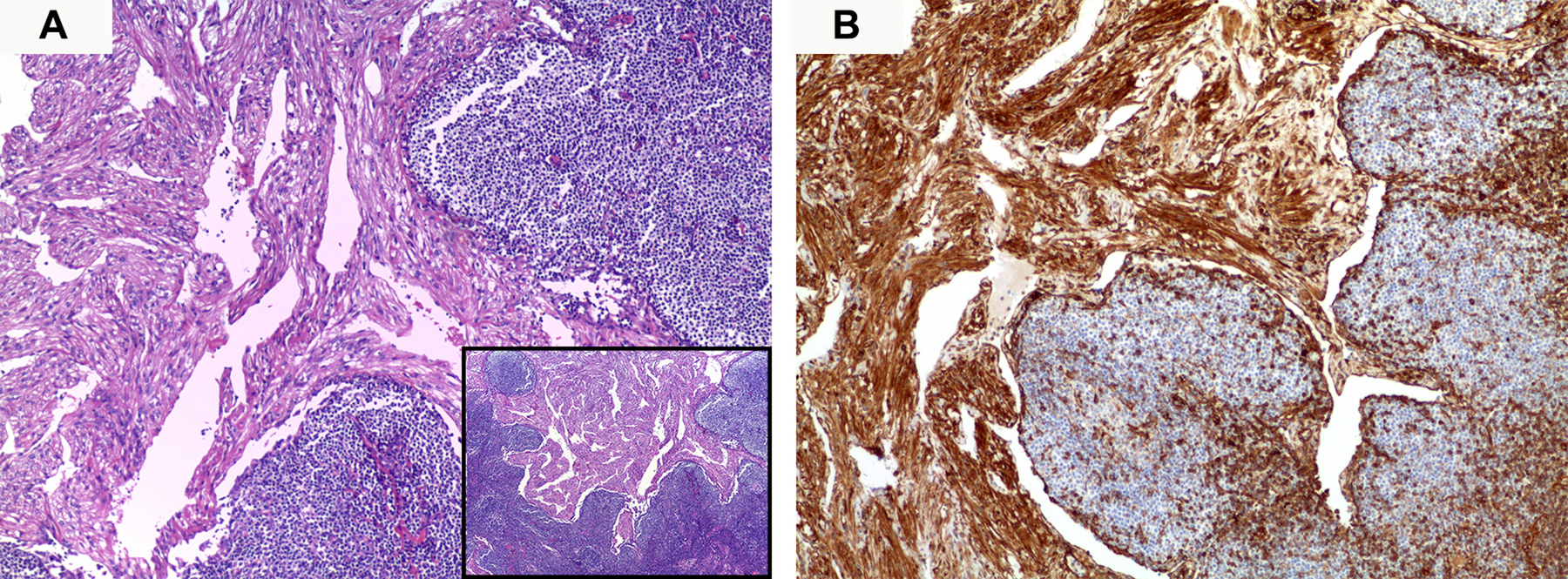
Fig. 4

Lymphangioleiomyomatosis. A nodal specimen displaying a proliferation of clear to eosinophilic spindle cells beyond lymphatic-like vascular spaces [a and inset], showing marked STING immunohistochemical expression [b] (original magnifications 50X inset, 100X a and b).