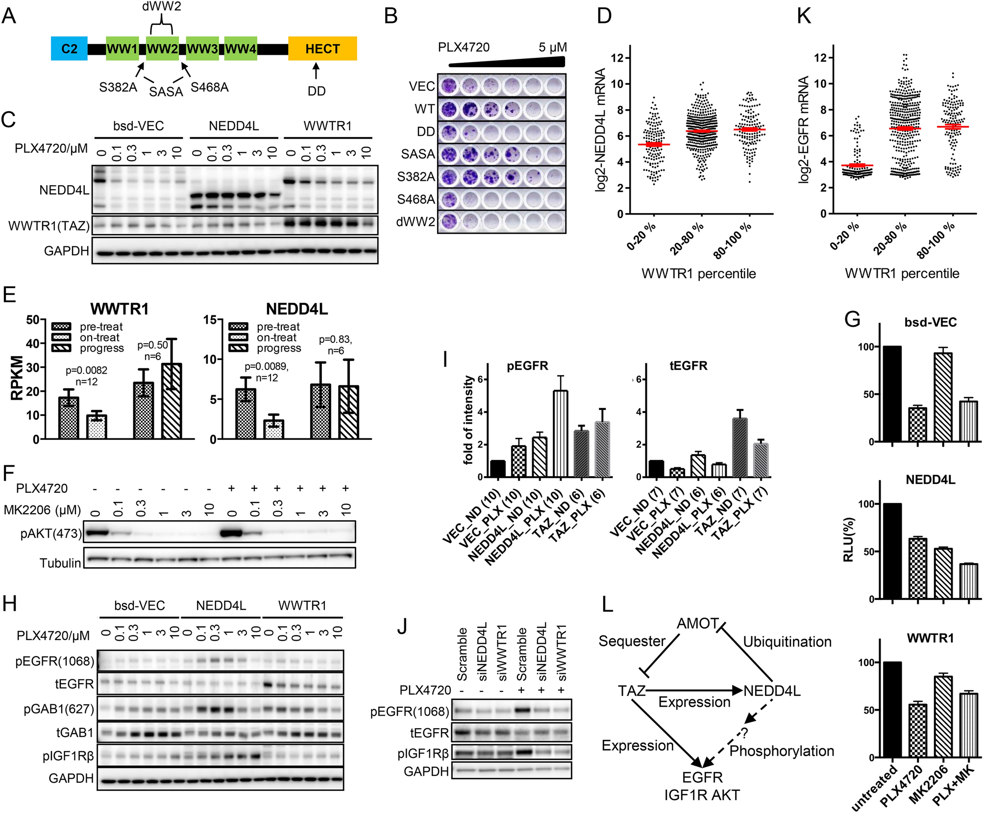
Fig. 5

Functional connection between NEDD4L and TAZ. (A) Diagram of NEDD4L domains and mutations. (B) Clonogenic assay with cells expressing vector (VEC) or NEDD4L variants treated with PLX4720 at a twofold serial dilution. (C) Endogenous and exogenous NEDD4L and TAZ protein expression in control (bsd-VEC), NEDD4L-, and WWTR1-overexpressing cells after PLX4720 treatment for 24 h. (D) Correlation between WWTR1 and NEDD4L mRNA expression across a panel of cancer cell lines of diverse origins. Each dot denotes a cell line. Red lines indicate mean ± SEM, n = 737. (E) WWTR1 and NEDD4L mRNA expression in pre-treatment, on-treatment, and progression patient samples. Values represent means ± SEMs, and p-values were calculated using two-tailed paired t-test. (F) AKT phosphorylation in NEDD4L-overexpressing A375 cells treated with 0.5 µM PLX4720 and the indicated concentrations of MK2206 for 24 h. (G) Viabilities of the indicated cells treated with 300 nM PLX4720 and 1 µM MK2206 for 5 days. Values represent means ± SEMs, n = 10. Cellular activities were measured using CellTiter-Glo assays. (H) Kinase signals in vector control (bsd-VEC), NEDD4L-, or WWTR1-overexpressing cells. Cells were treated for 24 h and phosphorylated (pGENE) or total (tGENE) protein levels were measured by western blotting. (I) Quantification of phosphorylated EGFR (pEGFR) and total EGFR (tEGFR) protein expression from immunoblots of vector control (VEC), NEDD4L- (NEDD4L), and WWTR1 (TAZ)-overexpressing A375 cells either untreated (ND) or treated with PLX4720 (PLX). Parenthesized numbers indicate biological replicates. All values were normalized to the corresponding untreated vector control sample (VEC_ND) within each experiment. (J) Kinase signals in scramble control, NEDD4L, and WWTR1 knockdown cells treated with PLX4720. Cells were transfected with siRNA for 48 h, followed by 0.5 µM PLX4720 treatment for 24 h. (K) Correlation between WWTR1 and EGFR mRNA expression across a panel of cancer cell lines of diverse origins. Each dot denotes a cell line. Red lines indicate mean ± SEM, n = 737. (L) Hypothetical mechanism of TAZ and NEDD4L in mediating resistance to BRAF inhibition. Solid lines indicate known effects while the dashed line represents an indirect effect with a question mark denoting an unidentified component.