Fig. 3

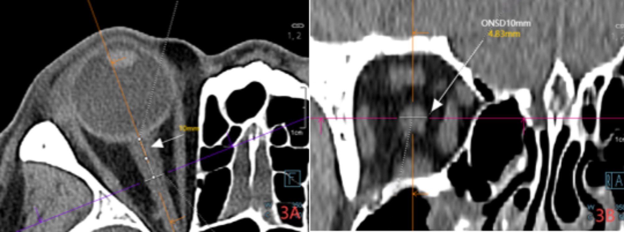
Axial CT images (A) and coronal images (B) of the brain show the optic nerve sheath, with measurements taken 10 mm behind the eyeball for ONSD values.

Axial CT images (A) and coronal images (B) of the brain show the optic nerve sheath, with measurements taken 10 mm behind the eyeball for ONSD values.