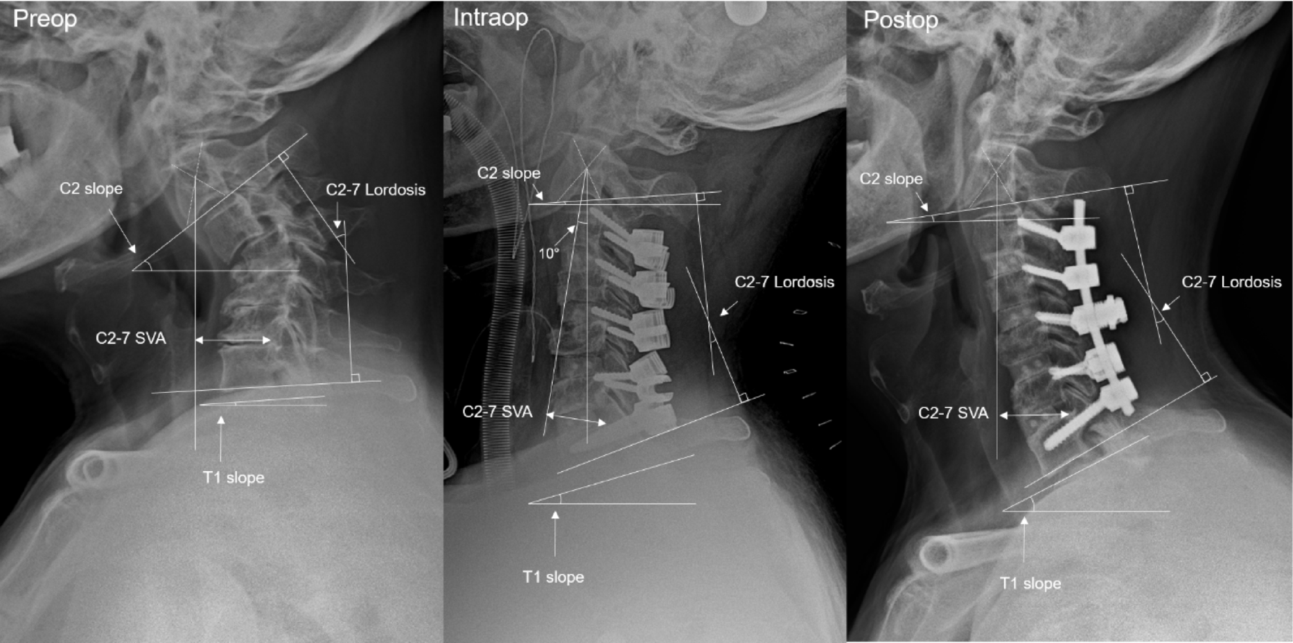
Fig. 2
From: Evaluating intraoperative C2 slope as a radiographic guide for cervical deformity correction

Radiographic measurements used in this study. The intraoperative film is taken with the patient in prone position with the table in 10° reverse Trendelenburg position. As a result, the axis is deviated by 10° causing 10° exaggerations of C2S and T1S.