Abstract
To measure the normal reference value of optic nerve sheath diameter (ONSD) and its correlation with eyeball transverse diameter (ETD), age and sex in Chinese adults by CT. The data of healthy adults who underwent head scan in Baotou Central Hospital from March 2022 to May 2023 were retrospectively collected. The ETD of both eyes and the ONSD (ONSD3mm, ONSD10mm) at 3 mm and 10 mm behind the eyeball were measured, and the relationship between ONSD and age, sex and ETD was analyzed by linear regression. A total of 360 subjects were included, 180 males and 180 females, aged 48.5 (33.00, 63.00) years. The average ONSD3mm, 10 mm and ETD of 360 included subjects were 5.28 (95% CI 5.23–5.32) mm, 4.34 (95% CI 4.30–4.37) mm and 22.47 (95% CI 22.38–22.56) mm, respectively. Univariate linear regression analysis showed that gender (P < 0.001) and ETD (P < 0.001) were the influencing factors of the mean ONSD. Further multivariate linear regression analysis also showed that gender (P < 0.001) and ETD (P < 0.01) were associated with ONSD values. The comparison of parameters between different genders showed that the values of all parameters in males were greater than those in females, and the difference between the two groups was statistically significant (P < 0.001). In addition, we further measured the ONSD/ETD values, which averaged 0.24 (0.23–0.24) at 3 mm and 0.19 (0.19–0.20) at 10 mm. The average ONSD3mm, 10 mm and ETD of healthy Chinese adults were 5.28 (95% CI 5.23–5.32) mm, 4.34 (95% CI 4.30–4.37) mm and 22.47 (95% CI 22.38–22.56) mm, respectively. At the same time, it is found that gender and ETD are the influencing factors of ONSD, and the diameter of ONSD is different between men and women.
Similar content being viewed by others
Introduction
Intracranial pressure (ICP) is an important clinical feature in the care of critically ill patients, and is caused by a variety of neurological and non-neurological diseases, and can often be used as an indicator of patient prognosis, disease change detection and surgical selection. At present, the “gold standard” for evaluating ICP is invasive methods such as ventricular monitoring or lumbar puncture, which have many drawbacks, such as infection, bleeding, catheter blockage and displacement, etc. Therefore, non-invasive ICP monitoring is particularly important1. It has been reported that ONSD has a strong correlation with ICP, can evaluate the change of ICP, and has a high specificity and sensitivity (100% and 95%, respectively) for the diagnosis of increased ICP2,3,4, so the measurement of ONSD normal value plays a crucial role in the monitoring of ICP.
At present, ONSD measurement mostly relies on imaging equipment, including MR, CT and ultrasound, but the measurement results of different imaging equipment are also different. In addition to the measurement of ONSD, CT can also more intuitively monitor the diseases that cause increased ICP, such as the disappearance of basal cisterna, diffuse cerebral sulci disappearance, midline displacement, cerebral hernia and hydrocephalus caused by intracranial hemorrhage, trauma, and space occupation. At present, there are relatively few studies on ONSD measurement by CT in healthy people at home and abroad, and the sample size is small. In addition, the normal range was found to be different in different races and countries, so we standardized ONSD for healthy adults in China. A number of previous studies have measured ONSD at 3 mm behind the eyeball, and relevant studies5 have also shown that ONSD at 10 mm behind the eyeball is more accurate. Therefore, this study measured the normal value of ONSD at 3 mm and 10 mm behind the eyeball and the ratio of eyeball diameter to ONSD by using a large sample size based on CT. The purpose of this study was to measure ONSD on CT in healthy Chinese adults and to explore the correlation between age, sex and ONSD.
Materials and methods
General data
Data of patients undergoing head CT scan in Baotou Central Hospital from March 2022 to May 2023 were retrospectively collected. Inclusion criteria: ① Patients with no abnormal brain CT findings; ② The image quality meets the measurement requirements; Age ≥ 19 years old; ④ There are no eye diseases; Exclusion criteria: ① craniocerebral injury/disease affecting the measurement of optic nerve sheath; ② Poor image quality affects parameter measurement; ③ There are eye diseases, such as optic neuritis, space occupation and trauma.This study is in the image data system and does not require patient consent.The study adhered to the principles of the Declaration of Helsinki. This study was an in-house imaging system that did not require patients to sign informed consent.
Imaging examination
All subjects included in the study were subjected to Siemens Force CT for brain scanning. The patient was supine, and the median sagittal plane of the head overlapped with the median positioning line, so that the head was in the center of the scanning field of vision, and the auditory canthal line was perpendicular to the examination bed. During the scanning process, patients are instructed to keep their eyes as still as possible. Scan from the base of the skull to the top of the skull. CT scanning parameters: tube voltage 100 kV, current 150–200 mA, pitch 1.0, layer thickness 1 mm, interval 1 mm. CT data of 360 patients were transferred into Syngo.via post-processing software in Dicom format for 3D reconstruction and measurement.
Parameter measurement
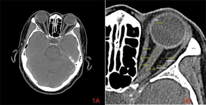
A resident physician and an attending physician with 10 years of experience in radiology department were respectively measured in the brain CT axial images through an electronic caliper. Each person was measured twice and the average value was taken. Then the average value of the measurement results of the two physicians was taken as the final measurement result. In order to ensure the accuracy of measurement, we corrected the magnification of CT images by a unified magnification of 8 times, and the window width and window position were set at 350 and 50 Hu, where the ONSD display was the most clear. ETD and ONSD diameters were measured at the largest dimension. The measurement method is shown in Fig. 1. Additionally, 60 patients were included to measure the ONSD in both axial and sagittal positions, to observe whether there were any differences in ONSD measurements between the two positions. The measurement method is shown in Figs. 2 and 3.
Statistical methods
SPSS 24.0 statistical software was used for data analysis. Continuous variables conforming to normal distribution were expressed as mean ± standard deviation (x̄±s), non-conforming to normal distribution were expressed as median (upper and lower quartile), and categorical variables were expressed as frequency and percentage. The paired sample t test was used to compare the differences of ETD, ONSD and ONSD/ETD between the left and right eyes. Univariate linear regression analysis was used to analyze the correlation between ONSD and ETD, age and gender. To remove the influence of confounding factors, multivariate linear regression analysis was used to determine the independent factors associated with ONSD by age, gender, and ETD. In the regression analysis, the values of ONSD and ETD were the mean values of both eyes. Two independent samples t-test was used to analyze the differences in ONSD and ETD between gender groups. Interclass correlation coefficient(ICC) analysis was used for consistency of measurement results between two physicians.We performed an independent samples t-test to analyze the variability in ONSD measurements between the axial and sagittal positions.P < 0.05 was considered statistically significant.
Results
The ONSD and ETD were measured in 360 healthy adults aged ≥ 19 years with an average age of 48.5 (33.00, 63.00). There were 180 males and 180 females. We divided the patients into six groups of 10 years of age and 69 years of age or older.
Measurement results of ONSD, ETD and ONSD/ETD
The results of ONSD, ETD, and ONSD/ETD of the left and right eyes measured by CT are shown in Table 1. The mean values (95% CI) of ONSD3 mm, ONSD10 mm and ETD in both eyes were 5.28 (5.23–5.32)mm, 4.34 (4.30–4.37)mm and 22.47 (22.38–22.56)mm, respectively. There was no significant difference between the ONSD3mm and ONSD10mm of the bilateral eyeballs (t = − 0.07, − 0.01, P = 0.944, 0.989), and the difference between the left and right eyeballs was statistically significant (t = 2.40, P = 0.017). In addition, we measured the values of ONSD/ETD, with a mean (95% CI) of 0.24 (0.23–0.24) for ONSD3mm/ETD and 0.19 (0.19–0.20) for ONSD10mm/ETD. There was no significant difference in ONSD3mm/ETD and ONSD10mm/ETD between the two eyes (t = − 1.01, − 0.91; P = 0.312, 0.364).
Results of factor analysis affecting ONSD
To explore whether age, gender, and ETD affect ONSD, linear regression analysis was used, and the results of regression analysis are shown in Tables 2 and 3 (Table 2 for 3mmONSD, Table 3 for 10mmONSD). Univariate linear regression analysis showed that ONSD was associated with gender (P < 0.001) and ETD (P < 0.001). All variables with P < 0.05 in univariate linear regression analysis were included in multivariate linear regression analysis, and the results showed that ONSD was related to gender (P < 0.001) and ETD (P < 0.01). Adjusted R2 showed that gender had a greater effect on ONSD than on ETD. Therefore, according to the results of multivariate linear regression analysis, the effect of different genders on ONSD was explored, and the subjects were divided into two groups according to gender. Table 4 lists the ONSD, ETD and ONSD/ETD values of the two groups of men and women, respectively. It was found that the differences in each parameter between men and women were statistically significant (P < 0.05), and the ONSD, ETD and ONSD/ETD values of men were higher than those of women.
Consistency test of CT measurements between two physicians
Consistency test analysis was performed on ETD, ONSD at 3 mm and ONSD at 10 mm respectively measured by two physicians. The results showed that ICC values of the above measured values were all > 0.75 (Table 5).
Difference analysis in multi-site measurements
We enrolled 60 subjects in the study. The optic nerve sheath diameter (ONSD) was measured in both axial and coronal positions. The results indicated that the differences in measurement values between the two positions were not statistically significant (Table 6).
Discussion
The optic nerve enters the middle cranial fossa through the optic foramen in the orbital apex, and enters the brain through the optic chiasm and optic tract. The optic nerve sheath diameter (ONSD) surrounding the optic nerve is composed of dura mater, arachnoid membrane and pia mater2. The space between dura mater and arachnoid was subdural space. The cerebrospinal fluid in the subarachnoid space is directly connected to the subarachnoid space between the arachnoid membrane and the pia mater. The change of cerebrospinal fluid pressure in the subarachnoid space will be transmitted in a very short time and reflected in the change of ONSD. Therefore, ONSD can be used as a non-invasive method for noninvasive monitoring of ICP3. There are relatively few studies on CT measurement of ONSD in the Chinese population, and there are almost no studies of this size. Compared with previous studies, this study increases the selection of the location of ONSD measurement, and also adds ONSD/ETD value, which will also be an important evidence for ICP monitoring.
Comparison of different imaging examinations
In a review that included almost all imaging methods to measure ONSD in healthy people6, the most accurate ONSD measurement was MRI, followed by CT, and the results of ultrasound measurement were slightly worse than the former two. MRI Has a high resolution of soft tissue and is relatively accurate in ONSD measurement, but its examination time is too long, the price is expensive, the use of maintenance equipment is not convenient for patients, and in some primary hospitals, there is even no MR Equipment, the above reasons limit the application of MR In patients with acute increased ICP. As the most convenient imaging equipment, ultrasound measurement mostly depends on the operator’s own technology, and the measurement results are also quite different. Moreover, it can not intuitively respond to the injury in the brain, and is rarely used in brain diseases. At present, there are relatively few studies on CT measurement of ONSD in healthy adults, but the role of CT in ICP monitoring cannot be ignored. CT is usually used as the first choice for ICP diseases caused by craniocerebral trauma, cerebral hemorrhage, cerebral hernia, and so on. It is also the first choice for the review of many brain diseases. CT has the advantages of fast scanning speed, fast three-dimensional reconstruction speed, slice thickness can be adjusted to 1 mm, and preoperative and postoperative evaluation. It has many advantages for the monitoring of craniocerebral diseases and increased ICP. In this study, we initially enrolled 60 patients and measured the Optic Nerve Sheath Diameter (ONSD) in both axial and sagittal positions. The results revealed that the differences in ONSD values measured at these two positions were not statistically significant. This indicates that ONSD measurements can be sufficiently performed in the axial position without the need for additional three-dimensional reconstruction. Furthermore, studies1 have found no difference in ONSD measurements between the cerebral axial CT plane and the specifically reconstructed optic nerve axial plane, suggesting that dedicated CT reconstruction for ONSD measurement is unnecessary, which will reduce the post-processing time for CT scans. This approach will save time for patient treatment. Therefore, in subsequent parameter measurements, we directly used the 1 mm slice thickness CT images from the cerebral scan in the axial position for ONSD measurement, without performing additional three-dimensional reconstruction on the optic nerve.
In our study, we found that the measurement results of different imaging techniques were not the same. The reference value range of our measurement results at ONSD3mm was 5.28 (5.23–5.32) mm, which was lower than the reference ranges of 5.9 mm and 6.0 mm of other domestic researchers in the diagnosis of increased ICP7,8, indicating that our measurement was relatively accurate, and at the same time, it was close to the ONSD3 mm range of normal people measured by Liu Yinlong9. Liu Chang10 measured the ONSD at 3 mm by MR And the result was 4.76 (4.72–4.80) mm. Wang Lijuan and Chen F measured the range of healthy adults by ultrasound as 3.46 (4.42–3.49) mm and 5.1 (4.7–5.4) mm respectively11,12. Due to different imaging principles, there are also differences in measurement results. Therefore, normal reference ranges of different imaging methods are needed in clinical work.
Relative ratio of measurement at 3 mm and 10 mm ONSD
In this study, different from previous studies, we selected two positions of ONSD for measurement, and the results showed that the average difference of measurement results at 3 mm and 10 mm was statistically significant (t = 31.78, P < 0.001). The value of ONSD at 3 mm was greater than that at 10 mm, which was consistent with the results of previous studies5. For ICP monitoring, the most stable results can be obtained by measuring the diameter at 10 mm from the eyeball5, because nystagmus, gaze deviation and involuntary eye movements after trauma or stroke are not affected or less affected at this depth, and the measurement is more accurate. In addition, during the measurement process, we found that the ONSD at 3 mm posterior to the eyeball of some subjects was relatively thick because it was too close to the eyeball, which may cause measurement bias. We inform patients to keep their eyes as still as possible because movement of the eyeball can also cause changes in the ONSD values.At present, there is still no relatively good measurement position, and multi-position measurement will increase the accuracy of ICP monitoring. In the future, researchers can include patients with confirmed increased ICP, multi-position measurement of ONSD, and further explore a more accurate measurement position.
Some researchers have proposed to use ONSD/ETD instead of ONSD alone for ICP monitoring, because it can reduce the normal variation of ocular phenotype and reduce the error caused by large differences in ONSD. It may be more sensitive and specific for the evaluation of increased ICP13. The value of ETD/ONSD obtained by CT measurement can also predict the malignant progression of stroke, the late malignant progression of increased ICP and midline shift14,15, and more additional information can be obtained, all of which indicate that ONSD/ETD has good application value in ICP monitoring.
In our examination, we found that the difference in ETD (Eyeball Transverse Diameter) values between the two eyes was statistically significant (22.48 ± 0.85 vs. 22.45 ± 0.86, P = 0.017). We analyzed the possible reasons as follows. First, there can be natural anatomical variations between the two eyes in terms of size and structure, which can lead to differences in measurements such as the optic nerve sheath diameter (ONSD). Additionally, the dominant eye often exhibits slightly different characteristics compared to the non-dominant eye, including variations in optical properties and even subtle differences in eye movement patterns. These factors can contribute to the differences we observed in our measurements. Furthermore, individual differences in eye movement and fixation during the imaging process can also play a role. Even though participants are instructed to keep their eyes still, minor involuntary movements or differences in gaze direction between the two eyes can affect the measurement outcomes .
Racial differences
In our study, we found that different ethnic groups had different ONSD measurements. Compared with the results of previous studies in China, the normal reference range of ONSD in this study was consistent with the previous studies7,8,9, indicating that our measurement results were more accurate, and our large sample size also made the subjects in this study more representative and the risk of bias lower. In addition, we summarized the ONSD3mm values of healthy people measured by multiple CT at home and abroad, and found that, for example, the measured values of American populations such as Canada and the United States were large, with the mean values above 6.0 mm16,17; the mean ONSD values of Asian and African populations such as Iraq and Nigeria were slightly smaller than those of American populations17,18,19. However, the population in Switzerland and other European regions is in the middle level, with an average value of about 5.4 mm20,21. The above causes may be caused by potential genetic factors, living environment, social economy and other factors.
It should be noted that the above results are only a pooled analysis of multiple different studies, and the specific differences may be affected by a variety of factors, such as sample selection, measurement methods, and study design. Therefore, in the future studies, we need to design experiments more rigorously and expand the sample size to further explore the differences of optic nerve sheath and its influencing factors among different ethnic groups.
Gender differences
In this study, we found that there was a significant correlation between gender and ONSD, and the differences of ONSD and ONSD/ETD values between different genders were statistically significant, and the normal reference range of males was larger than that of females. This conclusion is consistent with the research conclusions of many imaging methods at home and abroad, including CT, MR And ultrasound measurement results10,11,22,23. There may be differences in nerve fiber density due to gender10. In addition, we found from some literature that the skull of women is smaller than that of men. The research results of Graillon et al. analyzed the gender difference in the volume of the orbital cavity on the 3D reconstruction model, and the results showed that the volume of the orbital cavity of the male skull was statistically significantly higher than that of the female skull, and according to the volume of the orbital cavity, The accuracy of gender inference was 77.3%24. Kaplanoglu and Andrades also found that the orbital diameter and volume of males were larger than those of females25,26. Based on the skull and orbital anatomy, we speculated that gender differences in the eyeball would affect the ONSD value, and that males would be larger than females. Therefore, in clinical work, men and women should have their own reference ranges.
Limitations and future prospects
The following findings were found: ① The sample was selected from a single center; ② This study is a cross-sectional study, which has certain regional and time limitations; ③ Too few influencing factors were included in ONSD. In the future, multi-center studies with larger sample sizes are expected to be further standardized. This study only included adults, and future studies could also measure the optic nerve sheath in minors. In addition, future studies could also include patients with increased ICP to verify the accuracy of normal reference values.
Conclusions
In conclusion, the mean ONSD at 3 mm and 10 mm were 5.28 (95% CI 5.23–5.32) mm and 4.34 (95% CI 5.23–5.32) mm, respectively. The mean ONSD/ETD at 3 mm and 10 mm was 0.24 (95% CI 0.23–0.24) and 0.19 (95% CI 0.19–0.20), respectively. ONSD was significantly associated with ETD and gender, and the differences in ONSD values by sex suggest the need for separate reference ranges of normal values for men and women. In addition, there are some differences in ONSD by ethnicity.
Data availability
The data that support the findings of this study are available from the corresponding author upon reasonable request.All data in this study came from the hospital’s internal imaging PACS system.
References
Jenjitranant, P. et al. Correlation between optic nerve sheath diameter measured on imaging with acute pathologies found on computed tomography of trauma patients. Eur. J. Radiol. 125, 108875 (2020).
McLaughlin, D. et al. Serial optic nerve sheath diameter via radiographic imaging: correlation with ICP and outcomes. Neurol. Clin. Pract. 11 (5), e620–e626 (2021).
Torabi, M., Mirhosseini, A. & Mirzaee, M. The role of repeated brain computed tomography based on ultrasound monitoring of optic nerve sheath diameter after moderate traumatic brain injury. Clin. Exp. Emerg. Med. 10 (1), 68–73 (2023).
Lee, S. H., Kim, H. S. & Yun, S. J. Optic nerve sheath diameter measurement for predicting raised intracranial pressure in adult patients with severe traumatic brain injury: a meta-analysis. J. Crit. Care. 56, 182–187 (2020).
Liu, M. et al. Optic nerve sheath measurements by computed tomography to predict Intracranial pressure and guide surgery in patients with traumatic brain Injury. World Neurosurg. 134, e317–e324 (2020).
Mohamed, I. A. M. et al. Radiographic measurement of normal optic nerve and optic nerve sheath diameters using different modalities. Int. J. Biomed. 12 (3), 349–354 (2022).
Pan, N. F. Correlation of Optic Never Sheath Diameter Using Bedside Ultrasonography and CT Reconstruction with Intracranial Pressure. (Soochow University, 2023).
Su, L. et al. The relationship between the optic nerve sheath diameter and intracranial pressure measured by bedside ultrasound and CT reconstruction.Chin. J. CT MRI 18(01), 16–19 (2020).
Liu, Y. L. et al. Parametric measurement and comparative study of three0dimensional ultrasound and multi-slice spiral CT reconstruction in the optic nerve of normal human sacral. Chin. J. Pract. Nerv. Dis. 21(18), 1978–1985 (2018).
Liu, C. et al. Measurement of the diameter of retrobulbar optic nerve sheath in Chinese healthy adults by MRI and its related factors. Chin. J. Magn. Reson. Imaging. 13 (10), 103–107 (2022).
Wang, J. J. et al. Ultrasonographic evaluation of optic nerve sheath diameter among healthy Chinese adults. Chin. J. Stroke. 11(07), 556–562 (2016).
Chen, H. et al. Ultrasound measurement of optic nerve diameter and optic nerve sheath diameter in healthy Chinese adults. BMC Neurol. 15, 106 (2015).
Du, J. et al. Ratio of optic nerve sheath diameter to eyeball transverse diameter by ultrasound can predict intracranial hypertension in traumatic brain injury patients: a prospective study. Neurocrit. Care. 32, 478–485 (2020).
Guo, Y. et al. Optic nerve sheath diameter and optic nerve sheath diameter/eyeball transverse diameter ratio in prediction of malignant progression in ischemic stroke. Front. Neurol. 13, 998389 (2022).
Lee, S. J. et al. Optic nerve sheath diameter change in prediction of malignant cerebral edema in ischemic stroke: an observational study. BMC Neurol. 20 (1), 354 (2020).
Rush, B. et al. Optic nerve sheath diameter on computed tomography not predictive of neurological status post-cardiac arrest. CJEM 19 (3), 181–185 (2017).
Jaggi, G. P. et al. Optic nerve sheath diameter in normal-tension glaucoma patients. Br. J. Ophthalmol. 96 (1), 53–56 (2012).
Al-Tameemi, H. & Helel, N. Agreement between computed tomography and magnetic resonance imaging in measuring Optic nerve sheath diameter. Glob. J. Health Sci.. 10, 22. https://doi.org/10.5539/gjhs.v10n4p22 (2018).
Itanyi, U., Leslie, A., Chukwuegbo, J. Normal values of optic nerve sheath diameter on computed tomography and effect of raised intracranial pressure on Head Injury patients in North Central Nigeria. J. Adv. Med. Med. Res. 10–18. https://doi.org/10.9734/jammr/2021/v33i1430966 (2021).
Pircher, A. et al. Relationship between the optic nerve sheath diameter and lumbar cerebrospinal fluid pressure in patients with normal tension glaucoma. Eye (Lond). 31 (9), 1365–1372 (2017).
Giger-Tobler, C. et al. Measurement of Optic nerve sheath diameter: differences between methods? A pilot study. Klin. Monbl Augenheilkd. 232 (4), 467–470 (2015).
Wang, L. et al. Ultrasonographic evaluation of optic nerve sheath diameter among healthy Chinese adults. Ultrasound Med. Biol. 42 (3), 683–688 (2016).
Bardak, Ş. et al. Variability of the optic nerve sheath diameter on brain computed tomography in Turkish children based on sex and age. Childs Nerv. Syst. 3. (2023).
Graillon, N. et al. Use of 3D orbital reconstruction in the assessment of orbital sexual dimorphism and its pathological consequences. J. Stomatol. Oral Maxillofac. Surg. 118 (1), 29–34 (2017).
Kaplanoglu, V. et al. Anthropometric measurements of the orbita and gender prediction with three-dimensional computed tomography images. Folia Morphol. 73 (2), 149–152 (2014).
Andrades, P. et al. Characterization of the orbital volume in normal population. J. Cranio-Maxillofac. Surg. 46 (4), 594–599 (2018).
Funding
There’s no funding.
Author information
Authors and Affiliations
Contributions
H.L. conceived the experiment(s). H.L. and W.C. and Y.J.M. conducted the experiment(s), and L.X.L. and S.N. performed statistical analysis and figure generation. All authors reviewed the manuscript.
Corresponding author
Ethics declarations
Consent for publication
All authors agree to publish.
Competing interests
The authors declare no competing interests.
Additional information
Publisher’s note
Springer Nature remains neutral with regard to jurisdictional claims in published maps and institutional affiliations.
Rights and permissions
Open Access This article is licensed under a Creative Commons Attribution-NonCommercial-NoDerivatives 4.0 International License, which permits any non-commercial use, sharing, distribution and reproduction in any medium or format, as long as you give appropriate credit to the original author(s) and the source, provide a link to the Creative Commons licence, and indicate if you modified the licensed material. You do not have permission under this licence to share adapted material derived from this article or parts of it. The images or other third party material in this article are included in the article’s Creative Commons licence, unless indicated otherwise in a credit line to the material. If material is not included in the article’s Creative Commons licence and your intended use is not permitted by statutory regulation or exceeds the permitted use, you will need to obtain permission directly from the copyright holder. To view a copy of this licence, visit http://creativecommons.org/licenses/by-nc-nd/4.0/.
About this article
Cite this article
Han, L., Su, N., Wu, C. et al. Related studies on measuring the normal values of optic nerve sheath diameter in healthy Chinese adults based on CT scans. Sci Rep 15, 4246 (2025). https://doi.org/10.1038/s41598-025-86997-7
Received:
Accepted:
Published:
Version of record:
DOI: https://doi.org/10.1038/s41598-025-86997-7





