Abstract
We aimed to assess tumor growth and cell density in colon cancer-bearing mouse models using CEST and diffusion-weighted imaging (DWI). Mouse carcinoma models were created by transplanting the mouse colon cancer cell line colon-26. They were divided into three groups at 6, 8, and 10 days after transplantation and underwent T2WI, CEST, and DWI using 7T-MRI. The Magnetization Transfer Ratio asymmetry (MTR) of 1.2 ppm reflecting hydroxyl metabolite in CEST imaging and the apparent diffusion coefficient (ADC) of the same region were statistically analyzed for each group. The MTR and ADC values were 6.51 ± 3.47% and 1.14 ± 0.34 × 10− 3 mm2/s, 3.65 ± 1.65% and 0.77 ± 0.20 × 10− 3 mm2/s, and 2.84 ± 0.82%, and 0.54 ± 0.02 × 10− 3 × mm2/s on days 6, 8, and 10, respectively. The MTR and ADC values were high at 6 days after cell transplantation, and both values tended to decrease with tumor growth. These results indicate that hydroxyl metabolism was high on the sixth day, and both values decreased after the eighth day. CEST imaging and DWI may be useful markers of cell proliferation and metabolism in tumors.
Introduction
The incidence of cancer continues to increase in the 21st century. More than 14 million new cases of cancer are diagnosed each year globally, and one in four people may develop cancer during their lifetime1.Magnetic resonance imaging (MRI) has become indispensable in clinical practice in recent years. It has high clinical value and can be used with various techniques, including T1-weighted, T2-weighted, and diffusion-weighted. It can also be used to diagnose several diseases. Furthermore, the noninvasiveness of MRI has facilitated the development of molecular imaging, which includes magnetic resonance spectroscopy (MRS). MRS can quantify various metabolites in vivo and has been utilized for the first time for several cases2,3,4,5. MRS has several drawbacks, such as the need for appropriate moisture suppression and a lower spatial resolution than conventional MRI6. Furthermore, the choice of echo time (TE) has a significant impact on outcomes7. Another problem is that1H-MRS lacks specificity because it cannot separate several overlapping metabolites8,9. Chemical exchange saturation transfer (CEST) imaging has recently attracted attention as a novel molecular imaging in addition to MRS.
CEST is an MRI contrast enhancement technique that uses exchangeable protons to indirectly detect metabolites10,11,12. CEST can measure the concentrations of endogenous metabolites in the body and environment. Endogenous metabolites with exchangeable protons, including several endogenous proteins with amide protons, glycosaminoglycans (GAG), glycogen, myoinositol (MI), glutamate (Glu), creatine (Cr), and several others, have been identified as potential in vivo endogenous CEST agents. These endogenous CEST agents are noninvasive and non-ionizing biomarkers that can be used for disease diagnosis and therapeutic modeling13. The principles of CEST are as follows. In CEST, the application of a long saturation pulse at the resonant frequency of the protons of the solute causes the number of spins in the direction of the magnetic field to be equal to the number of spins against the magnetic field, resulting in no net magnetization. As a result, chemical exchange occurs between the protons of the target metabolite and the bulk water, resulting in a decrease in the bulk water signal. The saturation migration effect in CEST can be evaluated using the Z-spectrum generated by plotting the water signal intensity as a function of the frequency14,15. Direct water saturation effects can be removed by an asymmetric analysis that subtracts the water signal from one side of the Z-spectrum from the other because it is symmetric, with respect to the water resonance frequency. Therefore, we used MTR asymmetry to detect changes in the metabolite signals to isolate the chemical exchange saturation of a particular metabolite13,16. Using the CEST principles described above, GluCEST and CrCEST have been developed to measure creatine and glutamate, respectively. New technologies have also recently been developed. They include GlucoCEST to track the pharmacokinetics of glucose transport and CatalyCEST to detect enzyme catalysis that changes the substrate CEST agent17. Generally, CEST is actively studied during the preclinical phase, and it can be used to assess brain pathophysiology, especially by measuring Amide Proton Transfer (APT)18,19,20. In addition, MTR at 1.2 ppm can detect changes of CEST contrast of hydroxyl metabolite, mainly from glucose or glycogen, in diabetic nephropathy mice model21. In recent years, CEST has become increasingly important, as it has been applied to areas other than the brain, such as the breast and prostate22,23. Therefore, it is important to advance CEST research and develop diagnostic techniques.
The purpose of this study was to evaluate hydroxyl metabolism in tumor cells using CEST. We aimed to obtain an apparent diffusion coefficient (ADC) map, which reflects cell density24,25,26, to obtain more detailed information on the interior of the tumor and examine whether it correlates with CEST images at 1.2 ppm.
Methods
Animal preparation
All experimental protocols were approved by the Research Ethics Committee of our University. All experimental procedures involving animals and their care were performed in accordance with the Osaka University Guidelines for Animal Experimentation and the National Institutes of Health Guide for the Care and Use of Laboratory Animals. Animal experiments were performed using 8–10-week-old BALB/cSlc-nu/nu mice purchased from Japan SLC (Hamamatsu, Japan). All mice were housed in a controlled vivarium environment (24 °C; 12:12 h light/dark cycle) and fed a standard pellet diet and water ad libitum.
We transplanted the mouse colon cancer cell line colon-26 into both hips of 23 nude mice under anesthesia to create a murine model of carcinoma in situ. Colon-26 cells were cultured in our laboratory, mixed with medium, and subcutaneously injected using a syringe. Dulbecco’s Modification of Eagle’s Medium (DMEM) was used as the medium for cell culture. The concentration of injected cells was roughly uniform. The mice were divided into groups at 6, 8, and 10 d after transplantation. There were eight cases on day 6, six cases on day 8, and five cases on day 10. The remaining four animals were excluded because they could not be assessed due to artifacts from respiration and vascular flow. The difference in the number of cases in each group was due to an increased risk of mortality of the mice as the number of days after transplantation increased. The animals were kept in the environment described above from the time of transplantation to the time of MRI.
Magnetic resonance imaging
MR images of the mouse model of colorectal cancer were acquired using a horizontal 7-T scanner (PharmaScan 70/16 US; Bruker Biospin, Ettlingen, Germany) equipped with an inner diameter of 35 mm. To obtain the MR images, the mice were positioned in a stereotaxic frame with their mouths to prevent movement during acquisition27. The body temperature of the mice was maintained at 36.5 °C with regulated water flow and continuously monitored using a physiological monitoring system (SA Instruments Inc., Stony Brook, USA). All MR experiments on mice were performed under general anesthesia induced with isoflurane (3.0% for induction and 2.0% for maintenance). During the MRI, the respiratory rate of the mice was maintained at 30–50 breaths per minute.
The created colorectal cancer mouse models were put to sleep with isoflurane under the above conditions, and T2-weighted imaging, diffusion-weighted imaging (DWI), and CEST imaging were performed using preclinical 7T-MRI. ADC maps were derived from the DWI and ADC values (mm2/s). MTR asymmetry (%) was also obtained from the CEST images. During imaging, the imaging site (base of the foot) was fixed using tape and gauze to prevent motion artifacts. The parameters for each imaging method were as follows: T2WI: TR = 2500, TE = 29.6 ms, RARE factor = 8, Slice thickness = 0.5 mm, FOV = 36 × 36 mm2, Matrix size = 256 × 256, Resolution = 141 μm × 141 μm, Scan time = Approximately 3 min, and Number of excitations (NEX) = 2; DWI: TR = 2000, TE = 24.3 ms, Segments = 6, Diffusion directions = 16, b-value = 0, 1000 s/mm2, FOV = 36 × 36 mm2, Matrix size = 128 × 128, Resolution = 281 × 281 μm, and Scan time = Approximately 4 min; CEST: TR = 2300, TE = 33 ms, MT Pulse Intensity = 2.4 µT, Measuring range = -4.8–4.8 ppm (0.30 ppm interval), FOV = 36 × 36 mm2, Matrix size = 128 × 128, Resolution = 281 × 281 μm, and Scan time = Approximately 21 min.
Additionally, this experiment used the Water Saturation Shift Referencing (WASSR) correction method, which is expected to be useful for accurately quantifying the CEST effect. The WASSR correction method refers to an absolute water frequency image obtained by acquiring a pure and direct saturated water image. The WASSR correction method was used to mitigate the impact of direct water saturation28. The parameters of the WASSR correction method are as follows: WASSR: TR = 2300, TE = 33 ms, MT Pulse Intensity = 0.1 µT, Measuring range = -1.0–1.0 ppm (0.10 ppm interval), FOV = 36 × 36 mm2, Matrix size = 128 × 128, Resolution = 281 × 281 μm, and Scan time = Approximately 13 min.
Data analysis of magnetic resonance images
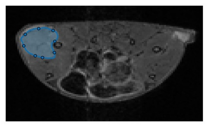
MATLAB code was created to obtain the signal values for each pixel and was used for image analysis in this study. The per-pixel signal values in the ADC map and CEST images were obtained by delineating the region of interest (ROI) around the tumor (Fig. 1). The ROI in the ADC and MTR maps at 1.2 ppm reflecting hydroxyl metabolite were unified, and signal values at similar locations were obtained. The tumors created in this study varied from individual to individual, and cavities were formed inside the tumors in some cases. In such cases, the cavity is avoided when it surrounds the ROI. In addition, MTR asymmetry was created from the MTR values within the tumor at 0–4.8 ppm in the CEST images acquired from each model group. This was used to assess the variation in MTR values.
Histological analysis
The mice were sacrificed after imaging to extract the tumors. All mice were euthanized by 5% isoflurane after MRI scan. The tumors were manually removed using a scalpel and scissors, soaked in formaldehyde, and stored in a refrigerator. HE and Ki-67 staining of the extracted tumors were performed by the Sapporo General Pathology Laboratory. We were asked to prepare HE- and Ki-67-stained sections with thicknesses of 5–10 μm, each at the location where the tumor appeared largest.
Statistical analysis
The data are presented as mean ± standard deviation. Significant differences in the changes in ADC and MTR values for the model groups on days 6, 8, and 10 post-transplantation were examined. All analyses were performed using the Prism 8 software (GraphPad Software, San Diego, CA, USA). Statistical significance was set at P < 0.05.
Results
Changes in mouse models of colorectal cancer over time
The tumors were visually identified subcutaneously approximately 5 days after transplantation. The larger tumors were approximately 2 cm in size, while the smaller ones had sizes of < 1 cm. All animals died on day 11. This explains why the cases at 10 days post-transplantation were few.
T2 weighted imaging
T2-weighted images were obtained at 6, 8, and 10 days after transplantation to confirm the tumor size. The tumor sizes increased on days 8 and 10 relative to day 6 after transplantation (Fig. 2A and F). The mean tumor size was 7.4 ± 6.1 mm2 on day 6, 13.8 ± 8.7 mm2 on day 8, and 12.7 ± 5.2 mm2 on day 10 after transplantation. However, the groups showed no significant differences (day 6 vs. day 8, P = 0.08; day 8 vs. day 10, P = 0.93; and day 6 vs. day 10, P = 0.17). The tumor size reached a maximum on the eighth day after transplantation and was maintained or decreased afterward.
ADC map
The ADC map images for each model on days 6, 8, and 10 after the transplantation of colorectal cancer cells are shown (Fig. 3A and F). The ADC map showed that the signal was higher on day 6 after implantation and decreased on days 8 and 10. Furthermore, the increased intensity at 6 days post-implantation showed that the signal decline progressed from the margins toward the center. The ADC values inside the tumor were calculated and averaged; they were 1.14 ± 0.34 × 10− 3 mm2/s on day 6, 0.77 ± 0.20 × 10− 3 mm2/s on day 8, and 0.54 ± 0.02 × 10− 3 mm2/s on day 10 after transplantation. These were consistent with the imaging results (Fig. 4). A significant decrease was observed from 6 to 8 days after transplantation (P < 0.01) and from 6 to 10 days after transplantation (P < 0.001). A decreasing trend was observed from day 8 to day 10 after transplantation, but the difference was not significant (P = 0.13).
MTR map at 1.2 ppm reflecting hydroxyl metabolism
Figure 5A and F shows the results of the MTR map at 1.2 ppm for each model on days 6, 8, and 10 after the transplantation of colorectal cancer cells. At 1.2 ppm, the images show that the MTR value of the tumor was high on day 6. The signal decreased on days 8 and 10. On day 10, the signal was approximately the same as that of the surrounding tissue. The analysis showed that the mean MTR values of the groups were 6.51 ± 3.47% on day 6, 3.65 ± 1.65% on day 8, and 2.84 ± 0.82% on day 10. These were consistent with the results from the images. The rate of decrease in the MTR values was greater from day 6 to day 8 than from day 8 to day 10. (Fig. 6). A significant decrease was observed from day 6 to day 8 (P < 0.05) and from day 6 to day 10 after transplantation (P < 0.01). However, a decreasing trend was observed from day 8 to day 10 after transplantation, but the difference was not significant (P = 0.76).
Average MTR values at 1.2 ppm inside the tumor for each model group. There was a significant decrease in MTR values from day 6 to day 8 (P < 0.05) and from day 6 to day 10 (P < 0.01) after transplantation. However, there was no significant decrease from day 8 to day 10 after transplantation (P = 0.76).
Correlation between ADC and MTR values
There was a strong positive correlation between ADC and MTR 6 days after transplantation. Several plots had ADC values of 0.5–1.5 × 10− 3 mm2/s and MTR values of 0–10%. However, a number of plots had high values for both, which created the impression of scattering (Fig. 7A).
A strong positive correlation was observed at 8 days after transplantation, as well as at 6 days after transplantation. The plots with high ADC and MTR values observed on day 6 were reduced, and the variation was smaller than that on day 6 (Fig. 7B). The variation in the plots had disappeared by the tenth day after implantation, and the ADC value was approximately 0.5 × 10− 3 mm2/s while the MTR value converged to 0–7%. A modest positive correlation was observed, but it was weaker than that on days 6 and 8 after transplantation (Fig. 7C). Overlaying the scatter plots on days 6, 8, and 10 after transplantation showed a tendency for the plots to converge toward the origin as the experiment progressed (Fig. 7D).
MTR asymmetry
Figure 8 shows the MTR asymmetry, created by plotting MTR values from 0 to 4.8 ppm. The MTR value peaked at 1.2 ppm reflecting hydroxyl metabolism on the sixth day after transplantation, with a monotonous decrease thereafter. By day 8 post-implantation, the overall signal was reduced from that on day 6, resulting in a flat MTR asymmetry. It peaked at approximately 1.8 ppm, indicating a shift in MTR asymmetry to the right relative to that on day 6. MTR asymmetry on day 10 after implantation showed the same peak position as that on day 8, but the signal was further reduced from that on day 8. These results show that the peak position of the MTR asymmetry shifts to the right, and the signal value decreases over time. Differences in MTR symmetry are observed for each model group from 0.6 to 3.3 ppm, but all MTR asymmetry values are similar from 3.6 ppm upward.
The MTR values for each model group at 1.8 ppm were as follows: 6 days post-transplant: 5.9 ± 3.0%; 8 days post-transplant: 4.3 ± 1.0%; and 10 days post-transplant: 3.2 ± 0.74%. As for the case of 1.2 ppm, the MTR decreased with time to 1.8 ppm. No significant differences were found between 6 and 8 days (P = 0.20) or between 8 and 10 days (P = 0.47) after transplantation. However, there was a significant decrease between days 6 and 10 post-transplantation (P < 0.05) (Fig. 9).
The average MTR values at 1.8 ppm inside the tumor for each model group are shown as a graph. The MTR values significantly decreased from day 6 to day 10 (P < 0.05) after transplantation. However, there was no significant decrease from day 6 to day 8 (P = 0.20) and from day 8 to day 10 (P = 0.47) after transplantation.
Hematoxylin-eosin staining
The results of HE staining showed that the tumors on day 6 after transplantation had many areas of relatively light color staining and prominent intercellular spaces (Fig. 10A). The staining results on day 8 after transplantation showed that the tumor was darker than on day 6. Furthermore, a magnified view of the tumor staining showed that the cells were more densely packed on day 8 post-transplantation than on day 6. The intercellular spaces that were noticeable 6 days after transplantation also decreased (Fig. 10B). Necrosis was observed 10 days after transplantation. Relative to that at 8 days after transplantation, the staining of the tumor became lighter, and the magnified view showed that the intercellular spaces had reappeared and the cells were sparse (Fig. 10C). Relative to the findings on days 6 and 8 after transplantation, the stained nuclei were smaller on day 10, indicating lower cell density. HE staining captured the morphological changes in tumor cells over time.
HE staining and Ki-67 staining images are shown. (A–C) HE-stained images. (A) Six days post-transplantation. (B) Eight days post-transplantation. (C) Ten days post-transplantation. (D–F) Ki-67-stained images. (D) Six days after transplantation. (E) Eight days after transplantation. (F) Ten days after transplantation.
Ki-67 staining reflected the proliferative potential of cells, with brown staining indicating a high proliferative potential29. The tumor cells stained brown at 6 days after transplantation, indicating a high proliferative potential. However, the entire area was not stained brown, but rather was sparsely scattered (Fig. 10D). By day 8 after transplantation, fewer cells were stained brown, and their color was lighter than that on day 6 (Fig. 10E). Only a few cells had turned brown on day 10 post-transplantation (Fig. 10F). Ki-67 quantification of the positivity rate was not possible.
Discussion
The CEST method is effective for evaluating endogenous metabolites and is expected to be applied to the diagnosis of cancer. However, it has not yet been adopted in clinical practice due to limitations such as long imaging durations and magnetic field inhomogeneity. This is the first study to combine the CEST method with an ADC map and evaluate it with hydroxyl metabolism in a carcinoma-bearing model using colon cancer cells. The MTR and ADC values were high 6 days after cell transplantation, and both tended to decrease with tumor growth. Cell proliferation and cell hydroxyl metabolism were high on the sixth day, and both decreased after day 8.
In this study, the ADC and MTR values at 1.2 ppm decreased gradually after the transplantation of colon cancer cells. In the carcinoma-bearing model of colon cancer cells, the ADC and MTR values at 1.2 ppm were positively correlated and converged to the baseline with time. This finding contrasts with previous reports describing a negative correlation between MTRasym and ADC (Ref. 48). We speculate that the discrepancy arises from the use of immunodeficient mice in a terminal stage, which differs from many prior models. Meng et al. reported that small cell lung cancer has more rapid cell proliferation than non-small cell lung cancer, which tends to inhibit the diffusion and migration of water molecules and results in lower ADC values30. Other studies have reported a similar relationship with a negative correlation between proliferative capacity and ADC31,32,33,34. On day 6 of this study, the MTR value of hydroxyl metabolism and proliferative capacity were high. The ADC value was also high, but this was in contrast with the report of a previous study. We believe that this is attributable to the death of the model mice in this study approximately 11 days after transplantation, and the MRI scan was obtained just before death. Hydroxyl metabolism tended to decrease, and the peak MTR value had passed. The cells also became edematous and both MTR and ADC values decreased.
In general, the malignancy of a cancer is positively correlated with its proliferative potential and MTR value29. Meng et al. reported the reasons for this as follows: (1) high-grade tumors more frequently have nuclear atypia than low-grade tumors, and (2) their high proliferative capacity makes them prone to necrosis when blood supply is insufficient, leading to production of more protein and polypeptides35. We believe that the difference between our results and those of the previous study is attributable to the difference in assessment of malignancy. Amide protons at 3.5 ppm were used to assess malignancy in the previous study, whereas hydroxyl metabolism at 1.2 ppm was used to assess the degree of malignancy in this study. This study may have been less affected by necrosis and other factors than the previous studies. In addition, this study used nude mouse models of carcinoma, and the mice rapidly grew cancer cells and died within a few days. Therefore, the discrepancy between the results and those of previous studies is attributable to the hydroxyl metabolism-induced increase and decrease in the tumor within a short period and at a time when the proliferative capacity was reduced. However, the correlation between ADC and MTR values was consistent between previous studies and the present study. Diagnostic techniques using the CEST method have been developed in recent years and are applied to various sites, including the brain, breast, cervix, and prostate35,36,37,38. In this study, the CEST method was successfully applied to a mouse subcutaneous tumor model (colon cancer model). Based on these results, we hypothesized that the addition of the ADC map to the assessment of intratumor hydroxyl metabolism using the CEST method would allow a more detailed assessment of the pathophysiology of cancer cells. In the future, we anticipate that further correlations between ADC and MTR values will allow the classification of malignancy and noninvasive staging of cancer using the CEST method.
The results of this study showed that the MTR values at 1.2 ppm decreased after transplantation in a mouse model of colon cancer cell carcinogenesis, allowing us to follow the changes in hydroxyl metabolism over time. This is consistent with the study by Wijnen et al., who validated it in a breast cancer cell line39 and found that hydroxyl metabolism could be evaluated using the CEST method in a mouse model of colon cancer cell carriers. The study by Schimmt et al. also reported that the optimal chemical shift for observing differences between healthy and malignant tissue in patients with breast cancer is 1.2–1.8 ppm, and the CEST effect was highest at 1.3 ppm40. This result is also consistent with the results of this study, which showed a peak at 1.2 ppm on day 6 and at 1.8 ppm on days 8 and 10 after transplantation. Furthermore, previous studies in breast cancer have reported that the increased intensity of the CEST signal is associated with altered membrane metabolism, including choline and its derivatives40. However, in line with more recent evidence21, our results suggest that the 1.2 ppm peak observed in the present colon cancer model primarily reflects hydroxyl-containing metabolites such as glucose and glycogen, rather than choline. Thus, while hydroxyl metabolism may contribute to CEST effects in certain tumor types, our findings support hydroxyl metabolism as the predominant contributor in this model. The results of the present study support these hypotheses. Originally, 1.2 ppm was close to the peak with bulk water. Therefore, water saturation interferes with metabolite proton saturation, making signal detection difficult. However, we believe that the use of high-field MRI facilitated our measurement of hydroxyl metabolism using the CEST method in this study. The chemical shift is farther when using high-field MRI than when using low-field MRI, allowing for more accurate detection of hydroxyl metabolism without interference from other metabolites. The 7T-MRI in this study and the 11.7T-MRI in the study by Wijnen et al. were considerably higher than those used in clinical practice. Several other CEST studies have been conducted using strong magnetic fields and have demonstrated their effectiveness of high magnetic fields12,27,41,42. The T1 relaxation time of water is generally longer at higher magnetic fields, allowing more saturation to accumulate in the water pool and increasing the detectable CEST effect43,44. Most tumors in this study were less than 2 cm, supporting the sensitivity of CEST in terms of sensitivity.
Ki-67 staining is an indicator of cell proliferative potential29,45 and a positive correlation has been reported between Ki-67 staining and MTR values at 1.0, 2.0, and 3.5 ppm, among others23,46,47. In the present study, Ki-67 staining was higher on day 6 post-transplantation (Fig. 10D). This is consistent with higher MTR values at 1.2 ppm; higher hydroxyl metabolism concentration, higher proliferative potential, and Ki-67 staining confirmed the validity of the hydroxyl metabolism assessment with the CEST method at 1.2 ppm in this study. It may be possible to associate cancer diagnosis with the CEST method using 1.2 ppm in the future.
In this study, the ADC values inside the tumor decreased with time after transplantation of colon cancer cells. Several previous studies have reported that ADC values are negatively correlated with cell density25,26. The results of HE staining (Fig. 9a-c) show that the cells became denser as time passed after transplantation until necrosis. Therefore, the results of this study are consistent with those of the previous studies. On day 6 after transplantation, the tumor began to lose its proliferative potential, and the cells became edematous, which we believe reflected a decrease in ADC values. ADC is affected by the amount of space available for extracellular water24, and it is likely that cells swell when they become edematous, which eliminates spaces of extracellular water and inhibits water diffusion. In addition, several studies have reported that intra- and extracellular edema inhibits the diffusion of water molecules48. This result is consistent with the results of the present study. Previous studies have also reported a negative correlation between tumor grade and ADC value25,49. In this study, the ADC values decreased over time, which is consistent with the reports of previous studies, given the progression of cancer over time. In a study by Gibbs et al., metastatic activity was increased in highly cellular tumors. This suggests that cellularity may indicate tumor aggressiveness, and it is important to determine parameters that reflect cell density24. Against this background, the discovery of temporal changes in ADC values in this study using a carcinoma-bearing model is of great clinical significance. Furthermore, several studies concluded that the potential association between Gleason score and ADC values may be diagnostic. The results of this study may help clarify the relationship between subcutaneous tumors and colorectal cancer stage and ADC values, which may be useful for diagnosis in the future24,50. Therefore, the ADC map is a useful indicator for the internal evaluation of tumors and may support diagnoses using the CEST method.
In this study, the MTR values at 1.8 ppm decreased with time after implantation. In the CEST method, 1.8 ppm is said to reflect creatine13,27,51. Creatine is a nitrogen-containing organic acid that is abundant in the human body and can be converted into phosphocreatine to provide energy to muscles and nerve tissues52. Creatine has recently been suggested to influence cancer progression and metastasis53,54,55,56. In our study, the peak shift from 1.2 ppm to 1.8 ppm over time may partly reflect creatine-related metabolism; however, given the lack of direct evidence in this model, this interpretation should be considered speculative. Further studies are required before creatine-based tumor assessment can be applied in clinical practice.
This study had several limitations. First, CEST is susceptible to motion artifacts caused by respiration and vascular flow. In this study, four of the 23 model mice were removed from the data because of artifacts. Careful respiratory management and body immobilization are required to ensure the imaging accuracy of CEST. Second, the CEST method is strongly affected by magnetic field inhomogeneity. Higher magnetic field and greater effect of the magnetic field inhomogeneity are associated with more difficult application of selective pulses23. The 7T-MRI was used in this study, and the influence of magnetic field inhomogeneity was considered insignificant. In future research, we would like to apply the CEST method to non-colon cancer cells, such as breast cancer cells and non-subcutaneous tumor models, with the aim to eventually apply the method to humans for clinical trials.
This study revealed a correlation between the ADC and MTR values over time in a mouse model of tumor-bearing carcinoma transplanted with colon cancer cells. Combining the measurement of hydroxyl metabolism in cancer cells using the CEST method with the assessment of cell density using an ADC map may be useful for the evaluation of cancer pathogenesis. This is especially true for the assessment of cell proliferative capacity and hydroxyl metabolism.
Data availability
The datasets generated during and/or analyzed during the current study are available from the corresponding author on reasonable request.
References
Roy, P. S. & Saikia, B. J. Cancer and cure: a critical analysis. Indian J. Cancer. 53, 441–442. https://doi.org/10.4103/0019-509X.200658 (2016).
Henriksen, O. In vivo quantitation of metabolite concentrations in the brain by means of proton MRS. NMR Biomed. 8, 139–148. https://doi.org/10.1002/nbm.1940080402 (1995).
Kreis, R., Ernst, T. & Ross, B. D. Development of the human brain: in vivo quantification of metabolite and water content with proton magnetic resonance spectroscopy. Magn. Reson. Med. 30, 424–437. https://doi.org/10.1002/mrm.1910300405 (1993).
Nakano, T. et al. Longitudinal evaluation using preclinical 7T-magnetic resonance imaging/spectroscopy on prenatally dose-dependent alcohol-exposed rats. Metabolites 13, 2563. https://doi.org/10.3390/metabo13040527 (2023).
Provencher, S. W. Estimation of metabolite concentrations from localized in vivo proton NMR spectra. Magn. Reson. Med. 30, 672–679. https://doi.org/10.1002/mrm.1910300604 (1993).
Julia-Sape, M., Candiota, A. P. & Arus, C. Cancer metabolism in a snapshot: MRS(I). NMR Biomed. 32, e4054. https://doi.org/10.1002/nbm.4054 (2019).
Katz-Brull, R., Lavin, P. T. & Lenkinski, R. E. Clinical utility of proton magnetic resonance spectroscopy in characterizing breast lesions. J. Natl. Cancer Inst. 94, 1197–1203. https://doi.org/10.1093/jnci/94.16.1197 (2002).
Glunde, K. & Bhujwalla, Z. M. Metabolic tumor imaging using magnetic resonance spectroscopy. Semin Oncol. 38, 26–41. https://doi.org/10.1053/j.seminoncol.2010.11.001 (2011).
Chan, K. W. et al. CEST-MRI detects metabolite levels altered by breast cancer cell aggressiveness and chemotherapy response. NMR Biomed. 29, 806–816. https://doi.org/10.1002/nbm.3526 (2016).
Dula, A. N., Smith, S. A. & Gore, J. C. Application of chemical exchange saturation transfer (CEST) MRI for endogenous contrast at 7 Tesla. J. Neuroimaging. 23, 526–532. https://doi.org/10.1111/j.1552-6569.2012.00751.x (2013).
Guivel-Scharen, V., Sinnwell, T., Wolff, S. D. & Balaban, R. S. Detection of proton chemical exchange between metabolites and water in biological tissues. J. Magn. Reson. 133, 36–45. https://doi.org/10.1006/jmre.1998.1440 (1998).
van Zijl, P. C. & Yadav, N. N. Chemical exchange saturation transfer (CEST): what is in a name and what isn’t? Magn. Reson. Med. 65, 927–948. https://doi.org/10.1002/mrm.22761 (2011).
Kogan, F., Hariharan, H. & Reddy, R. Chemical exchange saturation transfer (CEST) imaging: description of technique and potential clinical applications. Curr. Radiol. Rep. 1, 102–114. https://doi.org/10.1007/s40134-013-0010-3 (2013).
Shah, S. M. et al. The z-spectrum from human blood at 7T. Neuroimage 167, 31–40. https://doi.org/10.1016/j.neuroimage.2017.10.053 (2018).
Zhang, L. et al. Chemical exchange saturation transfer (CEST) magnetic resonance imaging (MRI) quantification of transient ischemia using a combination method of 5-pool lorentzian fitting and inverse Z-spectrum analysis. Quant. Imaging Med. Surg. 13, 1860–1873. https://doi.org/10.21037/qims-22-420 (2023).
Liu, G., Gilad, A. A., Bulte, J. W., van Zijl, P. C. & McMahon, M. T. High-throughput screening of chemical exchange saturation transfer MR contrast agents. Contrast Media Mol. Imaging. 5, 162–170. https://doi.org/10.1002/cmmi.383 (2010).
Goldenberg, J. M. & Pagel, M. D. Assessments of tumor metabolism with CEST MRI. NMR Biomed. 32, e3943. https://doi.org/10.1002/nbm.3943 (2019).
Wamelink, I. et al. Reproducibility of 3 T APT-CEST in healthy volunteers and patients with brain glioma. J. Magn. Reson. Imaging. 57, 206–215. https://doi.org/10.1002/jmri.28239 (2023).
Wu, Y. et al. Reproducibility of APT-weighted CEST-MRI at 3T in healthy brain and tumor across sessions and scanners. Sci. Rep. 13, 18115. https://doi.org/10.1038/s41598-023-44891-0 (2023).
Zhou, J. et al. Review and consensus recommendations on clinical APT-weighted imaging approaches at 3T: application to brain tumors. Magn. Reson. Med. 88, 546–574. https://doi.org/10.1002/mrm.29241 (2022).
Li, A. et al. Role of chemical exchange saturation transfer and magnetization transfer MRI in detecting metabolic and structural changes of renal fibrosis in an animal model at 3T. Korean J. Radiol. 21, 588–597. https://doi.org/10.3348/kjr.2019.0646 (2020).
Rivlin, M. et al. Breast cancer imaging with glucosamine CEST (chemical exchange saturation transfer) MRI: first human experience. Eur. Radiol. 32, 7365–7373. https://doi.org/10.1007/s00330-022-08772-w (2022).
Vinogradov, E., Keupp, J., Dimitrov, I. E., Seiler, S. & Pedrosa I. CEST-MRI for body oncologic imaging: are we there yet? NMR Biomed. 36, e4906. https://doi.org/10.1002/nbm.4906 (2023).
Gibbs, P. et al. Correlation of ADC and T2 measurements with cell density in prostate cancer at 3.0 Tesla. Invest. Radiol. 44, 572–576. https://doi.org/10.1097/RLI.0b013e3181b4c10e (2009).
Ginat, D. T., Mangla, R., Yeaney, G., Johnson, M. & Ekholm, S. Diffusion-weighted imaging for differentiating benign from malignant skull lesions and correlation with cell density. AJR Am. J. Roentgenol. 198, W597–601. https://doi.org/10.2214/AJR.11.7424 (2012).
Lu, Z. X. et al. The correlation between the cell density of local advanced lung cancer tumor and the ADC value of 3.0 T MRI diffusion weighted imaging. Zhonghua Yi Xue Za Zhi. 98, 3332–3335. https://doi.org/10.3760/cma.j.issn.0376-2491.2018.41.008 (2018).
Saito, S., Takahashi, Y., Ohki, A., Shintani, Y. & Higuchi, T. Early detection of elevated lactate levels in a mitochondrial disease model using chemical exchange saturation transfer (CEST) and magnetic resonance spectroscopy (MRS) at 7T-MRI. Radiol. Phys. Technol. 12, 46–54. https://doi.org/10.1007/s12194-018-0490-1 (2019).
Kim, M., Gillen, J., Landman, B. A., Zhou, J. & van Zijl, P. C. Water saturation shift referencing (WASSR) for chemical exchange saturation transfer (CEST) experiments. Magn. Reson. Med. 61, 1441–1450. https://doi.org/10.1002/mrm.21873 (2009).
Chen, Y. et al. The diagnostic efficacy of amide proton transfer imaging in grading gliomas and predicting tumor proliferation. Neuroreport 30, 139–144. https://doi.org/10.1097/WNR.0000000000001174 (2019).
Meng, N. et al. Evaluation of amide proton Transfer-Weighted imaging for lung cancer subtype and epidermal growth factor receptor: a comparative study with diffusion and metabolic parameters. J. Magn. Reson. Imaging. 56, 1118–1129. https://doi.org/10.1002/jmri.28135 (2022).
Guo, Y. et al. Differentiation of clinically benign and malignant breast lesions using diffusion-weighted imaging. J. Magn. Reson. Imaging. 16, 172–178. https://doi.org/10.1002/jmri.10140 (2002).
Meyer, H. J., Wienke, A. & Surov, A. ADC values of benign and high grade meningiomas and associations with tumor cellularity and proliferation - a systematic review and meta-analysis. J. Neurol. Sci. 415, 116975. https://doi.org/10.1016/j.jns.2020.116975 (2020).
Xie, Y. et al. Minimal apparent diffusion coefficient in predicting the Ki-67 proliferation index of pancreatic neuroendocrine tumors. Jpn J. Radiol. 40, 823–830. https://doi.org/10.1007/s11604-022-01262-5 (2022).
Yao, R., Cheng, A., Zhang, Z., Jin, B. & Yu, H. Correlation between apparent diffusion coefficient and the Ki-67 proliferation index in grading pediatric glioma. J. Comput. Assist. Tomogr. 47, 322–328. https://doi.org/10.1097/RCT.0000000000001400 (2023).
Meng, N. et al. Application of the amide proton transfer-weighted imaging and diffusion kurtosis imaging in the study of cervical cancer. Eur. Radiol. 30, 5758–5767. https://doi.org/10.1007/s00330-020-06884-9 (2020).
Dula, A. N. et al. Optimization of 7-T chemical exchange saturation transfer parameters for validation of glycosaminoglycan and amide proton transfer of fibroglandular breast tissue. Radiology 275, 255–261. https://doi.org/10.1148/radiol.14140762 (2015).
Reesink, D. J. et al. Feasibility of clinical studies of chemical exchange saturation transfer magnetic resonance imaging of prostate cancer at 7 T. NMR Biomed. 36, e4958. https://doi.org/10.1002/nbm.4958 (2023).
Togao, O. et al. Amide proton transfer imaging of adult diffuse gliomas: correlation with histopathological grades. Neuro Oncol. 16, 441–448. https://doi.org/10.1093/neuonc/not158 (2014).
Jannie, P., Wijnen, K. W. C., Peter, C. M. & van Zijl, M. T. McMahon Kristine Glunde. Proc. Intl. Soc. Mag. Reson. Med. 20, 1544 (2025).
Schmitt, B. et al. A new contrast in MR mammography by means of chemical exchange saturation transfer (CEST) imaging at 3 tesla: preliminary results. Rofo 183, 1030–1036. https://doi.org/10.1055/s-0031-1281764 (2011).
Basharat, M., deSouza, N. M., Parkes, H. G. & Payne, G. S. Determining the chemical exchange saturation transfer (CEST) behavior of citrate and spermine under in vivo conditions. Magn. Reson. Med. 76, 742–746. https://doi.org/10.1002/mrm.25997 (2016).
Saito, S., Takahashi, Y., Ohki, A., Shintani, Y. & Higuchi, T. Early detection of elevated lactate levels in a mitochondrial disease model using chemical exchange saturation transfer (CEST) and magnetic resonance spectroscopy (MRS) with 7T MR imaging. Radiol. Phys. Technol. 12, 232–233. https://doi.org/10.1007/s12194-019-00510-0 (2019).
Stanisz, G. J. et al. T1, T2 relaxation and magnetization transfer in tissue at 3T. Magn. Reson. Med. 54, 507–512. https://doi.org/10.1002/mrm.20605 (2005).
Saito, S. & Ueda, J. Preclinical magnetic resonance imaging and spectroscopy in the fields of radiological technology, medical physics, and radiology. Radiol. Phys. Technol. 17, 47–59. https://doi.org/10.1007/s12194-024-00785-y (2024).
Li, L. T., Jiang, G., Chen, Q. & Zheng, J. N. Ki67 is a promising molecular target in the diagnosis of cancer (review). Mol. Med. Rep. 11, 1566–1572. https://doi.org/10.3892/mmr.2014.2914 (2015).
Zaric, O. et al. 7T CEST MRI: a potential imaging tool for the assessment of tumor grade and cell proliferation in breast cancer. Magn. Reson. Imaging. 59, 77–87. https://doi.org/10.1016/j.mri.2019.03.004 (2019).
Zhang, S. et al. CEST-Dixon for human breast lesion characterization at 3 T: a preliminary study. Magn. Reson. Med. 80, 895–903. https://doi.org/10.1002/mrm.27079 (2018).
Woodhams, R. et al. Diffusion-weighted imaging of mucinous carcinoma of the breast: evaluation of apparent diffusion coefficient and signal intensity in correlation with histologic findings. AJR Am. J. Roentgenol. 193, 260–266. https://doi.org/10.2214/AJR.08.1670 (2009).
Aslan, A. et al. The utility of ADC measurement techniques for differentiation of low- and high-grade clear cell RCC. Pol. J. Radiol. 83, e446–e451. https://doi.org/10.5114/pjr.2018.80207 (2018).
Woo, S., Kim, S. Y., Cho, J. Y. & Kim, S. H. Preoperative evaluation of prostate cancer aggressiveness: using ADC and ADC ratio in determining Gleason score. AJR Am. J. Roentgenol. 207, 114–120. https://doi.org/10.2214/AJR.15.15894 (2016).
Haris, M. et al. Exchange rates of creatine kinase metabolites: feasibility of imaging creatine by chemical exchange saturation transfer MRI. NMR Biomed. 25, 1305–1309. https://doi.org/10.1002/nbm.2792 (2012).
Zhang, L. & Bu, P. The two sides of creatine in cancer. Trends Cell. Biol. 32, 380–390. https://doi.org/10.1016/j.tcb.2021.11.004 (2022).
Loo, J. M. et al. Extracellular metabolic energetics can promote cancer progression. Cell 160, 393–406. https://doi.org/10.1016/j.cell.2014.12.018 (2015).
Maguire, O. A. et al. Creatine-mediated crosstalk between adipocytes and cancer cells regulates obesity-driven breast cancer. Cell Metab. 33, 499–512. https://doi.org/10.1016/j.cmet.2021.01.018 (2021).
Papalazarou, V. et al. The creatine-phosphagen system is mechanoresponsive in pancreatic adenocarcinoma and fuels invasion and metastasis. Nat. Metab. 2, 62–80. https://doi.org/10.1038/s42255-019-0159-z (2020).
Zhang, L. et al. Creatine promotes cancer metastasis through activation of Smad2/3. Cell Metab. 33, 1111–1123 e1114. https://doi.org/10.1016/j.cmet.2021.03.009 (2021).
Acknowledgements
This work was supported by the Japan Society for the Promotion of Science (JSPS) KAKENHI (grant number 19K08172, 23H03763) and JPMXS0450400023, 24/Ministry of Education, Culture, Sports, Science and Technology.
Author information
Authors and Affiliations
Contributions
N.T., K. I., N. Y., L. X., K.B, N.B., J. U., and S.S. conceived the study, collected the data, performed data analysis, wrote the manuscript, and prepared all figures; N.T. and K. I. also assisted in data collection and data analysis; N.T., K. I., N. Y., L. X., K.B, N.B., and J. U. reviewed the manuscript; S.S. conceived the study, obtained funding, and reviewed the manuscript All authors have read and approved the final version of the manuscript.
Corresponding author
Ethics declarations
Competing interests
The authors declare no competing interests.
Ethics approval
This animal study was conducted in accordance with the ARRIVE guidelines. All experimental protocols were approved by the Research Ethics Committee in University of Osaka, Osaka, Japan (Number: R04-01-0).
Ethical statement
Experimental procedures involving animals and their care were carried out in accordance with the University of Osaka Guidelines for Animal Experimentation and the National Institutes of Health Guide for the Care and Use of Laboratory Animals.
Additional information
Publisher’s note
Springer Nature remains neutral with regard to jurisdictional claims in published maps and institutional affiliations.
Rights and permissions
Open Access This article is licensed under a Creative Commons Attribution-NonCommercial-NoDerivatives 4.0 International License, which permits any non-commercial use, sharing, distribution and reproduction in any medium or format, as long as you give appropriate credit to the original author(s) and the source, provide a link to the Creative Commons licence, and indicate if you modified the licensed material. You do not have permission under this licence to share adapted material derived from this article or parts of it. The images or other third party material in this article are included in the article’s Creative Commons licence, unless indicated otherwise in a credit line to the material. If material is not included in the article’s Creative Commons licence and your intended use is not permitted by statutory regulation or exceeds the permitted use, you will need to obtain permission directly from the copyright holder. To view a copy of this licence, visit http://creativecommons.org/licenses/by-nc-nd/4.0/.
About this article
Cite this article
Tsuji, N., Itagaki, K., Yuto, N. et al. Chemical exchange saturation transfer imaging and diffusion weighted imaging for colon 26 tumor bearing mice. Sci Rep 16, 1107 (2026). https://doi.org/10.1038/s41598-025-30629-7
Received:
Accepted:
Published:
Version of record:
DOI: https://doi.org/10.1038/s41598-025-30629-7









