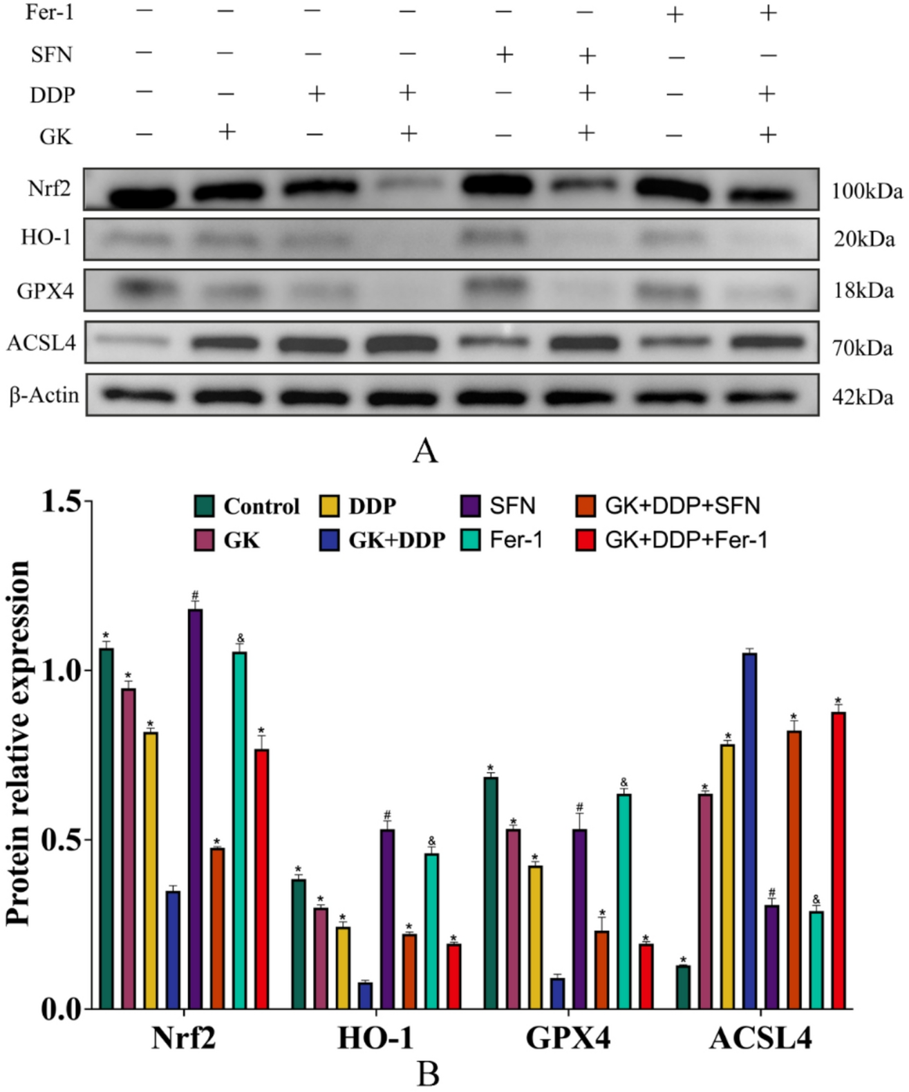
Fig. 8

Western blot (WB) detection of the expression of related proteins in tumor tissues of each group. (*P < 0.05 vs. GK + DDP, # P < 0.05 vs. GK + DDP + SFN and & P < 0.05 vs. GK + DDP + Fer-1). n = 3 independent experiments.

Western blot (WB) detection of the expression of related proteins in tumor tissues of each group. (*P < 0.05 vs. GK + DDP, # P < 0.05 vs. GK + DDP + SFN and & P < 0.05 vs. GK + DDP + Fer-1). n = 3 independent experiments.