 cycles of denaturation at 94 °C for 30 seconds, primer-specific annealing for 30 seconds, and extension at 72 °C for 60 seconds. A final extension step was carried out at 72 °C for 10 minutes. The PCR products were resolved by agarose gel electrophoresis in 1X TAE buffer at 85 V/cm for 45 minutes to 1 hour using a mini gel electrophoresis system. The amplified DNA fragments were visualized using GoodView™ nucleic acid stain and observed under a UV transilluminator.
Antibiotic susceptibility testing
The antimicrobial susceptibility test on the isolates was performed according to the National Committee for Clinical Laboratory Standards14 using the Kirby-Bauer disk diffusion test method on Muller-Hinton agar. The diameter of the zones of inhibition was measured and compared with zone size interpretation guidelines described by the Clinical Laboratory Standard Institute14 for the family Enterobacteriaceae and determined as sensitive, intermediate, or resistant. The isolated E. coli were tested for sensitivity to the most used antimicrobials.
Data analysis
Overall distribution of resistance and virulence phenotypes were determined by dividing the number of isolates with specific resistance phenotypes by the total number of isolates examined.
Results
Source distribution and diagnostic outcomes of urine samples
A total of 254 animals were screened for bovine UTI, 134 from tertiary setup of hospital (University referral hospital) and remaining 120 from different animal husbandry setups including Gaushalas, organized dairy farms, unorganized dairy farms, and field hospitals, with 30 animals sampled per setup as shown in Fig. 2. Out of animals screened, 105 were confirmed positive for UTI based on culture, urinalysis, hemato-biochemical tests,, renal biomarkers, and ultrasonography. Of the 120 animals clinically suspected of UTI based on severity scores, 60 were confirmed positive, indicating a sensitivity of 57.1% for the clinical scoring system in detecting UTIs.
Occurrence of Escherichia coli
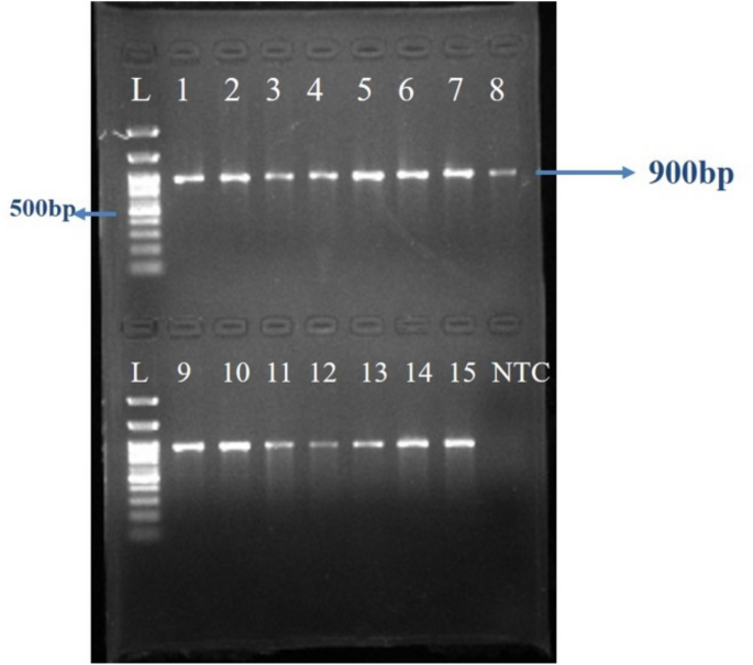
A total of 157 bacterial isolates were obtained from 105 animals diagnosed with urinary tract infection (UTI), of which 54 animals exhibited single infections and 51 showed mixed infections. Following culture, presumptive identification of isolates was performed using a biochemical kit-based iMViC test, as illustrated in Fig. 3. Of the 157 isolates, 47 were identified as presumptive Escherichia coli based on their biochemical profiles. These 47 isolates were further subjected to polymerase chain reaction (PCR) targeting the E. coli-specific UspA gene for molecular confirmation. All 47 presumptive E. coli isolates yielded a PCR amplification product of 884 bp, confirming the presence of the UspA gene as illustrated in Fig. 4.
Serotyping of E. coli isolates
The 47 confirmed Escherichia coli isolates were classified into 13 distinct serotypes, as detailed in Table 4. The most prevalent serogroup was O156 (23.40%), followed by O84 and O101 (10.6% each), O169 (6.38%), and O128, O83, O120, and O18 (4.26% each). The serogroups O5, O134, O11, O88, and O159 each accounted for 2.13% of isolates. Among these, five serotypes O5, O128, O83, O11, and O159 are recognized for their zoonotic significance.
Characterization of uropathogenic Escherichia coli (UPEC) by PCR
For UPEC characterization, all the confirmed Escherichia coli isolates (n=47) were subjected to PCR using a set of four virulence genes (VGs). PCR components and conditions were standardized using DNA extracted from colonies of confirmed Escherichia coli isolates. Among 47 Escherichia coli isolates, the fimH gene was detected in 100% (47/47), while only 2 isolates (4.3%) were positive for the hlyA gene (Fig. 5).
In vitro antibiotic sensitivity based antimicrobial pattern of Escherichia coli isolates
The antimicrobial sensitivity profile of E. coli isolates is presented in the heat map (Fig. 6), which depicts the response of 47 isolates tested against 26 different antibiotics. The pattern clearly demonstrates considerable variability in susceptibility, with the majority of isolates showing resistance to several antibiotics, indicating a high prevalence of multidrug resistance among the isolates. Overall maximum sensitivity of E. coli isolates was found towards meropenem (89.36%), followed by gentamicin (44.68%), amikacin (40.42%), ceftriaxone- sulbactam (34.04%), kanamycin, Co- trimoxazole/sulpha-trimethoprim and azithromycin each (31.91%), chloramphenicol (29.78%), cefoperazone-tazobactam (27.65%), piperacillin-tazobactam and neomycin each (25.33%), amoxicillin-sulbactam (23.40%), amoxicillin- clavulanic acid (17.02%), ceftizoxime (10.63%), cefpodoxime (8.51%), moxifloxacin (6.38%), ciprofloxacin, ampicillin and norfloxacin (4.25%) each, ofloxacin and ceftriaxone each (2.12%) and least towards tetracycline, enrofloxacin, penicillin- G, amoxicillin and oxytetracycline (0%).
Heat map showing antibiotic sensitivity pattern of E. coli isolates. Each cell in the heat map shows the antibiotic susceptibility result for a given isolate (row) against a particular antibiotic (column). All-green row: Isolate is susceptible to all tested antibiotics. All-red row: Isolate is resistant to all tested antibiotics — possible MDR (multi-drug resistant) strain. Mixed colors: Partial resistance; these are common in clinical isolates. Antibiotic sensitivity heat map was generated using Microsoft Excel (Version 16.83; Microsoft Corporation, Redmond, WA, USA; https://www.microsoft.com/excel) by applying conditional formatting with a three-color scale.
Molecular characterization of E. coli isolates based on antimicrobial resistance
All 47 PCR confirmed E. coli isolates were screened for the presence of selected antimicrobial resistance (AMR) genes using PCR. The tetA and gyrA genes were detected in 100% of the isolates. The bla<sub>SHV</sub> gene, associated with β-lactam resistance, was present in 80.85% of isolates, while the floR gene, conferring resistance to chloramphenicol/florfenicol, was detected in 70.21% of isolates. The aac(3)-IV gene, linked to aminoglycoside resistance, was found in 27.65% of the isolates as illustrated in table 5. Representative agarose gel electrophoresis results are shown in Figure 7 for the gyrA gene and Figure 8 for the bla<sub>SHV</sub> gene.
Discussion
In the present study, revealed that E. coli was the most frequently isolated bacterium from urine samples of bovines affected with urinary tract infections, accounting for 30% of the isolates. Staphylococcus spp. was the second most common isolate, detected in 27% of the samples, followed closely by Streptococcus spp. in 24% of the samples. Additionally, Klebsiella spp. and Micrococcus spp. were each isolated from 7% of the samples, while Corynebacterium spp. was present in 5% of the urine samples from affected animals. . Yerhuam et al.2 also reported E. coli to be the most frequent cause of UTI in cows which is in accordance with the observations of the present study. E. coli is the resident flora of gut and uro-genital tract. Frequent faecal contamination of uro-genital tract often leads to ascending bacterial infection in urinary system along with its ability of adherence to epithelial cells of urinary bladder with the means of pilli15,16.
Phenotypic characterization of E. coli isolates
Serotyping of E. coli isolates at NSEC revealed 13 distinct serogroups, with O156 being the most frequently identified (23.40%). Notably, five serogroups i.e. O5, O128, O83, O159, and O11 have been recognized or partially recognized for their zoonotic significance17. Among these, O5 and O128 have been linked to enterohemorrhagic E. coli (EHEC), while O128 also exhibited traits associated with enteropathogenic E. coli (EPEC). Furthermore, O128 and O11 were associated with enterotoxigenic E. coli (ETEC), O159 with enteroinvasive E. coli (EIEC), and O83 with uropathogenic E. coli (UPEC).
These findings are consistent with the observations of Jacobsen et al.8, who reported a considerable overlap between E. coli serogroups isolated from human and animal urinary tract infections. Schroeder et al.18 stated that serogroup O128 is found in both human and food animal sources, with resistance profiles, and noted association with Shiga toxin–producing E. coli (STEC). For serogroups O5, O11, O83, and O159, while direct reports of zoonotic importance are limited but their detection in livestock and their pathogenic potential in related studies suggest they may constitute zoonotic reservoirs19,20,21. To establish definitive evidence of zoonotic transmission of bovine uropathogenic Escherichia coli (UPEC) to humans, further research involving comprehensive phylogenomic analysis is essential. These findings nonetheless underscore the zoonotic potential of bovine-origin E. coli strains and emphasize the need for integrated, One Health-based surveillance at the human–animal–environment interface.
Antimicrobial sensitivity pattern of E. coli isolates
Overall maximum Invitro antimicrobial sensitivity pattern of E. coli isolates was found towards meropenem (89.36%), followed by gentamicin (44.68%), amikacin (40.42%), ceftriaxone- sulbactam (34.04%), kanamycin, Co- trimoxazole/sulpha-trimethoprim and azithromycin each (31.91%), chloramphenicol (29.78%), cefoperazone-tazobactam (27.65%), piperacillin-tazobactam and neomycin each (25.33%), amoxicillin-sulbactam (23.40%), amoxicillin- clavulanic acid (17.02%), ceftizoxime (10.63%), cefpodoxime (8.51%), moxifloxacin (6.38%), ciprofloxacin, ampicillin and norfloxacin (4.25%) each, ofloxacin and ceftriaxone each (2.12%) and least towards tetracycline, enrofloxacin, penicillin- G, amoxicillin and oxytetracycline (0%). While for Corynebacterium spp. isolates, maximum sensitivity to Meropenem (100%) followed by Chloramphenicol (87.5%), kanamycin, amikacin (75%) each enrofloxacin, norfloxacin, amoxicillin- sulbactam, gentamicin, neomycin, ceftriaxone or tetracycline (62.5%) each, ofloxacin, amoxicillin- clavulanic acid, Ceftizoxime, Ceftriaxone-sulbactam or Azithromycin (50%) each, moxifloxacin, amoxicillin, piperacillin- tazobactam, cefoperazone- tazobactam, Cefpodoxime or oxytetracycline (37.5%) each, Penicillin- G (25%) each and least sensitivity towards ampicillin (12.5%). In contrast to the current study, Punia22 reported maximum sensitivity of bacterial isolates towards amoxicillin- sulbactam and amoxicillin- clavulanic acid (86.36%). Also, in contrast to our study, Kushawaha et al.23 reported cephalosporin and fluoroquinolone group of antibiotics to be most sensitive. While working on determining prevalence of multi-drug resistant E. coli isolated from 200 bovine urine samples, Armanullah et al.24 reported 35.5 percent prevalence of E. coli and observed maximum sensitivity of isolates towards amikacin and chloramphenicol. Such high level of resistance for antibiotics commonly used for treating bovine UTI can be attributed to the natural selection of E. coli isolates competent of evading these antibiotics through different mechanisms. The current study highlights the significance of establishing an antibiogram for urinary tract infections in bovines. The indiscriminate use, irregular dosing, or under-dosing of antibiotics may lead to resistant mutants. Therefore, it is recommended to conduct antimicrobial sensitivity testing before initiating treatment to prevent treatment failure. The present study also proposes a rational approach to antibiotic use and emphasizes investigating multiple bacterial causes to address complicated cases effectively.
Virulence gene profile of E. coli isolates
Distribution of virulence gene associated with bovine urinary tract infections has not been previously determined and characterized. Uropathogenic potential of E. coli was assessed using PCR with virulence-specific primers. Among the 47 E. coli isolates tested, all were positive for the fimH gene, while only 2 isolates were positive for the hlyA gene, and Pap G-II and Usp genes were absent in all isolates. In line with our research, Kawamura-Sato et al.25,Abdullah and Mustafa26 and Mohammed et al.11 similarly identified the F gene in all 38 E. coli isolates collected from canine affected by urinary tract infections. Babacan and Izgur27 also reported fimH gene as predominant (100%) in UTI affected canines while in contrast to our study, he also reported papC in 71.1%, sfaDE in 82.2%, and hly A in 73.33% isolates.
Ninety-nine percent of E. coli strains carry genes encoding type 1 fimbriae which, during urinary tract infections, induce heightened inflammation by damaging cells in the urinary tract28. Type 1 fimbriae encoded by Fim H function as highly versatile virulence factors of UPEC, aiding in bacterial attachment to diverse cell types throughout the urinary tract, demonstrating a strong affinity for proximal tubules, distal tubules and collecting ducts29. HlyA is a pore-forming toxin and causes inducible nitric-oxide-synthase (iNOS)-mediated cell membrane injury and apoptosis with role in the increased production of IL-6 and IL-8 by inducing Ca2+ oscillations in renal epithelial cells4.
In the present study, none of the E. coli isolates carried the papGII or USP genes. However, the fimH gene was detected in all isolates, suggesting it is the predominant virulence factor associated with bovine UTIs. Similar findings were reported by Khalifeh and Obaidat30, who also identified fimH as the most prevalent virulence gene in urinary tract infections.
Antimicrobial resistance profile of E. coli isolates
Multiple drug resistance has been reported in E. coli and Salmonella spp. of different origins throughout the world31. Out of total 47 of E. coli isolates, 35 isolates were found to be extreme drug resistance (XDR), four isolates to be multi- drug resistant (MDR) and one isolate showed pan drug resistance (PDR) and remaining seven isolates to be sensitive. Similar to our study, Put et al.32 found E. coli causing pyelonephritis affected cattle to be multidrug resistant.
All 47 PCR-confirmed E. coli isolates underwent PCR analysis to detect antibiotic-resistant genes. Among these isolates, 100% harbored tet A and Gyr A genes, followed by the blaSHV gene in 80.85% of cases, the floR gene in 70.21% of cases, and the aac(3)-IV gene in 27.65% of isolates. In the present study, all isolates carried tet (A) resistance gene suggesting that these genes are important for the development of tetracycline resistance. Tet(A) encoding efflux mechanisms, has been reported to be the most common tetracycline resistance determinant in E. coli isolates from humans and animals in many countries33. Among the 47 E. coli isolates, 33 were determined to be resistant to Chloramphenicol. The role of active efflux pumps, such as floR, was noted to be significant in both intrinsic and acquired resistance to Chloramphenicol34. Moreover, the upregulation of efflux pumps impacting Chloramphenicol has become more prevalent in uropathogenic E. coli35. The presence of GyrA genes was observed in all isolates. Additionally, the high-level resistance identified in this study suggests that certain isolates may harbor multiple mutations at various points within their E. coli genomes. This finding aligns with a previous study that revealed enrofloxacin-resistant uropathogenic E. coli isolates possessing two-point mutations, one in ParC and the other in GyrA34. Moreover, several researchers have reported that overexpression of the AcrAB-TolC system can lead to multidrug resistance, including resistance to fluoroquinolones36. Presence of bla- SHV in 80.85% E. coli isolates showing resistance against β-lactam antibiotics by hydrolysis because they contain ESBLs (Extended-spectrum β-lactamases)37.
Mechanism underlying aminoglycoside resistance in E. coli isolates (27.65%) of our study involves the production of AMEs (aminoglycosides modifying enzymes) by bacteria, which modify and deactivate aminoglycoside drugs, thus imparting resistance to them. AG N-acetyltransferases (aac-3(IV) each specific to a position on the aminoglycoside (AG), carry out these modifications, as indicated by their nomenclature. This modification reduces the affinity between the modified aminoglycoside antibiotics and bacterial ribosomes, ultimately leading to drug resistance38.
Based on the findings of this study, there is concerning evidence of antimicrobial resistance among Escherichia coli isolates recovered from bovine urinary tract infections. A high proportion of isolates demonstrated resistance to two or more classes of antibiotics, aligning with the observations reported by Mustapha et al.13 and Ismail and Abutarbush39.
Conclusion
The present study highlights a concerning level of antimicrobial resistance,, with a substantial proportion of E. coli isolates from bovine urinary tract infections showing resistance to two or more classes of antibiotics. Among the 13 identified E. coli serotypes, five were of zoonotic significance, with serotype O156 showing the highest prevalence. Nevertheless, uncertainties remain with respect to sequencing and gene expression analyses, which underscore the significance of the present study. Overall, these results emphasize the urgent necessity for integrated surveillance, prudent antibiotic use, and a One Health oriented approach to mitigate the growing challenge of antimicrobial resistance.
Data availability
All datasets generated and/or analysed during the current study are presented in the article.
References
Smith, B.P., Van Metre, D.C. and Pusterla, N. Diseases of the renal system. Large Animal Internal Medicine. Sixth edition; 906-908 (2021).
Yeruham, I., Elad, D., Avidar, Y. & Goshen, T. A herd level analysis of urinary tract infection in dairy cattle. Vet. J. 171, 172–176 (2006).
Janke, B., Dobrindt, U., Hacker, J. & Blum-Oehler, G. A subtractive hybridisation analysis of genomic differences between the uropathogenic E. coli strain 536 and the E. coli K-12 strain MG1655. FEMS Microbiol. Lett. 199(1):61–66. https://doi.org/10.1111/j.1574-6968. 2001.tb10651. x (2001).
Ristow, L. C. & Welch, R. A. Hemolysin of uropathogenic Escherichia coli: A cloak or a dagger?. Biochim. Biophys. Act. Biomemb. 1858(3), 538–545 (2016).
Giannattasio-Ferraz, S. et al. Escherichia coli and Pseudomonas aeruginosa Isolated from urine of healthy bovine have potential as emerging human and bovine pathogens. Front. Microbiol. 13, 764760. https://doi.org/10.3389/fmicb.2022.764760 (2022).
Garretto, A., Miller-Ensminger, T., Ene, A., Merchant, Z., Shah, A., Gerodias, A., et al. Genomic survey of E. coli from the bladders of women with and without lower urinary tract symptoms. Front. Microbiol. 11:2094 10.3389/ fmicb.2020.02094 (2020).
Barrera, S., Cardenas, P., Graham, J. P. & Trueba, G. Changes in dominant Escherichia coli and antimicrobial resistance after 24 h in fecal matter. Microbiol. Open 8, e00643 (2019).
Jakobsen, L. et al. Is Escherichia coli urinary tract infection a zoonosis? Proof of direct link with production animals and meat. Euro. J. Clinic. Microbiol. Infect. Dis. 31, 1121–1129 (2012).
Alidjanov, J. F., Naber, K. G., Abdufattaev, U. A., Pilatz, A. & Wagenlehner, F. M. Reevaluation of the acute cystitis symptom score, a self-reporting questionnaire. Part I. development, diagnosis, and differential diagnosis. Antibio. 7(1), 6 (2018).
Nam, E. H., Ko, S., Chae, J. S. & Hwang, C. Y. Characterization and zoonotic potential of uro-pathogenic Escherichia coli isolated from dogs. J. Microbiol. Biotech. 23(3), 422–429 (2013).
Mohammed, Y. J., Mustafa, J. Y. & Abdullah, A. R. Isolation and molecular study of some bacterial of some bacterial urinary tract infections of sheep in Basrah province. Iraq. J. Agri. Sci. 51(3), 885–893 (2020).
Rahman, M. M. et al. Association of Antibiotic Resistance Traits in Uropathogenic Escherichia coli (UPEC) Isolates. Canad. J. Infect. Dis. Med. Microbiol. (2022).
Mustapha, M., Goel, P., Kumar, V. & Maan, S. Detection and phylogenetic characterization of virulence genes of E. coli associated with canine urinary tract infections in India. Iran. J. Vet. Med. 14(1) (2020).
CLSI (Clinical and Laboratory Standard Institute) Performance Standards for Antimicrobial Susceptibility testing, 34th Edition (2024).
Karimi, I. R. A. J., Shahgholian, M., Ebrahimi, A. & Mahzounieh, M. R. Abattoir survey of bovine pyelonephritis. Iran. J. Vet. Res. 7(14), 59–61 (2006).
Solomon, D., Shpigel, N. Y., Salamon, H. & Goshen, T. Epidemiology and risk factors of pyelonephritis in Israeli dairy cattle. Isr. J. Vet. Med. 75(1), 6–11 (2020).
Stenutz, R., Weintraub, A. & Widmalm, G. The structures of Escherichia coli O-polysaccharide antigens. FEMS Microbiol. Rev. 30, 382–403 (2006).
Schroeder, C. M. et al. Antimicrobial Resistance of escherichia coli O26, O103, O111, O128, and O145 from animals and humans. Emerg. Infect. Dis. 8(12), 1409–1414. https://doi.org/10.3201/eid0812.020070 (2002).
Rajkhowa, T. K., Vanlalruati, C., Hauhnar, L. & Jamoh, K. Distribution of serotypes and molecular characterization of avian pathogenic Escherichia coli isolated from chicken died of colibacillosis. Indian J. Anim. Sci. 90(11), 1453–1460. https://doi.org/10.56093/ijans.v90i11.111486 (2021).
Sharif Mohammad, N., Sreedevi, B., Chaitanya, R. K. & Srilatha, Ch. Occurrence of beta-lactamase producing Escherichia coli in healthy and diarrhoeic dogs in Andhra Pradesh. India. Indian J. Anim. Res. 53(2), 250–254. https://doi.org/10.18805/ijar.B-3495 (2018).
Whelan, S., Lucey, B. & Finn, K. Uropathogenic Escherichia coli (UPEC)-associated urinary tract infections: The molecular basis for challenges to effective treatment. Microorganisms 11(9), 2169. https://doi.org/10.3390/microorganisms11092169 (2023).
Punia, S. Diagnosis and treatment of bacterial urinary tract infections in an Organized buffalo herd. M.V.Sc. Thesis submitted to Lala Lajpat Rai University of Veterinary and Animal Sciences, Hisar, Haryana (2021).
Kushwaha, R. B., Amarpal, H. P., Kinjavdekar, P. & Rathore, R. Bacterial isolation and antibiotic sensitivity test from urine of buffalo calves (Bubalus bubalis) affected with urethral obstruction. Buff. Bull. 31(2) (2012).
Armanullah, M. D., Kumar, P. A., Kumari, S., Kaushik, P. A. & Arya, S. K. D. Prevalence of multi-drug resistant (MDR) Escherichia coli in bovine clinical samples. Intern. J. Curr. Microbiol. App. Sci. 7, 1476–1485 (2018).
Kawamura-Sato, K., Yoshida, R., Shibayama, K. & Ohta, M. Virulence genes, quinolone and fluoroquinolone resistance, and phylogenetic background of uropathogenic Escherichia coli strains isolated in Japan. Jap. J. Inf. Dis. 63(2), 113–115 (2010).
Abdullah, A. R. & Mustafa, J. Y. Isolation and molecular detection study of bacterial causes pyelonephritis of cattle in Basrah province. Biochem. Cell. Archiv. 19(2), 3257–3264 (2019).
Babacan, O. & İzgür, M. Detection of virulence factors of Escherichia coli strains isolated from urogenital system infections in dogs and cats. Vet. Heki. Dern. Derg. 92(2), 132–142 (2021).
Vigil, P. D., Alteri, C. J. & Mobley, H. L. Identification of in vivo-induced antigens including an RTX family exoprotein required for uropathogenic Escherichia coli virulence. Inf. Imm. 79(6), 2335–2344 (2011).
Avalos Vizcarra, I. et al. How type 1 fimbriae help Escherichia coli to evade extracellular antibiotics. Sci. Rep. 6(1), 18109 (2016).
Khalifeh, O. M. & Obaidat, M. M. Urinary tract virulence genes in extended-spectrum beta-lactamase Escherichia coli from dairy cows, beef cattle, and small ruminants. Acta Trop. 234, 106611 (2022).
Bodewes, R. et al. Novel canine bocavirus strain associated with severe enteritis in a dog litter. Vet. Microbiol. 174(2), 1–8 (2014).
Put, E., Valgaeren, B., Pardon, B., De Latthauwer, J., Valckenier, D. & Deprez, P. Surgical correction of pyelonephritis caused by multidrug-resistant Escherichia coli in a dairy cow. Vla. Dierg. Tijd. 84(2) (2015).
Shin, S. W., Shin, M. K., Jung, M., Belaynehe, K. M. & Yoo, H. S. Prevalence of antimicrobial resistance and transfer of tetracycline resistance genes in Escherichia coli isolates from beef cattle. App. Env. Microbiol. 81(16), 5560–5566 (2015).
Chang, S. K., Lo, D. Y., Wei, H. W. & Kuo, H. C. Antimicrobial resistance of Escherichia coli isolates from canine urinary tract infections. J. Vet. Med. Sci. 77(1), 59–65 (2015).
Blickwede, M. & Schwarz, S. Molecular analysis of florfenicol resistant Escherichia coli isolates from pigs. J. Antimicrob. Chemother. 53, 58–64 (2004).
Poole, K. Efflux-mediated resistance to fluoroquinolones in gram-negative bacteria. Antimicro. Agent Chemo. 44(9), 2233–2241 (2000).
Hussain, H. I. et al. Genetic basis of molecular mechanisms in β-lactam resistant gram-negative bacteria. Micro. Pathog. 158, 105040 (2021).
Zhang, Y. et al. The prevalence and distribution of aminoglycoside resistance genes. Biosaf. Health. 5(01), 14–20 (2023).
Ismail, Z. B. & Abutarbush, S. M. Molecular characterization of antimicrobial resistance and virulence genes of Escherichia coli isolates from bovine mastitis. Vet. World. 13(8), 1588 (2020).
Acknowledgements
Authors are thankful to HOD, VCC, LUVAS, Hisar.
Author information
Authors and Affiliations
Contributions
Tarun Kumar, Annu Yadav and Ankit Kumar conceptualized, conceived, and designed the study. Annu Yadav, Pawan Bagri and Dinesh did primer designing, performed molecular work. Pawan Bagri, Vinay Ganesh Rao Joshi and Babu Lal Jangir did laboratory analysis. Tarun Kumar and Neelesh Sindhu finalized the manuscript draft.
Corresponding author
Ethics declarations
Competing interests
The authors declare no competing interests.
Ethics
Approval for animals under this experiment was granted by the Institutional Animal Ethics Committee (IAEC) of the institute under the reference IAEC/LUVAS/28/10.
Additional information
Publisher’s note
Springer Nature remains neutral with regard to jurisdictional claims in published maps and institutional affiliations.
Supplementary Information
Rights and permissions
Open Access This article is licensed under a Creative Commons Attribution-NonCommercial-NoDerivatives 4.0 International License, which permits any non-commercial use, sharing, distribution and reproduction in any medium or format, as long as you give appropriate credit to the original author(s) and the source, provide a link to the Creative Commons licence, and indicate if you modified the licensed material. You do not have permission under this licence to share adapted material derived from this article or parts of it. The images or other third party material in this article are included in the article’s Creative Commons licence, unless indicated otherwise in a credit line to the material. If material is not included in the article’s Creative Commons licence and your intended use is not permitted by statutory regulation or exceeds the permitted use, you will need to obtain permission directly from the copyright holder. To view a copy of this licence, visit http://creativecommons.org/licenses/by-nc-nd/4.0/.
About this article
Cite this article
Yadav, A., Kumar, T., Khohal, D. et al. Comprehensive analysis of Escherichia coli in bovine urinary tract infections: serotypes, antibiotic resistance, and virulence gene profiles. Sci Rep 15, 42339 (2025). https://doi.org/10.1038/s41598-025-26316-2
Received:
Accepted:
Published:
Version of record:
DOI: https://doi.org/10.1038/s41598-025-26316-2










