Fig. 3
From: Deep visual detection system for oral squamous cell carcinoma

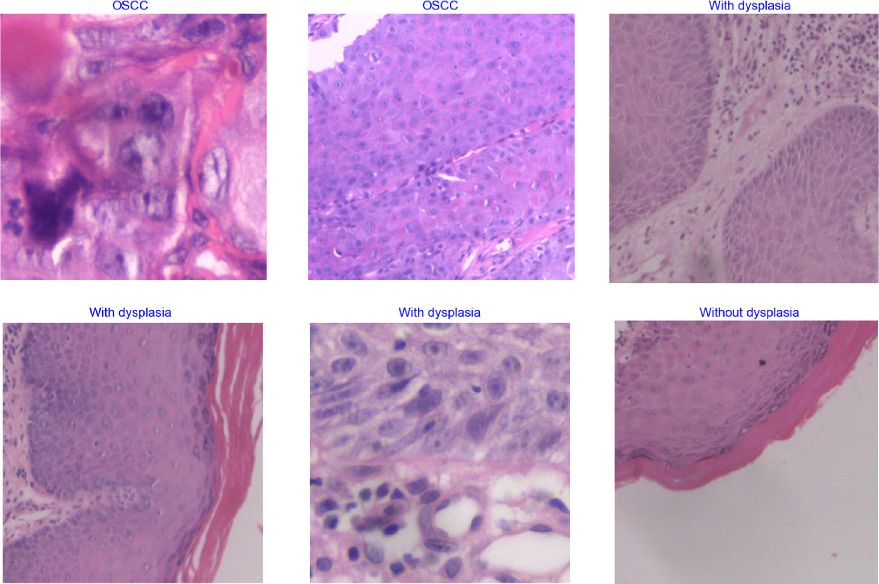
Visualization of sample images from the NDB-UFES OSCC dataset.
From: Deep visual detection system for oral squamous cell carcinoma

Visualization of sample images from the NDB-UFES OSCC dataset.