Abstract
Parkinson’s disease (PD) is a neurodegenerative disease characterized by loss of dopaminergic neurons causing reduced levels of dopamine (DA), and the presence of Lewy bodies, whose main component is fibrillar α-synuclein (α-Syn). DA is easily oxidized to DA o-quinone (DAQ), which is a key mechanism for neuronal cell death and α-Syn accumulation. Therefore, a DAQ-quenching molecule should prevent DA-induced pathogenicity in PD. Pyridoxamine (PM) is a promising drug candidate for various chronic diseases, including diabetes, because it scavenges reactive carbonyl species. In this study, we found that PM traps DAQ through stable adduct formation. The initial reaction of PM occurred at the DAQ carbonyl carbon to yield pyridoxal (PL) after hydrolysis. DA then reacted with the PL aldehyde, followed by intramolecular cyclization to produce a PL–DA adduct. The adduct structure was shown by LC-MS and NMR analyses to be 1-(2-methyl-3-hydroxy-5-hydroxymethyl-4-pyridyl)-6,7-dihydroxy-1,2,3,4-tetrahydroisoquinoline. The PL–DA adduct was also detected under intracellular-like conditions. DA caused α-Syn oligomerization via oxidation of methionine residues, which was inhibited by PM in a dose-dependent manner. Therefore, PM could prevent DA-induced adverse effects in the brains of PD patients by forming the PL–DA adduct, suggesting a possible therapeutic use of PM for scavenging DAQ.
Introduction
Parkinson’s disease (PD) is an age-related neurodegenerative disease that is the fastest growing neurological disorder in terms of disability and death1,2. PD is characterized by a progressive degeneration of dopaminergic neurons in the substantia nigra pars compacta, resulting in reduced dopamine (DA) levels1. Additionally, the neurons contain cytosolic filamentous inclusions known as Lewy bodies, whose main component is fibrillar α-synuclein (α-Syn)3. Although the precise molecular mechanisms underlying PD are not fully understood, intensive studies have uncovered several pathways and mechanisms involved in pathophysiology of PD, such as oxidative stress4, mitochondrial dysfunction5, calcium homeostasis6, and α-Syn aggregation7. Despite ongoing research, there is currently no cure for PD. l-DOPA, a precursor of DA, is the first choice of treatment for PD because it replenishes DA. However, long-term use of l-DOPA causes adverse effects, such as motor fluctuations, dyskinesia, and psychiatric symptoms8, which are attributed partly to the formation of dopamine o-quinone (DAQ). DA is the most abundant catecholamine neurotransmitter and is important in multiple physiological functions, including motor control, emotional modulation, and reward mechanisms9. However, DA can induce oxidative stress through various redox reactions. One-electron oxidation of DA to the semiquinone radical (DASQ) can be mediated by free heme, peroxidases, or cyclooxygenase via H2O2 activation. DASQ couples with other radicals, scavenges cellular thiols, such as glutathione (GSH), undergoes further oxidation by O2 to form DAQ and O2−, or disproportionates to DA and DAQ10,11. Reactive oxygen species (ROS) derived from DA oxidation can damage lipids, proteins, and DNA in the cells12. DA can also be oxidized to DAQ in a two-electron process promoted by transition metals or tyrosinase13,14,15. The electron-deficient DAQ reacts with cellular thiols and nucleophilic amino acid residues, leading to further cytotoxicity. Upon reaction with GSH, DAQ forms 5-S-glutathionyl- and 5-S-cysteinyl-DA1718,. 5-S-Cysteinyl-DA is neurotoxic18. DAQ binds covalently to Cys residues in the DA transporter19, superoxide dismutase20, and glucocerebrosidase21, decreasing enzyme activity and causing blocked DA uptake, mitochondrial dysfunction, and lysosomal dysfunction, respectively. The interaction between DA and α-Syn also causes selective neuronal cell death and the accumulation of misfolded α-Syn22,23. Although the exact mechanism is not fully defined, DA oxidation is a key mechanism. Therefore, a DAQ-quenching molecule should prevent DA-induced pathogenicity in PD, such as the death of dopaminergic neurons and aggregation of α-Syn (Fig. 1).
Pyridoxamine (PM) is a vitamin B6 vitamer and functions as a coenzyme in enzymatic transaminations in vivo24. PM is also a promising pharmacological agent for the treatment of diabetic complications and other chronic conditions23. This is based on its multiple inhibitory effects. For example, inhibition of advanced glycation end product (AGE) formation by chelation of metal ions with the phenol and aminomethyl groups, inhibition of advanced lipoxidation end product (ALE) formation by scavenging of reactive carbonyl species (RCS), and trapping of ROS with phenol group25,26. PM is a potent scavenger of 1,2-, 1,3-, and 1,4-dicarbonyl compounds, which are RCSs. PM forms a dimer with methylglyoxal (MGO; 1,2-dicarbonyl), which blocked production of the MGO-Lys dimer and lowered the levels of MGO in red blood cells/plasma of diabetic rats27. PM reacts readily with glyoxal (1,2-dicarbonyl) to form a five-ring compound with a central piperazine ring. PM inhibited formation of AGE/ALE Nε-carboxymethyl Lys during incubation of bovine serum albumin with glyoxal28. PM traps malondialdehyde (1,3-dicarbonyl), a DNA-reactive aldehyde derived from lipid peroxidation, thereby inhibiting lipofuscin-like fluorescence induced by malondialdehyde in the reaction with bovine serum albumin29. PM forms a pyrrole and a lactam adduct with 4-oxopentanal and 15-E2-isoketal (both 1,4-dicarbonyls), respectively30,31. Recent studies32,33 have demonstrated that PM inhibits lipid hydroperoxide-derived damage to proteins by trapping 4-oxo-2(E)-nonenal (ONE; 1,4-dicarbonyl), the most abundant and reactive lipid-derived aldehyde34,35. PM also attenuated ONE-derived insulin resistance by scavenging ONE35. PM–ONE adducts were then detected in cell culture and increased in a PM dose-dependent manner, which suggests that PM–ONE adducts could function as biomarkers of oxidative stress. Therefore, PM could inhibit DA-induced neurotoxicity by scavenging DAQ and its adduct could reflect the extent of oxidative stress and DA oxidation (Fig. 1).
In the present study, we characterized the adduct generated from the reaction between PM and DA using liquid chromatography/electrospray ionization-mass spectrometry (LC/ESI-MS), tandem mass spectrometry (MS/MS), and nuclear magnetic resonance (NMR) analyses. The adduct formation was investigated in the presence of the endogenous enzyme and/or thiol to mimic the intracellular conditions. Finally, we confirmed the inhibition by PM of DA-induced oxidation/oligomerization of α-Syn.
Results and discussion
Analysis of the reaction between PM and DA
LC/ESI-MS analysis after 48 h incubation at 37 °C revealed the presence of two major products and residual DA ([M + H]+, m/z 154.1; retention time [tR], 6.8 min) and PM ([M + H]+, m/z 169.1; tR, 7.5 min). Figure 2A shows extracted ion chromatogram (EIC) of m/z 154.1 for DA, m/z 169.1 for PM, m/z 168.1 for PL, and m/z 303.2 for PL–DA adduct (from the top). The MS spectrum of the most polar product eluting at 5.3 min showed [M + H]+ at m/z 168.1, corresponding to a loss of 1 Da from PM. This product was identified as pyridoxal (PL), a transamination product of PM, because the LC/ESI-MS (showing [M + H]+ at m/z 168.1), MS/MS, and UV characteristics were identical to those for an authentic PL standard (Fig. S1). The product that eluted at 14.6 min (PL–DA adduct) had [M + H]+ at m/z 303.2, corresponding to a 1:1 reaction of PL with DA ([M + H]+, m/z 321.3) followed by the loss of water (− 18 Da). Time course experiments were performed to clarify the formation of the PL–DA adduct further. The reaction between PM and DA in Chelex-treated phosphate buffer (pH 7.4) was monitored by LC/ESI-MS for 3 days (Fig. 2B). DA decreased gradually and was not detectable after 72 h, whereas PL increased concomitantly. The PL–DA adduct formed after incubation for 12 h and increased to its maximum level at 72 h. The PM level did not change much throughout the reaction because the MS intensity of PM has reached a plateau. DA undergoes autoxidation to form DAQ at physiological pH. DAQ reacts with nucleophilic amino acids, such as Cys, His, and Lys, yielding Michael addition products at the quinone ring37,38. The preferential positions of Cys and His addition are C-5 and C-6, respectively39. Therefore, it was expected that the PM–DA adduct would be produced by the nucleophilic addition of PM to the DAQ quinone core. However, the only adduct that formed was the PL–DA adduct after PL was generated. This result suggests that the initial reaction of the PM primary amino group occurs at the DAQ carbonyl carbon and yields a Schiff base (ketimine). The intermediate ketimine undergoes tautomerization to form aldimine, which is subsequently hydrolyzed to yield PL (Fig. 3A). DA then reacts with the PL aldehyde and forms a Schiff base intermediate. The following intramolecular cyclization produces the PL–DA adduct as a 1,2,3,4-tetrahydroisoquinoline derivative (Fig. 3B) through a Pictet–Spengler reaction39. The proposed mechanism and structure were confirmed by LC-MS and NMR analyses.
Analysis of the reaction between PM and DA derivatives
To confirm the proposed mechanism (Fig. 3), PM was reacted with two DA derivatives, 3,4-dimethoxyphenethylamine (DPA) and isoproterenol (IPT). DPA is an analog of DA in which the hydroxy groups have been replaced with methoxy groups, which prevents autoxidation to the o-quinone. LC/ESI-MS analysis of the reaction between PM and DPA at 37 °C for 48 h revealed the presence of DPA ([M + H]+, m/z 182.1; tR, 29.8 min) and PM (m/z 169.1; tR, 7.4 min) (Fig. 4A). No other products were detected. This result suggests that the o-quinone is necessary to produce PL from PM by transamination (Fig. 4B). IPT is the isopropyl amine epinephrine analog, which can undergo autoxidation to form isoproterenol o-quinone (IPTQ) but has a bulky isopropyl group substituent on the amine. PL (m/z 168.1; tR, 5.7 min) was detected as the only product of the reaction between PM and IPT together with residual IPT (m/z 212.2; tR, 13.0 min) and PM (Fig. 4C). PM was converted to PL by the reaction with IPTQ but PL failed to react with IPT to produce the Schiff base intermediate due to the steric hinderance of the isopropyl amine moiety of IPT (Fig. 4D). These results support the proposed mechanism that involves DAQ-derived transamination of PM to PL, which subsequently reacts with the primary amino group of DA.
Analysis of the reaction between PL and DA
LC/ESI-MS analysis after 48 h incubation at 37 °C revealed the presence of the PL–DA adduct ([M + H]+, m/z 303.2; tR, 15.3 min) and residual DA (m/z 154.1; tR, 7.3 min) and PL (m/z 168.1; tR, 5.6 min) (Fig. 5A). MS/MS analysis of the PL–DA adduct at m/z 303.2 showed the formation of product ions at m/z 285.2 (− 18 Da, − H2O), m/z 164.3 (− 139 Da, − C7H8NO2 − H), m/z 152.1 (− 151 Da, − C8H9NO2) and m/z 140.2 (− 163 Da, − C9H10NO2 + H) (Fig. 5B), which are identical to those of the PL–DA adduct formed from the reaction between PM and DA. In time course experiments for 2 days (Fig. 5C), DA decreased gradually and was not detectable after 48 h. The PL–DA adduct increased concomitantly to its maximum level at 18 h. The PL level did not change greatly throughout the reaction because the MS intensity of PL has reached a plateau. The reaction of PL and DA yielded 11.8 times more PL–DA adduct than the reaction of PM and DA.
NMR analysis of the PL–DA adduct
Assignments were made based on the chemical shifts, proton-proton couplings, and1H-13C HMQC and1H-1H COSY correlations (Fig. S2, Table S1). NMR analysis revealed the presence of the isoquinoline and pyridine rings. Thus, the proton assignments were as follows: (600 MHz, DMSO) δ 7.91 (H-1, s, 1H), 6.44 (H-2, s, 1H), 6.01 (H-3, s, 1H), 5.20 (H-4, m, 2 H), 2.48 (H-8, s, 3 H), 2.59 (H-7, t, 2 H, J = 7.7 Hz), 4.37 (H-6, s, 2 H), 5.19 (H-5, s, 1H), 4.62 (H-5, dd, 1H), 4.54 (H-5′, dd, 1H), 3.19–3.21 (H-6, m, 1H), 2.81–2.85 (H-6′, m, 2 H), 2.81–2.85 (H-7, m, 2 H), 2.81–2.85 (H-7′, m, 1H), and 2.18 (H-8, s, 3 H). Although the 3- and 4-positions of the isoquinoline (H-6′ and H-7) overlapped in the1H-NMR spectrum (Fig. S2A), they were distinguished by HMQC analysis (Fig. S2B). The NMR, LC-MS, and MS/MS data were consistent with the structure of 1-(2-methyl-3-hydroxy-5-hydroxymethyl-4-pyridyl)-6,7-dihydroxy-1,2,3,4-tetrahydroisoquinoline.
Analysis of the reaction between PM and DA in the presence of tyrosinase and/or GSH
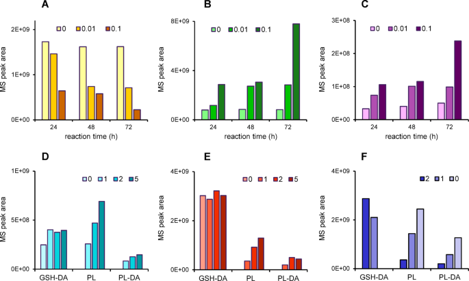
When not confined to the acidic synaptic vesicles, DA is susceptible to oxidation to DAQ by various processes. In addition to autoxidation, DAQ is generated in vivo enzymatically by tyrosinase13, cyclooxygenase40, xanthinoxidase41, and lipoxygenase42. Transition metals, such as Cu and Fe, also induce or accelerate the oxidation of DA14,15. To mimic the intracellular conditions, the present study used tyrosinase, which catalyzes the oxidation of mono- and diphenols to the corresponding quinones with the concomitant reduction of molecular oxygen to water. DA (0.1 mM) was incubated with PM (0.1 mM) in the presence of tyrosinase (0, 0.01, and 0.1 µg/mL) for 72 h. LC/ESI-MS analysis showed the tyrosinase concentration-dependent decrease in DA level (Fig. 6A) and concomitant increase in the formation of PL (Fig. 6B) and the PL–DA adduct (Fig. 6C). Thus, tyrosinase-induced efficient oxidation of DA to DAQ increased the formation of the PL–DA adduct, which supports the proposed mechanism for the reaction between PM and DA (Fig. 3).
GSH is the main intracellular non-protein thiol, and it protects cells by scavenging free radicals and reactive oxygen/nitrogen species43. GSH is a co-factor in the reduction of hydrogen peroxide, lipid hydroperoxides, and peroxynitrite by GSH peroxidases and GSH S-transferases (GSTs)16,43. GSH also detoxifies reactive metabolites derived from exogenous and endogenous chemicals by forming GSH adducts16. GSH traps DAQ through GST-mediated adduct formation occurring at C-5 to give 5-S-glutathionyl dopamine (GSH-DA adduct)16. In the reaction between DA (1 mM) and PM (0, 1, 2, and 5 mM) in the presence of GSH (1 mM), the formation of GSH disulfide ([M + H]+, m/z 613.2; tR, 20.7 min on LC system 4), PL (m/z 168.1; tR, 25.1 min), the GSH-DA adduct (m/z 459.2; tR, 32.6 min), and the PL–DA adduct (m/z 303.1; tR, 42.0 min) were detected with residual GSH (m/z 308.1; tR, 10.3 min), DA (m/z 154.1; tR, 29.4 min), and PM (m/z 169.1; tR, 45.3 min). The GSH-DA adduct level was not affected by the changes in PM concentration. However, the amount of PL and PL–DA adduct increased with the PM concentration (Fig. 6D). Similar patterns of product formation were observed from the reaction between DA and PM in the presence of both tyrosinase (1 µg/mL) and GSH (2 mM), except for the increased GSH-DA adduct concentration due to the tyrosinase-induced increase in DAQ (Fig. 6E). These results indicate that PM can scavenge DAQ in vivo through the formation of the PL–DA adduct. When DA (1 mM) was incubated with PM (1 mM) in the presence of tyrosinase (1 µg/mL) and decreasing concentrations of GSH (2, 1, and 0 mM), GSH concentration-dependent decrease in the GSH-DA adduct was observed together with concomitant increase in the formation of PL and the PL–DA adduct (Fig. 6F). Therefore, PM may trap DAQ more efficiently in the brains of PD patients where tyrosinase is important in the production of DAQ but GSH is substantially depleted because of the high levels of oxidative stress44,45.
DA-induced oxidation of α-Syn
Human α-Syn is composed of 140 amino acids and is mainly expressed at presynaptic sites in the nervous system. Although the function of α-Syn is not well understood, it is thought to have diverse roles in synaptic maintenance, neurotransmitter release/homeostasis, and the regulation of synaptic vesicle pools and trafficking7. α-Syn exists in a dynamic balance between monomeric and oligomeric states, which allows it to adopt various conformations depending on the environments and interactions7. In PD, α-Syn assembles into β-sheet-rich amyloid-like fibrils, generating intermediate oligomers and causing further aggregation to large, insoluble fibrils, forming Lewy bodies21. DA promotes oligomerization through several types of interactions with α-Syn. DAQ reacts with Lys residues of α-Syn, generating DAQ-Lys adducts followed by intra-/inter-molecular cross linking to form complicated α-Syn-DA oligomers46. However, Bisaglia et al. demonstrated that α-Syn-DAQ adducts retain an unfolded conformation and the main modification occurs through non-covalent interactions47. In addition, DA-mediated Met oxidation in α-Syn has been proposed as the dominant mechanism of cytotoxicity and oligomerization48,49.
Before investigating the DA-induced modification, the conditions for enzymatic digestion of α-Syn were optimized. No reduction and alkylation steps were needed because α-Syn contains no Cys residues. Two enzymes, V8 and trypsin, were used to digest α-Syn. The sequence coverage (%) based on the number of amino acids was 88.6% for V8 and 68.6% for trypsin (Tables S2 and S3). The overall coverage was 93.6%, missing only C-terminal 9 residues (G132YQDYEPEA140) that do not contain expected modification sites, such as Lys or Met. α-Syn (2.8 µM, final concentration) was incubated with increasing concentrations of DA (0–100 molar eq. to α-Syn), followed by proteolysis using V8 or trypsin, and LC/ESI-MS and MS/MS analysis. A database search based on the MS/MS spectra revealed the presence of four Met-oxidized α-Syn peptides: V8 peptides, M1DVFM5KGLSKAKE, DM116PVDPDNE, and AYEM127PSEE; and tryptic peptides, M1DVFM5K, which contain all Met residues in α-Syn. The V8 peptides (Fig. S3) were used to monitor changes in the oxidation level of α-Syn induced by DA. The MS intensity of each peptide peak increased with the amount of DA (Fig. 7A–C). The relative oxidation (%) was also calculated as relative oxidation (%) = (MS intensity of the Met-oxidized peptide/sum of MS intensity of the Met-oxidized peptide and corresponding intact peptide) × 100. The relative oxidations of Met1/5, Met116, and Met127 increased in a DA dose-dependent manner up to 90.7%, 94.9%, and 86.9%, respectively (Fig. 7D–F). For Met116, 18.7% relative oxidation was observed even after incubation without DA (Fig. 7E).
Relationship between DA-induced oxidation and oligomerization of α-Syn
α-Syn (2.8 µM, final concentration) was treated with DA (0–100 molar eq. to α-Syn) at 37 °C for 24 h and analyzed by SDS-PAGE. Without DA, the α-Syn monomer and dimer were detected. With DA (20 molar eq.), oligomers formed and the monomer and dimer levels decreased (Fig. 8A left). The oligomerization of α-Syn increased in a DA dose-dependent manner. However, excess DA (100 molar eq.) induced the formation of insoluble aggregates of α-Syn, and decreased the amounts of the soluble oligomer, dimer, and monomer (Fig. 8A right). From the SDS-PAGE of α-Syn treated with DA (1–100 molar eq.), each band was cut out and subjected to in-gel digestion with V8, and the peptides were analyzed by LC/ESI-MS and MS/MS. The relative oxidations of Met-containing peptides were compared among the monomer, dimer, and oligomer. The oxidation levels of Met1/5 were not significantly different among the three polymeric species (Fig. 8B). In contrast, the oxidation levels of Met116 and Met127 were higher in higher-order species in the order monomer < dimer < oligomer (Fig. 8C and D). The relative oxidation in the oligomer was 83.1% for Met116 and 97.3% for Met127. These results support a previous study that suggested Met127 is the main target for oxidative modification by DA48.
Inhibition effect of PM on DA-induced oxidation/oligomerization of α-Syn
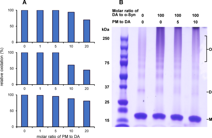
α-Syn (2.8 µM, final concentration) was treated with DA (100 molar eq. to α-Syn) in the presence of PM (0–20 molar eq. to DA) at 37 °C for 24 h and analyzed by SDS-PAGE. A portion of reaction mixture was subjected to proteolysis using V8 and analyzed by LC/ESI-MS and MS/MS. In the absence of PM, all four Met residues were completely oxidized by DA. As the amount of PM increased, the relative oxidations of Met1/5, Met116, and Met127 decreased in a dose-dependent manner to 69.9%, 45.4%, and 80.8%, respectively (Fig. 9A). A PM dose-dependent decrease in oligomerization of α-Syn was also observed in SDS-PAGE analysis (Fig. 9B). These results indicate that PM can inhibit DA-induced oxidation and oligomerization of α-Syn by scavenging DAQ through the formation of the PL–DA adduct.
Conclusion
We demonstrated that PM reacts with DA to produce a stable PL–DA adduct. Thus, the initial reaction of the PM amino group at the DAQ carbonyl carbon yields a Schiff base intermediate, which is hydrolyzed to form PL. DA then reacts with the PL aldehyde, followed by intramolecular cyclization to produce the PL–DA adduct as a 1,2,3,4-tetrahydroisoquinoline derivative. The proposed mechanism was verified by using DA derivatives in the reactions, and the structures were confirmed by LC/ESI-MS and MS/MS, and NMR analyses. Under intracellular-like conditions in the presence of tyrosinase and/or GSH, the PL–DA adduct was formed in tyrosinase and PM dose-dependent manners. DA induced the oligomerization of α-Syn via the oxidation of its Met residues, which was inhibited by PM in a dose-dependent manner. Therefore, PM could scavenge DAQ efficiently in the brains of PD patients, in which tyrosinase is overexpressed to produce more DAQ but GSH is substantially depleted by high levels of oxidative stress. PM could also inhibit DA-induced oxidation/oligomerization of α-Syn through the formation of the PL–DA adduct. Our ongoing studies are focusing on developing analytical methodology for the PL–DA adduct to use it as a biomarker of oxidative stress and DA oxidation.
Materials and methods
Materials
HPLC-grade acetonitrile (MeCN), methanol (MeOH), ammonium bicarbonate (NH4HCO3), formic acid (FA), ethanol, diethyl ether, 0.1 mol/L hydrochloric acid (HCl), sodium hydroxide, disodium hydrogenphosphate dodecahydrate (Na2HPO4·12H2O), sodium dihydrogenphosphate dihydrate (NaH2PO4·2H2O), glutathione (GSH), hydrochloric acid, dimethyl sulfoxide-d6 (DMSO-d6), CBB stain One Super, running buffer solution (10×) for SDS-PAGE, and Extra PAGE One Precast Gel 10–20% were purchased from Nacalai Tesque, Inc. (Kyoto, Japan). Pyridoxamine (PM) dihydrochloride, pyridoxal (PL) hydrochloride, endoproteinase Glu-C sequencing grade (V8), and tyrosinase from mushroom were obtained from Sigma-Aldrich, Inc. (St. Louis, MO, USA). Sequencing-grade modified trypsin was purchased from Promega (Madison, WI, USA). Dopamine (DA) hydrochloride and isoproterenol (IPT) hydrochloride were purchased from Tokyo Chemical Industry Co., Ltd (Tokyo, Japan). α-Synuclein (α-Syn, human, recombinant) and 3,4-dimethoxyphenethylamine (DPA) were obtained from Fujifilm Wako Pure Chemical Co. (Osaka, Japan). Calcium chloride (CaCl2) was purchased from Kanto Chemical Co., Inc. (Tokyo, Japan). Ammonium formate (HCOONH4) was purchased from Thermo Fisher Scientific Inc. (Waltham, MA, USA). Chelex® 100 chelating resin was purchased from Bio-Rad Laboratories, Inc. (Hercules, CA, USA). Ultrapure water was obtained from a Milli-Q Integral 10 (MilliporeSigma, Burlington, MA, USA) equipped with a 0.22-µm membrane cartridge.
Liquid chromatography
For LC systems 1–4, an Agilent 1100 LC system (Agilent Technologies, Inc., Santa Clara, CA, USA) equipped with a 1100 G1312A binary pump, 1100 G1379A degasser, 1100 G1367A autosampler, 1100 G1316A column heater, and a 1100 G1315B photodiode array detector was used. LC systems 1–3 used a scherzo SW-C18 column (150 × 2.0 mm i.d., 3 μm, 13 nm; Imtakt Corporation, Kyoto, Japan) with a flow rate of 0.2 mL/min. Solvent A was H2O containing 0.3% (v/v) FA, and solvent B was100 mM HCOONH4/MeCN = 7/3 (v/v). Gradient elution was performed as follows: LC system 1, 2% B at 0 min, 22% B at 40 min, 90% B at 41 min, 90% B at 51 min, 2% B at 52 min, and 2% B at 82 min; LC system 2, 2% B at 0 min, 62% B at 120 min, 90% B at 121 min, 90% B at 131 min, 2% B at 132 min, and 2% B at 162 min; LC system 3, 2% B at 0 min, 17% B at 30 min, 90% B at 31 min, 90% B at 41 min, 2% B at 42 min, and 2% B at 72 min. LC system 4 used a scherzo SS-C18 column (150 × 2.0 mm i.d., 3 μm, 13 nm; Imtakt Corporation) with a flow rate of 0.2 mL/min. Solvent A was H2O containing 0.1% (v/v) FA, and solvent B was100 mM HCOONH4/MeCN = 6/4 (v/v). Gradient elution was performed as follows: 0% B at 0 min, 0% B at 3 min, 45% B at 48 min, 100% B at 49 min, 100% B at 64 min, and 0% B at 65 min.
For LC system 5, an Ultimate 3000 LC system (Thermo Fisher Scientific, Inc.) equipped with an SRD-3600 degasser, DGP-3600 MB pump, FLM-3100B (nano, 2 × 2P-10P) flow manager, and WPS-3000TBPL (nano, CAP) autosampler was used. A Jupiter C18 column (150 × 2.0 mm i.d., 5 μm, 300 Å; Phenomenex, Torrance, CA, USA) with a flow rate of 0.2 mL/min and a column oven temperature of 40 °C. Solvent A was H2O containing 0.1% (v/v) FA, and solvent B was MeCN containing 0.1% (v/v) FA. Gradient elution was performed as follows: 0% B at 0 min, 0% B at 3 min, 32.5% B at 70 min, 90% B at 71 min, 90% B at 80 min, 0% B at 81 min, and 0% B at 100 min.
Mass spectrometry
The LCQ-DECA ion trap mass spectrometer (Thermo Fisher Scientific Inc.) equipped with an ESI source was used in positive ion mode for LC systems 1–4. Data was processed using an Xcalibur (version 2.0 SR2, Thermo Fisher Scientific Inc.). The operating conditions were as follows: heated capillary, 300 °C; ion spray voltage, 4.5 kV; sheath and auxiliary gas (nitrogen) pressures, 85 and 15 arbitrary units (arb), respectively; mass range, m/z 100–1000; isolation width, 2; normalized collision energy (CE), 40%; activation Q, 0.25; and activation time, 30 ms.
The LTQ Orbitrap Velos hybrid ion trap-orbitrap mass spectrometer (Thermo Fisher Scientific, Inc.) equipped with an ESI source was used in the positive ion mode LC system 5. Data were processed using an Xcalibur (version 2.2.SR2). The operating conditions were as follows: analyzer, ion trap; heated capillary, 275 °C; spray voltage, 3.0 kV; scan rate, normal (33,000 amu/s); sheath and auxiliary gas (nitrogen) pressures, 50 and 15 arb, respectively. Full scanning analyses were performed in the range of m/z 300–2000. Tandem mass spectrometry (MS/MS) was performed with data dependent scan and its settings were as follows: precursor, top 10 ions; default charge state, 2; isolation width, 4; normalized CE, 35%; activation Q, 0.25; and activation time, 10 ms.
Database search
Peptide sequences and modifications were identified with Proteome Discoverer 1.3 (Thermo Fisher Scientific, Inc.). The peak list was searched by Sequest (University of Washington, Seattle, WA, USA) against National Center for Biotechnology Information (alpha-synuclein isoform NACP140 [Homo sapiens], NP_000336.1). Search settings were as follows: enzyme, V8 or trypsin; maximum missed cleavage, 3; dynamic modification, oxidation (Met); precursor mass tolerance, 2 Da; fragment mass tolerance, 0.8 Da; target false discovery rate (FDR), 0.01%. DA (or DAQ) (Lys), [DA (or DAQ) − H2O] (Lys), [DA (or DAQ) − 2 H] (Lys) were added to the dynamic modification list.
NMR
The NMR spectrum was recorded on a JNM-ECA600 spectrometer (JEOL Ltd., Tokyo, Japan) at 25 °C. Data was processed using a Delta NMR software (version 5.2, JEOL Ltd.). The sample was dissolved in DMSO-d6. Chemical shifts were reported on the δ scale (ppm) by assigning the residual solvent peak for DMSO as internal reference to 2.49 and 39.5 for1H and13C, respectively. Acquisition conditions for1H NMR were as follows: Domain, proton; offset, 5 ppm; sweep, 15 ppm; points, 16,384; prescans, 1; scans, 256. Acquisition conditions for1H-1H COSY were as follows: Domain, proton (x and y); offset, 5 ppm (x and y); sweep, 15 ppm; points, 1280 (x) and 256 (y); prescans, 4 (x) and 0 (y); scans, 1. Acquisition conditions for1H-13C HMQC were as follows: Domain, proton (x) and carbon-13 (y); offset, 5 ppm (x) and 85 ppm (y); sweep, 15 ppm (x) and 170 ppm (y); points, 1024 (x) and 256 (y); prescans, 4 (x) and 0 (y); scans, 4.
Preparation of PL–DA adduct for NMR analysis
The water (8 mL) solution containing DA hydrochloride (100 mg) and PL hydrochloride (100 mg) were neutralized with 5 M sodium chloride (1 µL), followed by incubation at room temperature for 4 h. The white precipitate (PL–DA adduct) formed was dissolved in DMSO (60 °C, 1.1 mL) and recrystallized by adding a cold water (1.1 mL) dropwise. After centrifugation, the supernatant was removed and the solid was dried under vacuum. PL-DA adduct was obtained as a white solid (6.6 mg isolated).
Reaction of PM or PL with DA
A solution of 1 mM DA hydrochloride in 50 mM Chelex-treated sodium phosphate buffer (PB, pH 7.4, 100 µL) and 1 mM PM dihydrochloride or PL hydrochloride in PB (100 µL) were added to PB (800 µL). The reaction mixture was incubated at 37 °C for 96 h. A portion of the reaction mixture (50 µL) was withdrawn at various time points and filtered through a syringe filter, followed by LC/ESI-MS and MS/MS analysis using LC system 1.
Reaction of PM with DPA or IPT
A solution of 1 mM DPA or IPT in PB (100 µL) and 1 mM PM dihydrochloride in PB (100 µL) were added to PB (800 µL). The reaction mixture was incubated at 37 °C for 48 h and analyzed by LC/ESI-MS and MS/MS analysis using LC system 2.
Reaction of PM with DA in the presence of tyrosinase
DA hydrochloride in PB (1 mM, 100 µL) and PM dihydrochloride in PB (1 mM, 100 µL) were added to a solution of tyrosinase (0, 10, or 100 ng) in PB (800 µL). The reaction mixture was incubated at 37 °C for 72 h. A portion of the reaction mixture (50 µL) was withdrawn at various time points and filtered through a syringe filter, followed by LC/ESI-MS and MS/MS analysis using LC system 3.
Reaction of PM with DA in the presence of GSH
DA hydrochloride in PB (10 mM, 100 µL) and GSH in PB (10 mM, 100 µL) were added to a solution of PM dihydrochloride (0, 1, 2, or 5 µmol) in PB (800 µL). The reaction mixture was incubated at 37 °C for 48 h and filtered through a syringe filter, followed by LC/ESI-MS and MS/MS analysis using LC system 4.
Reaction of PM with DA in the presence of tyrosinase and GSH
DA hydrochloride in PB (10 mM, 100 µL), tyrosinase in PB (10 µg/mL, 100 µL), and GSH in PB (20 mM, 100 µL) were added to a solution of PM dihydrochloride (0, 1, 2, or 5 µmol) in PB (700 µL). The reaction mixture was incubated at 37 °C for 48 h and filtered through a syringe filter, followed by LC/ESI-MS and MS/MS analysis using LC system 4.
In-solution digestion of α-Syn
α-Syn (0.1 µg/µL in H2O, 20 µL) was added to ammonium bicarbonate buffer (12.5 mM, 80 µL), followed by incubation with sequencing-grade modified trypsin or V8 (0.002 µg/µL, 20 µL) at 37 °C for 24 h. A portion of sample (100 µL) was then analyzed by LC/ESI-MS and MS/MS using LC system 5.
Reaction of α-Syn with DA
α-Syn (0.1 µg/µL in H2O, 20 µL) was incubated with DA (0, 0.14, 1.4, 2.8, 7.0, or 14 nmol) in PB (30 µL) at 37 °C for 24 h (final concentration was as follows: α-Syn, 2.8 µM; DA, 0, 2.8, 28, 56, 140, 280 µM). The solutions were digested with trypsin or V8 as described above. A portion of samples (100 µL) were then analyzed by LC/ESI-MS and MS/MS using LC system 5. For SDS-PAGE, samples after the 24-h incubation were evaporated to dryness and redissolved in 10 µL of H2O.
Reaction of α-Syn with DA in the presence of PM
α-Syn (0.1 µg/µL in H2O, 20 µL) and DA in PB (14 nmol, 10 µL) was added to PM (0, 14, 70, 140, or 280 nmol) in PB (20 µL) at 37 °C for 24 h (final concentration was as follows: α-Syn, 2.8 µM; DA, 280 µM; PM, 0, 0.28, 1.4, 2.8, 5.6 mM). The solution was digested with trypsin or V8 as described above. A portion of sample (100 µL) was then analyzed by LC/ESI-MS and MS/MS using LC system 5. For SDS-PAGE, samples after the 24-h incubation were evaporated to dryness and redissolved in 10 µL of H2O.
SDS-PAGE
The sample (10 µL) was mixed with Laemmli sample buffer (3.3 µL) and boiled at 95 °C for 5 min. The sample was loaded onto 10–20% polyacrylamide gel and run in the running buffer (24 mM Tris, 192 mM glycine, 0.1% (v/v) SDS, pH 8.3) at 300 V for 210 min. The gel was then stained by CBB R-250.
In-gel digestion of α-Syn
α-Syn band was excised from the gel and washed in water (200 µL) for 30 s and then washed two times in 200 µL of 50 mM NH4HCO3/MeOH (1:1, v/v) for 1 min. The band pieces were dehydrated in 200 µL of 50 mM NH4HCO3/MeCN (1:1, v/v) for 5 min, followed by 100% MeCN (200 µL) for 30 s while vortex mixing. The supernatant was removed, and band pieces were dried in the centrifugal evaporator. V8 (0.04 µg/µL) suspended in 50 mM NH4HCO3 was added, and band pieces were rehydrated for 10 min on ice and digested at 37 °C for 24 h. The samples were then centrifuged and the supernatant was transferred to a fresh tube, followed by evaporation to dryness. The samples were redissolved in 30 µL of water and analyzed by LC/ESI-MS and MS/MS using LC system 5.
(A) LC/ESI-MS analysis of the reaction between PM (0.1 mM) and DA (0.1 mM) at 37 °C for 48 h. EIC of m/z 154.1 for DA, m/z 169.1 for PM, m/z 168.1 for PL, and m/z 303.2 for PL–DA adduct (from the top). (B) Time course of the reaction between PM (0.1 mM) and DA (0.1 mM) over 72 h. Results are presented from a single representative experiment.
Decrease in (A) DA, and formation of (B) PL and (C) the PL–DA adduct from the reaction between DA (0.1 mM) and PM (0.1 mM) in the presence of tyrosinase (0, 0.01, and 0.1 µg/mL) at 37 °C for 72 h. Formation of the GSH-DA adduct, PL, and the PL–DA adduct from the reaction between DA (1 mM) and PM (0, 1, 2, and 5 mM) in the presence of (D) GSH (1 mM) or (E) tyrosinase (1 µg/mL) and GSH (2 mM) at 37 °C for 48 h. (F) Formation of the GSH-DA adduct, PL, and the PL–DA adduct from the reaction between DA (1 mM) and PM (1 mM) in the presence of tyrosinase (1 µg/mL) and GSH (2, 1, and 0 mM) at 37 °C for 48 h. Results are presented from a single representative experiment.
LC/ESI-MS analysis of Met-oxidized α-Syn peptides (A) M1DVFM5KGLSKAKE, (B) DM116PVDPDNE, and (C) AYEM127PSEE formed from the reaction of α-Syn and DA (molar eq. to α-Syn: 0, top; 10, middle; 50, bottom) at 37 °C for 24 h, followed by proteolysis using V8. Relative oxidation (%) of (D) M1DVFM5KGLSKAKE, (E) DM116PVDPDNE, and (F) AYEM127PSEE in the reaction of α-Syn and DA (0–100 molar eq. to α-Syn). Results are presented from a single representative experiment.
(A) SDS-PAGE analysis of α-Syn treated with DA (0–100 molar eq. to α-Syn). Relative oxidation (%) of (B) M1DVFM5KGLSKAKE, (C) DM116PVDPDNE, and (D) AYEM127PSEE in monomer (M), dimer (D), and oligomer (O) bands of SDS-PAGE (DA, 1–100 molar equation) in (A). Each band was cut out and subjected to in-gel digestion with V8. The peptides were analyzed by LC/ESI-MS and MS/MS. Results are presented as the mean ± SEM (error bars) from triplicate experiments.
(A) Relative oxidation (%) of M1DVFM5KGLSKAKE (top), DM116PVDPDNE (middle), and AYEM127PSEE (bottom) formed from the reaction of α-Syn and DA in the presence of PM (0–20 eq. to DA). (B) SDS-PAGE analysis of α-Syn treated with DA in the absence/presence of PM (0, 5, and 10 eq. to DA). Results are presented from a single representative experiment. The full-length gel was presented in Fig. S4.
Data availability
Data is provided within the manuscript or supplementary information files.
Change history
03 February 2026
The original online version of this Article was revised: The original version of this Article contained errors in the Reference list, where Reference 16 was incorrectly listed as Reference 43. Consequently, the references have been renumbered. The original Article has been corrected.
References
Poewe, W. et al. Parkinson’s disease. Nat. Rev. Dis. Prim. 3, 17013 (2017).
Bhidayasiri, R., Kalia, L. V. & Bloem, B. R. Tackling Parkinson’s disease as a global challenge. J. Parkinsons Dis. 13, 1277–1280 (2023).
Ruipérez, V., Darios, F. & Davletov, B. Alpha-synuclein, lipids and Parkinson’s disease. Prog Lipid Res. 49, 420–428 (2010).
Xiang, W. et al. Oxidative stress-induced posttranslational modifications of alpha-synuclein: Specific modification of alpha-synuclein by 4-hydroxy-2-nonenal increases dopaminergic toxicity. Mol. Cell. Neurosci. 54, 71–83 (2013).
Bose, A. & Beal, M. F. Mitochondrial dysfunction in Parkinson’s disease. J. Neurochem. 139, 216–231 (2016).
Zhang, J. et al. Calcium homeostasis in Parkinson’s disease: From pathology to treatment. Neurosci. Bull. 38, 1267–1270 (2022).
Ghiglieri, V., Calabrese, V. & Calabresi, P. Alpha-synuclein: From early synaptic dysfunction to neurodegeneration. Front. Neurol. 9, 295 (2018).
Charvin, D., Medori, R., Hauser, R. A. & Rascol, O. Therapeutic strategies for Parkinson’s disease: Beyond dopaminergic drugs. Nat. Rev. Drug Discov. 17, 804–822 (2018).
Speranza, L., Di Porzio, U., Viggiano, D., de Donato, A. & Volpicelli, F. Dopamine: The neuromodulator of long-term synaptic plasticity, reward and movement control. Cells 10, 735 (2021).
Kalyanaraman, B., Premovic, P. I. & Sealy, R. C. Semiquinone anion radicals from addition of amino acids, peptides, and proteins to quinones derived from oxidation of catechols and catecholamines. An ESR spin stabilization study. J. Biol. Chem. 262, 11080–11087 (1987).
Terland, O., Almås, B., Flatmark, T., Andersson, K. K. & Sørlie, M. One-electron oxidation of catecholamines generates free radicals with an in vitro toxicity correlating with their lifetime. Free Radic Biol. Med. 41, 1266–1271 (2006).
Lotharius, J. & Brundin, P. Pathogenesis of Parkinson’s disease: Dopamine, vesicles and α-synuclein. Nat. Rev. Neurosci. 3, 932–942 (2002).
Graham, D. G. Oxidative pathways for catecholamines in the genesis of neuromelanin and cytotoxic quinones. Mol. Pharmacol. 14, 633–643 (1978).
Paris, I. et al. Copper neurotoxicity is dependent on dopamine-mediated copper uptake and one-electron reduction of aminochrome in a rat substantia nigra neuronal cell line. J. Neurochem. 77, 519–529 (2001).
Paris, I. et al. Dopamine-dependent iron toxicity in cells derived from rat hypothalamus. Chem. Res. Toxicol. 18, 415–419 (2005).
Shen, X. M., Xia, B., Wrona, M. Z. & Dryhurst, G. Synthesis, redox properties, in vivo formation, and neurobehavioral effects of N-acetylcysteinyl conjugates of dopamine: Possible metabolites of relevance to Parkinson’s disease. Chem. Res. Toxicol. 9, 1117–1126 (1996).
Mosca, L. et al. 5-S-Cysteinyl-dopamine effect on the human dopaminergic neuroblastoma cell line SH-SY5Y. Neurochem Int. 49, 262–269 (2006).
Whitehead, R. E., Ferrer, J. V., Javitch, J. A. & Justice, J. B. Reaction of oxidized dopamine with endogenous cysteine residues in the human dopamine transporter. J. Neurochem. 76, 1242–1251 (2001).
Belluzzi, E. et al. Human SOD2 modification by dopamine quinones affects enzymatic activity by promoting its aggregation: Possible implications for Parkinson’s disease. PLoS One. 7, 1–9 (2012).
Burbulla, L. F. et al. Dopamine oxidation mediates mitochondrial and lysosomal dysfunction in Parkinson’s disease. Sci. 357, 1255–1261 (2017).
Conway, K. A., Rochet, J. C., Bieganski, R. M. & Lansbury, J. Kinetic stabilization of the α-synuclein protofibril by a dopamine-α-synuclein adduct. Sci. 294, 1346–1349 (2001).
Mor, D. E. et al. Dopamine induces soluble α-synuclein oligomers and nigrostriatal degeneration. Nat. Neurosci. 20, 1560–1568 (2017).
Voziyan, P. A. & Hudson, B. G. Pyridoxamine as a multifunctional pharmaceutical: Targeting pathogenic glycation and oxidative damage. Cell. Mol. Life Sci. 62, 1671–1681 (2005).
Onorato, J. M., Jenkins, A. J., Thorpe, S. R. & Baynes, J. W. Pyridoxamine, an inhibitor of advanced glycation reactions, inhibits advanced lipoxidation reactions: mechanism of action of pyridoxamine. J. Biol. Chem. 275, 21177–21184 (2000).
Metz, T. O., Alderson, N. L., Chachich, M. E., Thorpe, S. R. & Baynes, J. W. Pyridoxamine traps intermediates in lipid peroxidation reactions in vivo: Evidence on the role of lipids in chemical modification of protein and development of diabetic complications. J. Biol. Chem. 278, 42012–42019 (2003).
Nagaraj, R. H. et al. Effect of pyridoxamine on chemical modification of proteins by carbonyls in diabetic rats: Characterization of a major product from the reaction of pyridoxamine and Methylglyoxal. Arch. Biochem. Biophys. 402, 110–119 (2002).
Voziyan, P. A., Metz, T. O., Baynes, J. W. & Hudson, B. G. A post-Amadori inhibitor pyridoxamine also inhibits chemical modification of proteins by scavenging carbonyl intermediates of carbohydrate and lipid degradation. J. Biol. Chem. 277, 3397–3403 (2002).
Kang, Z., Li, H., Li, G. & Yin, D. Reaction of pyridoxamine with malondialdehyde: Mechanism of inhibition of formation of advanced lipoxidation end-products. Amino Acids. 30, 55–61 (2006).
Amarnath, V., Amarnath, K., Amarnath, K., Davies, S. & Roberts, L. J. Pyridoxamine: An extremely potent scavenger of 1,4-dicarbonyls. Chem. Res. Toxicol. 17, 410–415 (2004).
Davies, S. S. et al. Pyridoxamine analogues scavenge lipid-derived γ-ketoaldehydes and protect against H2O2-mediated cytotoxicity. Biochemistry 45, 15756–15767 (2006).
Amarnath, V. & Amarnath, K. Scavenging 4-oxo-2-nonenal. Chem. Res. Toxicol. 28, 1888–1890 (2015).
Lee, S. H., Matsunaga, A. & Oe, T. Inhibition effect of pyridoxamine on lipid hydroperoxide-derived modifications to human serum albumin. PLoS One. 13, 1–23 (2018).
Lee, S. H., Oe, T. & Blair, I. A. Vitamin C-induced decomposition of lipid hydroperoxides to endogenous genotoxins. Sci. 292, 2083–2086 (2001).
Sayre, L. M., Lin, D., Yuan, Q., Zhu, X. & Tang, X. Protein adducts generated from products of lipid oxidation: Focus on HNE and ONE. Drug Metab. Rev. 38, 651–675 (2006).
Lee, S. H., Tsutsui, M., Matsunaga, A. & Oe, T. Lipid hydroperoxide-derived insulin resistance and its inhibition by pyridoxamine in skeletal muscle cells. Toxicol. Res. 39, 147–156 (2023).
Monzani, E. et al. Oxidative stress and protein-quinone modifications in Parkinson’s and other neurodegenerative diseases. Angew Chemie - Int. Ed. 58, 6512–6527 (2019).
Hurben, A. K. & Tretyakova, N. Y. Role of protein damage inflicted by dopamine metabolites in Parkinson’s disease: Evidence, tools, and outlook. Chem. Res. Toxicol. 35, 1789–1804 (2022).
Yokoyama, A., Ohwada, T. & Shudo, K. Prototype Pictet-Spengler reactions catalyzed by superacids. Involvement of dicationic superelectrophiles. J. Org. Chem. 64, 611–617 (1999).
Hastings, T. G. Enzymatic oxidation of dopamine: The role of prostaglandin H synthase. J. Neurochem. 64, 919–924 (1995).
Foppoli, C., Coccia, R., Cini, C. & Rosei, M. A. Catecholamines oxidation by xanthine oxidase. Biochim. Biophys. Acta - Gen. Subj. 1334, 200–206 (1997).
Rosei, M. A., Blarzino, C., Foppoli, C., Mosca, L. & Coccia, R. Lipoxygenase-catalyzed oxidation of catecholamines. Biochem. Biophys. Res. Commun. 200, 344–350 (1994).
Townsend, D. M., Tew, K. D. & Tapiero, H. The importance of glutathione in human disease. Biomed. Pharmacother. 57, 145–155 (2003).
Blair, I. Endogenous glutathione adducts. Curr. Drug Metab. 7, 853–872 (2006).
Asanuma, M., Miyazaki, I. & Ogawa, N. Dopamine- or L-DOPA-induced neurotoxicity: The role of dopamine quinone formation and tyrosinase in a model of Parkinson’s disease. Neurotox. Res. 5, 165–176 (2003).
Martin, H. L. & Teismann, P. Glutathione-a review on its role and significance in Parkinson’s disease. FASEB J. 23, 3263–3272 (2009).
Li, H. T. et al. Inhibition of α-synuclein fibrillization by dopamine analogs via reaction with the amino groups of α-synuclein: Implication for dopaminergic neurodegeneration. FEBS J. 272, 3661–3672 (2005).
Bisaglia, M. et al. Dopamine quinones interact with α-synuclein to form unstructured adducts. Biochem. Biophys. Res. Commun. 394, 424–428 (2010).
Nakaso, K. et al. Dopamine-mediated oxidation of methionine 127 in α-synuclein causes cytotoxicity and oligomerization of α-synuclein. PLoS One 8, e55068 (2013).
Ponzini, E. et al. Methionine oxidation in α-synuclein inhibits its propensity for ordered secondary structure. J. Biol. Chem. 294, 5657–5665 (2019).
Acknowledgements
We are grateful to the Central Analytical Center at Graduate School of Pharmaceutical Sciences, Tohoku University for the use of their LTQ Orbitrap Velos.
Author information
Authors and Affiliations
Contributions
S.H.L.: Writing—original draft, Project administration, Methodology, Funding acquisition, Conceptualization. N.M. and A.T.: Visualization, Investigation, Data curation. Y.H.: Writing—review & editing. T.O.: Writing—review & editing, Supervision, Resources, Funding acquisition.
Corresponding authors
Ethics declarations
Competing interests
The authors declare no competing interests.
Additional information
Publisher’s note
Springer Nature remains neutral with regard to jurisdictional claims in published maps and institutional affiliations.
Supplementary Information
Below is the link to the electronic supplementary material.
Rights and permissions
Open Access This article is licensed under a Creative Commons Attribution-NonCommercial-NoDerivatives 4.0 International License, which permits any non-commercial use, sharing, distribution and reproduction in any medium or format, as long as you give appropriate credit to the original author(s) and the source, provide a link to the Creative Commons licence, and indicate if you modified the licensed material. You do not have permission under this licence to share adapted material derived from this article or parts of it. The images or other third party material in this article are included in the article’s Creative Commons licence, unless indicated otherwise in a credit line to the material. If material is not included in the article’s Creative Commons licence and your intended use is not permitted by statutory regulation or exceeds the permitted use, you will need to obtain permission directly from the copyright holder. To view a copy of this licence, visit http://creativecommons.org/licenses/by-nc-nd/4.0/.
About this article
Cite this article
Lee, S.H., Matsumoto, N., Terada, A. et al. Pyridoxamine inhibits dopamine-induced α-synuclein oligomerization through scavenging neurotoxic dopamine quinone. Sci Rep 16, 1790 (2026). https://doi.org/10.1038/s41598-025-31292-8
Received:
Accepted:
Published:
Version of record:
DOI: https://doi.org/10.1038/s41598-025-31292-8








