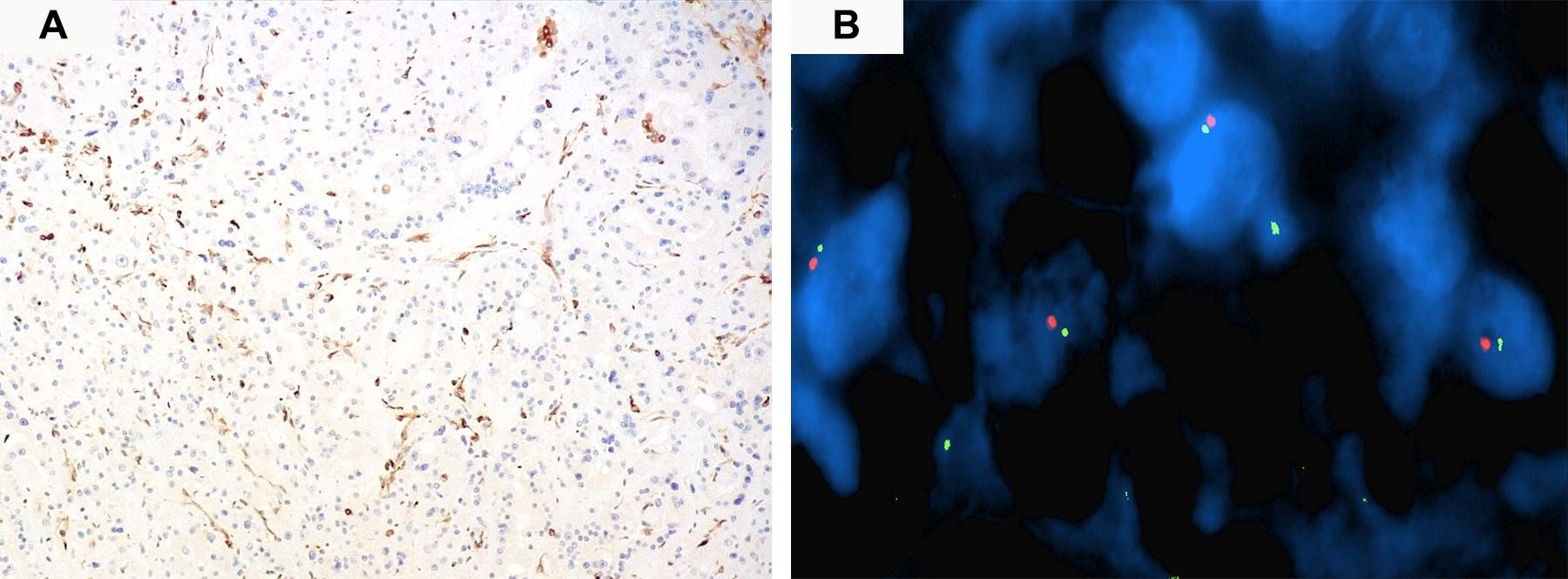
Fig. 3

Representative pictures from epithelioid PEComa of case 29, failing to stain for STING immunohistochemically. Intratumoral capillaries served as a positive internal control [a]. FISH break-apart analysis revealed minimally fluorescent split signals [b] (original magnification 200X a).