Abstract
To study the mechanism of calcitonin gene related peptide(CGRP) protecting acute pancreatitis based on metabolomics. 24 adult male rats were randomly divided into control group (Con), acute pancreatitis model group (AP), CGRP treatment group (CGRP + AP, abbreviated as CGRP) and CGRP antagonist(CGRP(8–37)) pretreatment group (preCGRP(8–37) + AP, abbreviated as CGRP37), with 6 rats in each group. After different interventions, pancreases of rats in each group were collected for pathological analysis, and serum was collected for metabolomics analysis. Pathological examination of the pancreas suggested that the inflammation of pancreatitis in AP group was significant, the inflammation of pancreatitis in CGRP group was significantly reduced, and the pancreatitis in CGRP37 group was aggravated. Metabolomics of rat serum suggested that the differences in metabolites in each group were mainly related to amino acid metabolism, coenzyme/vitamin metabolism, carbohydrate metabolism, lipid metabolism, digestive system and other metabolic pathways. According to the trend of metabolite changes, we found 6 differential metabolites that were significantly correlated with CGRP intervention, including L-Valine, 5-Aminopentanoic acid, 4-oxo-L-proline, L-glutamine, L-proline, and Ornithine, all of which were related to amino acid metabolism. CGRP can effectively protect acute pancreatitis, possibly by regulating amino acid metabolism to alleviate acute pancreatitis.
Similar content being viewed by others
Introduction
The pancreas is mainly composed of acinar cells and islets. Acinar cells have exocrine function and primarily secrete digestive enzymes such as trypsin, chymotrypsin, and amylase, which are used for food digestion in the small intestine. The exocrine secretion of the pancreas is regulated by various neurotransmitters, including acetylcholine, vasoactive intestinal peptide, neurotensin, substance P, and calcitonin gene related peptide (CGRP)1. Acute pancreatitis (AP) is related to the metabolism and secretion of pancreatic cells and can cause self-digestion of the pancreas. It is believed that the premature activation of trypsin leads to pancreatic self-digestion and subsequently triggers acute pancreatitis1. This can result in damage to pancreatic tissue and cell membranes, leading to edema, vascular injury, bleeding, and necrosis2. Approximately 15% of cases of pancreatitis can develop into severe pancreatitis with tissue damage (also known as acute necrotizing pancreatitis), requiring treatment in the intensive care unit3. Microcirculatory disorder in the pancreas plays a key role in the pathogenesis of severe necrotizing pancreatitis4. Therefore, improving pancreatic microcirculation is an important strategy for improving the prognosis of acute pancreatitis. CGRP is a 37-amino acid neuropeptide that is widely present in central and peripheral neurons, particularly in the cell bodies and terminals of sensory neurons5. CGRP is considered to be one of the most effective vasodilators known and its role in acute pancreatitis has attracted attention. Studies have shown that pre-treatment with CGRP before ischemia/reperfusion can partially reverse the detrimental effects of sensory nerve inactivation on ischemia/reperfusion-induced necrotizing pancreatitis6. However, the exact mechanism by which CGRP protects against acute pancreatitis is still unclear. Further in-depth research exploring its possible mechanisms can provide new ideas and methods for the treatment of acute pancreatitis.
Metabolomics is a comprehensive research field dedicated to exploring the qualitative and quantitative analysis of all small-molecule metabolites in biological systems under specific time and condition. The focus of this field is to delve into the sensitivity of endogenous metabolites in living organisms to internal and external changes and their complex relationships. The development of metabolomics aims to reveal the regulatory mechanisms of cellular metabolism and provides powerful tools and profound insights for various research fields such as toxicology, pharmacology, nutrition, and diseases7. In metabolomics research, scientists comprehensively and deeply analyze the types and relative abundances of metabolites in organisms using advanced techniques such as mass spectrometry and chromatography. The resulting data not only help scientists understand the structure and regulatory mechanisms of cellular metabolic networks, but also provide researchers with a new perspective to uncover the molecular mechanisms underlying disease occurrence and progression8. Greta and his colleagues employed serum metabolomics to identify the potential diagnostic markers of acute pancreatitis and discriminate between its biliary and alcoholic origins9. Liu and his team disclosed the potential biomarkers and the pathogenesis of acute pancreatitis by means of a combined analysis of proteomics and metabolomics, presenting the advantages and novel discoveries of multi-omics techniques in the research of pancreatitis10. Simultaneously, by conducting metabolomics analyses on patients with acute pancreatitis at various stages, the progression of the disease can be tracked. For instance, during the acute and recovery stages of the disease, the levels of metabolites like serum bile acids will undergo dynamic alterations. These changes are intimately associated with the injury and repair processes of the pancreas, facilitating physicians to promptly comprehend the patient’s condition and modify the treatment regimen11. It is worth noting that previous metabolomics studies involving comprehensive analysis of plasma or urine metabolites have identified different metabolites (such as citrate, choline, inositol, etc.) and related metabolic pathways involved in disease occurrence and progression12,13,14. However, due to limited sample size and grouping limitations, these studies have not been able to effectively explain the changes in metabolites during the process of acute pancreatitis (AP). Therefore, this study aims to establish an AP rat model through intraperitoneal injection of L-arginine and perform serum metabolomics analysis after intervention with CGRP or CGRP antagonist (CGRP(8–37)) in order to explore the potential mechanisms of CGRP in protecting against acute pancreatitis.
Materials and methods
Animal grouping and treatment
The study was approved by the Ethics Committee of Affiliated Hospital of Putian University (approval number: 2022068-XZ01) and complied with the national guidelines for animal care and use, and this study was reported in accordance with ARRIVE guidelines. 8-week-old male SD rats (220–250 g, n = 24) were purchased from Shanghai Slake Experimental Co., Ltd. The grouping process was conducted by employing the random number table method. Initially, a distinct number (from 1 to 24) was assigned to each rat. Subsequently, a starting point was chosen within the random number table, and 24 random numbers were sequentially retrieved from left to right. These random numbers were then matched with the rat numbers and sorted in ascending order. The first 6 rats were designated to the control group (Con). The subsequent 6 rats were allocated to the acute pancreatitis model group (AP). The following 6 rats were assigned to the calcitonin gene related peptide (CGRP) treatment group, denoted as (CGRP + AP and abbreviated as CGRP). Finally, the last 6 rats were placed in the CGRP antagonist (CGRP (8–37)) pretreatment group, labeled as (preCGRP(8–37) + AP and abbreviated as CGRP37). After different interventions, the pancreas of each group of rats was collected for pathological analysis of the severity of acute pancreatitis, and the serum of each group of rats was collected for metabolomics analysis.
Reagents
20% L-arginine solution: L-arginine (Shanghai Aladdin Biochemical Technology Co., Ltd.) was dissolved in physiological saline to make a 20% L-arginine solution, and the solution was adjusted to pH = 7.0 with phosphoric acid; CGRP solution: CGRP (MedChemExpress) was dissolved in physiological saline to make a 0.3 mg/ml CGRP solution; CGRP(8–37) (MedChemExpress) was dissolved in physiological saline to make a 0.3 mg/ml CGRP(8–37) solution.
Preliminary experiment
We designed administration experiments of CGRP and CGRP (8–37) with diverse dose gradients to examine their influences on various indicators of rats with the acute pancreatitis model, such as pancreatic pathological alterations, serum amylase levels, and animal survival rates. Through a comprehensive analysis of the results from multiple sets of preliminary experiments, it was revealed that a CGRP dose of 30 µg could remarkably ameliorate pancreatic pathological damage and mitigate the inflammatory response, without any conspicuous adverse reactions being observed. Concurrently, we consulted the literature in relevant fields15,16 and found that the CGRP dose range utilized in previous similar studies exhibited a certain degree of consistency with the effective dose determined in our preliminary experiments. Integrating the results of the preliminary experiments and the literature references, the administration doses of CGRP and CGRP (8–37) in this experiment were ultimately established as 30 µg, ensuring that the intervention effect of the drugs could be effectively observed during the experiment, while also safeguarding the safety of the experimental animals and the reliability of the experimental results.
Intervention
Acute pancreatitis rat models were established by intraperitoneal injection of L-arginine. In the AP group, a total dose of 15 ml/kg of L-arginine solution was divided into 2 injections via intraperitoneal injection, with an interval of 1 h between the injections. After the second injection, an additional dose of 7.5 ml/kg of L-arginine solution was divided into 2 injections given at 5 h and 8 h after the second injection to complete the AP modeling. The Con group received an equal volume of physiological saline via intraperitoneal injection. In the CGRP group, after the completion of AP modeling, 30 µg of CGRP solution was immediately injected into the rat’s tail vein, followed by another injection of 30 µg of CGRP solution after 2 h for intervention in the AP model. In the CGRP37 group, 30 µg of CGRP(8–37) solution was injected into the rat’s tail vein 30 min before the first injection of L-arginine. After 30 min, the rats were modeled in the same way as the AP group. After the modeling was completed, 30 µg of CGRP solution was immediately injected into the rat’s tail vein, followed by another injection of 30 µg of CGRP solution after 2 h for intervention. The rats were not allowed to eat but had free access to water after modeling.
Preparation of serum and pancreatic samples
After 2 h of modeling, 4 ml of blood was collected from the rat’s tail and centrifuged at 3000 rpm/min for 10 min. The upper layer of serum (1 ml) was collected and stored at -80 °C for metabolomics analysis. After anesthesia (1% pentobarbital sodium, 0.4 ml/100 g, i.p.), the rats were dissected, and the intact pancreatic tissue was collected. The pancreatic specimens for tissue examination were immediately fixed in 10% formalin solution for 12 h. The specimens were then processed following the standard procedures of paraffin embedding and prepared into 4 μm sections stained with H&E. During the procedures of sample collection and pathological assessment, the operators as well as the pathological examiners remained entirely ignorant of the specimen grouping details.
Metabolomics analysis
The samples were analyzed using the UHPLC-Q Exactive HF-X system (Thermo Fisher Scientific) for LC-MS/MS analysis. After data acquisition, the raw LC-MS data were imported into the metabolomics data processing software Progenesis QI (Waters Corporation, Milford, USA) for baseline filtering, peak recognition, integration, retention time correction, peak alignment, and generation of a data matrix containing retention time, mass-to-charge ratio, and peak intensity. The MS and MS/MS spectra information were matched with the metabolite databases HMDB (http://www.hmdb.ca/) and Metlin (https://metlin.scripps.edu/) to obtain metabolite information. The data matrix was preprocessed as follows: missing values were removed using the 80% rule, which retained variables with non-zero values in at least 80% of the samples, and missing values were imputed with the minimum value in the original matrix. To reduce errors introduced by sample preparation and instrument instability, the response intensities of spectral peaks in the samples were normalized using the total sum normalization method to obtain a normalized data matrix. Variables with a relative standard deviation (RSD) > 30% in the quality control (QC) samples were removed, and a log10 transformation was applied to the data matrix for subsequent analysis. The preprocessed data matrix was subjected to principal component analysis (PCA) and orthogonal partial least squares discriminant analysis (OPLS-DA) using the ropls package (Version 1.6.2) in R. The stability of the models was evaluated using a 7-fold cross-validation. Significantly different metabolites were selected based on the variable importance in projection (VIP) values and student’s t-test p-values derived from the OPLS-DA model, with metabolites having VIP > 1 and p < 0.05 considered as significant. Pathway annotation of the differentially expressed metabolites was performed using the KEGG database (https://www.kegg.jp/kegg/pathway.html) to identify the metabolic pathways involved. Pathway enrichment analysis was performed using the scipy.stats package in Python, and the most relevant biological pathways associated with the experimental treatments were identified using Fisher’s exact test.
Results
H&E staining of pancreatic tissue.
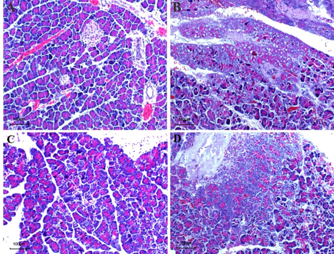
The results of H&E staining of pancreatic tissue are shown in Fig. 1. Figure 1A shows the typical characteristics of pancreatic tissue in the Con group. The tissue has clear boundaries, uniform color, intact lobular structure, and normal morphology. There is no infiltration of neutrophils or red blood cells, no apparent edema, and the acinar contours are distinct and the structure is intact. The cytoplasm and nucleoli are clearly visible, and there is no hemorrhage or necrosis. Figure 1B shows the pathological features of pancreatic tissue in the AP group. It clearly shows that the glandular structure in the AP group is more disordered, with obvious swelling and rupture of acini, unclear contours, partial nuclear condensation, inflammatory cell infiltration, and red blood cell extravasation around blood vessels and between glands. After CGRP intervention, Fig. 1C indicates that the pancreatic cell necrosis and inflammatory infiltration in the CGRP group are significantly reduced compared to the AP group. When CGRP(8–37) blocks the action of CGRP, Fig. 1D suggests that the inflammation in the CGRP37 group is aggravated. This fully demonstrates the protective role of CGRP in acute pancreatitis, which is consistent with previous research results4.
Metabolomics analysis of rat serum
Sample correlation analysis
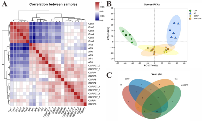
Serum samples from the Con, AP, CGRP, and CGRP37 groups of rats were subjected to metabolomics analysis. Figure 2A shows the correlation analysis between the serum samples of the four groups. The degree of variation in the composition and abundance of metabolites between samples can be quantitatively analyzed through the correlation data between samples. The closer the correlation is to 1, the higher the similarity in metabolite composition and abundance between samples. From the figure, it can be seen that the Con or AP group has more obvious differences compared to the other three groups. Figure 2B shows the PCA analysis results of the four groups of serum samples. It can be observed from the figure that there is a significant difference between the Con or AP group and the other three groups, while the separation trend between the CGRP group and the CGRP37 group is not significant, with some overlap between the two groups. This may be due to the fact that CGRP and CGRP37 intervene in the same pathway to affect AP, resulting in similar types of principal components in the two groups. Figure 2C shows the Venn diagram of the four groups of serum samples. It can be seen from the figure that there are 322 metabolites that are commonly present in the four groups of samples. The Con group has 4 unique metabolites, the AP group has 6 unique metabolites, and the CGRP37 group has 1 unique metabolite. By comparing the intersection of different groups, metabolites that are present in some groups but missing in others were identified, providing insights into the mechanism of CGRP intervention in acute pancreatitis.
Annotation of metabolites
Metabolites were determined in the serum of the Con, AP, CGRP, and CGRP37 groups of rats, and metabolite annotation was performed. The KEGG Compound classification categorizes metabolites based on their biological functional hierarchy, including categories such as biological processes, active peptides, endocrine disruptors, pesticides, plant secondary metabolites, and lipids. The identified metabolites were aligned with the KEGG Compound database to obtain an overview and statistical analysis of metabolite classifications. Figure 3A shows a bar chart of KEGG Compound classifications. From the figure, it can be seen that the differentially expressed metabolites detected in this metabolomics analysis mainly belong to the amino acid and carboxylic acid categories, with 23 and 17 metabolites, respectively. Figure 3B shows a bar chart of KEGG functional pathways. From the figure, it can be seen that the differentially expressed metabolites detected in this metabolomics analysis are mainly related to amino acid metabolism, cofactor/vitamin metabolism, carbohydrate metabolism, lipid metabolism, digestive system, and membrane transport, among others.
Clustering analysis of differentially expressed metabolites
Metabolites with similar expression patterns often have functional relevance. This analysis involves clustering analysis of expression patterns of selected metabolites. Based on the expression level information of metabolites in different samples, the distances between metabolites or samples are calculated, and an iterative method is used to classify the metabolites or samples. Figure 4 shows the heatmap of clustering analysis of differentially expressed metabolites, which displays the top 50 metabolites with significant differences in the serum of the Con, AP, CGRP, and CGRP37 groups of rats, revealing the specific changes in metabolites across different groups. By performing clustering analysis of significant differentially expressed metabolites, metabolites involved in similar biological pathways can be inferred, which helps understand the changes in metabolic pathways under different conditions and uncover the biological mechanisms of CGRP intervention in acute pancreatitis. Furthermore, from Figs. 4 and 6 metabolites with significant changes in the serum of the four groups of rats were selected, including L-Valine, 5-Aminopentanoic acid, 4-oxo-L-proline, L-glutamine, L-proline, and Ornithine. The change trends of these metabolites are shown in Fig. 5, indicating that CGRP has a significant regulatory effect on the mentioned metabolites.
6 metabolites with significant changes in trend selected from Fig. 4, including L-Valine, 5-Aminopentanoic acid, 4-oxo-L-proline, L-glutamine, L-proline, and Ornithine.
Discussion
Exogenous calcitonin gene related peptide (CGRP) as a bioactive molecule has been found to have a protective effect on acute pancreatitis4. However, despite experimental data supporting its protective effects, the exact mechanism of action is still a focus of scientific attention. In acute pancreatitis, exogenous CGRP is believed to alleviate inflammatory reactions, promote pancreatic tissue repair, and maintain tissue homeostasis by inhibiting the release of inflammatory factors. This protective mechanism may involve the synergistic action of multiple cell types and molecular pathways, thus further research is needed to unravel its detailed mechanism. The protective effect of exogenous CGRP on acute pancreatitis is an exciting research area. By exploring its biological properties, molecular mechanisms, and interactions with the immune and nervous systems, we can provide a more comprehensive and in-depth experimental basis for the clinical treatment of acute pancreatitis. This not only helps uncover the role of this bioactive molecule in the occurrence and development of the disease but also provides strong support for the development of novel therapeutic strategies in the future.
In this study, the results of pathological examination of pancreatic tissues in the four groups of rats confirmed the successful establishment of the AP model, demonstrating the protective effect of CGRP on the pancreas during AP. CGRP can greatly reduce the infiltration of inflammatory cells and significantly reduce the pathological damage of acinar cells. This is consistent with the previous report by Schneider et al.4, which showed that CGRP can improve the disorder of pancreatic microcirculation and downregulate the levels of nuclear NF-κB and pancreatic ICAM-1, leading to significant alleviation of pancreatic morphological damage. CGRP is believed to regulate inflammatory responses and affect the activity of immune cells17. By regulating the secretions and activities of immune cells, exogenous CGRP may play an important role in the early stages of pancreatitis, inhibiting excessive inflammatory responses and reducing pancreatic tissue damage. CGRP may exert its effects by binding to cell membrane receptors and triggering intracellular signaling pathways, thereby influencing key processes such as inflammation and cell apoptosis18. Moreover, the characteristic of acute necrotizing pancreatitis is inflammation and pancreatic injury due to insufficient pancreatic perfusion. CGRP can alleviate pancreatic inflammation and tissue damage in this situation by improving pancreatic microcirculation and blood flow19. Therefore, we hypothesize that CGRP exerts anti-inflammatory effects by regulating pancreatic microcirculation and the cascade of inflammatory reactions.
Imbalance of amino acid homeostasis may have negative effects on pancreatitis and other severe diseases20. Amino acids play a crucial role in the human body, serving not only as the basic building blocks of life but also as important suppliers of energy21. In acute pancreatitis, systemic inflammation triggers a state of high catabolic metabolism, resulting in a sharp increase in energy demand. This stressful state disrupts the normal metabolic processes of amino acids, imposing a significant burden on the body20,22. As acute pancreatitis progresses, the high catabolic state caused by systemic inflammation leads to severe imbalances in amino acid metabolism. Under normal circumstances, amino acids participate in various metabolic processes in the body through multiple pathways to maintain physiological balance. However, in the context of pancreatitis, this balance is disrupted, leading to abnormal consumption and insufficiency of amino acids. As amino acids are the building blocks of proteins, their deficiency directly affects protein synthesis, which is crucial for maintaining the normal functioning of body tissues and structures. Therefore, regulating amino acid metabolism has become a potential and promising research direction for the treatment of acute pancreatitis.
The tricarboxylic acid cycle23, also known as the citric acid cycle, is a vital metabolic pathway in organisms, deeply involved in the construction of protein structures and maintaining a stable energy supply in the body. This complex and coordinated biochemical process not only involves the metabolism of certain branched-chain amino acids (such as valine), but also plays a key role in the survival and functional maintenance of cells. The metabolite succinyl-CoA, a product of the metabolism of branched-chain amino acids and other compounds, enters the tricarboxylic acid cycle and reacts with oxygenase to produce citric acid. Citric acid then undergoes a series of enzymatic reactions, gradually releasing energy and regenerating succinyl-CoA in the cycle, completing a complex and efficient energy conversion process that promotes energy generation and gluconeogenesis24. The activity level of the tricarboxylic acid cycle directly relates to the supply and distribution of energy in the organism. Cells, in different physiological states, can flexibly regulate the tricarboxylic acid cycle to adjust metabolic pathways and adapt to changes in the external environment. This dynamic regulatory mechanism ensures that cells can survive under various conditions and rapidly mobilize energy reserves when necessary to cope with survival challenges. Our experiments showed that compared to the AP group, the CGRP group of rats exhibited significantly elevated levels of branched-chain amino acids such as valine. AP disrupted the metabolism of these metabolites in this pathway, while CGRP significantly regulated most of these metabolites. The changes in differentially metabolized substances indicate that CGRP can promote amino acid metabolism towards a healthy state.
Arginine is a nonessential amino acid that is involved in the urea cycle as an intermediate molecule of ornithine25. It is also a key substrate for the synthesis of proline and glutamate. Previous studies have found a relationship between the urea cycle and the occurrence and development of severe acute pancreatitis26. Ornithine participates in the excretion of ammonia in the body through the urea cycle and is closely related to protein synthesis and energy metabolism in transamination27. However, due to the pathological and physiological changes caused by severe acute pancreatitis, the synthesis and metabolism of ornithine may be negatively affected. Especially in the early stages of inflammation, due to pancreatic damage and activation of the inflammatory response, the consumption of ornithine in patients significantly increases, leading to a rapid decrease in its levels. A study by Yang et al.28 found that the levels of ornithine were significantly reduced in patients with severe acute pancreatitis, and putrescine, a limited product of ornithine metabolism, was significantly increased in the plasma of patients on admission. We speculate that the low levels of ornithine restrict the urea cycle and transamination, leading to the accumulation of ammonia. This accumulation of ammonia not only has toxic effects on the nervous system but may also trigger systemic inflammation, further exacerbating pancreatic inflammation29.
Glutamine is an important amino acid compound that has the property of hydrolyzing into glutamate. It can improve intestinal permeability and oxidative stress in patients with severe acute pancreatitis, reducing the incidence of complications30. During pancreatitis, increased intestinal permeability may result in excessive leakage of inflammatory mediators, leading to severe complications. The mechanism of action of glutamine involves cell communication, maintenance of mucosal barriers, and immune regulation, among other aspects. These combined effects promote the restoration and stabilization of intestinal permeability. Furthermore, glutamine also exhibits exceptional efficacy in alleviating oxidative stress in patients with severe acute pancreatitis. Activation of the inflammatory response during acute pancreatitis increases oxidative stress, which damages cell membranes, proteins, and nucleic acids. Glutamine, through its powerful antioxidant action, effectively neutralizes free radicals and slows down the process of oxidative stress, providing robust protection against oxidative damage to the body31. The role of glutamine extends to the regulation of cell apoptosis. Under stressful conditions, cells may be subjected to extreme pressure and face the choice between survival and death. Glutamine, by participating in relevant signaling pathways, can influence the expression of apoptosis-related genes, ensuring that cells do not suffer excessive damage while adapting to environmental changes32. When the body is stimulated by strong stressors such as infection or trauma, glutamine can also serve as a “conditionally essential amino acid” to regulate protein biosynthesis33. This extensive and intricate regulatory mechanism allows pancreatic cells to flexibly adjust cell metabolism in response to external pressures such as inflammation, to adapt to changing environments.
In summary, the role of amino acids in physiological processes in the human body goes beyond regulating protein synthesis. They exhibit complex and precise regulatory mechanisms at multiple levels, including cell metabolism, immune response, apoptosis regulation, and gene expression. The outcomes of metabolomics likewise manifested disparities in lipid metabolism among the rat groups. In the domain of lipid metabolism, the development of AP is intimately correlated with lipid peroxidation and reactive oxygen species (ROS). The augmented lipid peroxidation directly heightens the permeability of the membrane, modifies its shape and curvature, stimulates the activity of oxidants, and eventually culminates in cell demise34. Within the context of redox metabolism, CGRP is capable of functioning as an antioxidant or mitigating the oxidative stress-inflicted damage to pancreatic cells by modulating the activity of the antioxidant enzyme system. For instance, CGRP might activate antioxidant enzymes like superoxide dismutase (SOD) and glutathione peroxidase (GSH-Px) to eliminate excessive ROS, thus safeguarding the cell membranes and mitochondria of pancreatic cells from oxidative harm35. Furthermore, in other metabolic pathways, CGRP can interface with nucleotide metabolism. Nucleotide metabolism assumes a pivotal part in processes such as cell proliferation, repair, and immune modulation. The restoration of damaged pancreatic tissue in acute pancreatitis necessitates the involvement of nucleotides, and CGRP may foster the repair and regeneration of pancreatic cells by regulating the activity of enzymes associated with nucleotide metabolism. The multifunctionality of these molecules not only provides a solid molecular basis for the normal functioning of life, but also offers clever and efficient regulatory strategies for the body to cope with various stressors. From a clinical perspective, in light of the findings of our study, the influence of CGRP on metabolism has unveiled a novel potential target for the management of acute pancreatitis. Looking ahead, medications directed at CGRP or its receptors could be devised to interfere with the advancement of acute pancreatitis by regulating the CGRP signaling pathway. Specifically, small molecule agonists or antagonists might be formulated to imitate or impede the function of CGRP, so as to fulfill therapeutic objectives. Regarding treatment strategies, CGRP could potentially be integrated with existing treatment modalities. For instance, during the initial phase of acute pancreatitis, CGRP-related pharmaceuticals could be administered in tandem with traditional treatment approaches like fluid resuscitation and fasting, with the aim of augmenting the therapeutic outcome. This calls for subsequent fundamental or clinical trials to appraise its efficacy, establish the most suitable treatment protocol, encompassing drug dosage, administration frequency, and treatment duration, and to explore its synergistic interaction mechanism with other prevailing treatment methods, thereby furnishing more comprehensive directives for clinical treatment. Nevertheless, this research is not without its limitations. To begin with, discrepancies exist between the experimental animal model and human acute pancreatitis. The acute pancreatitis model triggered by intraperitoneal injection of L-arginine, while capable of emulating certain pathophysiological aspects, fails to comprehensively mirror the intricate etiology and progression of the human condition. In humans, acute pancreatitis can stem from a multitude of factors including cholelithiasis, alcohol abuse, and hyperlipidemia, whereas in the model, it is predominantly drug-induced. Additionally, elements such as the mode of CGRP administration, dosage, and time frame warrant further refinement. Secondly, the relatively limited sample size might undermine the statistical efficacy. Future investigations should therefore augment the sample size, incorporate diverse animal models, and employ research designs that more closely approximate real clinical scenarios to further corroborate our discoveries and furnish a more dependable foundation for clinical applications.
Conclusion
Based on the above research, we believe that CGRP can effectively protect against acute pancreatitis, and its mechanism may be related to the regulation of amino acid metabolism through multiple pathways that affect AP. In the future, we can expect more in-depth research to explore the mechanisms by which CGRP influences amino acid metabolism, providing more comprehensive and precise treatment options for SAP and better recovery outcomes for patients.
Data availability
The datasets generated during and/or analyzed during the current study are available from the corresponding author upon reasonable request.
Change history
26 November 2025
The original online version of this Article was revised: The Authors were incorrectly affiliated. The correct Information now accompanies the original Article.
References
Chandra, R. & Liddle, R. A. Neurohormonal regulation of pancreatic secretion. Curr. Opin. Gastroenterol. 28(5), 483–487. https://doi.org/10.1097/MOG.0b013e3283567f16 (2012).
Bhatia, M. et al. Pathophysiology of acute pancreatitis. Pancreatology 5(2–3), 132–144. https://doi.org/10.1159/000085265 (2005).
Lankisch, P. G., Apte, M. & Banks, P. A. Acute pancreatitis. Lancet 386(9988), 85–96. https://doi.org/10.1016/S0140-6736(14)60649-8 (2015).
Schneider, L. et al. Protective effects and anti-inflammatory pathways of exogenous calcitonin gene-related peptide in severe necrotizing pancreatitis. Pancreatology 9(5), 662–669. https://doi.org/10.1159/000212099 (2009).
Russell, F. A., King, R., Smillie, S. J., Kodji, X. & Brain, S. D. Calcitonin gene-related peptide: physiology and pathophysiology. Physiol. Rev. 94(4), 1099–1142. https://doi.org/10.1152/physrev.00034.2013 (2014).
Dembiński, A. et al. Stimulation of sensory nerves and CGRP attenuate pancreatic damage in ischemia/reperfusion induced pancreatitis. Med. Sci. Monit. 9(12), BR418–BR425 (2003).
Andrejeva, G. & Rathmell, J. C. Similarities and distinctions of cancer and immune metabolism in inflammation and tumors. Cell. Metab. 26(1), 49–70. https://doi.org/10.1016/j.cmet.2017.06.004 (2017).
Saoi, M. & Britz-McKibbin, P. New advances in tissue metabolomics: a review. Metabolites 11(10), 672. https://doi.org/10.3390/metabo11100672 (2021).
Dancu, G. et al. Unraveling the metabolic changes in Acute Pancreatitis: a Metabolomics-Based Approach for Etiological differentiation and Acute Biomarker Discovery. Biomolecules 13(10), 1558. https://doi.org/10.3390/biom13101558 (2023).
Liu, J. et al. Integrated proteomic and metabolomic analysis reveals potential biomarkers and pathogenesis of acute pancreatitis. Front. Cell. Dev. Biol. 10, 820983. https://doi.org/10.3389/fcell.2022.820983 (2022).
Gu, W. & Tong, Z. Clinical application of Metabolomics in Pancreatic diseases: a Mini-review. Lab. Med. 51(2), 116–121. https://doi.org/10.1093/labmed/lmz046 (2020).
Xiao, H. et al. Identification of potential diagnostic biomarkers of acute pancreatitis by serum metabolomic profiles. Pancreatology 17(4), 543–549. https://doi.org/10.1016/j.pan.2017.04.015 (2017).
van den Berg, F. F. et al. Early laboratory biomarkers for severity in acute pancreatitis; a systematic review and meta-analysis. Pancreatology 20(7), 1302–1311. https://doi.org/10.1016/j.pan.2020.09.007 (2020).
Huang, J. H. et al. GC-MS based metabolomics strategy to distinguish three types of acute pancreatitis. Pancreatology 19(5), 630–637. https://doi.org/10.1016/j.pan.2019.05.456 (2019).
Al Shareef, Y., Sourial, M. & Hutson, J. M. Exogenous calcitonin gene-related peptide perturbs the direction and length of gubernaculum in capsaicin-treated rats. Pediatr. Surg. Int. 23(4), 305–308. https://doi.org/10.1007/s00383-007-1892-z (2007).
Tao, J., Wang, X. & Xu, J. Expression of CGRP in the trigeminal ganglion and its effect on the polarization of macrophages in rats with Temporomandibular Arthritis. Cell. Mol. Neurobiol. 44(1), 22. https://doi.org/10.1007/s10571-024-01456-7 (2024).
Wu, W. et al. The CGRP/macrophage axis signal facilitates inflammation recovery in the intestine. Clin. Immunol. 245, 109154. https://doi.org/10.1016/j.clim.2022.109154 (2022).
Lv, X. et al. Maladjustment of β-CGRP/α-CGRP regulation of AQP5 promotes transition of alveolar epithelial cell apoptosis to Pulmonary Fibrosis. J. Interferon Cytokine Res. 40(8), 377–388. https://doi.org/10.1089/jir.2019.0184 (2020).
Klar, E. et al. Impact of microcirculatory flow pattern changes on the development of acute edematous and necrotizing pancreatitis in rabbit pancreas. Dig. Dis. Sci. 39(12), 2639–2644. https://doi.org/10.1007/BF02087702 (1994).
Sandstrom, P. et al. Serum amino acid profile in patients with acute pancreatitis. Amino Acids. 35(1), 225–231. https://doi.org/10.1007/s00726-007-0557-5 (2008).
Aliu, E., Kanungo, S. & Arnold, G. L. Amino acid disorders. Ann. Transl. Med. 6(24), 471. https://doi.org/10.21037/atm.2018.12.12 (2018).
Bhatia, M. Acute pancreatitis as a model of SIRS. Front. Biosci. (Landmark Ed). 14(6), 2042–2050. https://doi.org/10.2741/3362 (2009).
Lindsay, D. B. Amino acids as energy sources. Proc. Nutr. Soc. 39(1), 53–59. https://doi.org/10.1079/pns19800008 (1980).
Manoli, I. & Venditti, C. P. Disorders of branched chain amino acid metabolism. Transl Sci. Rare Dis. 1(2), 91–110. https://doi.org/10.3233/TRD-160009 (2016).
Sivashanmugam, M., J, J. & K N, V. U. Ornithine and its role in metabolic diseases: an appraisal. Biomed. Pharmacother. 86, 185–194. https://doi.org/10.1016/j.biopha.2016.12.024 (2017).
Zhang, X. Y. et al. Mechanisms of pancreatic injury induced by basic amino acids differ between L-Arginine, L-Ornithine, and L-Histidine. Front. Physiol. 9, 1922. https://doi.org/10.3389/fphys.2018.01922 (2019).
Imoto, K. et al. Corticosteroid suppresses urea-cycle-related gene expressions in ornithine transcarbamylase deficiency. BMC Gastroenterol. 22(1), 144. https://doi.org/10.1186/s12876-022-02213-0 (2022).
Yang, J. X. et al. Multi-dimensional metabolomic profiling reveals dysregulated ornithine metabolism hallmarks associated with a severe acute pancreatitis phenotype. Transl. Res. 263, 28–44. https://doi.org/10.1016/j.trsl.2023.08.003 (2024).
Balzano, T. et al. Chronic hyperammonemia induces peripheral inflammation that leads to cognitive impairment in rats: reversed by anti-TNF-α treatment. J. Hepatol. 73(3), 582–592. https://doi.org/10.1016/j.jhep.2019.01.008 (2020).
Arutla, M. et al. Efficacy of enteral glutamine supplementation in patients with severe and predicted severe acute pancreatitis- A randomized controlled trial. Indian J. Gastroenterol. 38(4), 338–347. https://doi.org/10.1007/s12664-019-00962-7 (2019).
Aldarini, N., Alhasawi, A. A., Thomas, S. C. & Appanna, V. D. The role of glutamine synthetase in energy production and glutamine metabolism during oxidative stress. Antonie Van Leeuwenhoek. 110(5), 629–639. https://doi.org/10.1007/s10482-017-0829-3 (2017).
Yerbes, R. et al. Limiting glutamine utilization activates a GCN2/TRAIL-R2/Caspase-8 apoptotic pathway in glutamine-addicted tumor cells. Cell. Death Dis. 13(10), 906. https://doi.org/10.1038/s41419-022-05346-y (2022).
Han, T. et al. Effect of glutamine on apoptosis of intestinal epithelial cells of severe acute pancreatitis rats receiving nutritional support in different ways. Int. J. Clin. Exp. Pathol. 6(3), 503–509 (2013).
Galluzzi, L. et al. Molecular mechanisms of cell death: recommendations of the nomenclature Committee on Cell Death 2018. Cell. Death Differ. 25(3), 486–541. https://doi.org/10.1038/s41418-017-0012-4 (2018).
Enko, D. et al. Branched-chain amino acids are linked with iron metabolism. Ann. Transl Med. 8(23), 1569. https://doi.org/10.21037/atm-20-624a (2020).
Funding
This work was supported by Natural Science Foundation of Fujian Province ( grant number: 2023J011721), National Natural Science Foundation of China ( grant number: 62276146), and Natural Science Foundation of Fujian Province ( grant number: 2023J011707).
Author information
Authors and Affiliations
Contributions
J.H. drafted the manuscript. Y.C., S.C., Y.L., C.Z., J.C. and Y.X. performed the experiments and analyzed the data. S.C., J.C. and C.C. revised the manuscript. C.C. designed the experiments and had primary responsibility for final content of the manuscript. All authors contributed to the article approved the submitted version.
Corresponding author
Ethics declarations
Competing interests
The authors declare no competing interests.
Ethics approval
The study was approved by the Ethics Committee of Affiliated Hospital of Putian University (approval number: 2022068-XZ01).
Additional information
Publisher’s note
Springer Nature remains neutral with regard to jurisdictional claims in published maps and institutional affiliations.
Rights and permissions
Open Access This article is licensed under a Creative Commons Attribution-NonCommercial-NoDerivatives 4.0 International License, which permits any non-commercial use, sharing, distribution and reproduction in any medium or format, as long as you give appropriate credit to the original author(s) and the source, provide a link to the Creative Commons licence, and indicate if you modified the licensed material. You do not have permission under this licence to share adapted material derived from this article or parts of it. The images or other third party material in this article are included in the article’s Creative Commons licence, unless indicated otherwise in a credit line to the material. If material is not included in the article’s Creative Commons licence and your intended use is not permitted by statutory regulation or exceeds the permitted use, you will need to obtain permission directly from the copyright holder. To view a copy of this licence, visit http://creativecommons.org/licenses/by-nc-nd/4.0/.
About this article
Cite this article
Hu, JX., Chen, YK., Chen, SJ. et al. Mechanism of calcitonin gene related peptide against acute pancreatitis in rats by modulating amino acid metabolism based on metabonomics. Sci Rep 15, 6686 (2025). https://doi.org/10.1038/s41598-025-87707-z
Received:
Accepted:
Published:
Version of record:
DOI: https://doi.org/10.1038/s41598-025-87707-z







