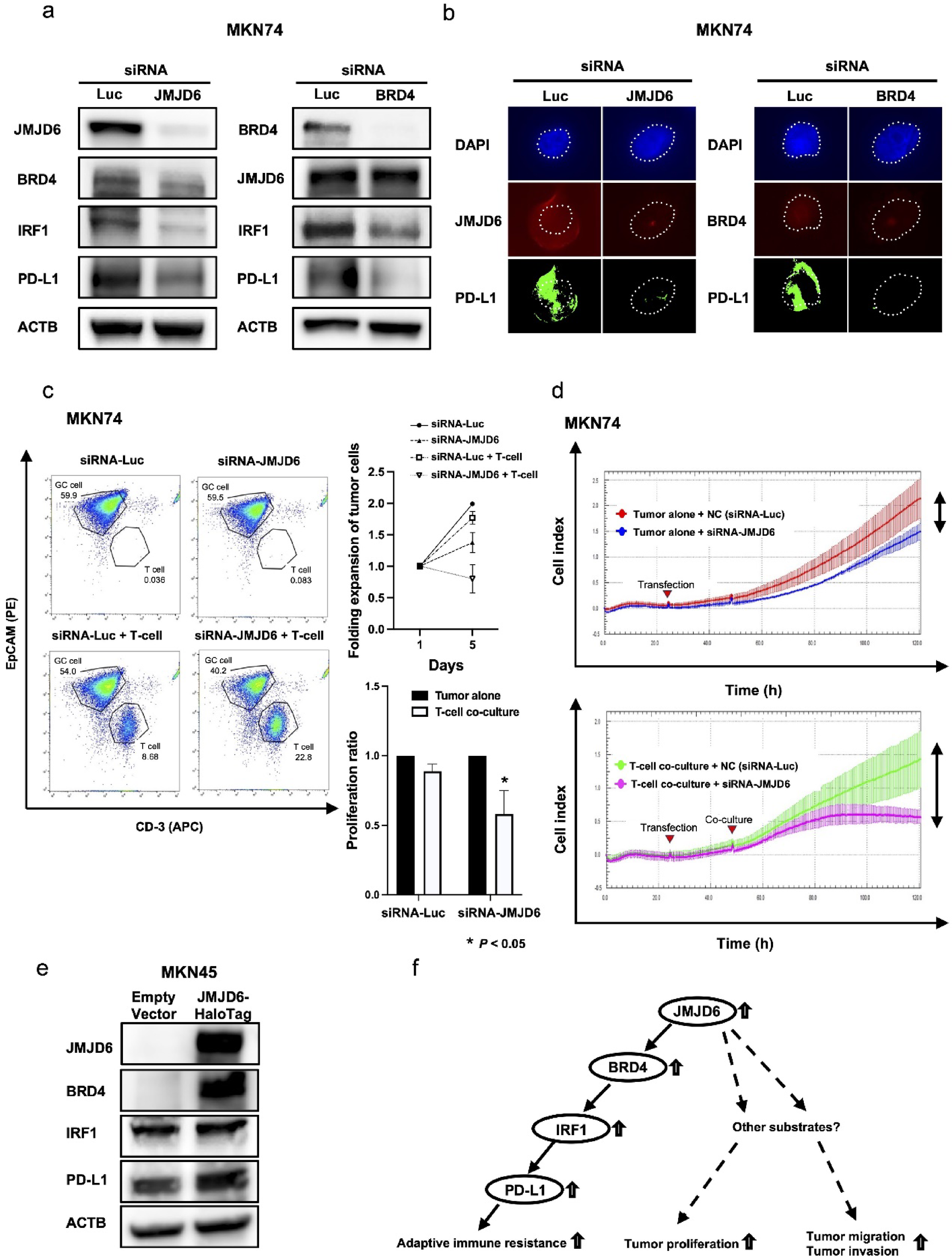
Fig. 4

JMJD6 regulates BRD4, IRF1 and PD-L1 expression. (a) The knockdown of JMJD6 by transfection with siRNA-JMJD6 suppressed BRD4, IRF1 and PD-L1 in MKN74. In addition, the knockdown of BRD4 by transfection with siRNA-BRD4 suppressed IRF1 and PD-L1 in MKN74. In contrast, the knockdown of BRD4 did not suppress JMJD6 in MKN74. (b) Knockdown of JMJD6 suppressed PD-L1 and BRD4 expression in MKN74 gastric cancer (GC) cells. White dotted lines indicate nuclear boundaries. (c) Co-culture assay of GC cells and T cells. Under JMJD6 knockdown, T cells had more potent anti-tumor activity against GC cells compared with NC, and the proliferation ratio of GC cells was significantly decreased (mean ± SD, n = 3; error bars indicate SD, n = 3). (d) An impedance-based tumor-cell killing assay. The knockdown of JMJD6 increased the anti-tumor activity of T cells and inhibited the proliferation of GC cells. (e) JMJD6 overexpression using plasmid transfection promotes BRD4, IRF1 and PD-L1 expression. (f) A hypothetical model of the overexpression or activation of JMJD6 in GC cells.