Fig. 1
From: Comparison of surgical techniques for the treatment of humeral nonunion using the Ilizarov method

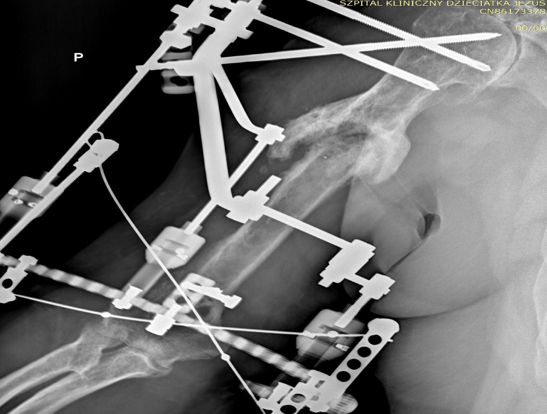
Hypertrophic nonunion of the humeral shaft treated with Ilizarov external fixator.
From: Comparison of surgical techniques for the treatment of humeral nonunion using the Ilizarov method

Hypertrophic nonunion of the humeral shaft treated with Ilizarov external fixator.