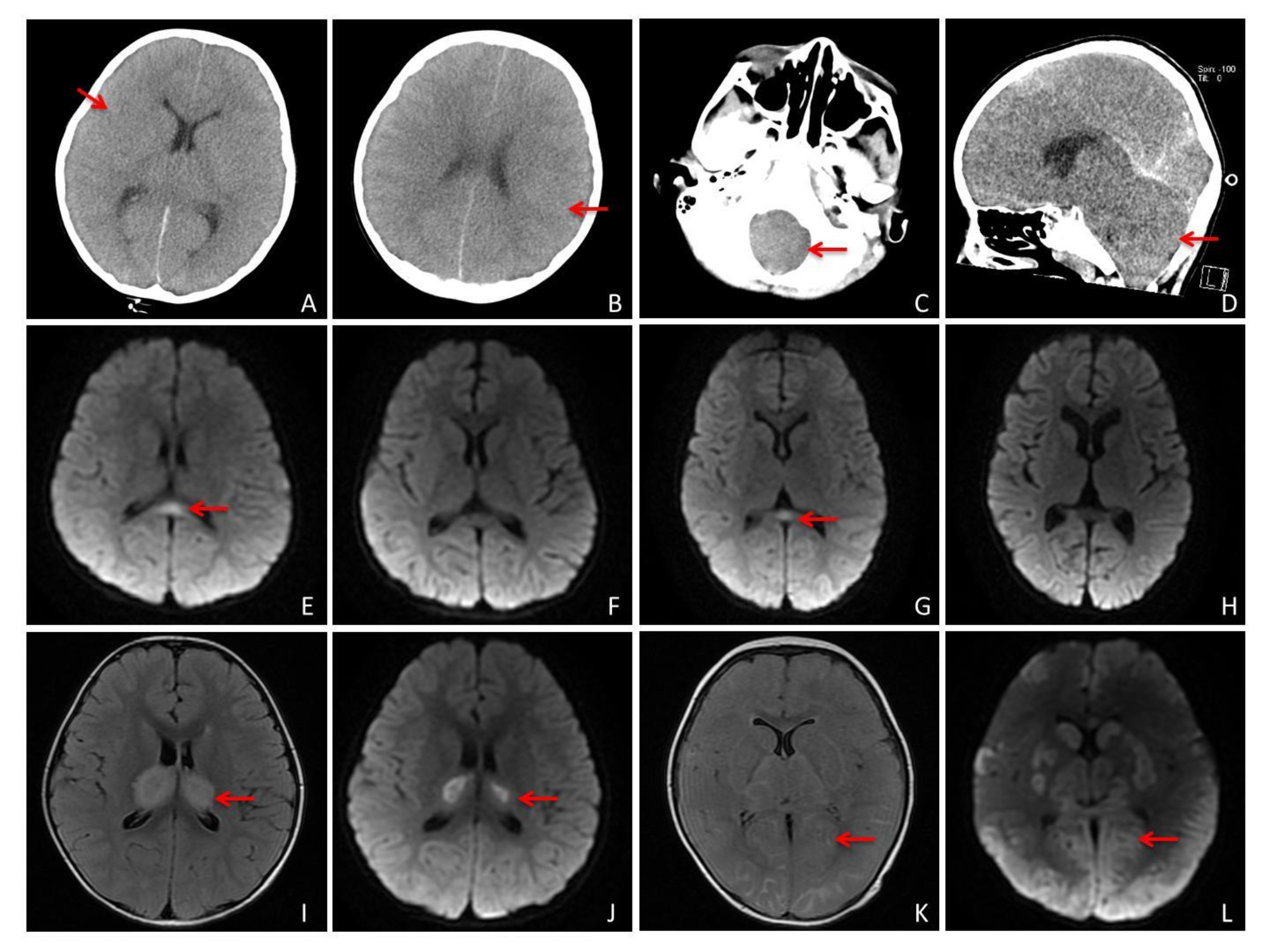
Fig. 2

Analysis of common cranial images of influenza-associated encephalopathy. Panels (A) and (B) Computed tomography of the brain showing diffuse brain swelling with poorly demarcated gray-white matter suggestive of acute cerebral swelling. Panels (C) and (D) Showing brain swelling with foramen magnum occipitalis hernia. Panels (E) through (H) Showing DWI sequences of magnetic resonance images (MRI) of mild encephalitis/encephalopathy with a reversible splenial lesion, where (E) and (G) are the initial images, and (F) and (H) are the follow-up images with lesion disappearance after 1 week. Panels (I) through (K) MRI showing acute necrotizing encephalopathy, with T2 Flair sequences in Figures (I) and (K), and DWI sequences in Figures (J) and (L), showing that the main lesion is located in the thalamic region.