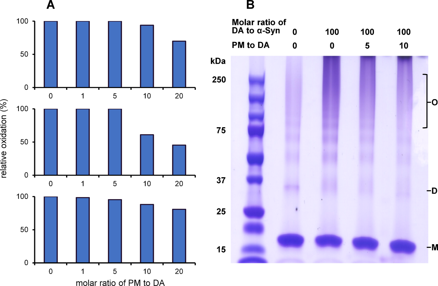
Fig. 9

(A) Relative oxidation (%) of M1DVFM5KGLSKAKE (top), DM116PVDPDNE (middle), and AYEM127PSEE (bottom) formed from the reaction of α-Syn and DA in the presence of PM (0–20 eq. to DA). (B) SDS-PAGE analysis of α-Syn treated with DA in the absence/presence of PM (0, 5, and 10 eq. to DA). Results are presented from a single representative experiment. The full-length gel was presented in Fig. S4.