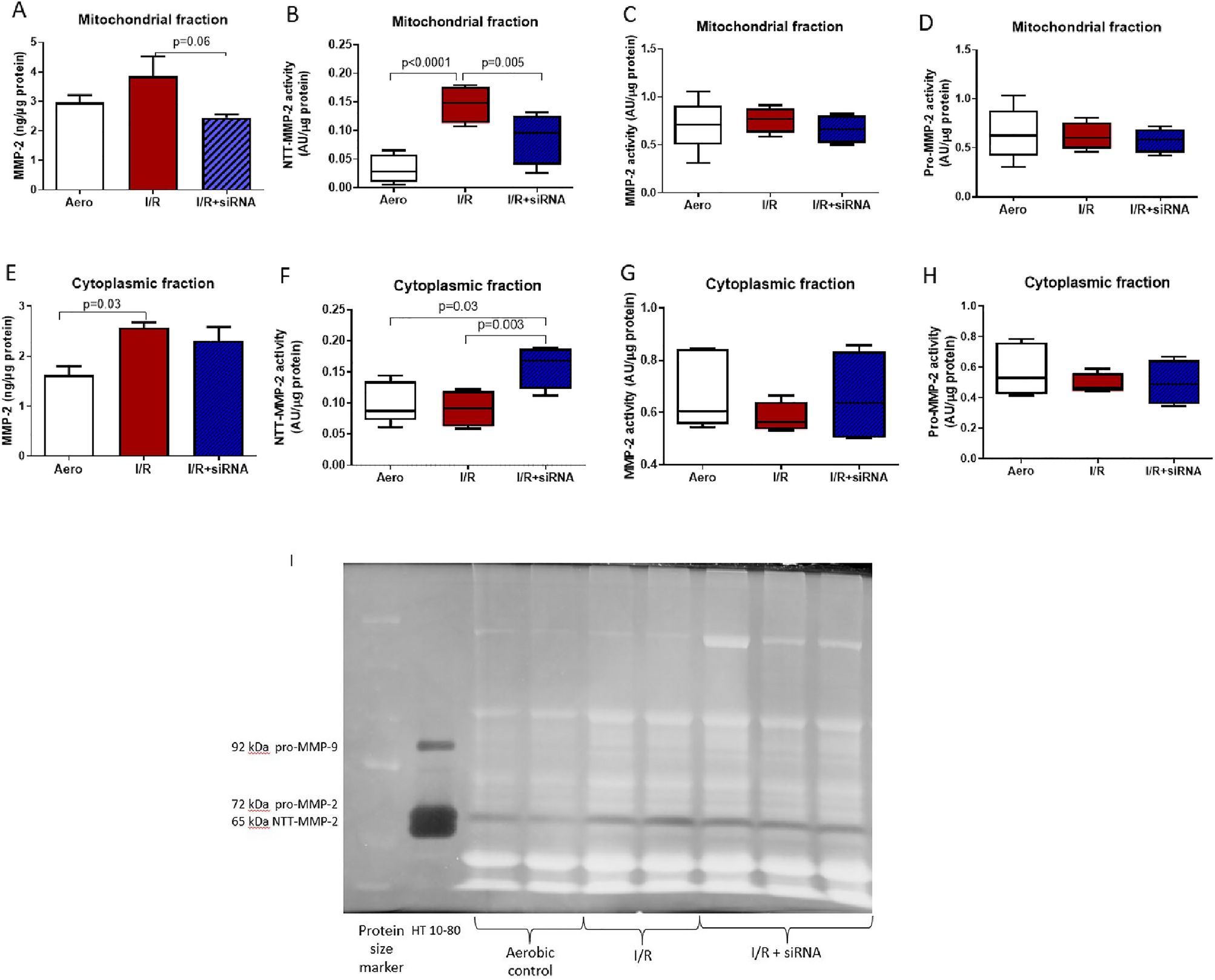
Fig. 3

MMP-2 concentration in mitochondrial (A) and cytoplasmic (E) fractions. Activity of NTT-MMP-2 (B,F), total MMP-2 (C,G) and pro-MMP-2 (D,H) in mitochondrial and cytoplasmic fractions. Representative zymogram of MMPs activities in heart homogenates (I). HT10-80 was used as standard for pro-/active MMP-2 and MMP-9.