Fig. 2
From: Evaluation of deep learning MRI reconstruction for dental implant crowns in a phantom study

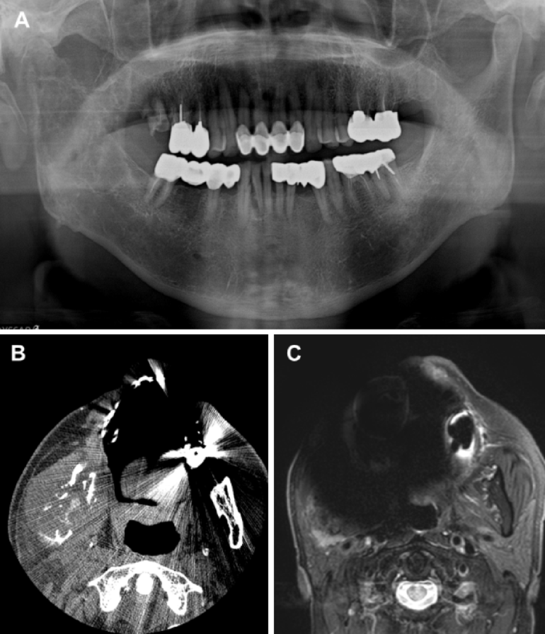
A patient with lymphoma involving the right mandibular ramus. (A) Panoramic radiograph. (B) Axial CT image demonstrating a soft tissue mass with mandibular bone destruction. (C) Axial MR image. The lesion is obscured by severe metal artifacts, making diagnosis impossible.