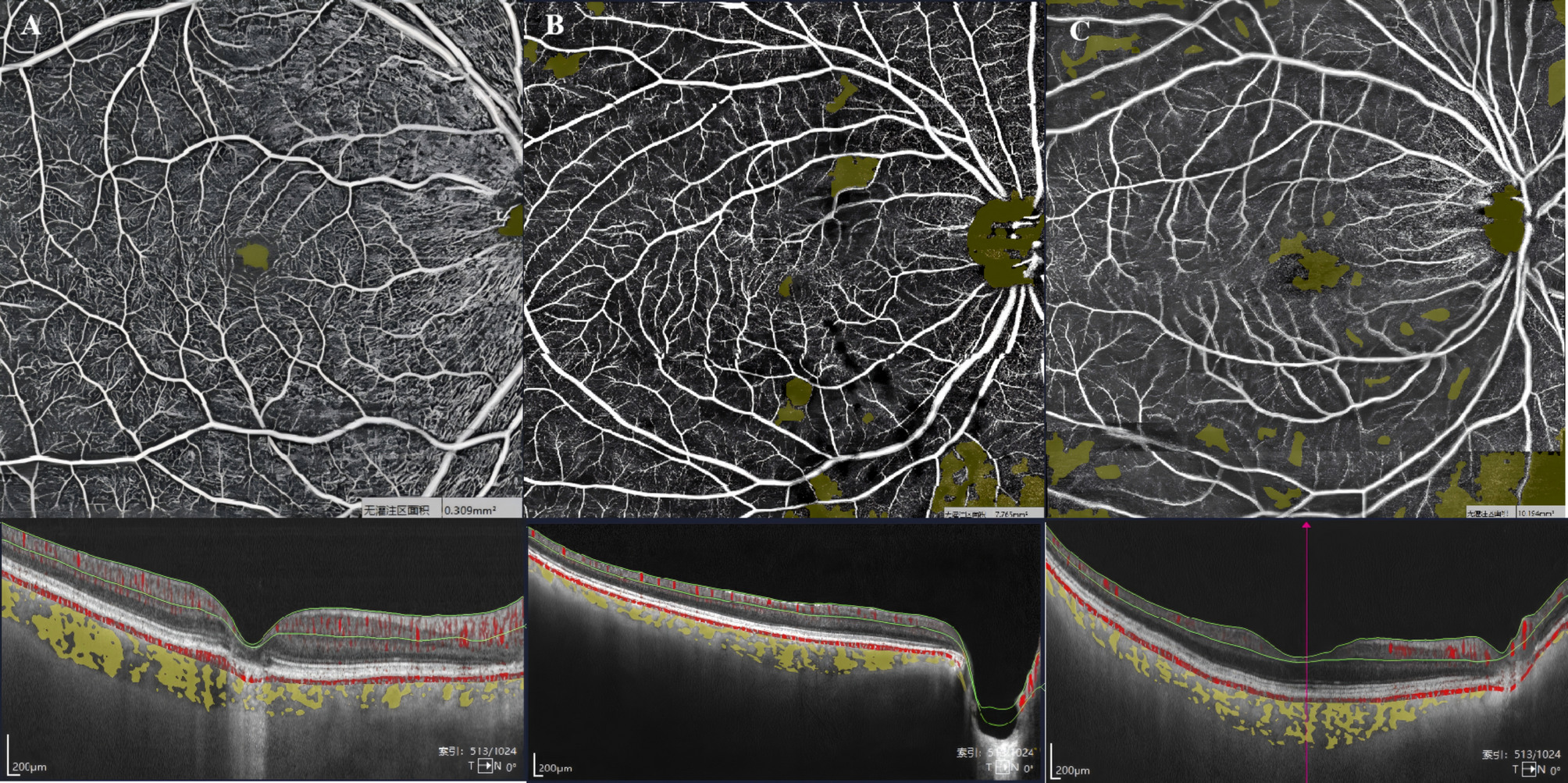
Fig. 4

Representative images illustrating macular retinal SVD in three subjects: one healthy control and two CPACG patients with different disease severities. The upper panels show OCTA images, where yellow areas indicate non-perfusion regions. The lower panels show the corresponding OCT B-scans, with the retinal SVC defined as the area between the two green segmentation lines. (A) A 63-year-old healthy female without visual field defects, showing a dense capillary network with minimal non-perfusion areas and high vascular density. (B) A 59-year-old female with CPACG (mean deviation = − 10.45 dB), showing a moderately dense capillary network, medium-sized non-perfusion areas, and moderate vascular density. (C) A 64-year-old female with CPACG (mean deviation = − 17.62 dB), showing a sparse capillary network, extensive non-perfusion areas, and reduced vascular density.